先天性胆管扩张症(Congenital Biliary Dilatation)为临床上最常见的一种先天性胆道畸形。其病变主要是指胆总管的一部分呈囊状或梭状扩张,有时可伴有肝内胆管扩张的这样一种先天性畸形。
1793年Vater首次报道了一例胆总管囊肿的病例。1852年由Douglas将该症命名为胆总管囊肿(Choledochal Cyst)。 1959年Alonso-lej等对该症进行了较深入的分析研究,并提出了广为国际小儿外科界所了解的Alonso-lej分类。
像其他先天性胆道畸形一样,本症在亚洲东方人中的发病率明显高于欧美白人。女性发病高于男性,约占总发病率的60~80%。而对于亚洲各国的发病情况的差异,笔者与日本、韩国同行一起进行的国际合作研究表明,三国间该症的发病率、性别比例、是否合并胰胆合流异常等未见明显差异。表明东亚人种的发病是一致的。本症在各年龄阶段均可见到,但囊肿型大多在10岁以下的儿童期获得诊断而得到治疗,梭状型则有较多延迟致成人期才被发现者。
目前在我国,主要教科书、正式的学术刊物已经将本症统一命名为先天性胆管扩张症,但无论在国内还是在国外的文献上,本症的病名仍有多种叫法。如被称为胆总管囊肿(Choledochal Cyst)、先天性胆总管囊肿(Congenital Choledochal Cyst)、先天性胆总管扩张症、原发性胆总管扩张或巨胆总管症等等。近年,随着对本症的病理、形态、病因等研究的深入,发现除了胆总管的囊性扩张之外,约有半数的患者仅表现为胆总管的梭形或圆柱形扩张,而非巨大的囊肿。另外除了肝外胆总管的扩张外,约1/4的病例同时合并有肝内胆管的扩张,肝内胆管可呈梭形甚至小囊样扩张,因此,近来国、内外普遍倾向认为将该症统一称为先天性胆管扩张症更为合理,更能全面地反映本病的病理变化,更好地包容该症的多个方面。
【病因】
尽管自上世纪30年代以来,特别是上世纪80年代后国际上许多学者对于先天性胆管扩张症的病因进行过各种研究和探讨,但其具体的发病原因仍未完全明了。在对该症认识发展的过程中曾有胚胎期胆管空化异常学说、病毒感染学说、胆总管远端神经、肌肉发育不良学说等。至60年代末Babbitt提出先天性胆管扩张症与胰胆管合流异常存在密切联系,特别是70年代后日本学者古味信彦教授创立胰胆管合流异常研究会,将关于胰胆合流异常的研究推向深入后,胰胆合流异常在先天性胆管扩张症的发病过程中所起的作用越来越引起了大家的关注。目前,大多数学者认为这是一种先天性疾病。
1、胆道胚胎发育畸形
1936年 Yotsuyanagi 首先提出胆道胚胎发育异常的学说。肝外胆管系统的形成多在胎儿第5至7周。在胎儿体长5mm 时期,十二指肠、腹侧胚芽和近端肝外胆道发生旋转,胆总管进入十二指肠的左后部。胆道系统管内的上皮细胞增生,形成实性细胞索。后空泡形成并融合成胆道的管腔。如果某部分上皮细胞过度增殖,在空泡化再贯通时远端狭窄而近端过度空泡化就可能形成胆管的扩张。
近年李龙探讨了先天性胆管扩张症囊肿胰胆管合流共同通道开口位置与共同通道长度、胆总管扩张程度的关系,提出胰胆管合流向十二指肠远端开口异位是先天性胆管扩张症的病理改变之一,提示此病变可能是胰胆管合流共同通道延长的病因。
2、胆总管末端梗阻
由于胆总管末端梗阻,胆汁排出不畅而导致胆总管的近端继发性扩张。而远端梗阻的原因可能是①胆总管进入十二指肠壁的角度异常,形成S状扭曲。②胆总管末端先天性狭窄。③炎症纤维性瘢痕形成。④胆总管末端管壁中存在迷生的胰腺组织等。
3、病毒感染学说
Landing通过病毒分离、胆管组织电镜检查等研究,提出病毒感染学说。认为胆道闭锁、新生儿肝炎综合症和胆管扩张都可能是病毒感染导致, 特别是巨细胞包涵体病毒(CMV)。病毒感染引起肝脏细胞、毛细胆管上皮细胞发生巨细胞变性、细胞损坏而导致胆管壁薄弱而发生扩张。国内也有学者在先天性胆管扩张症病例的肝脏中检测出巨细胞包涵体病毒。但目前随着对该症认识的深入,支持此学说的学者越来越少,而认为可能是在原发病基础上发生病毒感染,是合并存在的一种病毒感染病理改变。
4、胆总管远端神经、肌肉发育不良
Kusunoki 检查正常胆总管和先天性胆管扩张症胆总管壁,发现先天性胆管扩张症病例胆总管远端管壁明显缺少神经节细胞,提示神经节细胞这种自主运动神经的缺少可能导致胆总管节律性运动降低、而远端肌肉功能性或结构性发育不良可能引起胆总管的梗阻、胆汁排出障碍、近端胆道内压力上升,最终引致不同程度的胆管扩张。我国学者进行的相关研究中也发现胆总管囊肿末端狭窄部位的肌层有明显增厚、且神经节细胞异常。
5、遗传性因素
尽管没有证据证实本病有肯定的遗传途径链,但国际上及国内均有家系发病的报道。笔者近年进行过一例11岁先天性胆管扩张症女性患儿手术,其父20余年前在我院也因先天性胆管扩张症进行过手术治疗。
6、胰胆合流异常致病学说
1916年日本学者木积对一例先天性胆管扩张症患者进行剖检时,发现扩张的胆总管下端存在胰管与胆管过长的共同通道,而首次提出了胰胆管合流异常的概念。后来,60年代末与70年代初,美国Babbitt、日本古味信彦对胰胆合流异常的病理改变及与先天性胆管扩张症的关系进行了更为详尽的研究,而提出胰胆合流异常致病学说。
80年代,Ikeda曾成功制成胰胆合流异常的动物实验模型,而支持该学说。二十余年来曾有多数学者进行过犬、山羊、豚鼠、猫、大鼠等的动物模型实验,从不同的角度阐述了胰胆合流异常与先天性胆管扩张症的关系。日本学者大川治夫制作犬的胰管与胆管或胆囊吻合的胰胆合流异常动物模型,得到胆总管梭形扩张的动物模型。同时在病人的胆汁中检测到被激活的胰蛋白酶、糜蛋白酶和弹力蛋白酶。动物模型中也同样发现胆汁中胰蛋白酶被某种机制激活。三好康敬对蛋白酶被激活的机理进行了临床与实验结合的研究。证实先天性胆管扩张症胆管壁经常存在十二指肠上皮化生,化生的十二指肠粘膜上皮会分泌肠激酶,而后者恰是激活胰蛋白酶原的原动力。由于胰胆管的异常交汇,而胰腺的胰液分泌压明显高于胆汁的分泌压,胰液会大量返流入胆道,特别是胆汁内的胰蛋白酶被激活,引致胆管壁破坏而最终导致胆管扩张。作者也曾进行过胰胆合流异常及胆总管远端狭窄的幼犬动物模型实验,成功制成胆管扩张的动物模型,证实胰胆合流异常引致胰液向胆道内返流,而最终导致胆管扩张,这些研究都支持胰胆合流异常的致病学说。
7、多种因素合并致病学说
近年来诸多学者的研究发现,临床上最常存在的两种先天性胆管扩张症类型,囊肿型与梭状型之间,其病理改变并不完全一致。因此认为其病因可能是由于多种因素引起的先天性发育畸形。胚胎早期发育时,由于某种致病因素导致胰胆分化异常引起胰胆管的合流异常、胆总管远端的狭窄及Oddi括约肌的发育异常是本病的基础性的综合致病因素。无论囊肿型还是梭状型均可见上述三种病理改变。但在囊肿型与梭状型先天性胆管扩张症类型之间,三种致病因素所起的作用不完全相同。囊肿型病例胆总管远端狭窄的病理改变更为常见且严重,而在梭状型的病例,胰液返流、胰酶被大量激活的问题则更为突出。合并胰胆管合流异常的先天性胆管扩张症的可能胚胎发生,见图1。

图1:合并胰胆管合流异常的先天性胆管扩张症的可能胚胎发生示意图
(1)4周末,背侧胰腺发生
(2)5周初,胆总管生长变长
(3)5周,背侧胰腺旋转
(4)6周初,胆总管再贯通
(5)胆总管出现扩张
(6)十二指肠壁增厚,出现胰胆管合流异常
【病理改变】
胆管扩张主要指胆总管的各种程度的扩张,同时也可以合并发生于肝内胆管的扩张。由于先天性胆管扩张症几乎均合并胰胆管的合流异常,在疾病的发生、发展中肝脏、胰腺也常会出现各种病理改变。
1.胆总管及肝内胆管的病变
临床发现胆管扩张有两种主要的病理形态,即囊肿型与梭状型。而两种类型之间其病理改变不完全相同。囊肿型病例表现肝外胆管局限性扩张,胆管扩张的病变可以局限于胆总管,同时有约30~40%的病例合并肝内胆管的扩张。而扩张部下方的末端胆总管呈不同程度的狭窄。梭状型的病例表现为胆总管的梭状或圆柱状的扩张,合并肝内胆管扩张及远端胆管狭窄的情况较少见。
据临床观察,合并肝内胆管扩张的病例,其肝内胆管也呈两种病理改变。①肝内胆管部分呈0.5~2.2 cm直径大小的囊样扩张,表现为左、右肝管或仅一侧肝管呈“葫芦”样扩张,尽管最大径处明显扩张,但其汇入肝总管的开口却呈瓣膜状、隔膜状或细短管状狭窄。②而另外部分病例呈自肝门向胆管末端逐渐变细的锥形扩张,其近端肝总管及左右肝管开口处无明显狭窄。这些病理改变在手术处理时有重要的临床意义。
根据病程的长短胆管壁可以有程度不同的病理改变。病程早期,胆管内炎症不重时胆管壁的组织、结构接近正常。随着病程的不断进展,由于大量胰液返流,激活的各种胰酶可以引起较严重的生化性破坏。胆总管远端的梗阻可以导致胆管内压力增高、胆汁淤积,这些因素都可以使胆管壁发生较严重的病理改变。胆管壁增厚、纤维壁层明显增生、内层被覆的粘膜上皮往往消失而常发现扩张胆管的内面被覆以胆色素的沉积物。胆管壁内有大量的炎症细胞浸润,特别是年长儿童的病例由于反复炎症发作胆管壁变得增厚、脆弱易碎,并且常可发现囊肿壁与周围组织有较严重的粘连,给手术时的囊肿剥离带来极大的困难。在扩张胆管壁中经常会在镜下发现胆管粘膜发生上皮化生,可以是肠上皮化生也常见到胃粘摸的化生,在化生部位可见肠、胃上皮及肠或胃的粘膜腺。甚至在化生的肠上皮中检测到分泌肠激酶的十二指肠腺体。肠上皮化生被认为可能与胆道癌的发生有关。(图2, 3)

图2 :先天性胆管扩张症的胆管病理形态术中造影
(1) 囊肿型胆管扩张,合并胆管-胰管型胰胆管合流异常
(2) 囊肿型胆管扩张,合并胆管-胰管型胰胆管合流异常
(3) 梭状型胆管扩张,合并胰管-胆管型胰胆管合流异常。

图3:先天性胆管扩张症的肝内胆管扩张
(1)囊肿型胆管扩张,合并肝内胆管扩张
(2)梭状型胆管扩张,合并肝内胆管扩张
2.胰胆管合流异常
自上世纪60年代末Babbitt提出胰胆管合流异常的概念后,国际上对此问题给予了高度的关注。特别是日本学者古味教授倡导成立胰胆管合流异常研究会后,对先天性胆管扩张症与胰胆管合流异常的关系进行了极为详尽的研究。证实先天性胆管扩张症几乎均存在胰胆管合流异常的先天性畸形。患者的胰胆管远端主要存在两种病理改变。①胰胆管共同通道过长,即主胰管与胆总管合流处距Vater壶腹距离过长,甚至达2~3 cm。而正常成人不超过0.5cm。②主胰管与胆总管合流的角度异常,多接近甚至超过900。而正常此角度为锐角,并应该被包绕在Oddi括约肌之中。
囊肿型与梭状型这两种基本病理类型的胰胆管合流异常的形式是不同的。囊肿型的胰胆管合流表现为胆管—胰管型,即胆管汇入胰管形成共同通道。而梭状型的胰胆管合流则为胰管—胆管型,即胰管汇入胆管形成共同通道。这在手术中胆总管远端处理时有重要的意义。

图4:先天性胆管扩张症的两种基本病理类型
(1)囊肿型胆管扩张 (2)梭状型胆管扩张
3.胆道穿孔
以往多认为由于囊肿逐渐增大,囊内压力增加,在囊肿的薄弱处会由于突然的压力增加或上腹部外伤时发生穿孔或破裂。然而,临床发现尽管在各种类型的胆管扩张症均可以见到胆道穿孔,但梭状型病例发生胆道穿孔的几率较囊肿型更为多见。因此认为胆道穿孔的原因很可能是由于胰液向胆管内返流,被激活的胰酶会使胆管壁发生化学性炎症,严重者引起溃疡以至穿孔。甚至临床上多无明显胆管扩张而发生胆道穿孔,即所谓特发性胆道穿孔,这些病例数年后多被证实存在胰胆管合流异常并出现梭形扩张。
4.肝脏病变
由于胆总管或肝内胆管的反复炎症、感染,胆总管不同程度的梗阻引起胆汁潴留,这些病变都会引起肝脏的损害。在早期门静脉系统炎症细胞浸润同时可合并轻度肝脏纤维化,在婴儿当胆道梗阻严重时,甚至会有胆道闭锁样的胆汁性肝硬化、门静脉高压等并发症。但当及时手术后,肝脏的病变一般会较顺利地恢复正常。
5.胰腺病变及高胰淀粉酶血症
在诊治先天性胆管扩张症病例的过程中经常会发现患儿的血尿淀粉酶有不同程度的升高。以往多认为是合并急慢性胰腺炎。认为是由于胆汁向胰管内返流所致。部分病例临床病理检查确可以见到胰腺充血、水肿、变硬,极个别甚至见到小灶性坏死。但是临床同时发现相当一部分手术前表现为高胰淀粉血症的患者,手术中检查及胰腺的病理组织学分析并未发现有明显的炎症。大川治夫及董蒨等通过临床观测、分析和动物实验研究提出由于胰胆管合流异常,分泌压高的胰液返流入胆总管以及肝内胆管,肝脏毛细胆管内的胰淀粉酶会通过肝静脉窦系统扩散进入血液系统表现为高胰淀粉酶血症,是假性胰腺炎而非真正的胰腺炎症。当胰胆分流、胆管扩张症根治手术后多较快恢复正常。
6.胆道癌变
近年来研究发现胆道癌变已经成为先天性胆管扩张症最严重的并发症。大量文献报道先天性胆管扩张症胆道癌变发生率是正常人群的25~40倍。并且随年龄增加胆道癌变率也随之大幅上升。一般人群胆道癌的高发年龄为60~70岁,而先天性胆管扩张症胆道癌变发生的高发年龄在40岁左右,且有30%发生于30岁以前。笔者所见一例最年轻者仅8岁。另外一个具有重要临床意义的现象应该引起外科医生的注意,即以往曾经接受过囊肿、肠管,特别是囊肿、十二指肠吻合的病例则胆道癌的发生率更高,其平均发生年龄低至35岁。史留斌报告16例先天性胆总管囊肿癌变患者的临床资料,年龄25~61岁,平均42.6岁。7例既往未做过手术,9例为内引流术后癌变。临床表现为非特异性,其中12例表现为化脓性胆管炎,4例为上腹部包块,16例均伴乏力、消瘦。7例既往无手术史的癌变患者中5例行ERCP检查,其中4例证实合并胆胰管合流异常。癌变主要位于囊壁者14例,术后病理结果腺癌占多数(13例)。术后生存期平均12.7月,预后极差。
近年对先天性胆管扩张症患者胆道癌变的机制进行了较多的研究,主要有如下几种学说:①胆汁中的致突变物质的致癌学说。近年,董蒨较全面地对胆道癌变的机理进行了探讨。 通过制做动物模型,检测患者及胰胆管合流异常动物模型胆汁的致突变性,对其制癌机制进行研究。初步提出了由于胰胆管合流异常存在,胰液与胆汁合流, 胆道内的胰液可以使被肝脏解毒、轭合并随胆汁排至胆道的致癌物质重新脱轭合而恢复其致癌性的新假说。②胰液逆流破坏学说。由于胰液的分泌压明显高于胆汁的分泌压,胰胆管合流异常患者经常会发生胰液向胆道的逆流。胰液进入胆道,许多种胰酶在胆道会被激活,激活的胰酶对胆道粘膜产生破坏作用。在胆道粘膜的破坏→修复→破坏的过程中,发生化生而致癌。③胆汁酸致癌学说。胆汁酸的代谢产物胆酸和脱氧胆酸的化学结构与已知的某种致癌物质的结构相似,两种胆汁酸的代谢产物可能变性而成为这种致癌物质。在胰胆管合流异常和胰液向胆道的逆流的情况下,这两种胆酸的含量明显增加。另外,正常情况下含量极微少的石胆酸在胰胆管合流异常患者胆汁中明显增多,而这种胆酸已被证实对胆汁中致突变性的产生具有促进作用。④炎症刺激学说。先天性胆管扩张症,特别是囊肿型,在疾病发展过程中经常会出现感染或其他化学性的炎症。由于炎症的反复刺激,会诱导胆道粘膜上皮发生肠上皮或胃粘膜的上皮化生,化生的部位有可能作为一种癌前病变而最终诱发癌变。
【临床分型】
在对先天性胆管扩张症的认识和诊治的发展历史过程中,出现过几种临床、病理的分类。影响较大,且被广泛参考应用的有Alonso-lej分类及Todani分类方法。
了解先天性胆管扩张症的分型,有助于更清楚地明了其病理形态,为下一步的治疗提供指导和帮助,也为该病的国际性的综合研究提供一个统一的研究、交流的平台。Alonso-lej 1959年提出根据本病形态特点分为Ⅰ型:胆总管囊性扩张型、Ⅱ型:胆总管憩室型和Ⅲ型:胆总管末端囊性脱垂型。
Ⅰ型,胆总管囊性扩张型,从胆总管起始部位到胰腺后的胆总管均呈囊性扩张。囊肿通常直径为6-18cm,可容300-500ml胆汁,较大儿童甚至可达1000-1500ml。
Ⅱ型,胆总管憩室型。较少见,仅占2-3.1%,在胆总管侧壁有囊肿样扩张,囊肿以狭窄的基底或短蒂与胆总管侧壁连接,胆管的其余部分正常或有轻度扩张。
Ⅲ型,胆总管囊肿脱垂罕见,仅占1.4%。病变表现为胆总管末端扩张并疝入十二指肠内,此型在临床上有时被误诊为十二指肠内息肉或肿瘤。

图5:先天性胆管扩张症的Alonso-lej分型
(1)胆总管囊性扩张型, (2)胆总管憩室型, (3)胆总管囊肿脱垂型。
1975年日本学者户谷(Todani)在Alonso-lej分类的基础上增加了第Ⅳ型和第Ⅴ型,即多发性扩张型,肝外胆管扩张同时合并有肝内胆管的扩张及先天性的肝内胆管的扩张。
Ⅰ型,有三个亚型:Ⅰa型,胆总管囊性扩张,常见类型。Ⅱb型,节段性的胆总管囊性扩张,无胰胆合流异常,极少见。Ⅰc型,胆总管梭状扩张,常见类型。
Ⅱ型,胆总管憩室型。
Ⅲ型,胆总管末端囊肿脱垂。
Ⅳ型,是指多发性的肝内或肝外的胆管扩张,分两个亚型。Ⅳa :肝外胆总管扩张同时合并肝内胆管扩张。Ⅳb:肝外胆管的多发性扩张。
Ⅴ型,肝内胆管扩张。但随着对肝内胆管扩张了解的深入,目前多数作者认为这是一独立的病症(Caroli病)。其与先天性胆管扩张症有着本质的区别。详见先天性肝内胆管扩张症。

图6:先天性胆管扩张症的Todani分型
(1)Ⅰa型,胆总管囊性扩张,常见类型。 (2)Ⅱb型,节段性的胆总管囊性扩张
(3)Ⅰc型,胆总管梭状扩张,常见类型。 (4)Ⅱ型,胆总管憩室型。
(5)Ⅲ型,胆总管末端囊肿脱垂。 (6)Ⅳa :肝外胆总管扩张同时合并肝内胆管扩张。
(7)Ⅳb:肝外胆管的多发性扩张。 (8)Ⅴ型,肝内胆管扩张。
尽管国内外所使用的分类方法有多种,但在临床上Ⅱ型、Ⅲ型实不多见。笔者曾统计分析186例先天性胆管扩张症小儿病例,未遇到一例憩室型和胆总管囊肿脱垂型。可见发病率极低。上世纪90年代后,各国学者相继对胰胆管合流异常与先天性胆管扩张症的关系进行了深入的研究。基于临床常见的病理形态、临床表现特点的不同和胰胆合流异常的类型相结合,而常用一种新的、简便明了、有利于临床诊疗的分类方法:囊肿型与梭状型。①囊状扩张型。病程较短,发病较早,在胎儿或新生儿期胆总管壁尚未发育成熟,当管内压力增高时,则呈囊状扩张,病变局限,分界清楚,多见于婴幼儿。胆总管远端与胰管的合流呈胆管-胰管型,②梭状扩张。病程较长,发展缓慢,呈梭形或称为纺锤状扩张病变,分界不甚清楚,两型肝内胆管都可见有不同程度的扩张。此型多见于年长儿或成年人。胆总管远端与胰管的合流为胰管-胆管型。(图4)
2012年,Salles等通过对107例患儿实施治疗临床经验的总结,并在Todani等、Visser等和Dabbas等的研究基础上,提出了基于儿童CBD手术治疗方式选择的新分类方式:A型胆总管远端狭窄和B型胆总管远端非狭窄,其中造影显示远端胆总管直径小于2mm为远端胆总管狭窄,以胆管直径和长度与第二腰椎的高度之比为相对直径和相对长度,不同年龄患儿间进行比较。这种分类方法首先是基于儿童CBD特点与成人CBD特点差异,其次是基于术前手术方案选择。其最为重要的是在术前评估中的作用,但由于提出时间还很短,因此其远期效果还需要证实。
另外,现代临床影像技术和手术中观察发现,患者的肝内胆管的形态、是否合并扩张、狭窄及结石,胰胆管合流的形态及共同通道内是否有狭窄、扩张和结石,这些病变对于手术术式的选择及是否进行相关的处理都是非常重要的。
【临床表现】
本症患者女性多于男性。笔者曾统计186例中,男女之比为1:2.9,结合其他报道男女之比为1:2.5~4。以往国内报道发病年龄较小,约半数以上为3岁以前获得诊断,但随着对梭状型胆管扩张症认识程度的提高,检出率大为增加,成人的发病病例也逐渐占有相当的比率。如日本的报道,14岁以上的非小儿外科病例占有发病的半数以上。相信随着梭状型病例获得诊断的增多,平均发病年龄会上升。
许多教科书都描述腹痛、黄疸及腹部肿块为本病的3个典型症状。但许多患儿,特别是梭状型者多不同时具有上述的“三主征”。临床上常以其中1-2种表现就诊。据笔者对186例的分析统计,同时存在者只占20~30%。
1、腹痛
多局限在上腹、右上腹部或脐周围。疼痛性质以绞痛为多,也可表现为持续性或间歇性的钝痛、胀痛或牵拉痛。有时高脂肪或多量饮食可诱发腹痛发生。幼小病儿腹痛的表现因不会诉说,常易误诊。以笔者经验,相当一部分婴幼儿腹痛时常呈头肩向下的跪卧位姿势,似可作为一种参考。有的腹痛反复发作,间歇性发作迁延数月乃至数年,疼痛发作时常伴有黄疸,并可同时有恶心、呕吐、厌食等消化道症状。据统计,具有腹痛者占60~80%。
有的腹痛突然加重并伴有腹膜刺激症状,常见胆总管穿孔,继发胆汁性腹膜炎。笔者经历数例,多哭闹不安,呕吐,进行性腹胀加重,但腹膜刺激征较胃肠道穿孔为轻,均经腹腔穿刺抽出胆汁性腹水而获诊断。
2、肿块
多于右上腹部或腹部右侧有一囊性感光滑肿块,上界多为肝边缘所覆盖,大小不一,笔者曾见超过脐下接近盆腔的巨大腹部肿块病例。可有轻重不一的触痛。部分囊肿的下端胆总管处有瓣状皱襞,起活瓣作用。囊内胆汁排出后,囊肿体积会变小,见黄疸亦渐消退,这时囊肿体积会变小,黄疸减轻。在本病的诊断上有较高的参考价值。梭状型胆管扩张症则多不会触及腹部肿块。
3、黄疸
间歇性黄疸为其特点,大多数病例均存在此症状。笔者的统计病例中囊肿型的曾经发生过黄疸的发生率为86%,而梭状型达92%。出现黄疸间隔时间长短不一。严重黄疸可伴有皮肤瘙痒,全身不适。黄疸出现和加深说明因胆总管远端梗阻,胆汁引流不畅所致,合并囊内感染或胰液返流会导致加重。当炎症减轻,胆汁排出通畅,黄疸可缓解或消退。部分患儿黄疸加重时,粪便颜色变淡,甚至呈白陶土色,同时尿色深黄。
除三个主要症状外 ,合并囊肿内感染时可有发热,体温可高达38~39 ℃,亦可因炎症而引起恶心、呕吐的消化道症状。病程较长或合并黄疸者,患儿可因脂溶性维生素吸收的障碍而引致凝血因子合成低下,患儿有易出血的表现。个别还表现有VitA缺乏的一系列症状。
【实验室检查】
大多数患者血、尿及粪的检查呈阻塞性黄疸所见。可有不同程度的急性肝功能不良的表现。少数患者各项检查指标可基本正常。合并囊肿内感染者可见血象增高等的炎症改变。
本症有相当比例的病例,尤其是梭状型者病程中被发现血、尿的胰淀粉酶增高,而被误诊为单纯的急性胰腺炎。临床实际病例中确有合并胰腺炎者,但多数病例为由于胰胆合流异常存在。胰液会反流入胆管、甚至肝内胆管,在毛细胆管中胰淀粉酶可通过肝静脉窦而反流入血循环所致,多非真性胰腺炎。
【特殊检查】
1、B超检查
是最为简便且无创的检查手段,可初步获得诊断。肝脏下方显示界限清楚的低回声区,并可查明肝内胆管扩张的程度和范围及是否合并胆管内结石。
2、X线检查
当囊肿较大时,于右上腹部可见边缘光滑,密度均匀的软组织肿块,并可见胃及结肠被推移,可见胃窦部被推向左上方,十二指肠段向右推移,十二指肠框扩大,但对于梭状型胆管扩张症其普通X线检查较难诊断。
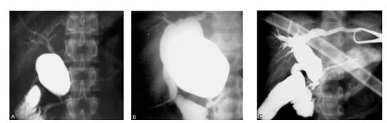
3、胆道造影
口服或静脉胆道造影,因造影剂被稀释,多数显影不清楚。当有肝功能严重损害时不宜采用。由于目前多可通过较先进的检查方法来替代,所以临床已基本停用。
4、经皮肝胆管造影(PTC)检查
通过该项检查可以了解肝内胆管囊性扩张的部位,可为手术选择提供指导。了解有无胰腺管的合流异常及胰胆管远端的病理变化,明确诊断,了解远近端胆管的狭窄程度、采取胆汁,进行细菌学检查。但由于本检查法需全身麻醉配合且损伤大,有一定的危险性,目前多由ERCP所替代。
5、逆行性胰胆管造影(ERCP)
损伤相对较小,对小儿需全麻,成人仅黏膜浸润麻醉即可,无明显的器质性损伤。造影易成功,且可获得优于PTC的诊断效果。目前,在国外也可对新生儿顺利进行ERCP的检查,对胰胆合流异常的诊断更为有效。
6、放射性核素131I肝胆ECT扫描
可直接动态观察肝胆系统的形态与功能,亦可观察胆总管囊肿的位置、大小、形态及排泄状态。
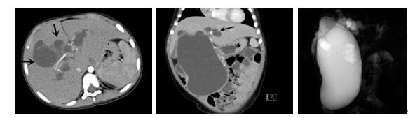
7、CT检查
可明确胆总管扩张的程度、位置,胆总管远端狭窄的程度以及有无肝内胆管扩张,扩张的形态及部位等,有助于术式的选择。近年来由于螺旋CT及其三维甚至四维成像技术的发展,可以立体性地全面地反映肝内胆管的影像。(图29-7)

图7:CT 所示的先天性胆管扩张症的肝内胆管扩张
(1)平面CT所示的先天性胆管扩张症的肝内胆管扩张
(2)CT三维成像所示先天性胆管扩张症的肝内胆管扩张。
8、核磁共振及核磁共振胰胆管成像技术(MRCP)
是90年代才成熟应用到临床的一种高新无创成像技术。利用核磁共振的特殊呈像技术获得清晰的胰胆管呈像效果,甚至可明确地判断出是否合并胰胆合流异常。近年大量临床研究表明,单纯的胆管扩张症的 诊断远不能适应正确指导手术。(图8)

图8:先天性胆管扩张症的MRI, MRCP检查
(1)(2)平面MRI所示的先天性胆管扩张症肝内胆管的扩张
(3) MRCP检查所示的先天性胆管扩张症合并胰胆管合流异常。
9、术中胆道造影
对于无术前ERCP或MRCP的病例,在以开展明确诊断的情况下,术中胆道造影仍十分必要.详细了解肝内胆道及胆总管远端和胰胆分流异常的病理形态仍十分重要.因部分肝内胆管的囊性扩张或狭窄需行适当的肝门部甚至肝内胆管成形术,以确保防止术后并发症的出现.术中胆总管造影就可很好地提供帮助和指导手术。(图9)

图 29-9 先天性胆管扩张症的术中胆道造影检查
10、三维重建虚拟肝脏、胆道显像技术
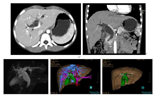
三维虚拟肝脏技术是在二维影像学资料如CT等图像的基础上,通过三维重组软件和工具,比如青岛大学附属医院与海信医疗集团联合自主研发的海信计算机辅助手术系统(Hisense Computer Assisted Surgery,Hisense CAS),目前已投入临床并指导实际应用,利用该类系统对二维影像学的数据资料进行三维立体分析,重组形成立体的、有空间结构的、虚拟的肝脏三维图像。这项技术较传统的二维平面成像技术,有着明显的优势,3D虚拟肝脏技术可以构造出一个虚拟的、可视化的肝脏模型。通过对这种模型的观察,可以很容易地分辨出肝脏器官的组织结构、解剖特点,直观研究肝外胆总管的形态差异,明确肝内胆管的形态、走形、是否合并扩张、狭窄及结石,胰胆管合流的形态及共同通道内是否有狭窄、扩张和结石等病变情况,预先规划处理可能合并存在的肝内胆管扩张、狭窄或其他复杂胆道畸形,清晰地显示肝内脉管系统,包括门静脉、肝动脉及肝静脉的走行、分支,并可多角度、全方位观察病变胆道与其周围重要血管尤其是伴行的门静脉之间的解剖关系,大大提高了外科医师在术前对肝脏内部各管道结构及其变异判断的精确性和可靠性,精准地对病变进行判断和评估,还可根据患者自身的病变特点,制定出合理、个体化的手术方案,最大限度地降低术中和术后并发症发生率,并术中导航实时指导手术,提高手术的精准性和成功率。


图10:先天性胆管扩张症囊肿型三维重建虚拟肝脏、胆道显像
a 图为术前二维CT扫描图像,箭头所示为肝内胆管扩张;b 图为CT经多平面重组技术(MPR)图像后处理所得的重建图像,可显示胆总管明显扩张合并肝内胆管扩张;c 图为MRCP显示胆总管呈囊柱状扩张,直径>1 0 cm,伴肝内胆管扩张;d 图示Hisense CAS三维重建清晰显示肝脏、胆道系统及其与门静脉、肝动脉、肝静脉等之间的空间解剖关系;e 图示Hisense CAS可从任意角度以不同脏器组合显示,明确胆道系统与其伴行的门静脉系统的空间解剖关系;f 图示胆道系统立体形态及与肝脏整体的空间关系,箭头处显示肝内胆管狭窄部位发生于左右肝管汇入肝总管处。术前规划需行肝内胆管扩大成形术。
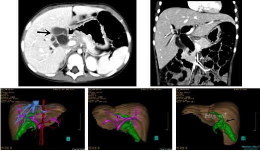
图11:先天性胆管扩张症梭状型三维重建虚拟肝脏、胆道显像
a 图为术前二维CT扫描图像,箭头指示肝内胆管扩张;b 图为CT经多平面重组技术(MPR)所得的重建图像,可粗略地判断病变胆管的位置;c 图示术前Hisense CAS三维重建清晰显示胆管的病理形态及其与肝内三套血管系统的解剖关系;d 图示胆道系统与其伴行的门静脉系统的空间解剖关系;e 图为胆道系统立体形态,箭头处指示迷走胆管,源自肝脏直接汇入胆总管。术前规划先将迷走胆管与肝总管吻合成形,再行肝总管空肠Roux-en-Y吻合术。

图12:先天性胆管扩张症梭状型合并左右肝管分别汇入胆总管囊肿三维重建虚拟肝脏、胆道显像
a 图为术前二维CT图像;b 图为CT经多平面重组技术(MPR)所得的三维重建图像,可粗略地判断病变胆管的位置;c 图为MRCP显示胆总管梭状扩张;d 图为术前Hisense CAS三维重建显示胆管的分布走形及其与肝内三套血管系统的解剖关系;e 图为胆道系统立体形态及与肝脏整体的空间关系,箭头处显示对于左右肝管分别汇入胆总管囊肿中,整个肝总管也明显扩张而成为囊肿的一部分。术前规划为先将囊肿完全切除,左右肝管合并成形后再与空肠吻合。
【鉴别诊断】
(一)胆总管囊肿以右上腹或上腹部肿块为突出表现,而无黄疸者,应与肝囊肿、腹膜后囊肿、肾积水、肾胚胎瘤、大网膜囊肿和肠系膜囊肿相鉴别
1. 肝包虫病 其与胆管扩张症的不同之处为患者存在畜牧区与狗、羊等动物接触。囊肿会是逐渐增大。B超及CT检查均示为肝内占位性病变,肝外胆总管显示 正常。多半嗜酸性细胞记数增多。Casoni试验(包虫皮内试验)阳性率高达80—95%。80%补体结合试验阳性。
2. 肝囊肿 肝较大,硬且有结节感,无触痛。肝功能检查一般均正常,多囊肝患者有时可同时伴有肾,胰腺或脾的多囊性病变.B超及CT检查多可明确显示囊肿位于肝内而肝外胆道正常。
3. 腹膜后囊性肿物 如囊性畸胎瘤、淋巴管瘤等。从症状和体征来看较难与无黄疸的胆总管囊性扩张鉴别,B超、CT可基本区别,行ERCP检查可除外胆管扩张。
右侧肾积水 体格检查不易与胆管扩张相区别,但肾积水多偏侧方,腰三角区常饱满,特别是借助B超、静脉肾盂造影(IVP)或胰胆管逆行造影(ERCP)两者很易鉴别。
4. 肾母细胞瘤 主要不同点为:①肿瘤生长较快,可有高血压或血尿,患儿一般情况多较差。②肿瘤为实体性,中等度硬。③腹部X线平片可见肿块将肠推向内侧,有时瘤体内有散在点片状钙化点。静脉肾盂造影可见肾盂肾盏变形或被挤压破坏不显影或仅少量造影剂显于肾盂。
5.胰腺囊肿 儿童假性胰腺囊肿与外伤有密切关系,囊肿多位于左上腹部或脐上,常伴有腹痛。尿糖及血糖升高,血清淀粉酶升高或正常。以B超、CT或ERCP检查,多无困难区分。
(二)胆总管囊肿以黄疸为突出表现者,应与胆道闭锁、胆管癌、右上腹部腹膜后肿瘤压迫胆总管等相鉴别
1. 胆道闭锁 主要不同点为:①出生1~2周后患儿出现胆汁淤滞性黄疸,并迅速加深而无间隙。尿呈深褐色,粪便为淡黄色,后发展为陶土色大便。②皮肤、巩膜黄染明显,病程后期可出现腹水或门静脉高压症。③超声检查探不到胆总管,无胆囊或仅有萎缩的胆囊,而胆管扩张则表现为肝外胆管的扩张。
2. 胆总管口壶腹周围癌 主要鉴别点为:①患者多为中年或以上,病程短。②黄疸为进行性加深而非间歇性出现。③全身情况恶化快,可出现消瘦、贫血等症。④肿块大者可触及,但坚硬呈结节感。⑤CT、B超或MRI可发现胆总管远端壶腹部的实性肿物,而先天性胆管扩张症则无。
值得注意的是先天性胆管扩张症有较高的胆道癌的癌变率。胆管扩张症发生胆道癌后以间歇性发作的腹痛、发热为主诉的约占一半以上, 与不合并癌变的先天性胆管扩张症相比,这一频度稍高。 约30%出现黄疸并触到腹部肿块。 当出现背部疼痛、消瘦则提示为进展期。 由于其癌变后并无特异性的表现, 故容易与原发病相混淆。 因此, B超、CT、ERCP造影等一旦发现扩张胆管内有肿块阴影, 就应高度怀疑。 对300余例癌变的病例进行分析,病灶仅局限于肌层, 属早期的不满10例, 可见诊断极为困难。
(三)胆总管囊肿以急性右上腹痛或上腹部疼痛为突出症状者,应与胆道蛔虫症、急性胆囊炎、急性胰腺炎及肠套叠相鉴别
1. 胆道蛔虫症 ①突然发生的右上腹或上腹部钻顶样疼痛,发作后可缓解或恢复正常。症状严重而体征较轻为其特点。②多无黄疸,有时也较轻。③右上腹或上腹部无肿块。④超声检查可见胆总管内有虫体样回声影,胆总管可有轻度的扩张,而胆管扩张症无虫体样回声,可见胆总管的囊状或梭状扩张。ERCP可见胆管扩张及胰胆合流异常,而胆道蛔虫则无。
2. 急性胆囊炎 多发于成人,发热、右上腹疼痛、触痛和肌紧张明显,Murphy征阳性。有时可触及胆囊随呼吸移动并较浅表,不象胆总管扩张症的位置深并范围大。黄疸如有也较轻。B超的实时检查多可较容易地鉴别两者。急性胆囊炎无囊状或梭状扩张的胆总管。
3. 肠套叠 本病主要症状为较有规律的阵发性腹痛。腹部肿块呈椭圆形或长圆形,易移动,稍偏韧,位置多位于右上方,可有果酱样大便。钡灌肠或空气灌肠可见典型的套叠头部的杯口状影。
4. 急性胰腺炎 本病以成人多见,腹痛较剧,常位于上腹正中偏左,可牵涉及左腰背部及左肩部,严重者可发生休克,恶心呕吐、发热,可有腹膜刺激症。生化检查可见血尿淀粉酶明显增高。行B超、CT检查,可见肿大的胰腺并且胆总管是正常的。特别值得注意的是先天性胆管扩张症病程中约20~40%曾表现高胰淀粉酶血症,尿中也可查得淀粉酶增高。部分病例为真性合并的胰腺炎,而大多为毛细胆管中的淀粉酶返流入血液中而引起所谓“假性胰腺炎”的表现。该肿病例胰腺病变多较轻。
除了获得病名诊断和基本分类之外,胰胆管合流异常的存在与否及形态、其共同通道内有否结石、肝内胆管有否扩张、肝门部胆管有无狭窄等病变均应在术前或术中了解,以指导正确的治疗。
【治疗】
最近几十年来,随着对本病的病因、病理改变了解的深入,特别是60年代后对先天性胆管扩张症与胰胆管合流异常关系的逐步探明,本病的治疗经历过不同的手术处理阶段。上世纪70年代以前国内外学者都多采用外引流手术或囊肿、肠管吻合的内引流手术。手术后死亡率高达20%~30%,尽管部分病例手术后可以解决胆汁排出梗阻的问题,近期疗效尚可,但由于胆总管囊肿仍然存在,术后经常出现返流性胆管炎、囊肿感染、吻合口狭窄、胆道结石,特别是胆道的癌变等严重并发症。自60年代末手术方式出现重大改进,国际上开始采用囊肿切除、胰胆分流、胆道重建的所谓新式根治性手术。70年代在我国也逐渐进行囊肿切除、胰胆分流、胆道重建的术式。
目前认为先天性胆管扩张症的治疗原则可以归纳如下: ① 在尽可能符合生理要求的前提下,进行肠管与近端胆道的吻合。解除胆总管的梗阻,恢复胆汁通畅地向肠道排出。胆道重建时要求保证吻合口足够大,避免吻合的肠管扭曲、成角。 ②切除扩张胆总管与胆囊,排除今后可能的胆道癌变的问题。③进行胰胆分流,解决胰胆管合流异常的问题。④ 了解并解决肝内胆管存在的扩张或狭窄及肝内胆管结石的问题。⑤ 了解并解决胰胆管共同通道可能存在的胰石问题。
【手术适应症及手术时机的选择】
对于先天性胆管扩张症的治疗,鉴于其频繁的症状发作,另外在病程中有可能出现胆道穿孔、胆道癌变等严重并发症,原则上诊断明确后应及时进行手术治疗。笔者曾经历一例16岁患者,尽管先天性胆管扩张症囊肿型诊断明确,但由于家庭的非医学因素一直未能得到及时的手术治疗,至患者5年后出现严重黄疸、腹痛剧烈而不得已手术时发现囊肿发生癌变并且已经无法完全手术切除,成为惨痛教训。在针对具体的病人选择手术时机时,由于临床、病理类型的不同、是否处于急性发作期、是否合并肝功不良、是否合并高胰淀粉酶血症等情况,手术的时机及必须的术前准备有很大的不同,分别介绍。
1、先天性胆管扩张症囊肿型及胆总管明显扩张的梭状型患者
病儿一经明确诊断后,应适当术前准备、及时手术。
2、胆总管轻微扩张的梭状型患者
对于胆管扩张不明显的梭状型患者的治疗相对较为棘手,主要矛盾为一般的外科医生往往担心不扩张或仅有轻微扩张的胆管与肠道吻合后可能发生吻合口的狭窄。对于此类问题,以笔者的经验及国际上许多学者的主张,可参考如下原则处理。①主张在外科技术可以完成的前提下尽早施行根治性的胰胆分流胆道重建手术。小儿病例随着时间的延长,胆管往往会渐渐扩张。笔者曾经历数例儿童病例,起初5~6mm的胆总管直径,此后患儿有反复发作的胰胆症状,但经保守治疗后均控制好转。1至数年后随访发现胆总管直径扩张至9~15mm而成为明显的梭状型胆管扩张。一般9~10mm以上的胆总管直径可较好地完成胆管空肠吻合的手术。②如胰胆症状严重,发作频繁,而肝胆外科的技术水平较高,在证实存在胰胆管合流异常后,即使胆管扩张在9mm以下,日本有许多学者也施行了胆总管﹑胆囊切除胆道重建的胰胆分流手术,并取得极好的治疗效果。
3、急性腹痛发作期的患者
先天性胆管扩张症患者在病程的发展中经常会出现腹痛、恶心、呕吐、发热等急腹症的表现以及黄疸等胆道梗阻的表现。如果囊肿型病例出现严重的胆道感染症状、高热、腹肌紧张甚至出现休克,而判断为囊肿严重感染时应急症行囊肿外引流手术。但大多数的病例包括囊肿型或梭状型的急性发作并非严重的细菌性感染,而多由胰液返流胰酶消化引起的化学性炎症所致,此类患者经过禁食、解痉、抗炎等处理后多可以缓解,而处于缓解期时进行囊肿切除、胰胆分流的根治手术要安全许多。但个别病例即使采取以上的措施治疗一周甚至10天以上仍无法缓解腹痛、黄疸等症状,甚至加重,不得已也可以急症进行手术。作者经验有数十例急症进行根治手术者,由于炎症、水肿等问题常使根治手术变得困难,但均安全完成手术且预后良好。而如果存在极为严重的炎症,担心发生吻合口瘘者,切除囊肿后,经胆肠吻合的空肠袢内留置通过吻合口的肝内胆管T型引流管,以防止胆瘘、狭窄,可以确保手术安全,取得满意疗效。
4、急性发作合并高胰淀粉酶血症及肝功损害的患者
先天性胆管扩张症,特别是梭状型的病例,在急性发作的病程中约20~40%曾表现高胰淀粉酶血症,血液及尿中可查得胰淀粉酶的明显增高。少部分病例可能为合并真性胰腺炎,而大多为毛细胆管中胆汁内的淀粉酶返流入血液中而引起所谓“假性胰腺炎”的表现,该种病例胰腺病变多较轻微甚至没有明显的病理学改变。同时相当一部分病例合并转氨酶增高等肝功受损表现。此类病人经过上述积极的术前准备后可以有所好转,一般胰胆分流、根治手术后高胰淀粉酶血症及肝功受损的问题会很快消失。多没有必要因为高胰淀粉酶血症及肝功指标增高而延迟或改为即可的紧急手术。
5、先天性胆管扩张症合并胆道穿孔的患者
胆道穿孔也可表述为胆汁性腹膜炎,是先天性胆管扩张症的一种常见的并发症。可以发生于囊肿型合并感染、炎症时,但更多见于梭状型的病例,许多病例甚至以胆汁性腹膜炎为首发症状,而事前并不知道是先天性胆管扩张症的患者。患儿往往突然出现全身情况恶化、腹部明显膨隆、末梢血运不良、呼吸急促。腹腔穿刺抽出胆汁性腹水即可明确诊断。应进行快速的补液、纠正水电解质紊乱等必须的术前准备后急症剖腹探查。因为炎症部位的渗出、水肿、粘连多较严重,患儿病情也多危重,而无法进行囊肿切除的根治性手术。多可以通过探查找出穿孔部位置管,行胆总管引流。如果无法发现具体穿孔部位,而胆总管明显扩张者,可以行胆总管置管引流,待今后再行根治。如果难以分离胆总管、胆总管无明显扩张,可以仅行腹腔引流,待今后再行根治。如果穿孔刚刚发生,且囊肿壁炎症较轻、患儿一般情况较好,也有一期行囊肿切除、胰胆分流胆道重建成功的报告。
6、产前疑诊及新生儿病例的处理
产前诊断时往往因发现胎儿肝门部囊性肿物而拟诊先天性胆管扩张症,因为胎儿期多不会出现严重的损害,可待出生后再进一步诊治。目前尚无因正常分娩而导致囊肿破裂的报道,可以根据产科判断而选择分娩方式。选择何时进行手术是小儿外科医生此时常常面临的问题。一般认为如果出现明显黄疸及肝功损害,应该在新生儿期即行根治手术。如果无任何肝胆症状,进食、大小便、体格发育等一切正常,可待3个月后再行根治术,更为安全。
【术前准备】
本症患儿病程往往较长,肝胆疾病经常合并的凝血障碍、出血时间延长在本病同样存在,另外急性发作时患儿的呕吐、禁食等又可合并水电解质平衡的紊乱,这些在手术前都需要进行尽可能的纠正。
1、根据医院的设备条件,术前应进行B超、ERCP、MRCP、 CT、 CT三维成像等检查,在明确病名诊断的同时应尽可能了解肝内胆管的形态、胆总管远端形态及胰胆共同通道的病理形态。
2、术前完善诊断检查后,尚需要进行一些常规的术前检查。血常规、肝肾功、血生化、出凝血检查、血尿淀粉酶的测定。
3、患儿全身状况较好,无明显并发症时可以尽早择期手术。因为患儿经常合并出、凝血的问题,即使无明显黄疸或肝功受损也建议手术前注射维生素K。
4、并发胆道炎症的病例,应该采用非手术方法使急性发作获得缓解。禁食、补液、纠正水电解质平衡紊乱、解痉、镇痛、保肝、利胆等都是有效的措施。如果囊肿病例出现严重感染而无法纠正时应急症行囊肿外引流手术,术前在抗休克、补液后可以紧急手术。
5、手术前备血待用,手术前一天给予静脉抗生素,手术日清洁灌肠、留置鼻胃。
【常用手术方式及术式选择】
随着对本病认识程度的提高,其手术方式的选择也发生了很大的变化。尽管曾经广泛应用的手术方式及目前正在推崇进行的手术的具体种类繁多,但大体可以归纳为三大类型。①胆总管外引流手术,②扩张胆总管肠管吻合的内引流手术,③扩张胆总管、胆囊切除,肝总管肠管吻合的胰胆分流、胆道重建手术,也即所谓根治性手术。目前国、内外学者一致认为扩张胆总管、胆囊切除,胆道重建应作为标准的手术方式。尽管扩张胆总管肠管吻合的内引流手术有手术简便、手术时间短、损伤小等优点,并且在国内外曾经广泛应用,但由于其远期效果不佳,有癌变、感染、结石等致命的并发症,在日本、欧美已经终止使用,作者也主张在我国应该完全屏除这种内引流手术。以下将历史上曾经广泛进行过的手术术式及当今的推崇手术进行较为详尽的介绍。
一、胆总管囊肿外引流手术
(一) 适应症
本术式应用于严重胆道感染。短期保守治疗无法控制、中毒症状严重、一般情况较差的患儿以及胆道穿孔引起严重胆汁性腹膜炎,而且穿孔部位粘连严重、病情危急无法一期进行根治手术的患儿。可以先进行胆总管囊肿外引流术,待手术后1~3个月,病情稳定、营养改善、炎症明显消退后可以择期进行根治性囊肿切除、胆道重建术。
胆总管囊肿外引流手术是一种过渡性的应急手术,囊肿的胆汁外引流后能够迅速引流感染的胆汁、有效控制胆道感染而改善全身中毒症状,降低胆道内压而改善肝功。这种手术创伤小、耗时短,恰可应用于病情危重的患儿。
(二)手术体位、麻醉方法
取仰卧位,右肝部适当垫高,保持通畅的静脉通路。麻醉宜采用气管内插管、静脉或气体吸入麻醉。
(三)手术步骤
取右上腹部经腹直肌切口或右上腹横切口进腹,探查腹腔,检查囊肿的大小、形态、有无粘连或穿孔,与周围组织、器官的关系等。取囊肿的外侧,在中段或近远端处作引流管插入处,在此处缝两针1-0丝线作牵引,牵引线之间以注射器穿刺,如果抽出胆汁则证实为胆总管囊肿。胆汁送细菌培养及胰淀粉酶的测定。在预定置管引流处以4-0 Dexson 可吸收线做两层荷包缝合,结扎第一荷包固定置入的T型管或梅花管,见图13(1)。然后结扎第二个荷包,将第一个荷包埋入。缝合要求紧密,以避免胆汁漏出。在右侧腹部靠近囊肿的腹壁出戳一小切口,自腹壁外将导管引出,以1号丝线缝合导管处切口,并固定导管。见图13(2)依次缝合各层腹壁,完成手术。

图13:先天性胆管扩张症囊肿外引流手术
【手术注意事项及术后处理】
1.造瘘口位置的确定
因囊肿的外引流是一过渡性手术,待1~3个月后需要进行二次根治术。因此造瘘口位置选择时要考虑有利于下次手术,宜在囊肿的外侧靠近下部的部位。
2.手术切口的选择
可选择右上腹经腹直肌切口或横切口。切口不宜过大,囊肿周围的粘连不宜过于分离,力求手术操作简捷、迅速。今后二次手术时应用同一切口入路。
3.手术后胆汁丢失问题的处理
由于手术后胆汁丢失量较大,需要严格计算液体出入量,在术后正常进食前要特别注意及时补液以纠正水、电解质紊乱。手术后随着炎症的控制,部分患儿胆汁可经胆总管远端排入肠管。但对于胆总管远端严重梗阻、胆汁全部或绝大部分外引流的患儿,脂肪及脂溶性维生素的吸收会成为严重的问题。有作者将引流胆汁加热浓缩干燥,装入胶囊,进食时一同服用的办法解决营养物质吸收的问题,是一有效可行的方法。
4.术中冲洗腹腔
此类患儿腹腔内炎症渗出多较严重,甚至有胆汁性渗出,关腹前应温盐水仔细冲洗腹腔,可以减轻中毒症状。如果有囊肿破裂或穿孔,需同时留置腹腔引流。
二、囊肿、肠吻合的内引流手术
该手术方法在历史上(上世纪70~80年代以前)国内外都曾被广泛应用,由于仍存在胰胆管合流问题,因而术后还是反复发生胆管炎或胰腺的各种并发症,如吻合口狭窄,结石形成,胆管癌变等。目前,大多数学者认为该手术术式应该彻底摒除,而不宜再应用。
在此仅作为在该病治疗的发展史上曾广泛使用的术式予以介绍。
(一)、 囊肿、十二指肠吻合
右上腹经腹直肌切口或横切口,切口要求适当大,暴露充分。开腹后首先探查腹腔重要脏器,了解肝脏、胆囊有无明显病变。以拉钩向上拉开肝脏,可见位于十二指肠后外侧的扩张胆总管。仔细探查扩张胆总管的大小、形态、范围、与胆囊的关系及囊肿壁有无粘连或 明显的水肿炎症。在囊肿的低位处间隔4-5cm缝2针牵引线,其间穿刺抽出胆汁证实为扩张的胆总管,抽取胆汁送细菌培养和胰淀粉酶测定。将缝牵引线部分与十二指肠壁靠拢,两者浆肌层间断缝合约4-6cm,靠缝合线0.5cm处分别切开囊肿壁与十二指肠全层。见图14(1)。以包绕纱布的吸引器吸净囊肿内胆汁,并取出可能存在的囊肿内结石。以4-0 Dexson可吸收线内翻缝合切开的囊肿与十二指肠,并于外侧壁0号线间断缝合,完成囊肠吻合,见图14(2)(3)。温盐水冲洗腹腔,留置右侧腹腔内的引流管,逐层关腹。

图14: 先天性胆管扩张症囊肿、十二指肠吻合手术
(二)、 囊肿、空肠Roux-Y吻合术
手术切口入路及进腹后的探查同囊肿-十二指肠吻合。囊肿吻合口的位置宜选在囊肿的最低位。提起横结肠,在右侧结肠系膜的无血管区处靠近胆总管囊肿处剪开系膜,作为囊肿肠管吻合的位置。见图15(1)。在距Treitz韧带约15cm处的空肠部位选一无血管区,并保证肠管离断面远端的空肠上拉至囊肿吻合口处的足够长度,并保证血供。切断空肠,将远端空肠的对系膜缘的肠壁向下纵行剪开1.5~2cm,使断端呈斜面以保证吻合口足够大。见图15(2)。将空肠近端上提与准备吻合的囊肿最低处与囊肿侧壁的浆肌层间断缝合,见图15(3),然后距缝合线0.5cm处切开囊肿壁,并椭圆形切除囊壁的一部分,使其切口大小与肠管斜形端口相一致。吸尽囊肿内胆汁,以4-0 Dexson可吸收线缝合囊、肠壁全层,前壁全层内翻缝合,然后以1-0号丝线间断缝合囊、肠壁的浆肌层,吻合口保持在3~5cm以上。见图15(4)。缝合封闭空肠系膜缘,防止内疝发生。
在囊肠吻合口远端30~40cm处的空肠处行近端空肠与远端空肠的端侧吻合,并将此吻合口近侧的两空肠支浆肌层间断缝合3-4针,以保证顺行蠕动与通行的方向。见图15(5)。缝合、封闭肠系膜的游离缘,置右侧腹腔引流,逐层关膜。

图15: 先天性胆管扩张症囊肿、空肠Roux-Y吻合术
三、扩张胆总管、胆囊切除,胰胆分流、胆道重建术
自六十年代在国际上开始应用此术式,目前国内外学者已一致认为囊肿切除、胰胆分流、胆道重建为治疗先天性胆管扩张症首选的根治性手术。该术式可以解决囊肿、肠管吻合内引流手术所存在的许多问题。其优点为:①解决胆总管狭窄的问题。②可以较彻底地切除病灶,同时胰胆管的分流可以去除胰胆管合流异常的重要病理改变,防止胰液在囊肿内与胆汁合流。由此可以彻底解决由于囊肿内返流的胰酶导致被肝脏轭合解毒的致癌物质脱轭合而恢复其致癌性的问题,达到预防癌变发生的目的。③手术后并发症少,较囊肿肠管吻合引流手术的远期疗效明显好。④可以通过近端的肝总管了解左右肝管,甚至肝内胆道的病变,予以必要的处理。⑤可以了解胰胆共同通道内可能存在的胰石等病变的问题,进行必要的处理。
扩张胆总管、胆囊切除、胆道重建术常用的术式有肝总管-空肠Roux-Y吻合,空肠间置、肝管-十二指肠吻合术、肝总管-十二指肠吻合及空肠间置代胆道加矩形瓣等附加的各种抗返流的分支术式。
(一)扩张胆总管、胆囊切除,肝总管-空肠Roux-Y吻合
此为目前国内外最常应用的术式。
【手术入路】 右上腹经腹直肌切口或横切口入腹。因要处理肝门部胆管或肝内胆管,笔者经验以剑突下的经腹直肌切口入路暴露更好。入腹后探查肝脏、胆囊及胆总管。
【手术操作】
1.术中造影及胆汁检测 如果条件许可,尽可能行经胆囊的胆道造影。依扩张胆总管的容积大小决定注入的30%左右泛影葡胺量的多少,造影时可以用不含显影线的纱布将胰胆管共同通道处推挤开,以防囊肿与胰胆管重影。在胆囊壁缝一小荷包线,置头皮针管后扎紧荷包,抽取胆汁行细菌培养和测胰淀粉酶。
造影显示的肝内胆管及胰胆管共同通道的可能的病理变化可以作为下一步具体手术处理方案的参考。
2.剥离囊肿 沿十二指肠外侧纵行切开后腹膜,暴露出囊肿壁,小婴儿或炎症较轻者,囊肿壁较薄,层次比较清楚。见图16(1)。可以沿囊肿壁做囊肿全层的游离,然后切除囊肿。但稍大年龄的小儿或炎症较重者,囊肿壁炎症往往明显,囊肿壁厚,极脆,牵拉时易撕裂。故行囊壁内层的剥离可以减少出血并防止损伤门静脉和胰腺。先剥离囊肿的前及外侧壁无粘连的部分,在胆囊管汇入囊肿的水平处打开囊壁,并在远、近端打开的囊壁缘缝数针牵引线,吸出囊肿内胆汁,并注意检查可能存在的结石或脓苔。探查胆囊,肝总管及左、右肝管的开口部位和直径,并仔细检查找到胆总管远端的细管。边止血,边在囊肿壁内将囊肿壁内层完全横断。
3.游离、切除胆囊 将胆囊提起,在胆囊与肝脏交界处的胆囊壁处切开浆膜层,将胆囊附着肝脏的浆膜完全切开,边结扎胆囊系膜及胆囊血管,边将胆囊游离至囊肿处。因胆囊管解剖变异非常多,可以从胆囊管的入口或切开胆囊向近端伸入胆道探子以了解胆囊管走行,可先行切除胆囊也可与囊肿一并游离、切除。见图16(2)。
4.切除扩张胆总管 将囊肿内壁横断处远端的牵引线提起,以钝性或锐性分离的方法向远端游离囊肿壁。在与十二指肠、胰腺等器官附着处的囊肿外壁则予以保留,仅将内壁游离剥除。特别是炎症明显的病例,此时剥离内壁常常有多量渗血,应边剥离边凝血,直至胆总管远端。如胆总管远端狭窄段内口较大时,应以细探子探入,了解狭窄段的长度和直径。根据内口的直径,置管将胆总管远端及胰胆共同通道以生理盐水仔细冲洗。将狭窄部的胆总管末端在胰腺被膜处将其结扎或缝合后切断。然后继续剥离横断的近端扩张胆总管壁至肝门处,备肝总管与空肠吻合。见图16(3)(4)(5)。
5.肝总管-空肠Roux-Y吻合术 距Treitz韧带15~20cm处选一合适的血管弓,使横断后的空肠可以松弛地上拖。将此处肠系膜切断至根部,结扎、切断系膜及血管。自横结肠右侧系膜的无血管区剪孔,由结肠上方经此孔伸入中号血管钳钳夹预备切断空肠处的远端,其上方另夹一钳,切断空肠。切面消毒,近端以纱布包绕保护断端,远端经结肠系膜孔上拖至肝门处。
以1号丝线内翻缝合封闭空肠断端。将距断端约0.5~0.8cm处的空肠对系膜缘与肝总管口对合,先以1号丝线将两者浆肌层缝合,然后剪开空肠侧壁,以4-0 Dexson可吸收线间断行端侧肝总管空肠吻合,并以0号丝线间断缝合前壁的浆肌层。再次对囊肿剥离后创面严密止血,并予以对拢,包埋缝合。见图16(6)。
6.空肠-空肠端侧吻合 在距肝总管-空肠吻合口约25~30cm处与空肠近侧断端行空肠-空肠端侧吻合。吻合后确认吻合口通畅,缝合封闭空肠系膜和游离缘,防止内疝的发生。然后将此吻合口近端的两支空肠支的浆肌层间断缝合3-4针,以保证顺行蠕动。见图16(7)。
7.留置右侧腹腔内引流管,逐层关膜。

图16:先天性胆管扩张症扩张胆总管、胆囊切除,肝总管-空肠Roux-Y吻合
(二)囊肿切除,肝总管-十二指肠吻合
【手术入路】 手术入路同前。
【手术操作】
1. 探查腹腔,扩张胆总管、胆囊切除同前。
2. 肝总管十二指肠吻合 距幽门部4~7cm处的十二指肠壁与肝总管后壁以1-0号线间断浆肌层缝合,在距缝线0.5cm处纵行切开十二指肠约2~3cm,用4-0 Dexson可吸收线全层间断缝合吻合口后壁及前壁,再以0号线间断缝合前壁浆肌层。见图17(1)(2)。
3.留置右侧腹腔内引流管,逐层关腹。
本术式较简单,胆汁直接进入十二指肠以便符合生理状态,但肠道靠近肝总管,十二指肠内容极易发生逆流,术后并发症较多。见图17(3)。

图17:扩张胆总管、胆囊切除,肝总管-十二指肠吻合
(三)扩张胆总管、胆囊切除,空肠间置胆道重建术
【手术入路】 手术入路同前。
【手术操作】
1. 探查腹腔,扩张胆总管、胆囊切除同前。
2. 切取用于间置的空肠 距Treitz韧带15~20ccm处选择带有1~2条系膜合适血管的空肠肠段,切取10~12cm空肠。自横结肠右侧系膜切孔拖出至十二指肠降部备用。空肠两断端端端吻合。
3.肝总管间置空肠吻合 缝合封闭空肠肠袢的近端,将空肠近侧端的对系膜沿肠壁切口,长度与肝总管直径相适应,然后行肝总管-空肠端侧吻合。
4.间置空肠-十二指肠端侧吻合 切开十二指肠外侧后腹膜,游离十二指肠降部,在其前壁作一口径与空肠口径相应的横切口,行空肠-十二指肠端侧吻合。见图18。

图18: 先天性胆管扩张症扩张胆总管、胆囊切除,空肠间置胆道重建术
【本术式优缺点评价】
本手术切除了扩张肝总管、胆囊,达到了胰、胆管分流的目的。对于肝总管-空肠Roux-Y吻合术与空肠间置胆道重建术的比较,后者在肝总管与十二指肠之间间置一短段空肠代胆道,符合生理要求。但此手术操作相对复杂,吻合口多。金百祥曾对比分析间置空肠代胆道与肝总管-空肠Roux-Y吻合两种术式的远期随访结果,认为治疗效果无明显差异,因此目前国内外都较多使用肝总管-空肠Roux-Y吻合方法。
【手术注意事项】
1.在术前或术中应该仔细了解肝内胆管及胰、胆管共同通道情况、存在的可能癌变、肝内胆管扩张、膜状狭窄、胆道结石、胰胆管共同通道内胰石存在等问题,根据病变进行相应的处理。术前各种特殊检查、术中胆道造影及术中探查等方法有助这些病变的判定。
2.开腹探查后,在不刺激胰腺的前提下,首先抽取胆汁送胰淀粉酶、常规检验及细菌培养。可以避免胰淀粉酶的异常增加或血液的混入。在抽出胆汁后注入相当剂量的造影剂进行术中造影。
3.在横断、剥离扩张胆总管时应正确选择管壁的层次,即在有丰富血管网的外层下剥离内壁,外层留置。这样可以明显减少出血,并可避免周围血管、胰腺的损伤。用边剥离边凝血的方法可以有效止血,如使用氩气刀则更为方便。囊肿切除后应严密电凝止血,对拢缝合残腔。
4.仔细恰当地处理胆总管远端非常重要。由于胆管扩张类型不同。特别是囊肿型与梭状型即有很大的不同,其胰胆管合流异常的形态也各异,既要切除至胆总管远端,又不能损伤胰胆管共同通道。有时囊肿有相当一部分突入至胰腺内,需要渐进性的仔细剥离才能将胆总管远端翻出、暴露,因此影像学对胰胆管合流的提示和术中的仔细观察都非常重要。
5.因肝总管-肠管吻合后,胆管远端已无括约肌,胆道内压力调节消失,此时胆囊已属无用,并且有可能成为今后癌变的病灶,应常规一并切除。
6.肝总管炎症不重,吻合口较大时,胆管-肠管吻合口内无须留置T形管。但反之,需要留置,以防胆漏和狭窄发生,术后12天可以拔除。
7.如果肝总管近端无狭窄,可以留有适当的口径与空肠吻合,但如果肝总管近端有狭窄,则不能保留肝总管远侧扩大的“喇叭口”,应切除肝总管至狭窄部以上,或行左、右肝管成形后再与空肠吻合。
8.肝总管-空肠Roux-Y吻合术的空肠支要有足够的长度和良好的血运。一般30cm以上,有作者保留40cm的长度。可以较好地抗返流发生。
9.空肠间置代胆道时,空肠袢要保证血运足够供应,吻合后系膜不应有任何张力。
10.肝总管-十二指肠吻合时吻合口要足够大,以防手术后的狭窄。
(四)腹腔镜治疗先天性胆管扩张症
随着微创手术的兴起,国内外很多小儿外科中心采用腹腔镜治疗胆总管囊肿。我国小儿外科医生在该领域也对国际小儿外科做出巨大贡献。该术式与开腹手术比较有如下优点:可暴露位置深在的解剖结构,手术野清晰并有放大作用,使术中操作更精准,有利于囊肿的无血剥离切除和准确吻合;对腹腔脏器骚扰小,手术打击小,胃肠功能恢复快;切口美观等。
但是,完全腹腔镜下进行囊肿切除和胆道重建手术操作复杂、技术要求较高、学习曲线相对较长,肝内胆管狭窄、胰管内结石、二次手术和反复慢性胆管周围炎症者仍然被认为是腹腔镜手术的难点。腹腔镜手术在技术成熟的情况下比开放手术有一定的优势,但在手术技术不成熟的情况下,该手术发生胆汁漏、胰腺内胆总管囊肿切除不够彻底、输胆肠袢梗阻、术中大出血不易迅速控制等问题的几率仍偏高,需要评估权衡开放和腹腔镜手术的选择,有待进一步的评估和观察随访。无论何种术式,医疗安全始终是第一位的,应充分考虑术者的经验和技术水平、患者的实际病情来合理掌握腔镜手术指征,综合优化,慎重选择。最近,有应用Da Vinci 机器人辅助外科手术系统治疗先天性胆管扩张症,也取得很好的效果。
四、几种特殊情况的手术及辅加手术
(一)合并肝内胆管扩张的手术
临床统计约30%-40%的病例合并肝内胆管不同程度的扩张,仔细的影象学检查和术中探查可见部分肝内胆管扩张呈自肝门部向胆管末端逐渐变细的锥形扩张,此类病例无须特别的手术处理。而另外部分则表现为肝内胆管约0.5~2.2cm直径大小的囊样扩张,左、右胆管最大径处明显扩张,但其汇入肝总管的开口却呈瓣膜状、隔膜状或细管状狭窄。对存在于左、右肝管处的此类狭窄者,根据狭窄情况以狭窄口隔膜切除或狭窄段纵切,6-0 Dexson可吸收线横缝的方法解除狭窄。然后反复冲洗肝内胆管,最后完成肝管-空肠Roux-Y吻合、胰胆分流胆道重建的标准手术,。董蒨报道采用这种解决肝内胆管扩张问题的辅加手术者,较不处理肝内胆管扩张的手术病例,两者相比前者术后远期并发症明显少于后者。作者体会术前B超或CT检查提示合并有肝内胆管扩张者应高度怀疑是否存在肝内胆管的狭窄。在术中应进一步行胆道造影、增强CT合并计算机辅助手术的三维重建、胆道镜观察、胆道探子行肝内胆管探查、术中直视观察等措施,以了解肝内胆管病变。
(二)胆总管轻微扩张病例的手术
一般认为以胆总管直径大于0.4cm~0.6cm即为异常,如果同时合并胰胆管合流异常,即可以明确先天性胆管扩张症的诊断。但扩张不明显的病例的治疗相对较为棘手。主要矛盾为一般外科医生往往担心,仅有轻微扩张的胆管与肠管吻合后可能发生吻合口的狭窄。根据国内、外学者和作者自己的经验,对于极轻微扩张病例可以随访观察,随时间推移,胆管往往会渐渐扩张。作者曾经历数例儿童病例,起初胆总管直径为0.5~0.6cm,以后数年内患儿有反复发作的胰胆症状,但经保守治疗后控制好转,2~6年后随访发现胆总管扩张至0.9~1.5cm,而成为梭形胆管扩张,而此时可以较好地完成肝总管-空肠吻合。手术时应经空肠支留置通过胆管-肠道吻合的置于左右胆管处行T型管,另一端经空肠中段靠近腹壁处戳孔引出,在肠壁戳孔处缝荷包线并与腹膜缝合固定。留置T形管可以较好地解决吻合口狭窄和防止可能发生的吻合口漏的问题。但手术后至拔除T形管期间大量胆汁的丢失成为另一问题。作者将T形管已过肝管-空肠吻合口,但尚在空肠支内的一段处剪一侧孔,使胆汁可以引流至空肠袢内,较好地解决了胆汁丢失的问题。
(三)先天性胆管扩张症二次手术问题
部分病例由于病情需要,曾接受一期的囊肿外引流术,如急性严重感染的病例和扩张胆总管穿孔的病例。而另有部分病例由于历史的原因或其他原因而接受了囊肿肠管吻合的内引流手术,术后并发症会反复发作。在临床上遇到这两类病人,应该考虑二次根治性手术的问题。因为囊肠内引流手术未解决胰胆管合流异常的问题,存在的囊肿就成为炎症反复发作或癌变的病灶,原则上应该行二次根治手术。
如果原手术切口合适,应尽量自同一入路进腹。因是二次手术,腹腔内特别是右上腹多有较严重的粘连。仔细以钝性或锐性分离的方法暴露出胆道。如果为囊肿外引流的病儿,术前经T型管胆道造影可以较全面了解胆道的病理形态,以供手术参考。如为囊肿肠管内引流病例,可以先夹闭内流的肠袢行术中胆道造影。根据胆道影像指导手术。
囊肿外引流病例可沿造瘘管分离至囊肿,拔除引流管并切开囊肿壁,如前述手术方法切除囊肿行肝总管-空肠Roux-Y吻合。囊肿-肠管内引流手术者,如为囊肿-空肠Roux-Y吻合,可以在吻合处离断空肠,然后切除扩张胆总管、胆囊,利用原肠袢行肝总管-空肠Roux-Y吻合。如为囊肿十二指肠吻合,应在吻合口处离断吻合,修补封闭十二指肠吻合口,然后切除扩张胆总管、胆囊,选用合适空肠袢行肝总管-空肠吻合。
二次手术应注意的问题:
(1)胆道周围多有较严重的粘连,解剖关系往往不清;提别是第一次手术在他处进行者,家长常不能准确提供第一次手术的具体术式,给本次手术带来困难。但仔细分离,多可暴露清楚。
(2)患儿多存在胆汁丢失,Vitk吸收障碍的问题,甚至许多患儿因反复的炎症,感染发作,肝功多有不同程度的损坏,二次术前应该尽可能充分准备予以纠正。
(3)此类病人胆道常有结石,炎症病灶甚至癌变等,术中应仔细检查,必要时行快速冰冻病理检查,以决定手术方案。
(四)国内外各种抗返流辅加手术
为了防止术后返流性胆管炎的发生,国内外许多学者都为控制肠内容物向胆管返流进行了不懈的努力,曾提出过多种抗返流术式。代表性的辅加手术有如下几种:
1.矩形瓣成形术
为我国张金哲院士创用的一种在国内、外都产生过较大影响的辅加手术。可用于空肠间置代胆道或肝总管-空肠Roux-Y手术中。将间置肠管面向十二指肠的半周肠壁的浆肌层剥除4~5cm,剥离后膨出的粘膜创面对合至十二指肠前壁,并将两肠壁的浆肌层间断缝合,在两肠段间形成一凸入间置空肠腔内的矩形瓣,特别是当食物下行通过时凸入间置肠腔更为明显,可以较好地起到防返流的作用。肝总管空肠Roux-Y吻合术时可以采用相同的办法在空肠-空肠端侧吻合处附加矩形瓣成形术。(图19)

图19:先天性胆管扩张症矩形瓣成形术
2.人工肠套叠成形抗返流术
有作者在引流胆汁的空肠支的下段人为将肠管顺行套入远侧肠空内1.5~2.0cm,并缝合浆肌层予以固定,以期达到抗返流的目的。但因抗返流作用不确实,仅曾有部分学者试用。
3.回盲部或阑尾代胆道手术
为了防止术后返流性胆管炎的发生,有作者尝试应用回盲部或阑尾间置胆道重建的方法。
(1)回盲部间置胆道重建 切除囊肿后游离回盲部,两端切断形成一个带血管蒂的回盲段,向上翻转间置与肝总管与十二指肠之间,以重建胆道。据使用者报道8例,防返流效果好。但此为破坏性手术,回盲部的切除使小肠内容直接进入结肠,可能引起另外的生理功能影响,另外回盲部淋巴组织丰富,易因炎症肿胀。
(2)阑尾间置胆道重建 有作者试用此法,认为只要手术中阑尾无病变,其系膜和动脉血供至肝门处无张力即可以使用。曾试用13例,12例近期效果好。但阑尾处淋巴组织丰富,阑尾腔较狭窄,一旦炎症发生易引起胆汁排除不畅。
这二种方法均为部分学者的试用,缺乏长期的随访结果,另外理论上也有不尽合理之处,多数学者不主张使用这二种间置手术。
【术后处理】
1.手术后应密切观察患儿的一般情况,保证腹腔引流管的通畅,提别是巨大的囊肿切除后残留较大的腔隙,有术后大量渗出血的可能。腹腔引流管如无明显的血液或胆汁引流出,可于术后5天拔除。
2.术后禁饮食、持续胃肠减压、补充液体及电解质,可于手术2日后加用静脉营养。待肠蠕动恢复后停止胃肠减压,术后4天可先进食流质,逐渐过渡至半流质饮食。
3.术后继续应用静脉广谱抗生素及甲硝唑类药物,有肝功损害者可加用保肝治疗。
【术后并发症及治疗和预防】
手术后有可能出现术后出血、吻合口瘘、肠粘连、水电解质平衡紊乱,晚期并发症可能有吻合口狭窄、返流性胆管炎、肝内胆管结石、胰胆管共同通道病变及胰腺病变等。
1.术后出血
由于术前胆道的炎症反复发作且常有肝功能损害,易导致凝血因子缺乏、VitK吸收不良、纤维蛋白合成不足等,该病手术时经常会发现渗血明显,不易止血。特别是较大的囊肿切除后创面渗血较严重。而局部的炎症又使血管不易收缩而出血加重。因此,术后应保持腹腔引流管通畅,密切观察病情的变化。如果腹腔引流量较多,且为新鲜血液,应即刻加大止血药物及VitK的静脉滴注,必要时给予输血。腹部可适当加压包扎。经此处理,一般渗血会逐渐停止。如果出血量大,经输血仍无法维持应剖腹探查。
对于术后出血并发症的预防,可采用如下措施:①术前改善肝功,早期应用VitK。严格术前出、凝血功能做检查。②在囊肿切除时,要在囊肿的纤维层内的无血管区剥离,可采用边剥离边电凝血的办法严密止血。有条件者可应用氩气刀,止血效果极好。③囊肿切除后要求严密缝合残存的囊肿外壁,封闭残腔。如有细小的渗血,也可用止血海绵包埋入残腔内促进凝血。④对于搏动性出血一定要严密结扎止血。
2.吻合口瘘
吻合口瘘包括肝总管-空肠和空肠-空肠两个吻合口瘘的发生。可能由于肝总管壁炎症较重,或在切除囊肿时剥离肝总管壁较多,引起血运障碍。或吻合时对合不良所致。一般胆瘘或肠瘘多发生于手术4-5天后,表现为腹腔引流管有多量的胆汁或胆汁性肠液流出,由于局部有部分粘连形成,经保持引流通畅,给予禁食,胃肠减压,充分营养支持多可以保守治愈。
对于吻合口瘘并发症发生的预防,可以采用如下的措施:①在切除扩张胆总管、胆囊时注意避免肝门部肝总管壁血运的保护,不要过多剥离肝总管的浆膜层。②吻合时用柔软的Dexson可吸收缝合线,保证吻合口对合良好,且浆肌层的间歇缝合要确实。③肝总管处炎症较明显或肝总管扩张较轻微者应留置经空肠支导出做通过肝总管肠管吻合口的T形管。以保证吻合口无狭窄和防止吻合口瘘。④保证空肠袢的血液供应。
3.返流性胆管炎
手术后的胆道返流性感染是一非常常见的并发症,手术后近期或晚期均可以发生。一般认为肠内容物的返流、吻合口引流不畅或囊肿-肠管吻合时均易诱发。许多学者曾尝试应用各种抗返流的方法来试图彻底阻止返流的发生,如使用矩形瓣、肠套叠法、盲肠或阑尾代胆道等方法。甚至有将空肠袢保留达60~75cm。但许多临床研究证实,即使采用了这些措施也多不能完全防止肠内容物的返流。但许多病例即使返流发生,只要返流入肝管的肠内容又顺利流出就不会引起胆管炎的发生,而当肝内胆管有狭窄及囊性扩张或吻合口不畅则很容易导致胆管炎。因此手术中应仔细了解肝内胆管的形态并进行适当的处理。另外,应该完全摒除囊肿、肠管内引流的术式。
4.吻合口狭窄
原因:①胆总管囊肿造口术或囊肿-肠管吻合术后,囊肿反复感染,囊壁增厚。②囊肿切除、胆道重建术中,吻合口不够大,吻合口对合不良。吻合口狭窄多伴有结石,以至出现肝脏功能受损、门脉高压、癌变等严重后果。
防治:①选择适当的术式,掌握正确的吻合技术;②防治胆道感染;③由于吻合口狭窄,临床经常出现黄疸、肝脏功能受损时,应及时进行PTC或经皮肝穿胆道镜检查(percutaneous transhepatic cholangioscopy, PTCS),经PTCS行球囊扩张。合并肝内结石者,可行内镜下碎石术(electrichy-drouhic lithotomy,EHL)。或再次开腹行肝门部肝管-空肠Roux-Y吻合术。
5.胰腺并发症
胰腺并发症主要有胰石、蛋白栓(protein plug)、胰腺炎及胰腺癌。
原因:①胰腺内胆管残留;②先天性胰管扩张;③共同管扩张造成胰液滞留,继发感染等。
临床表现:在囊肿切除、胆道重建术后,出现发热、上腹部疼痛、血清及尿中胰淀粉酶增高时,应想到胰腺炎或胰石。
防治:①术前行ERCP或MRCP,掌握胰、胆管的形态;②术中切开胰腺被膜,将胰腺内胆管彻底切除;③胰管扩张、胰腺结石,可酌情行Oddi括约肌成形术、胰管-空肠吻合术或胰、十二指肠切除术等。
6.癌变
先天性胆管扩张症伴胰胆管合流异常的癌变率极高,有人认为胆管扩张症是胆道癌的癌前病变,较一般人患胆道癌的发病率高5~35倍。术后癌变率随年龄的增长而增高,大多发生在35岁以后,但亦有儿童、青年发病者。
术后癌变与胆管扩张症的类型及术式有关:①梭型及圆柱型癌变率极高;②囊肿-肠管吻合术,特别是囊肿-十二指肠吻合术,术后癌变率尤高,约占术后癌变例的50%。③囊肿切除、胆道重建术后的癌变主要是来源于肝内胆管癌及吻合口部胆管癌,可能由于吻合口狭窄,反复感染所致。
防治:防治的关键是选择包括扩张胆总管、胆囊切除的根治术,并做到胰、胆分流和足够大的吻合口,使胆汁引流通畅。术后定期随访观察亦十分重要。
7.胃、十二指肠溃疡
由于胆汁返流对胃粘膜屏障的影响,可发生胃、十二指肠溃疡。有报告胆道重建术后约5%发生胃、十二指肠溃疡,且多发生于术后5年以上,尤以胆总管-十二指肠吻合术后为多发,需要长期随访观察。
【预后】
先天性胆总管囊肿手术死亡率,在我国60年代可达30%左右,近年来已明显下降,约为4%。作者单位近20年间共治疗该病100余例,未发生手术死亡。
(董蒨 苏琳 )
参 考 文 献
1.董家鸿,郑秀海,夏红.等.先天性胆管囊状扩张症:新的临床分型与治疗策略.中华消化外科杂志.2015,12(5):370-377
2.张震,李龙. 先夫性胆道扩张症分类进展. 中华小儿外科杂志.2015,36(4):308-11
3.樊艳华,房龙,杜时雨.Ⅲ型先天性胆管囊性扩张症一例.中华消化内镜杂志.2011,28(12):717
4.余东海,朱天琪,魏明发,等. 3D腹腔镜在小儿外科中的初步应用探讨.中华小儿外科杂志.2014,35(11):836-9
5.钟世彪,钟武,张磊昌,等. I型先天性胆管扩张症的诊治.中华肝胆外科杂志.2015,21(3):213-6
6.苏琳,董蒨,张虹,等.计算机辅助手术系统在先天性胆管扩张症诊治中的应用.临床小儿外科.2016,15(2):140-143
7.白日星,宋茂民. 胆管非扩张型胰胆管合流异常诊治的进展[J]. 中国普通外科杂 志,2004,13:130 – 132
8.李龙,张金山,孙海林. 先天性胆管扩张症合并共同管内蛋白栓的诊断和处理[J]. 中华小儿外科杂志,2009,30(10):664 – 667
9.刁美,林海伟,明安晓. 先天性胆管扩张症的病因病理及分型研究[J]. 中华小儿外科杂志,2012,33(4): 249 – 253
10.刘栋,孙学军. 先天性胆管囊状扩张症诊断治疗进展[J]. 陕西医学杂志,2013,42(6):748 – 749
11.董蒨,江布先,张虹. 先天性胆管扩张症合并肝内胆管扩张及复杂胆道畸形的诊断与治疗对策[J]. 中华小儿外科杂志,2005,26(6):285 – 288
12.李龙,张金山,刁美. 小儿先天性胆管扩张症研究进展[J]. 中国实用外科杂志,2012,32(3):214 -217
13.杨明,乔岐禄. 胰胆管合流异常的研究进展[J]. 世界华人消化杂志,2008,16(11):1215 – 1219
14.董蒨. 先天性胆管扩张症.董蒨,主编.小儿肝胆外科学 第一版.北京:人民卫生出版社,2005.225-274.
15.张斌,李长锋,杨蕾,等. 胰胆管合流异常和胆道肿瘤的关系[J]. 中国实验诊断学,2007,11:1124 – 1125
16.李龙,余奇志,刘钢,等. 经腹腔镜行先天性胆总管囊肿切除肝管空肠Roux-Y 吻合术的探讨[J]. 临床小儿外科杂志,2002,1(1): 54 – 61
17.刘栋,孙学军. 先天性胆管囊状扩张症诊断治疗进展[J]. 陕西医学杂志,2013,42(6):748 – 749
18.张金哲. 先天性胆总管囊肿切除短段空肠代胆道手术:临床和实验研究. 中华小儿外科杂志. 1986,7: 1-4
19.金百祥、周以明. 先天性胆管扩张症囊肿型和梭状型特征的临床与病理观察. 中华小儿外科杂志. 1986,7: 199
20.金百祥: 胆总管囊肿内引流术后胆管腺癌1例.中华小儿外科杂志 1987, 8: 151
21.董蒨,金百祥: 胆管扩张症的病因研究:动物模型与实验.中华小儿外科杂志 1990; 11: 257-259
22.董蒨,金百祥:胆管扩张症发生高胰淀粉酶血症的机理探讨.上海医学 1991; (3): 125-127
23.董蒨:先天性胆管扩张症病因学实验研究. 中华小儿外科杂志 1992; 13: 173-174
24.徐少明 先天性胆管扩张症并发癌变. 普外临床 1994; 9(5): 314-316
25.齐宝权; 王果; 袁继炎 囊肿切除间置阑尾重建胆道治疗先天性胆管扩张症.中华小儿外科杂志 1994; 15: 82-83
26.董蒨, 木内武美, 国友一史, 等. 先天性胆管扩张症胆道癌变机制研究. 中华小儿外科杂志 1994, 15: 79-81
27.师松年, 徐向荣, 孙蔓丽,等:阑尾代胆道治疗先天性胆管扩张症3例体会. 中原医刊 1995, 22: 24-25
28.董蒨. 先天性胆管扩张症与胆道癌变. 中华小儿外科杂志 1995.; 16: 112-113
29.王慧贞, 曲日斌, 王维林. 先天性胆管扩张症远期疗效随访观察. 中华小儿外科杂志 2000, 21: 199-201
30.韩素芳, 彭丽君. 儿童胆管扩张症的CT诊断及分型:附97例分析. 医学影像学杂志 2001, 11: 309-311
31.董蒨, 江布先, 杨波. 先天性胆管扩张症远近端胆管处理的要点及临床意义.中华小儿外科杂志 2001; 22: 293-295
32.李龙,王燕霞,王大勇. 胰胆合流共同管开口异位与先天性胆总管囊肿形态关系的探讨. 中华小儿外科杂志 2002, 23: 122-123
33.陈永卫,王燕霞, 陈幼容. 婴儿胆总管囊肿的临床特点. 中华小儿外科杂志 2002, 23: 461-462
34.Lipsett PA, Pitt HA. Surgical treatment of choledochalcysts[J]. J Hepatobiliary Pancreat Surg, 2003,10(5):352 – 359
35.Funabiki T, Matsubara T, Miyakawa S, Ishihara S.Pancreaticobiliary maljunction and carcinogenesis to biliary and pancreatic malignancy.Langenbecks Arch Surg. 2009 ; 394(1):159-69
36.Diao M, Li L, Cheng W. Congenital biliary dilatation may consist of 2 disease entities[J]. J Pediatr Surg, 2011, 46(8):1503-1509
37.Nino-Murcia M, Jeffrey RJ, Beaulieu C, et al. Multidetector CT of Pancreas and bile duct system: Value of curved planar reformations[J]. AJR,2001,17:689 - 693
38.Ono S, Fumino S, Iwai N.: Diagnosis and treatment of pancreaticobiliary maljunction in children. Surg Today. 2011 ; 41(5):601-5
39.Alonso-Lej F, Rever WB Jr, Pessagno DJ: Congenital Choledochal cyst, with a report and an analysis of 94 cases. Int Abst Surg 108:1-30,1959
40.Babbitt DP. Congenital choledochal cysts: new etiological concept based on anomalous relationships of the common bile duct and pancreatic bulb. Ann Radiol 1969, 12:231-240
41.Komi N,Udala H,ILEDA N,et al.:Congenital dilatation of the biliary ract :New classification and study with particular reference to anomalous arrangement of the pancreaticobiliary ducts. Gastroenterologica Japonica 1977, 12: 293-304,
42.Congenital choledochal cysts: analysis of 1433 patients in the Japanese literature. Am J Surg. 1980, 140:653-657
43.Todani T, Watanabe Y, Toki A, et al. Carcinoma related to choledochal cysts with internal drainage operations. Surg Gynecol Obstet. 1987, 164:61-64
44.Okada A, Nakamura T, Okumura K, et al. Surgical treatment of congenital dilatation of bile duct (choledochal cyst) with technical considerations. Surgery. 1987, 101:238-243
45.Kato T, et al: Pathology of anomalous junction of the pancreaticobiliary ductal system: Mutagenicity of the contents of the biliary tract and nuclearatypia of the biliary epithelium. Keio J Med, 1989; 38:167
46.Ohuchida J, Chijiiwa K, Hiyoshi M, Kobayashi K, Konomi H, Tanaka M. Long-term results of treatment for pancreaticobiliary maljunction without bile duct dilatation. Arch Surg 2006; 141:1066-1070
47.Kang CM,Chi HS,Kim JY,et al. A case of robot-assisted excision of choledochal cyst,hepaticojejunostomy,and extracorporeal Roux-en-y anastomosis using the da Vinci surgical system [J]. Surg Laparosc Endosc Percutan Tech,2007,17(6):538-541
48.Dong Qian, Kinouchi T, Kunitomo K, et al.:Mutagenicity of the bile of dogs with an experimental model of an anomalous arrangement of the pancreaticobiliary duct. Carcinogenesis 1993, 14:743-747
49.Komi N, Qian D, Ming L: Comperative studies on choledochal cyst in japanese an chinese; pancreatitis in relation of type of APBD. Proceedings of XXX World Congress of ICS (Kyoto), Monduzzi Editore, Italy, 1996, 691-695
50.Komi N, Talehara H, Miyoshi Y. Does the pancreatic duct of choledochal cyst in the adult terminate at the papilla of Vater? Proceedings of 14th World Congress of CICD.(Passaro E Jr. Condon RE, Basoli A), 503-506, Monduzzi Editore, Bologna, Italy,1994
51.Matsumoto, K., et al., Successful biliary drainage with peroral direct cholangioscopy in a patient with Roux-en-Y hepaticojejunostomy for congenital biliary dilatation. Endoscopy, 2015. 47 Suppl 1 UCTN: p. E497
52.Jhamb, S., et al., Intrahepatic stones from congenital biliary dilatation. Ochsner J, 2015. 15(1): p. 102-5
53.Kimura, W., Congenital dilatation of the common bile duct and pancreaticobiliary maljunction: clinical implications. Langenbecks Arch Surg, 2009. 394(2): p. 209-13
54.Ungania, S. and N. Barletta, [Congenital dilatation of the biliary system in adult: about three clinical cases]. Ann Ital Chir, 2011. 82(6): p. 493-8
55.Hamada, Y., et al., Diagnostic criteria for congenital biliary dilatation 2015. J Hepatobiliary Pancreat Sci, 2016
56.Zhou, Z., et al., Virtual facial reconstruction based on accurate registration and fusion of 3D facial and MSCT scans. J Orofac Orthop, 2016. 77(2): p. 104-111
57.ONE HUNDRED, AND TWO HUNDRED, YEARS AGO: Heister's "Surgery.". Br Med J, 1913.2(2741): p. 80-1
58.Gawande, A., Two hundred years of surgery. N Engl J Med, 2012. 366(18): p. 1716-23
59.Fang, C.H., et al., Outcomes of hepatectomy for hepatolithiasis based on 3-dimensional reconstruction technique. J Am Coll Surg, 2013. 217(2): p. 280-8
60.Miyano, T., A. Yamataka, and L. Li, Congenital biliary dilatation. Semin Pediatr Surg, 2000. 9(4): p. 187-95
61.Lin Su, Qian Dong,Hong Zhang, et al. Clinical application of a three-dimensional imaging technique in infants and young children with giant liver tumors.[J] Pediatric Surgery International,2016;32(4):387-395
62.Zhou, Z., et al., Virtual facial reconstruction based on accurate registration and fusion of 3D facial and MSCT scans. J Orofac Orthop, 2016. 77(2): p. 104-111
63.Ohtsuka, Y., et al., Strategy of management for congenital biliary dilatation in early infancy. J Pediatr Surg, 2002. 37(8): p. 1173-6
64.古味信彦, 董 蒨, 黎 明. 世界における先天性胆管拡張症, 先天性胆道拡張症をめぐって. 胆と膵 1995, 16:719-722
65.本膵管胆道合流異常研究会、日本胆道学会编:膵·胆管合流異常診療ガイドライン. 医学図書出版株式会社,p 1~7 , 2013年, 日本東京
66.古味信彦. 先天性胆道拡張症における膵管胆道系の合流異常について.手術 1975 , 29:78-83
67.大川 治夫,沢口 重徳, 山崎 洋次, ほか. 膵管胆道合流異常モデルの研究:モデルの作成及びその病変の研究. 日小外会誌, 1981, 17:13
68.古味信彦:膵管胆道合流異常と胆管の上皮化生ならびに癌化について. 消化器外科 1985, 8:1677
69.古味信彦:先天性胆道拡張症にともなう膵管胆道合流異常50例の分類―いわゆる古味分類補遺――.膵臓 6:234、1991
70.董 蒨, 古味信彦. 合流異常に伴う胆汁中抱合型変異原性物質の脱抱合による発癌機序. 梶山 梧郎ほか編,胆道疾患研究の進歩, 自然科学社, p 284~290, 1995, 日本東京
71.古味信彦. 膵管胆道合流異常と胆石症. 胆と膵 1984, 5:141-145
72.古味信彦, 董 蒨, 黎 明. 世界における先天性胆管拡張症. 胆と膵 1995, 16:719-722
73.董 蒨, 单若冰, 古味信彦. 中国の先天性胆管拡張症--膵管胆道合流異常と胆道癌. 船曳孝彦 主编 膵·胆管合流異常そのConsensus と Controversy.医学図書出版株式会社 p 283~287, 1997, 日本東京
.jpg)
.jpg)












.jpg)
.jpg)
.jpg)
.jpg)
.jpg)
.jpg)



.jpg)
.jpg)
























