中文
|
English
首页
项目介绍
负责人介绍
学术委员会
Dong's肝脏分段体系
肝脏体积
成人肝脏体积
小儿肝脏体积
典型病例
正常肝脏数据库
成人正常肝脏
小儿正常肝脏
计算机辅助手术
肝脏肿瘤
成人肝脏肿瘤
小儿肝脏肿瘤
门脉高压症
脾脏疾病
先天性胆管扩张症
胰腺肿瘤
其他疾病
Couinaud 肝脏分段
数字医学概念
各数据库后台管理系统入口:
肝脏数据库
胆道数据库
胰腺数据库
Dong's肝脏分型数据库
肝脏体积数据库
肝脏门静脉数据库
肝静脉数据库
胆总管囊肿-CH-001-CBD-000234
您的浏览器不支持 video 标签。
一般情况:CH-001-CBD-000234,2岁足月产男性患儿,身高98cm,体重17kg,
主诉:发现胆总管囊肿半年余.
现病史:4月余前患儿因腹痛行腹部CT检查,结果示“先天性胆总管囊肿”,给予抗炎及对症支持治疗(具体药物不详),腹痛缓解后出院。定期至当地医院复查B超,近期复查结果示囊肿逐渐增大,今为求手术治疗门诊以“先天性胆总管囊肿”收入院。
查体:腹平软,肝脾未及,无包块,右上腹轻压痛,无反跳痛,叩鼓,肠鸣音5次/分。
整理:崔楷悦,吴萤 3D:周显军,朱呈瞻
辅助检查:
腹部B超:胆总管扩张症。
上腹部CT 动态增强:1. 肝内部分胆管-肝门部胆管-胆总管扩张,符合先天性胆管扩张症2. 胆总管下段腔内结节状略高密度影,伪影?结石?3. 胆囊壁略厚,提示胆囊炎可能。
实验室检查:
血常规:WBC 9.27*10~9/L NEU 2.82*10~9/L RBC 4.48*10~12/L HB116g/L PLT264*10~9/L
生化全套:ALT 30.00U/L AST 24.00U/L TP 66.57g/L ALB 42.04g/L GGT 178.00U/L BIL-T 7.4umol/L BIL-D 3.90umol/L BUN 3.73mmol/L CREA 39.00umol/L T-CHO 3.24mmol/L Trig 1.20mmol/L
肝炎全套: HAV-IgM 0.65S/CO HBcIgM 0.07S/CO HCV-cAg 0.10S/CO HEV-IgM 0.03S/CO HBeAg 0.336S/CO Anti-HBe 1.670S/CO Anti-HBc 0.05S/CO
炎症反应标志物:CRP 0.88mg/l
诊疗过程:
CT结果输入海信CAS系统后行3D重建及手术规划后,于2016-3-22全麻下行“胆总管囊肿切除+胆囊切除+胆总管-空肠吻合术”手术治疗:
术前三维重建及手术方案设计:
将0.625mm双源薄层CT资料的静脉期和动脉期Dicom格式文件导入海信CAS系统。
通过调节窗宽窗位调整CT序号,对肝实质,胆囊,下腔静脉,肿瘤,肝动脉、门静脉及肝静脉等进行三维重建;系统自动计算肝脏体积。
术前手术方案的规划。
手术步骤:
完善术前准备后,选择右上腹纵口进入腹腔。结合海信CAS术前规划方案,探查见:探查见:胆总管3×2cm大小,胆囊管迂曲,长约12cm。剥离、游离胆囊,行术中胆道造影示近端胆管通畅,切除胆囊。游离胆总管,将之横断:①近端即肝总管,剪裁后被吻合用;②远端游离切除囊肿内壁,直至胆总管开口于十二指肠处,冲洗后予以结扎缝扎。距treits韧带20cm处横断空肠:①近端与其远端25cm处的空肠侧壁行端侧双层吻合,吻合口通畅;②远端断端封闭,其侧壁剪开,并经横结肠后提至肝门处,与剪裁的肝总管行端侧双层吻合。缝合修补胆囊床及系膜裂孔,肝门部放置橡胶引流管一根。温盐水冲洗腹腔。检查无活动性出血,清点纱布器械无误,依次缝合腹壁各层。术后胆囊标本家属过目,送检病理。手术时手术者可开启Hisense CAS系统手势控制功能,对胆囊周围血管、组织的解剖结构进行实时、全方观察、评估,起到术中导航作用。
术后病理:
术后病理:1、(胆总管)符合囊肿,囊壁构成于增生的纤维组织呈慢性炎,部分区域衬覆单层柱状上皮;2、慢性胆囊炎。术后给予抗炎、保肝、止血、补液等对症支持治疗,患儿恢复好,伤口无红肿化脓,无渗血渗液,于2016-4-1出院。
随访情况:
随访3月,肿瘤无复发,无转移,肿瘤标志物未升高。
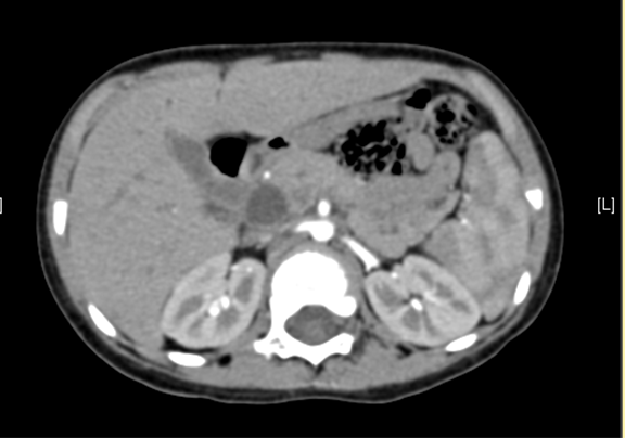
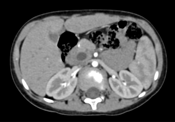
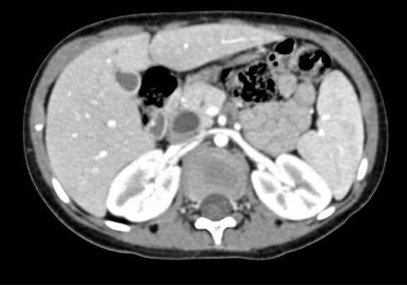
术前CT检查:
动脉期
静脉期
平衡期
术前三维重建:
重建图片
重建视频
您的浏览器不支持 video 标签。
您的浏览器不支持 video 标签。
您的浏览器不支持 video 标签。
您的浏览器不支持 video 标签。
more
merge