中文
|
English
首页
项目介绍
负责人介绍
学术委员会
Dong's肝脏分段体系
肝脏体积
成人肝脏体积
小儿肝脏体积
典型病例
正常肝脏数据库
成人正常肝脏
小儿正常肝脏
计算机辅助手术
肝脏肿瘤
成人肝脏肿瘤
小儿肝脏肿瘤
门脉高压症
脾脏疾病
先天性胆管扩张症
胰腺肿瘤
其他疾病
Couinaud 肝脏分段
数字医学概念
各数据库后台管理系统入口:
肝脏数据库
胆道数据库
胰腺数据库
Dong's肝脏分型数据库
肝脏体积数据库
肝脏门静脉数据库
肝静脉数据库
胆总管囊肿-CH-001-CBD-000149
您的浏览器不支持 video 标签。
一般情况:CH-001-CBD-000149,2岁足月产男性患儿,身高115cm,体重25.5kg
主诉:胆总管囊肿术后5年余
现病史:患儿产前B超发现“胆总管囊肿”,生后因黄疸分别于2010.8.8外院行“胆总管囊肿穿刺引流术”,2010.9.6行“胆总管囊肿空肠端侧吻合+空肠空肠端侧吻合术”,术后一般情况可,间断腹痛,无黄疸,生长发育同正常同龄儿。3月前复查腹部B超示“胆总管扩张”,为求进一步诊治今来我院就诊,门诊以"先天性胆管扩张症术后"收入院。
查体:腹平软,肝脾未及,无包块,右上腹轻压痛,无反跳痛,叩鼓,肠鸣音5次/分。
整理:崔楷悦,高菲 3D:周显军,朱呈瞻
辅助检查:
腹部B超:胆总管扩张症。
上腹部增强CT:1. 肝内部分胆管-肝门部胆管-胆总管扩张,符合先天性胆管扩张症2. 胆总管下段腔内结节状略高密度影,伪影?结石?3. 胆囊壁略厚,提示胆囊炎可能。
实验室检查:
血常规:WBC 9.72*10~9/L NEU 4.87*10~9/L RBC 4.47*10~12/L HB 130g/L PLT321*10~9/L
生化全套:ALT 15.00U/L AST 21.00U/L TP 65.50g/L ALB 41.03g/L GGT 10.00U/L BIL-T 7.6umol/L BIL-D 2.80umol/L BUN 9.16mmol/L CREA 52.00umol/L T-CHO 3.38mmol/L Trig 1.31mmol/L
肝炎全套: HAV-IgM 0.10S/CO HBcIgM 0.07S/CO HCV-cAg 0.08S/CO HEV-IgM 0.03S/CO HBeAg 0.297S/CO Anti-HBe 1.850S/CO Anti-HBc 0.070S/CO
炎症反应标志物:CRP 0.78mg/l
诊疗过程:
CT结果输入海信CAS系统后行3D重建及手术规划后,于2016-3-22全麻下行“胆总管囊肿根治+表皮样囊肿切除术”手术治疗:
术前三维重建及手术方案设计:
将0.625mm双源薄层CT资料的静脉期和动脉期Dicom格式文件导入海信CAS系统。
通过调节窗宽窗位调整CT序号,对肝实质,胆囊,下腔静脉,肿瘤,肝动脉、门静脉及肝静脉等进行三维重建;系统自动计算肝脏体积。
手术步骤:
完善术前准备后,麻醉成功后,患儿取平卧位,2.5%碘伏消毒手术区皮肤,铺无菌巾单。 取右上腹原切口长约15m,切开皮肤、皮下织组,腹外、外斜肌、腹横肌和腹膜。探查见:肠管粘连严重,空肠与胆总管囊肿端侧吻合,胆总管3×2cm大小,胆囊已切除。仔细分离粘连肠管,游离胆总管及与之吻合的空肠:①近端离断肝总管,剪裁后被吻合用;离断与之吻合的空肠,切除近端血供不好的肠壁②远端游离切除囊肿内壁,直至胆总管开口于十二指肠处,冲洗后予以结扎缝扎. 侧壁剪开空肠游离端,与剪裁的肝总管行端侧双层吻合。肝门部放置橡胶引流管一根。温盐水冲洗腹腔。检查无活动性出血,清点纱布器械无误,依次缝合腹壁各层。刮除右侧眉毛,右面部常规消毒后铺无菌单,肿瘤平行上方右眉毛处横行切口约2cm,见肿物位于软组织层,压迫眉骨,给予仔细游离后完整切除。手术顺利,麻醉满意,出血不多,未输血,术后病人先进入麻醉恢复室,苏醒后回病房。术后胆囊标本家属过目,送检病理。手术时手术者可开启Hisense CAS系统手势控制功能,对胆囊周围血管、组织的解剖结构进行实时、全方观察、评估,起到术中导航作用。
术后病理:
胆总管)囊肿,囊壁构成于平滑肌及增生的纤维血管组织,呈慢性炎伴出血及血管扩张,衬覆腺上皮(胆道上皮),符合胆总管囊肿改变。(右面部)表皮样囊肿。
术后给予抗炎、保肝、止血、补液等对症支持治疗,患儿恢复好,伤口无红肿化脓,无渗血渗液,于2016-4-1出院。
随访情况:
随访3月,肿瘤无复发,无转移,肿瘤标志物未升高。
1周:□ml 1月:□ml 3月:□ml 6月:□ml 1年:□ml
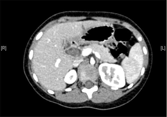
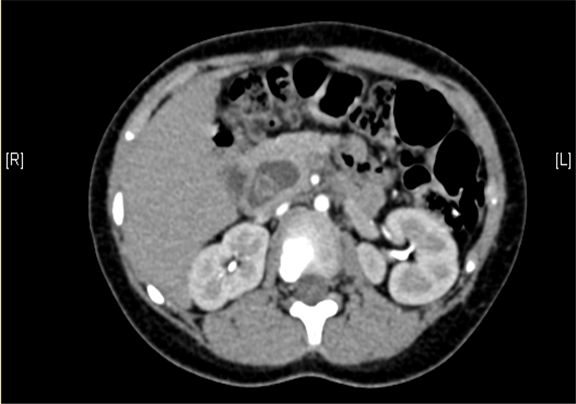
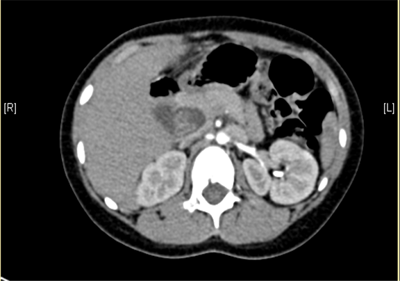
术前CT检查:
动脉期
静脉期
术前三维重建:
重建图片
重建视频
您的浏览器不支持 video 标签。
您的浏览器不支持 video 标签。
您的浏览器不支持 video 标签。
您的浏览器不支持 video 标签。
more
merge