中文
|
English
首页
项目介绍
负责人介绍
学术委员会
Dong's肝脏分段体系
肝脏体积
成人肝脏体积
小儿肝脏体积
典型病例
正常肝脏数据库
成人正常肝脏
小儿正常肝脏
计算机辅助手术
肝脏肿瘤
成人肝脏肿瘤
小儿肝脏肿瘤
门脉高压症
脾脏疾病
先天性胆管扩张症
胰腺肿瘤
其他疾病
Couinaud 肝脏分段
数字医学概念
各数据库后台管理系统入口:
肝脏数据库
胆道数据库
胰腺数据库
Dong's肝脏分型数据库
肝脏体积数据库
肝脏门静脉数据库
肝静脉数据库
胆总管囊肿-CH-001-CBD-000040
您的浏览器不支持 video 标签。
一般情况:CH-001-CBD-000040,5岁足月产女性患儿,身高124cm,体重23kg,
主诉:腹痛4天。
现病史:患儿无明显诱因出现腹痛,位于右上腹,无黄疸,发热,在当地医院行CT检查示“胆总管囊肿”,未予特殊诊治。为进一步诊治来诊,拟诊"先天性胆管扩张症"收入院。
查体:一般情况好,心肺听诊未见明显异常,腹平软,肝脾未及,无包块,右上腹轻压痛,无反跳痛,叩鼓,肠鸣音4次/分。
整理:崔楷悦,吴萤 3D:周显军,朱呈瞻
辅助检查:
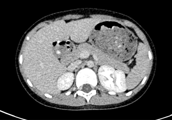
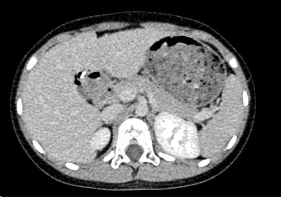
CT: 胆总管囊肿。
上腹部动态增强CT:符合先天性胆管扩张所见(I 型为主)。
实验室检查:
血常规:WBC 6.70*10~9/L NEU 2.91*10~9/L RBC 4.74*10~12/L HB 131g/L PLT272*10~9/L
生化全套:ALT 84.00U/L AST 43.00U/L TP 69.54g/L ALB 41.25g/L GGT 89.00U/L BIL-T 10.00umol/L BIL-D 5.80umol/L BUN 4.27mmol/L CREA 58.00umol/L T-CHO 5.35mmol/L Trig 0.86mmol/L
肝炎全套: HAV-IgM 0.48S/CO HCV-cAg 0.02S/CO HEV-IgM 0.02S/CO HBeAg 0.282S/CO Anti-HBe 1.990S/CO Anti-HBc0.100S/CO
炎症反应标志物:CRP 11.5mg/l
诊疗过程:
CT结果输入海信CAS系统后行3D重建及手术规划后,于2015-8-15全麻下行“胆总管囊肿切除+胆囊切除+胆总管-空肠吻合术”手术治疗:
术前三维重建及手术方案设计:
将0.625mm双源薄层CT资料的静脉期和动脉期Dicom格式文件导入海信CAS系统。
通过调节窗宽窗位调整CT序号,对肝实质,胆囊,下腔静脉,肿瘤,肝动脉、门静脉及肝静脉等进行三维重建;系统自动计算肝脏体积。
术前手术方案的规划。
手术步骤:
完善术前准备后,选择右上腹纵口进入腹腔。结合海信CAS术前规划方案,探查见:胆总管5×3cm大小,胆囊管迂曲,长约10cm。胆总管呈囊状扩张,大小约6×4cm,壁厚。剥离、切除胆囊,游离胆总管,将之横断:①近端即肝总管,剪裁后被吻合用;②远端游离切除囊肿内壁,见壁厚,粘连严重,分离易渗血,游离囊肿至胆总管末端,冲洗后予以结扎缝扎。距treits韧带20cm处横断空肠:①近端与其远端25cm处的空肠侧壁行端侧双层吻合,吻合口通畅;②远端断端封闭,其侧壁剪开,并经横结肠后提至肝门处,与剪裁的肝总管行端侧双层吻合。缝合修补胆囊床及系膜裂孔,防止止血纱布2块,肝门部放置橡胶引流管一根。温盐水冲洗腹腔。检查无活动性出血,清点纱布器械无误,依次缝合腹壁各层。术后胆囊标本家属过目,送检病理。手术时手术者可开启Hisense CAS系统手势控制功能,对胆囊周围血管、组织的解剖结构进行实时、全方观察、评估,起到术中导航作用。
术后病理:
术后病理:1.慢性胆囊炎伴血管扩张充血。2.(胆总管囊肿)囊肿性病变,囊壁构成于平滑肌及纤维血管,内衬胆管上皮。术后给予抗炎、保肝、止血、补液等对症支持治疗,术后恢复良好,切开无渗血渗液,无红肿化脓,于2015-8-26出院。
随访情况:
随访3月,肿瘤无复发,无转移,肿瘤标志物未升高。
术前CT检查:
动脉期
静脉期
平衡期
术前三维重建:
重建图片
重建视频
您的浏览器不支持 video 标签。
您的浏览器不支持 video 标签。
您的浏览器不支持 video 标签。
您的浏览器不支持 video 标签。
more
merge