中文
|
English
首页
项目介绍
负责人介绍
学术委员会
Dong's肝脏分段体系
肝脏体积
成人肝脏体积
小儿肝脏体积
典型病例
正常肝脏数据库
成人正常肝脏
小儿正常肝脏
计算机辅助手术
肝脏肿瘤
成人肝脏肿瘤
小儿肝脏肿瘤
门脉高压症
脾脏疾病
先天性胆管扩张症
胰腺肿瘤
其他疾病
Couinaud 肝脏分段
数字医学概念
各数据库后台管理系统入口:
肝脏数据库
胆道数据库
胰腺数据库
Dong's肝脏分型数据库
肝脏体积数据库
肝脏门静脉数据库
肝静脉数据库
胆总管囊肿-CH-001-CBD-001095
您的浏览器不支持 video 标签。
一般情况:CH-001-CBD-001095,6岁足月产女性患儿,体重32kg。
主诉:上腹痛2年,加重10天,呕吐1天。
现病史:患儿2年前无明显以偶因出现上腹痛,伴发热,最高至38.5℃,无畏寒寒战,伴呕吐,呕吐物为胃内容物,无腹泻,就诊于青岛市儿童医院,行腹部B超及MRI检查示“胆总管囊肿、胰腺炎可能”,给予消炎、补液、禁食、解痉等治疗,患儿症状改善好转出院。10天前,患儿再次出现上腹痛,伴纳差,就诊于青岛市儿童医院,考虑为“胃部疾病”,予药物治疗未见好转。1天前,患儿无明显诱因出现呕吐,呕吐物为白色粘液,就诊于我院,行上腹部CT考虑胆总管囊肿,门诊以“胆总管囊肿”收治入院。患儿自发病来,神志清,精神可,大小便正常,体重无明显变化。
查体:腹平坦,肝脾未及,无包块,右上腹轻压痛,无反跳痛,局部有肌紧张,腹部叩鼓,肠鸣音4次/分。
整理:崔楷悦,高菲 3D:周显军,朱呈瞻
辅助检查:
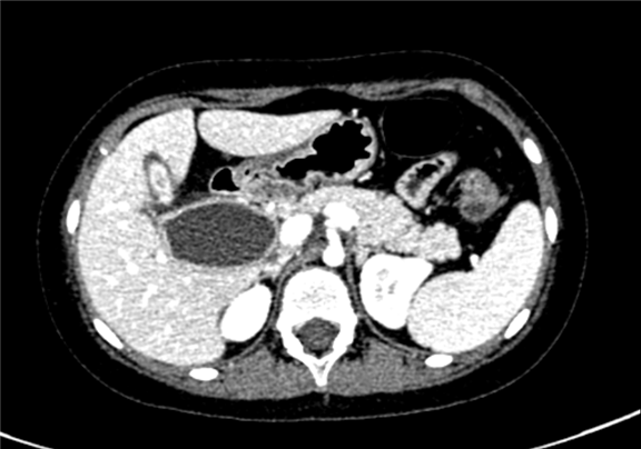
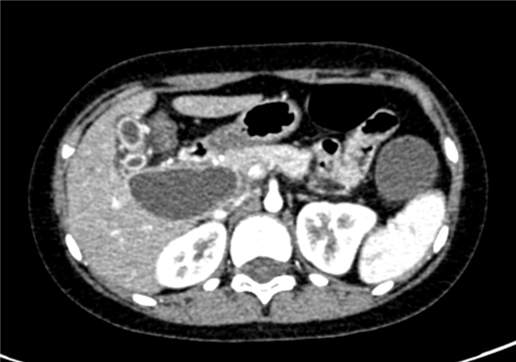
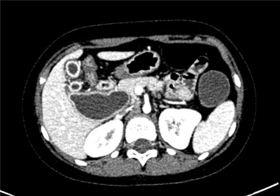
上腹部增强CT:先天性胆管囊状扩张(IV型)可能性大,胆总管十二指肠胰腺段及十二指肠壁内段显示不清, 胆囊壁增厚,肠系膜根部散在散在略大淋巴结
实验室检查:
血常规:WBC 12.02*10~9/L NEU 10.14*10~9/L RBC 4.25*10~12/L HB 120g/L PLT 267*10~9/L
生化全套:ALT 395.00U/L AST101.00U/L TP 51.79g/L ALB 33.85g/L GGT 520.00U/L BIL-T 22.89umol/L BIL-D 11.15umol/L CREA 40umol/L
肝炎全套: HAV-IgM 0.10S/CO HBcIgM 0.050S/CO HCV-cAg 0.08S/CO HEV-IgM 0.04S/CO HBeAg 0.25S/CO Anti-HBe 1.81S/CO Anti-HBc 0.04S/CO
炎症反应标志物:CRP 11.08mg/l
诊疗过程:
CT结果输入海信CAS系统后行3D重建及手术规划后,于2016-8-23全麻下行“胆总管切除术”手术治疗:
术前三维重建及手术方案设计:
将0.625mm双源薄层CT资料的静脉期和动脉期Dicom格式文件导入海信CAS系统。
通过调节窗宽窗位调整CT序号,对肝实质,胆囊,下腔静脉,肿瘤,肝动脉、门静脉及肝静脉等进行三维重建;系统自动计算肝脏体积。
手术步骤:
麻醉成功后,患儿取平卧位,2.5%碘伏消毒手术区皮肤,铺无菌巾单。取右上腹纵口长约5cm,切开皮肤、皮下织组,腹直肌前鞘、腹直肌,后鞘和腹膜。探查见:胆总管3×2cm大小,胆囊管迂曲,长约5cm。剥离、切除胆囊,游离胆总管,将之横断:①近端即肝总管,剪裁后被吻合用;②远端游离切除囊肿内壁,直至胆总管开口于十二指肠处,冲洗后予以结扎缝扎。距treits韧带20cm处横断空肠:①近端与其远端25cm处的空肠侧壁行端侧双层吻合,吻合口通畅;②远端断端封闭,其侧壁剪开,并经横结肠后提至肝门处,与剪裁的肝总管行端侧双层吻合。缝合修补胆囊床及系膜裂孔,肝门部放置橡胶引流管一根。温盐水冲洗腹腔。检查无活动性出血,清点纱布器械无误,依次缝合腹壁各层。手术顺利,麻醉满意,出血不多,未输血,术后病人先进入麻醉恢复室,苏醒后回病房手术时手术者可开启Hisense CAS系统手势控制功能,对肿瘤的解剖结构进行实时、全方观察、评估,起到术中导航作用。
术后病理:
1.胆囊组织呈慢性炎。
2.(囊肿壁)囊肿性病变,囊壁构成于排列紊乱的肌层及纤维组织,部分慢性炎细胞浸润伴血管扩张充血,衬覆少许胆管上皮,部分增生较著,符合胆总管囊肿改变。
术后给予抗生素消炎治疗,静脉高营养、全量补液及对症支持治疗,患儿恢复良好,伤口无渗血渗液,无红肿疼痛,于2016-9-1出院。
随访情况:
1周:□ml 1月:□ml 3月:□ml 6月:□ml 1年:□ml
术前CT检查:
动脉期
静脉期
术前三维重建:
重建图片
重建视频
您的浏览器不支持 video 标签。
您的浏览器不支持 video 标签。
您的浏览器不支持 video 标签。
您的浏览器不支持 video 标签。
more
merge