中文
|
English
首页
项目介绍
负责人介绍
学术委员会
Dong's肝脏分段体系
肝脏体积
成人肝脏体积
小儿肝脏体积
典型病例
正常肝脏数据库
成人正常肝脏
小儿正常肝脏
计算机辅助手术
肝脏肿瘤
成人肝脏肿瘤
小儿肝脏肿瘤
门脉高压症
脾脏疾病
先天性胆管扩张症
胰腺肿瘤
其他疾病
Couinaud 肝脏分段
数字医学概念
各数据库后台管理系统入口:
肝脏数据库
胆道数据库
胰腺数据库
Dong's肝脏分型数据库
肝脏体积数据库
肝脏门静脉数据库
肝静脉数据库
胆总管囊肿-CH-001-CBD-000020
您的浏览器不支持 video 标签。
一般情况:CH-001-CBD-000020,4岁足月产女性患儿,身高103cm,体重14kg,
主诉:发作性腹痛3周,黄疸2周。
现病史:患儿无明显诱因出现腹痛,位于右上腹,呈阵发性隐痛,腹部超声示“肠系膜淋巴结肿大”,后出现黄疸,尿色变黄,查生化示肝功能异常,腹部CT及超声示“先天性胆总管囊肿并结石”,今为进一步诊治来我院就诊。
查体:皮肤、巩膜黄染,腹平,未及胃肠型、蠕动波,触软,肝脾肋下未触及,全腹未触及明显包块,Murphy征(+),叩鼓,移动性浊音(-),肠鸣音3次/分。
整理:崔楷悦,吴萤 3D:周显军,朱呈瞻
辅助检查:
腹部超声:考虑先天性胆总管囊肿并结石形成,胆系扩张。
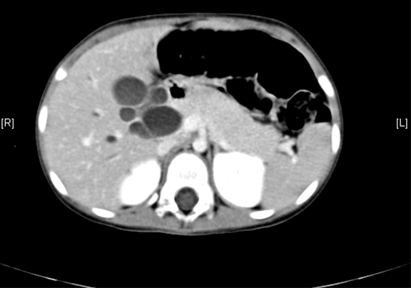
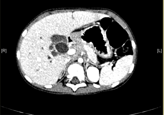
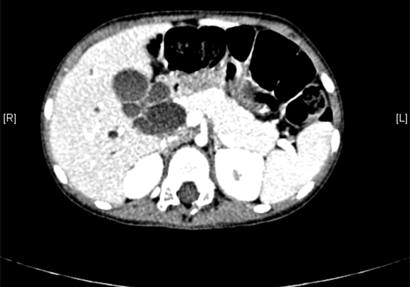
上腹部增强CT:肝内外胆管扩张,考虑先天性胆管扩张症可能性大。
实验室检查:
血常规:WBC 11.68*10~9/L NEU 6.51*10~9/L RBC4.26*10~12/L HB 117g/L PLT 502*10~9/L
生化全套:ALT 237.00U/L AST188.00U/L TP 70.01g/L ALB 37.81g/L GGT 805.00U/L BIL-T 128.40umol/L BIL-D 89.40umol/L BUN2.97mmol/L CREA 16.00umol/L T-CHO 4.68mmol/L Trig 2.57mmol/L
肝炎全套: HAV-IgM 0.06S/CO HCV-cAg 0.02S/CO HEV-IgM <0.01S/CO HBeAg 0.28S/CO Anti-HBe 1.43S/CO Anti-HBc 1.79S/CO
生化全套:CRP 4.72mg/L
诊疗过程:
CT结果输入海信CAS系统后行3D重建及手术规划后,于2014-6-11全麻下行“胆总管囊肿切除+胆囊切除+胆总管-空肠吻合术”手术治疗:
术前三维重建及手术方案设计:
将0.625mm双源薄层CT资料的静脉期和动脉期Dicom格式文件导入海信CAS系统。
通过调节窗宽窗位调整CT序号,对肝实质,胆囊,胆总管,下腔静脉,肝动脉、门静脉及肝静脉等进行三维重建;系统自动计算肝脏体积。
术前手术方案的规划。
手术步骤:
完善术前准备后,选择右上腹纵口进入腹腔。结合海信CAS术前规划方案,探查见:胆总管5×4cm大小,胆囊管迂曲,长约10cm。剥离、切除胆囊,游离胆总管,将之横断发现除正常肝总管之外,右肝叶有一支迷走胆管,直径约0.3cm,剪裁后与正常肝总管侧侧吻合后,备肝总管肠吻合用;远端游离切除囊肿内壁,直至胆总管开口于十二指肠处,冲洗后予以结扎缝扎。距treits韧带20cm处横断空肠:近端与其远端25cm处的空肠侧壁行端侧双层吻合,吻合口通畅;远端断端封闭,其侧壁剪开,并经横结肠后提至肝门处,与剪裁的肝总管行端侧双层吻合。缝合修补胆囊床及系膜裂孔,肝门部放置橡胶引流管一根。温盐水冲洗腹腔。检查无活动性出血,清点纱布器械无误,依次缝合腹壁各层。术后胆囊标本家属过目,送检病理。手术时手术者可开启Hisense CAS系统手势控制功能,对胆囊周围血管、组织的解剖结构进行实时、全方观察、评估,起到术中导航作用。
术后病理:
术后病理:1.慢性胆囊炎。2.(胆总管)符合囊肿性病变,囊壁构成于增生的纤维、血管及少许散在小胆管组织,内衬上皮不明显。术后予以抗炎、禁饮食、全量补液、止血、化痰、保肝等对症支持治疗,患儿病情平稳,一般情况良好,无发热,术后5天复查腹部CT示无胆瘘、无明显积液,予以拔出腹腔引流管,目前饮食良好,无恶心、呕吐,无腹痛、腹胀,大小便无异常,切口愈合良好,恢复顺利,予以2014-6-20出院。
随访情况:
随访3月,患儿恢复良好。
术前CT检查:
动脉期
静脉期
平衡期
术前三维重建:
重建图片
重建视频
您的浏览器不支持 video 标签。
您的浏览器不支持 video 标签。
您的浏览器不支持 video 标签。
您的浏览器不支持 video 标签。
more
merge