中文
|
English
首页
项目介绍
负责人介绍
学术委员会
Dong's肝脏分段体系
肝脏体积
成人肝脏体积
小儿肝脏体积
典型病例
正常肝脏数据库
成人正常肝脏
小儿正常肝脏
计算机辅助手术
肝脏肿瘤
成人肝脏肿瘤
小儿肝脏肿瘤
门脉高压症
脾脏疾病
先天性胆管扩张症
胰腺肿瘤
其他疾病
Couinaud 肝脏分段
数字医学概念
各数据库后台管理系统入口:
肝脏数据库
胆道数据库
胰腺数据库
Dong's肝脏分型数据库
肝脏体积数据库
肝脏门静脉数据库
肝静脉数据库
胆总管囊肿-CH-001-CBD-000049
您的浏览器不支持 video 标签。
一般情况:CH-001-CBD-000049,2岁足月产女性患儿,身高91cm,体重12.5kg,
主诉:黄疸、全身瘙痒20天余。
现病史:患儿无明显诱因出现皮肤巩膜黄疸、尿色深黄,伴全身瘙痒,就诊于当地医院,胆红素为59.9mmmol/L,行B超检查考虑"先天性胆总管囊肿",给予保守治疗效果不明显。为求进一步诊治,今来我院就诊,门诊"先天性胆总管囊肿"收入院。
查体:一般情况好,心肺听诊未见明显异常,腹平软,肝脾未及,无包块,右上腹轻压痛,无反跳痛,叩鼓,肠鸣音4次/分。
整理:崔楷悦,吴萤 3D:周显军,朱呈瞻
辅助检查:
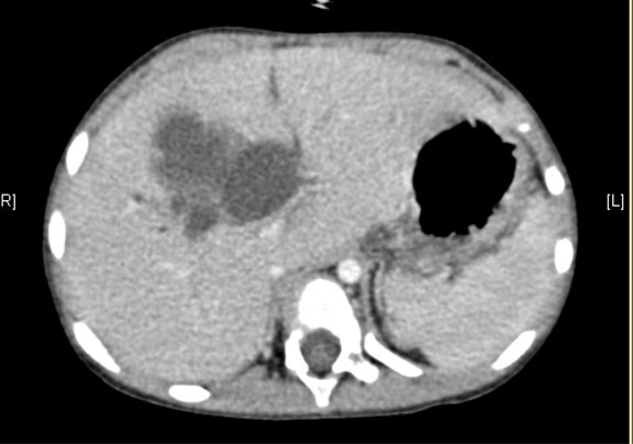
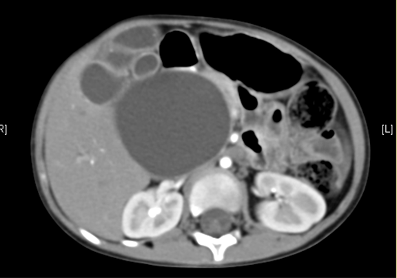
腹部CT 增强:1. 肝内外胆管扩张,考虑胆总管囊肿并胆系扩张可能性大2. 胆囊结石。
实验室检查:
血常规:WBC 8.99*10~9/L NEU 2.75*10~9/L RBC 5.07*10~12/L HB 133g/L PLT435*10~9/L
生化全套:ALT 82.00U/L AST 72.00U/L TP 72.11g/L ALB 39.86g/L GGT 292.00U/L BIL-T 43.50umol/L BIL-D 30.30umol/L BUN 3.67mmol/L CREA48.00umol/L T-CHO 4.14mmol/L Trig 1.32mmol/L
肝炎全套: HAV-IgM 0.10S/CO HBcIgM 0.550S/CO HCV-cAg 0.08S/CO HEV-IgM 0.03S/CO HBeAg 0.340S/CO Anti-HBe 2.270S/CO Anti-HBc 0.550S/CO
炎症反应标志物:CRP 0.25mg/l
诊疗过程:
CT结果输入海信CAS系统后行3D重建及手术规划后,于2015-3-24全麻下行“胆总管囊肿切除+胆囊切除+胆总管-空肠吻合术”手术治疗:
术前三维重建及手术方案设计:
将0.625mm双源薄层CT资料的静脉期和动脉期Dicom格式文件导入海信CAS系统。
通过调节窗宽窗位调整CT序号,对肝实质,胆囊,下腔静脉,肿瘤,肝动脉、门静脉及肝静脉等进行三维重建;系统自动计算肝脏体积。
术前手术方案的规划。
手术步骤:
完善术前准备后,选择右上腹纵口进入腹腔。结合海信CAS术前规划方案,探查见:胆总管12×8cm大小,胆囊管迂曲,长约10cm。剥离、切除胆囊,游离胆总管,将之横断:①近端即肝总管,剪裁后被吻合用;②远端游离切除囊肿内壁,直至胆总管开口于十二指肠处,冲洗后予以结扎缝扎。距treits韧带20cm处横断空肠:①近端与其远端25cm处的空肠侧壁行端侧双层吻合,吻合口通畅;②远端断端封闭,其侧壁剪开,并经横结肠后提至肝门处,与剪裁的肝总管行端侧双层吻合。缝合修补胆囊床及系膜裂孔,肝门部放置橡胶引流管一根。温盐水冲洗腹腔。检查无活动性出血,清点纱布器械无误,依次缝合腹壁各层。术后胆囊标本家属过目,送检病理。手术时手术者可开启Hisense CAS系统手势控制功能,对胆囊周围血管、组织的解剖结构进行实时、全方观察、评估,起到术中导航作用。
术后病理:
术后病理:1、(胆总管囊肿)囊肿。2、慢性胆囊炎。术后给予抗炎、保肝、止血、补液等对症支持治疗,患儿恢复好,伤口无红肿化脓,无渗血渗液,于2014-4-2出院。
随访情况:
随访3月,肿瘤无复发,无转移,肿瘤标志物未升高。
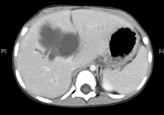
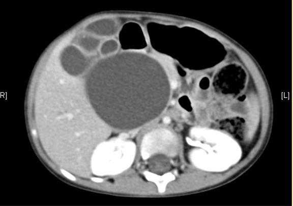
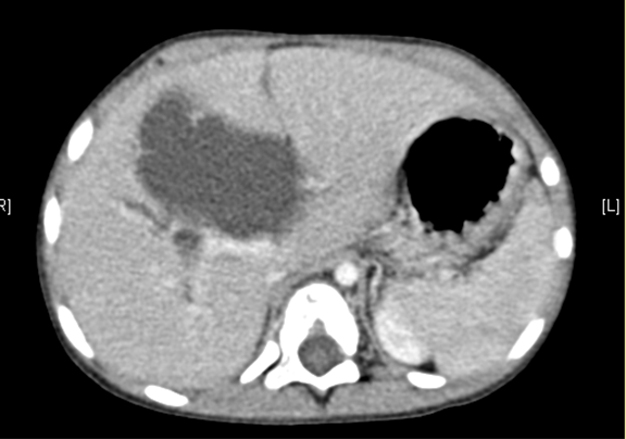
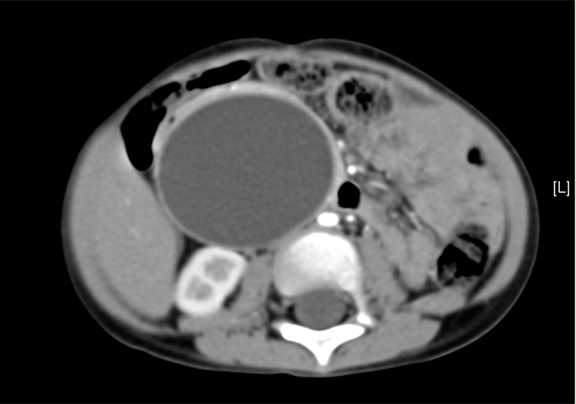
术前CT检查:
动脉期
静脉期
平衡期
术前三维重建:
重建图片
重建视频
您的浏览器不支持 video 标签。
您的浏览器不支持 video 标签。
您的浏览器不支持 video 标签。
您的浏览器不支持 video 标签。
more
merge