中文
|
English
首页
项目介绍
负责人介绍
学术委员会
Dong's肝脏分段体系
肝脏体积
成人肝脏体积
小儿肝脏体积
典型病例
正常肝脏数据库
成人正常肝脏
小儿正常肝脏
计算机辅助手术
肝脏肿瘤
成人肝脏肿瘤
小儿肝脏肿瘤
门脉高压症
脾脏疾病
先天性胆管扩张症
胰腺肿瘤
其他疾病
Couinaud 肝脏分段
数字医学概念
各数据库后台管理系统入口:
肝脏数据库
胆道数据库
胰腺数据库
Dong's肝脏分型数据库
肝脏体积数据库
肝脏门静脉数据库
肝静脉数据库
胆总管囊肿-CH-001-CBD-000012
您的浏览器不支持 video 标签。
一般情况:CH-001-CBD-000012,10月足月产女性患儿,身高96cm,体重7.5kg,
主诉:发现胆总管扩张10余天。
现病史:患儿因腹痛行腹部B超示“胆总管扩张”,为求手术治疗,遂来我院,门诊以“胆总管囊肿”收入院。
查体:神志清,精神尚可。双肺呼吸音清,双肺未闻及干湿性啰音。HR110次/分,心律齐,各瓣膜听诊区未闻及杂音。腹软,无压痛及反跳痛,肠鸣音存在。双下肢无浮肿。
整理:崔楷悦,吴萤 3D:周显军,朱呈瞻
辅助检查:
上腹部增强CT:符合胆总管囊肿。
实验室检查:
血常规:WBC 7.39*10~9/L NEU 3.43*10~9/L RBC 4.40*10~12/L HB 120g/L PLT 628*10~9/L
生化全套:ALT 28.00U/L AST30.00U/L TP 52.15g/L ALB 31.87g/L GGT 473.00U/L BIL-T 29.09umol/L BIL-D 17.09umol/L BUN 2.86mmol/L CREA 30.00umol/L T-CHO 5.88mmol/L Trig 1.02mmol/L
肝炎全套: HAV-IgM 0.20S/CO HBcIgM 0.110S/CO HCV-cAg 0.08S/CO HEV-IgM 0.07S/CO HBeAg 0.339S/CO Anti-HBe 2.120S/CO Anti-HBc 0.220S/CO
炎症反应标志物:CRP0.72mg/l
诊疗过程:
CT结果输入海信CAS系统后行3D重建及手术规划后,于2015-11-19全麻下行“胆总管囊肿切除+胆囊切除+胆总管-空肠吻合术”手术治疗:
术前三维重建及手术方案设计:
将0.625mm双源薄层CT资料的静脉期和动脉期Dicom格式文件导入海信CAS系统。
通过调节窗宽窗位调整CT序号,对肝实质,胆囊,胆总管,下腔静脉,肝动脉、门静脉及肝静脉等进行三维重建;系统自动计算肝脏体积。
术前手术方案的规划。
手术步骤:
完善术前准备后,选择右上腹纵口进入腹腔。结合海信CAS术前规划方案,探查见:胆总管4×2×2cm大小,胆囊约6×3×3cm,胆囊管迂曲,长约3cm。剥离、切除胆囊,游离胆总管,将之横断:①近端即肝总管,剪裁后备吻合用;②远端游离切除囊肿内壁,直至胆总管开口于十二指肠处,冲洗后予以结扎缝扎。距treits韧带20cm处直线切割吻合器横断空肠:①近端与其远端25cm处的空肠侧壁行端侧双层吻合,吻合口通畅;②远端断端封闭,其侧壁剪开,并经横结肠后提至肝门处,与剪裁的肝总管行端侧双层吻合。缝合修补胆囊床及系膜裂孔,肝门部放置橡胶引流管一根。温盐水冲洗腹腔。检查无活动性出血,清点纱布器械无误,依次缝合腹壁各层。术后胆囊标本家属过目,送检病理。手术时手术者可开启Hisense CAS系统手势控制功能,对胆囊周围血管、组织的解剖结构进行实时、全方观察、评估,起到术中导航作用。
术后病理:
1.慢性胆囊炎;2.(囊肿壁)符合囊壁结构。术后给予禁饮食、胃肠减压,保肝,抗生素,全量补液等积极对症治疗。患儿一般情况好,腹软不胀,切口敷料干燥,无渗血渗液,可于2015-11-30出院。
随访情况:
随访3月,患儿恢复良好。
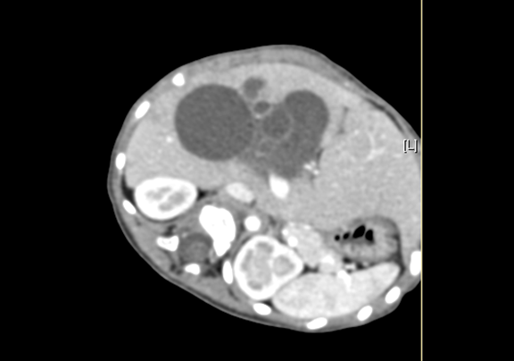
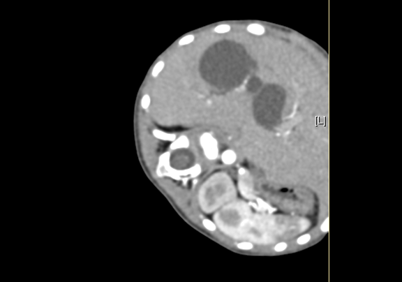
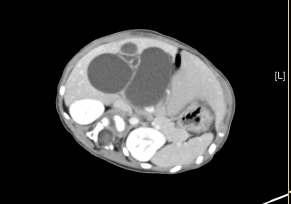
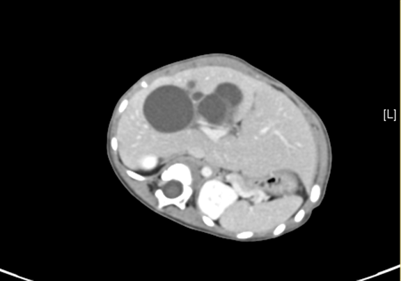
术前CT检查:
动脉期
静脉期
平衡期
术前三维重建:
重建图片
重建视频
您的浏览器不支持 video 标签。
您的浏览器不支持 video 标签。
您的浏览器不支持 video 标签。
您的浏览器不支持 video 标签。
more
merge