中文
|
English
首页
项目介绍
负责人介绍
学术委员会
Dong's肝脏分段体系
肝脏体积
成人肝脏体积
小儿肝脏体积
典型病例
正常肝脏数据库
成人正常肝脏
小儿正常肝脏
计算机辅助手术
肝脏肿瘤
成人肝脏肿瘤
小儿肝脏肿瘤
门脉高压症
脾脏疾病
先天性胆管扩张症
胰腺肿瘤
其他疾病
Couinaud 肝脏分段
数字医学概念
各数据库后台管理系统入口:
肝脏数据库
胆道数据库
胰腺数据库
Dong's肝脏分型数据库
肝脏体积数据库
肝脏门静脉数据库
肝静脉数据库
胆总管囊肿-CH-001-CBD-000005
您的浏览器不支持 video 标签。
一般情况:CH-001-CBD-000005,女,7岁,身高126cm,体重21kg。
主诉:间断腹痛4月余,加重伴呕吐20天。
现病史:因腹痛于当地医院就诊,予以对症药物治疗,有所好转。后腹痛间断发作伴呕吐就诊于其他医院,行B超检查考虑胆总管囊肿,为进一步诊治来我院就诊。患儿自发病以来,精神可、饮食佳、睡眠好,大小便无异常。
查体:精神可,全身无黄染,口唇、结膜无苍白,心肺未见明显异常,腹平坦,对称,无腹壁静脉曲张显露无胃肠型及蠕动波。腹部柔软,上腹部压痛,无反跳痛,腹部无包块。肝脾肋下未触及。腹部叩诊呈鼓音,无移动性浊音。肠鸣音正常,5次/分。
整理:崔楷悦,高菲 3D:周显军,朱呈瞻
辅助检查:
腹部B超示:考虑胆总管囊肿。
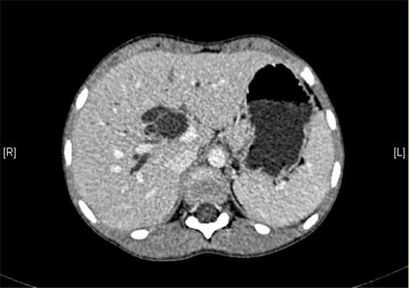
上腹部增强CT:肝内外胆管扩张,考虑胆管囊肿(以左右肝管、肝总管及胆总管扩张明显)可能性大。
实验室检查:
血常规:WBC 5.62*10~9/L NEU 3.45*10~9/L RBC 4.12*10~12/L HB 118g/L PLT 306*10~9/L
生化全套:ALT 272.00U/L AST 41.00U/L TP 75.73g/L ALB 42.00/L GGT 415.00U/L BIL-T 6umol/L BIL-D 2.9umol/L BUN 1.82mmol/L CREA 57.00umol/L T-CHO 4.56mmol/L Trig 1.35mmol/L
肿瘤标志物:HAV-IgM 0.21S/CO HCV-cAg 0.05S/CO HEV-IgM <0.01S/CO HBeAg 0.315S/CO Anti-HBe 2.13S/CO Anti-HBc 0.110S/CO
肝炎全套: HAV-IgM 0.21S/CO HCV-cAg 0.05S/CO HEV-IgM <0.01S/CO HBeAg 0.315S/CO Anti-HBe 2.13S/CO Anti-HBc 0.110S/CO
炎症反应标志物:CRP 0.95mg/l
诊疗过程:
CT结果输入海信CAS系统后行3D重建及手术规划后,于2014-9-16全麻下行“胆总管囊肿切除+胆囊切除+胆总管-空肠吻合术”手术治疗:
术前三维重建及手术方案设计:
将0.625mm双源薄层CT资料的静脉期和动脉期Dicom格式文件导入海信CAS系统。
通过调节窗宽窗位调整CT序号,对肝实质,胆囊,下腔静脉,肝动脉、门静脉及肝静脉等进行三维重建;系统自动计算肝脏体积。
手术步骤:
完善术前准备后,选择右上腹纵口进入腹腔。结合海信CAS术前规划方案,探查见:胆总管3×2cm大小,胆囊管迂曲,长约10cm。剥离、切除胆囊,游离胆总管,将之横断:a、近端及肝总管,剪裁后备吻合用;b、远端游离切除囊肿内壁,直至胆总管开口于十二指肠处,冲洗后予以结扎缝扎。据treits韧带20cm处用切割吻合器横断空肠:a、近端与其远端25cm处的空肠侧壁行端侧双层吻合,吻合口通畅;b、远端断端封闭,其侧壁剪开,并经横结肠后提至肝门处,与裁剪的肝总管行端侧双层吻合。缝合修补胆囊床及系膜裂孔,留置引流管,温盐水冲洗腹腔,检查无活动性出血,清点纱布器械无误,依次缝合腹壁各层。家属过目标本胆囊后,术后送病理。手术时手术者可开启Hisense CAS系统手势控制功能,对胆囊周围血管、组织的解剖结构进行实时、全方观察、评估,起到术中导航作用。
术后病理:
术后病理提示慢性胆囊炎,(囊壁)粘膜呈慢性炎,粘膜萎缩变薄,部分区域粘膜脱落,囊壁周围见淋巴结2枚,呈反应性增生。
术后给予抗炎、补液、解痉、化痰等对症支持治疗,患儿病情平稳,伤口无红肿,无渗血渗液,于2014-9-22出院。
随访情况:
随访3个月,无明显不适症状。
1周:□ml 1月:□ml 3月:□ml 6月:□ml 1年:□ml
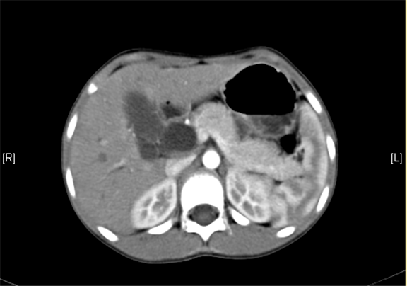
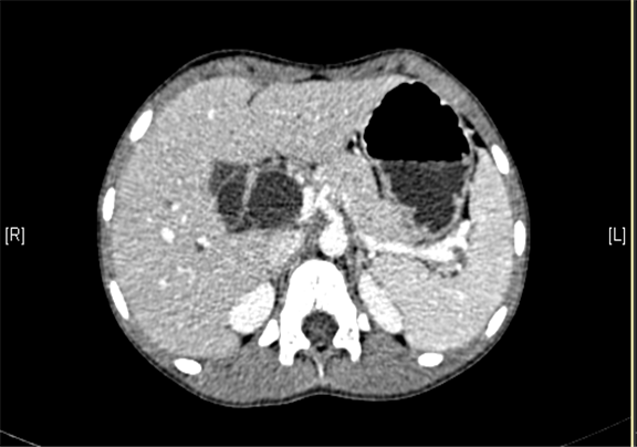
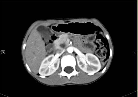
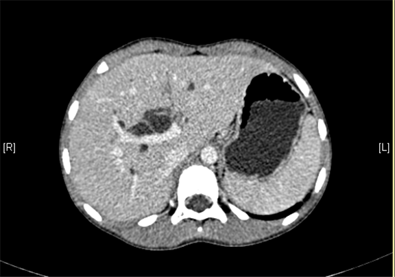
术前CT检查:
动脉期
静脉期
平衡期
术前三维重建:
重建图片
重建视频
您的浏览器不支持 video 标签。
您的浏览器不支持 video 标签。
您的浏览器不支持 video 标签。
您的浏览器不支持 video 标签。
more
merge