中文
|
English
首页
项目介绍
负责人介绍
学术委员会
Dong's肝脏分段体系
肝脏体积
成人肝脏体积
小儿肝脏体积
典型病例
正常肝脏数据库
成人正常肝脏
小儿正常肝脏
计算机辅助手术
肝脏肿瘤
成人肝脏肿瘤
小儿肝脏肿瘤
门脉高压症
脾脏疾病
先天性胆管扩张症
胰腺肿瘤
其他疾病
Couinaud 肝脏分段
数字医学概念
各数据库后台管理系统入口:
肝脏数据库
胆道数据库
胰腺数据库
Dong's肝脏分型数据库
肝脏体积数据库
肝脏门静脉数据库
肝静脉数据库
胆总管囊肿-CH-001-CBD-000071
您的浏览器不支持 video 标签。
一般情况:CH-001-CBD-000071,2月足月产女性患儿,身高63cm,体重6.4kg,
主诉:孕期8个月行B超发现胆总管囊性扩张
现病史:患者父母在怀孕8月产检时发现患儿胆总管扩张,未行特殊处理,3日前患儿出现陶土样便,1天前出现尿液深黄,无皮肤黄疸,患者家长为求进一步诊治,今来诊,拟诊"先天性胆管扩张症"收入院。
查体:神志清,精神尚可。双肺呼吸音清,双肺未闻及干湿性啰音。HR100次/分,心律齐,各瓣膜听诊区未闻及杂音。腹软,无压痛及反跳痛,肠鸣音存在。双下肢无浮肿.
整理:崔楷悦,吴萤 3D:周显军,朱呈瞻
辅助检查:
B超:先天性胆总管囊性扩张(外院)。
上腹部增强CT:先天性胆管扩张症(胆总管囊肿)可能性大。
实验室检查:
血常规:WBC 6.83*10~9/L NEU 1.80*10~9/L RBC 4.67*10~12/L HB 131g/L PLT263*10~9/L
生化全套:ALT 13.00U/L AST 22.00U/L TP 63.07g/L ALB 39.39g/L GGT 35.00U/L BIL-T 8.9umol/L BIL-D 5.80umol/L BUN 6.43mmol/L CREA 64.00umol/L T-CHO 4.40mmol/L Trig 0.60mmol/L
肝炎全套: HAV-IgM 0.08S/CO HBcIgM 0.09S/CO HCV-cAg 0.05S/CO HEV-IgM 0.05S/CO HBeAg 0.392S/CO Anti-HBe 2.2.290S/CO Anti-HBc 0.100S/CO
炎症反应标志物:CRP 1.34mg/l
诊疗过程:
CT结果输入海信CAS系统后行3D重建及手术规划后,于2015-9-14全麻下行“胆总管囊肿切除+胆囊切除+胆总管-空肠吻合术”手术治疗:
术前三维重建及手术方案设计:
将0.625mm双源薄层CT资料的静脉期和动脉期Dicom格式文件导入海信CAS系统。
通过调节窗宽窗位调整CT序号,对肝实质,胆囊,下腔静脉,肿瘤,肝动脉、门静脉及肝静脉等进行三维重建;系统自动计算肝脏体积。
术前手术方案的规划。
手术步骤:
完善术前准备后,选择右上腹纵口进入腹腔。结合海信CAS术前规划方案,探查见:胆总管4×2×2cm大小,胆囊约6×3×3cm,胆囊管迂曲,长约3cm。剥离、切除胆囊,游离胆总管,将之横断:①近端即肝总管,剪裁后备吻合用;②远端游离切除囊肿内壁,直至胆总管开口于十二指肠处,冲洗后予以结扎缝扎。距treits韧带20cm处直线切割吻合器横断空肠:①近端与其远端25cm处的空肠侧壁行端侧双层吻合,吻合口通畅;②远端断端封闭,其侧壁剪开,并经横结肠后提至肝门处,与剪裁的肝总管行端侧双层吻合。缝合修补胆囊床及系膜裂孔,肝门部放置橡胶引流管一根。温盐水冲洗腹腔。检查无活动性出血,清点纱布器械无误,依次缝合腹壁各层。术后胆囊标本家属过目,送检病理。手术时手术者可开启Hisense CAS系统手势控制功能,对胆囊周围血管、组织的解剖结构进行实时、全方观察、评估,起到术中导航作用。
术后病理:
术后病理:1、胆囊组织呈慢性炎;2、囊肿、囊壁构成于纤维及平滑肌组织,内衬纤毛柱状上皮。术后给予抗炎、保肝、止血、补液等对症支持治疗,患儿恢复好,伤口无红肿化脓,无渗血渗液,于2015-9-23出院。
随访情况:
随访3月,肿瘤无复发,无转移,肿瘤标志物未升高。
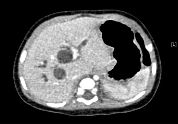
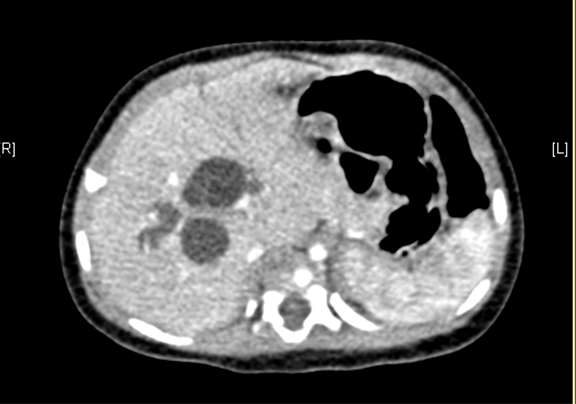
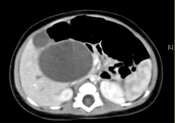
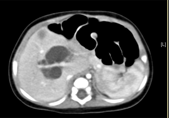
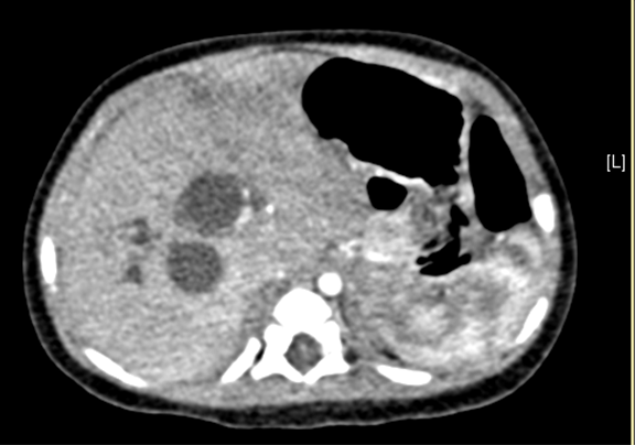
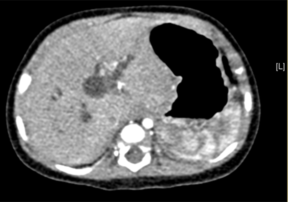
术前CT检查:
动脉期
静脉期
平衡期
术前三维重建:
重建图片
重建视频
您的浏览器不支持 video 标签。
您的浏览器不支持 video 标签。
您的浏览器不支持 video 标签。
您的浏览器不支持 video 标签。
more
merge