中文
|
English
首页
项目介绍
负责人介绍
学术委员会
Dong's肝脏分段体系
肝脏体积
成人肝脏体积
小儿肝脏体积
典型病例
正常肝脏数据库
成人正常肝脏
小儿正常肝脏
计算机辅助手术
肝脏肿瘤
成人肝脏肿瘤
小儿肝脏肿瘤
门脉高压症
脾脏疾病
先天性胆管扩张症
胰腺肿瘤
其他疾病
Couinaud 肝脏分段
数字医学概念
各数据库后台管理系统入口:
肝脏数据库
胆道数据库
胰腺数据库
Dong's肝脏分型数据库
肝脏体积数据库
肝脏门静脉数据库
肝静脉数据库
胚胎性横纹肌肉瘤-CH-001-LT-000513
您的浏览器不支持 video 标签。
一般情况:CH-001-LT-000513,3岁足月产女性患儿,身高90cm,体重16kg。
主诉:发现腹部肿物3月余。
现病史:因发现腹部肿物3月,辗转多家医院后来诊。门诊B超 、CT考虑腹腔后巨大肿瘤,给予B超引导下穿刺活检,结果考虑"横纹肌肉瘤",入住我院血液儿科,给予系统化疗,先后行5次化疗,化疗后肿物较前明显减小,复查CT检查示肿瘤较前减小,现患儿为行手术治疗来我科,患儿自发病以来精神、睡眠尚可,大小便无明显异常,体重无明显减轻。
查体:精神可,腹部平坦,未见胃肠型及蠕动波,腹壁静脉无迂曲扩张。无腹肌紧张,右腹部肋下似触及一肿物,约6×8cm,质硬,边界触不清,活动度差,无压痛、反跳痛,肝脾肋下未及。移动浊音(-)。听诊肠鸣音无亢进,无气过水声,5次/分。
整理:崔楷悦,高菲 3D:周显军,朱呈瞻
辅助检查:
下腹部增强CT示右下腹腔内巨大软组织块影并右肾、输尿管积水。
实验室检查:
血常规:WBC 5.59*10~9/L NEU 72.10*10~9/L RBC 2.73*10~12/L HB 79g/L PLT 409*10~9/L
生化全套: ALT 19.00U/L AST 26.00U/L TP 70.57g/L ALB 47.44g/L GGT 26.00U/L BIL-T 10.95umol/L BIL-D 3.80umol/L BUN 7.6mmol/L CREA 46.00umol/L T-CHO 3.54mmol/L Trig 0.68mmol/L
肝炎全套:HAV-IgM 0.10S/CO HBcIgM 0.200S/CO HCV-cAg 0.10S/CO HEV-IgM 0.03S/CO HBeAg 0.319S/CO Anti-HBe 0.840S/CO Anti-HBc 4.720S/CO
炎症反应标志物:CRP 8.15mg/l
诊疗过程:
CT结果输入海信CAS系统后行3D重建及手术规划后,于2016-7-7全麻下行“横纹肌肉瘤切除术”手术治疗
术前三维重建及手术方案设计:
将0.625mm双源薄层CT资料的静脉期和动脉期Dicom格式文件导入海信CAS系统。
通过调节窗宽窗位调整CT序号,对肿瘤,肝实质,胆囊,下腔静脉,肿瘤,肝动脉、门静脉及肝静脉等进行三维重建;系统自动计算肿瘤体积和肝脏体积。
模拟手术操作,自动计算切除肿瘤体积。三维可见肿瘤来源于膀胱,需将部分膀胱切除。
手术步骤:
根据手术规划系统提供最优虚拟肝切除步骤解剖,探查见:双侧输尿管、双侧卵巢、输卵管正常,肿瘤约6*8*8cm大小,来源于膀胱,仔细游离肿瘤,将肿瘤及部分膀胱切除,3-0可吸收间断缝合膀胱。检查无活动性出血,清点纱布器械无误,依次缝合腹壁各层。手术顺利,麻醉满意,出血不足1ml,未输血,术后病人送入麻醉科术后恢复室。术后标本家属过目,送检病理。手术时手术者可开启Hisense CAS系统手势控制功能,对肿瘤的解剖结构进行实时、全方观察、评估,起到术中导航作用。
术后病理:
术后病理提示胚胎性横纹肌肉瘤(大小8*6*2cm)。
术后给予抗炎、补液、止血、输血等对症支持治疗,患儿恢复良好,伤口无渗血渗液,无红肿疼痛,于2016-7-27出院。
随访情况:
随访3个月,肿瘤无复发,血液儿科进行化疗,无明显不适症状。
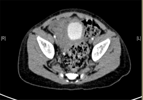
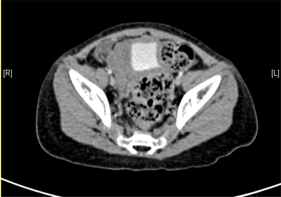
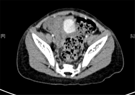
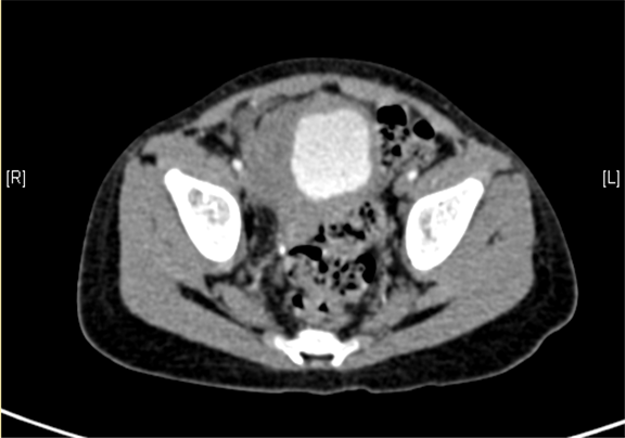
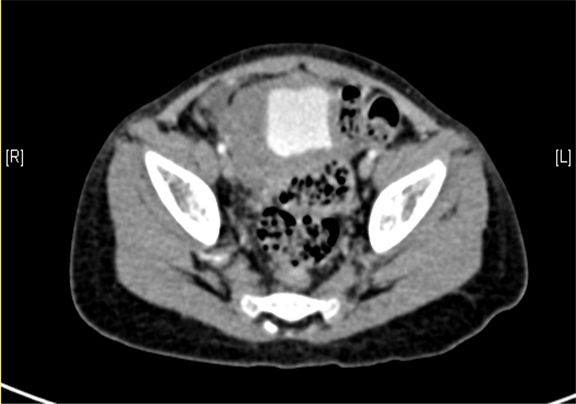
术前CT检查:
动脉期
静脉期
平衡期
术前三维重建:
重建图片
重建视频
您的浏览器不支持 video 标签。
您的浏览器不支持 video 标签。
您的浏览器不支持 video 标签。
您的浏览器不支持 video 标签。
more
merge