中文
|
English
首页
项目介绍
负责人介绍
学术委员会
Dong's肝脏分段体系
肝脏体积
成人肝脏体积
小儿肝脏体积
典型病例
正常肝脏数据库
成人正常肝脏
小儿正常肝脏
计算机辅助手术
肝脏肿瘤
成人肝脏肿瘤
小儿肝脏肿瘤
门脉高压症
脾脏疾病
先天性胆管扩张症
胰腺肿瘤
其他疾病
Couinaud 肝脏分段
数字医学概念
各数据库后台管理系统入口:
肝脏数据库
胆道数据库
胰腺数据库
Dong's肝脏分型数据库
肝脏体积数据库
肝脏门静脉数据库
肝静脉数据库
腹膜后囊性畸胎瘤-CH-001-N-000214
您的浏览器不支持 video 标签。
一般情况:CH-001-N-000214,17月龄足月产女性患儿,身高82cm,体重12kg。
主诉:发现腹部肿大1年余。
现病史:因腹部肿大1年余,查体发现腹腔占位2天入院。无发热、咳嗽,无腹痛、腹泻,饮食、排便可。
查体:精神可,腹部膨隆,对称,无腹壁静脉曲张显露,无胃肠型和蠕动波。腹部柔软,无压痛、反跳痛,可触及囊性肿物,边界不清。肝脾肋下未触及。腹部叩诊呈鼓音,无移动性浊音。肠鸣音正常,3次/分。
整理:崔楷悦,高菲 3D:周显军,朱呈瞻
辅助检查:
腹部肿块超声检查示腹腔囊性团块。
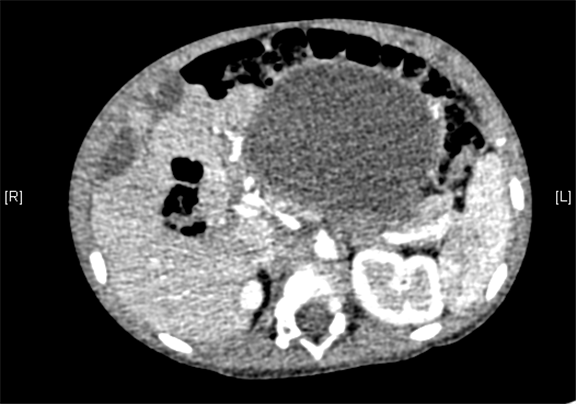
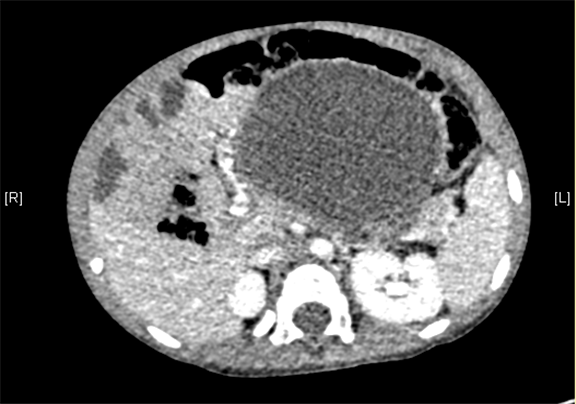
腹部三维动态CT:腹腔巨大囊性占位性病变,考虑肠系膜来源良性病变可能性大,腹腔肠系膜淋巴管瘤?
实验室检查:
血常规:WBC 7.85*10~9/L NEU 0.88*10~9/L RBC 4.31*10~12/L HB 121g/L PLT 312*10~9/L
生化全套:ALT 19.00U/L AST 31.00U/L TP 57.63g/L ALB 38.25g/L GGT 6.00U/L BIL-T 7.4umol/L BIL-D 3.23umol/L BUN 4.65mmol/L CREA 43.00umol/L T-CHO 44.76mmol/L Trig 0.73mmol/L
肿瘤标志物: AFP 6.70ng/mL CEA 0.62ng/mL CA19-9 20.77U/mL
肝炎全套: HAV-IgM 0.10S/CO HBcIgM 0.070S/CO HCV-cAg 0.08S/CO HEV-IgM 0.03S/CO HBeAg 0.302S/CO Anti-HBe 2.000S/CO Anti-HBc 0.070S/CO
炎症反应标志物:CRP 0.55mg/l
诊疗过程:
CT结果输入海信CAS系统后行3D重建及手术规划后,于2016-5-5全麻下行“腹膜后肿物切除术”手术治疗:
术前三维重建及手术方案设计:
将0.625mm双源薄层CT资料的静脉期和动脉期Dicom格式文件导入海信CAS系统。
通过调节窗宽窗位调整CT序号,对肿瘤,肝脏,胆囊,下腔静脉,肿瘤,肝动脉、门静脉及肝静脉等进行三维重建;系统自动计算肿瘤体积和肝脏体积。
模拟手术操作,自动计算切除肿瘤体积。肝脏体积为425.6ml,肿瘤体积为971.8ml,肿瘤体积为肝脏体积的2.28倍,通过比对1-2岁正常肝脏体积为392.13±72.67ml,通过术前模拟手术,精准判断切除范围。
手术步骤:
根据手术规划系统提供最优虚拟肿瘤切除步骤,探查见:腹腔内无腹水,肿物位于腹膜后,将结肠脾区挤向右下腹,剪开后腹膜,空针抽吸出约600ml淡黄色液体,沿肿瘤外侧缘分离与侧腹膜粘连,见后方与左侧输尿管粘连,仔细分离粘连,全程显露输尿管未见损伤;再将肿瘤拉向上方,钝性分离粘连至肿瘤后方;将肿瘤拉向外侧,分离内侧粘连,见肿瘤与横结肠系膜、血管粘连,分离并保护结肠血管,将肿瘤内侧游离,将肿瘤拉向上方见肿瘤根部起自左肾动脉水平,可见数只肿瘤供应血管,4号线断扎,完整将肿瘤切除,部分送检术中冰冻病理检查,提示:囊性成熟型畸胎瘤。完善止血,探查见左肾血供良好,左侧输尿管蠕动可,温盐水冲洗腹腔以及腹膜后。检查无活动性出血,清点纱布器械无误,放置腹膜后引流管一根,缝合后腹膜及横结肠系膜裂孔,可吸收线依次缝合腹壁各层。4-0滑线皮内缝合皮肤。术后标本家属过目,送检病理。手术时手术者可开启Hisense CAS系统手势控制功能,对肿瘤的解剖结构进行实时、全方观察、评估,起到术中导航作用。
术后病理:
术后病理提示囊性成熟型畸胎瘤(大小11x8cm),内见成熟脑组织。
术后给予抗炎、补液、止血等对症支持治疗,患儿恢复良好,伤口无红肿疼痛,无渗血渗液,于2016-5-13出院。
随访情况:
随访3个月,肿瘤无复发,无明显不适症状。
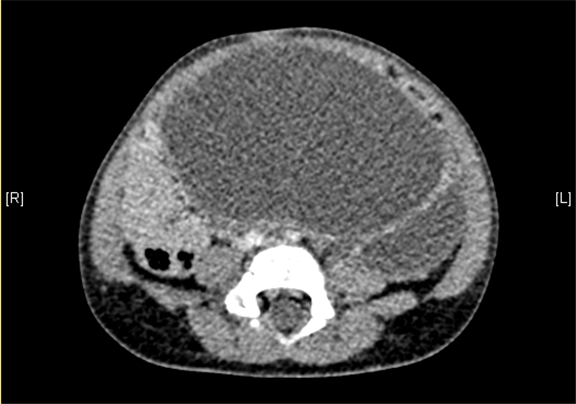
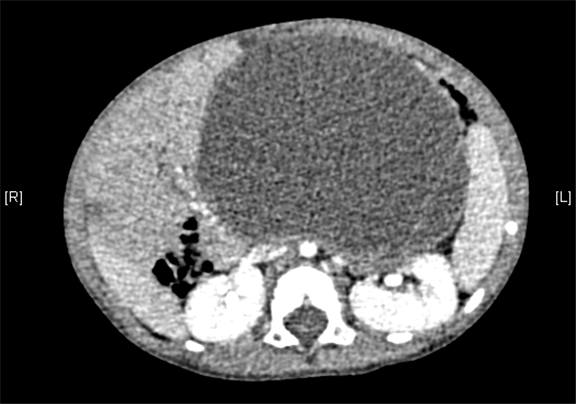
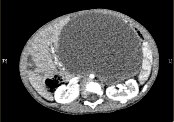
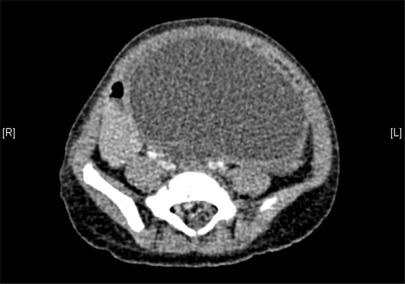
术前CT检查:
动脉期
静脉期
平衡期
术前三维重建:
重建图片
重建视频
您的浏览器不支持 video 标签。
您的浏览器不支持 video 标签。
您的浏览器不支持 video 标签。
您的浏览器不支持 video 标签。
more
merge