中文
|
English
首页
项目介绍
负责人介绍
学术委员会
Dong's肝脏分段体系
肝脏体积
成人肝脏体积
小儿肝脏体积
典型病例
正常肝脏数据库
成人正常肝脏
小儿正常肝脏
计算机辅助手术
肝脏肿瘤
成人肝脏肿瘤
小儿肝脏肿瘤
门脉高压症
脾脏疾病
先天性胆管扩张症
胰腺肿瘤
其他疾病
Couinaud 肝脏分段
数字医学概念
各数据库后台管理系统入口:
肝脏数据库
胆道数据库
胰腺数据库
Dong's肝脏分型数据库
肝脏体积数据库
肝脏门静脉数据库
肝静脉数据库
肾母细胞瘤-CH-001-N-001503
您的浏览器不支持 video 标签。
一般情况:CH-001-N-001503,月足月产女性患儿,体重9.50kg。
主诉:发现左下腹包块1周。
现病史:患儿1周前家长无意中发现其左下腹有一包块,无哭闹,无发热、寒战,无恶心、呕吐,无腹痛、腹泻、便血,无尿频、尿急、血尿,就诊于当地医院,行B超检查提示“腹部包块”,现为行进一步诊治,就诊于我院,收入我科。患儿自发病以来,神志清,精神好,饮食可,睡眠可,大小便正常,体重稍有减轻
查体:腹部略膨隆,无腹壁静脉曲张显露,无胃肠型和蠕动波,未见脐疝及腹股沟斜疝。腹部柔软,无压痛、反跳痛,左下腹可扪及一约10*8cm,质韧,不可推动。肝脾肋下未触及。腹部叩诊呈鼓音,无移动性浊音。肠鸣音正常,5次/分。
整理:崔楷悦,高菲 3D:周显军,朱呈瞻
辅助检查:
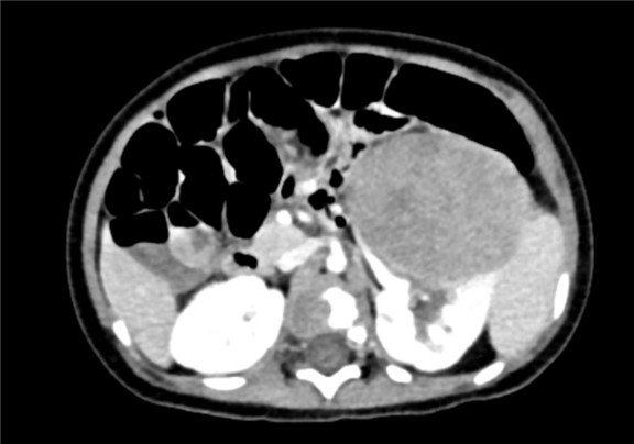
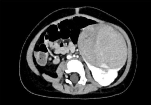
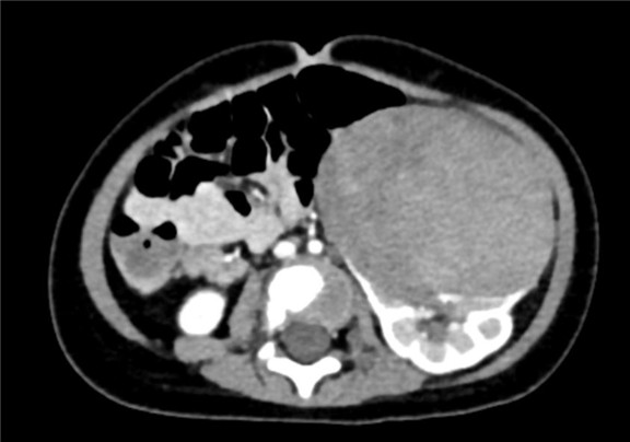
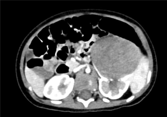
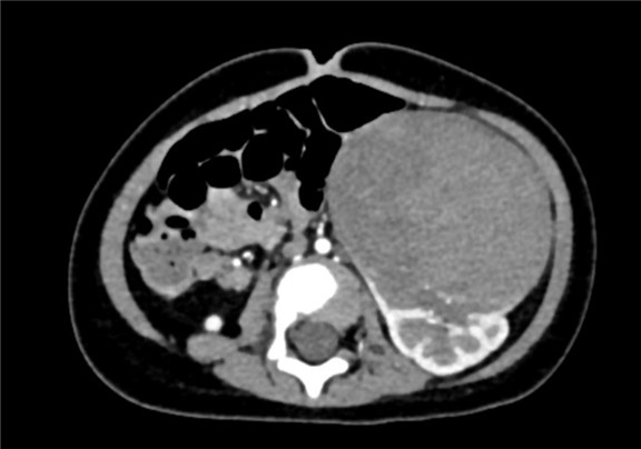
上腹部增强CT:左肾巨大占位性病变,疑似肾母细胞瘤
实验室检查:
血常规:WBC 11.38*10~9/L NEU 16.10*10~9/L RBC 5.27*10~12/L HB 85g/L PLT 377*10~9/L
生化全套:ALT 9.00U/L AST 32.00U/L TP 63.71g/L ALB 43.10g/L GGT 10.00U/L BIL-T 13.44umol/L BIL-D 4.34umol/L CREA 5.00umol/L
肿瘤标志物:AFP6.88ng/mL CEA2.16ng/mL
肝炎全套:HAV-IgM- HBcIgM 0.090S/CO HCV-cAg 0.08S/CO HEV-IgM 0.03S/CO HBeAg 0.242S/CO Anti-HBe 1.670S/CO Anti-HBc 0.060S/CO
炎症反应标志物:CRP 1.77mg/l
诊疗过程:
CT结果输入海信CAS系统后行3D重建及手术规划后,于2017-7-21全麻下行“左肾切除术”手术治疗:
术前三维重建及手术方案设计:
将0.625mm双源薄层CT资料的静脉期和动脉期Dicom格式文件导入海信CAS系统。
通过调节窗宽窗位调整CT序号,对肿瘤,肝实质,胆囊,下腔静脉,肿瘤,肝动脉、门静脉及肝静脉等进行三维重建;系统自动计算肿瘤体积和肝脏体积。
模拟手术操作,自动计算切除肿瘤体积。肝脏体积为215ml,肾脏肿瘤大小为284.6ml通过术前模拟手术,精准判断手术可行性。
手术步骤:
模拟手术操作,自动计算切除肿瘤体积。肝脏体积为215ml,肾脏肿瘤大小为284.6ml通过术前模拟手术,精准判断手术可行性。术前手术方案的规划。手术步骤:(1)麻醉成功后,患儿取平卧位,左腰下垫枕,2.5%碘伏消毒手术区皮肤,铺无菌巾单。(2)取左上腹横纹切口长约10cm,切开皮肤、皮下组织、肌层和腹膜。沿降结肠外侧切开侧腹膜,切开肾周脂肪囊,显露整个肾脏,见肿瘤位于肾脏中上部,约10×8×6cm大小,质地硬肿瘤位于肾脏包膜内。现游离肾蒂,结扎缝扎肾脏血管,尽可能低位切断输尿管。进一步游离肾脏,此时瘤肾完整切除。探查腹主动脉旁淋巴结肿大,给予切除。(3) 检查无活动性出血,清点纱布器械无误,依次缝合腹壁各层。(6)手术顺利,麻醉满意,出血不多,未输血,术后病人先进入麻醉恢复室,苏醒后回病房。(7)术后标本送病理检查。结果回示:(左肾)肾母细胞瘤。手术时手术者可开启Hisense CAS系统手势控制功能,对肿瘤的解剖结构进行实时、全方观察、评估,起到术中导航作用。
术后病理:
1、(左肾)肾母细胞瘤(混合型,大小11*7*5cm),以未分化胚芽成分为主,可见原始肾小管上皮分化,侵及肾被膜,未侵及肾周脂肪组织及肾盂;输尿管断端未见肿瘤累及;肾门血管内未见瘤栓形成;送检腹主动脉旁淋巴结内未见肿瘤转移(0/2)。
2、免疫组化结果:CK灶(+),WT-1(+),Vimentin灶(+),Pax-8(+),NSE(-),Desmin(-),CD56(-),P504S(-),TTF-1(-),Myogenin(-)。
术后给予抗生素消炎治疗,静脉高营养、全量补液及对症支持治疗,患儿恢复良好,伤口无渗血渗液,无红肿疼痛,于2017-7-26出院。
随访情况:
随访2月,左肾切除术后,术后未见异常。
术前CT检查:
动脉期
静脉期
平衡期
术前三维重建:
重建图片
重建视频
您的浏览器不支持 video 标签。
您的浏览器不支持 video 标签。
您的浏览器不支持 video 标签。
您的浏览器不支持 video 标签。
more
merge