中文
|
English
首页
项目介绍
负责人介绍
学术委员会
Dong's肝脏分段体系
肝脏体积
成人肝脏体积
小儿肝脏体积
典型病例
正常肝脏数据库
成人正常肝脏
小儿正常肝脏
计算机辅助手术
肝脏肿瘤
成人肝脏肿瘤
小儿肝脏肿瘤
门脉高压症
脾脏疾病
先天性胆管扩张症
胰腺肿瘤
其他疾病
Couinaud 肝脏分段
数字医学概念
各数据库后台管理系统入口:
肝脏数据库
胆道数据库
胰腺数据库
Dong's肝脏分型数据库
肝脏体积数据库
肝脏门静脉数据库
肝静脉数据库
肾母细胞瘤-CH-001-N-001504
您的浏览器不支持 video 标签。
一般情况:CH-001-N-001504,11月足月产男性患儿,体重9.5kg。
主诉:确诊肾母细胞瘤2月余,化疗后。
现病史:患儿2月余因“发现右腹部肿物18天”于2017.5.17入住我科,当时查体:正常面容,心肺无异常,腹部膨隆,不对称,右侧腹部膨隆明显,腹部柔软,无压痛、反跳痛,右上腹可触及一肿物,约11×8cm大小,质硬,边界尚清楚,活动差,无压痛。肝脾肋下未触及。行超声检查:右肾实性占位,肾母细胞瘤可能性大。诊断为“腹腔占位,右”,遂收住小儿外科,予行下腹部CT动态增强扫描:右肾巨大占位,考虑肾母细胞瘤可能性大。胸部CT平扫:双肺多发结节影,转移瘤?左侧腋下略增大淋巴结。组织病理学检查:(右肾肿瘤组织穿刺活检)肾母细胞瘤。后入住小儿血液科,诊断为肾母细胞瘤。后排除化疗禁忌,给予患儿化疗,辅予保心、保肝、止吐、护胃及免疫支持治疗,现复查患儿肿物较前缩小。
查体:正常面容,心肺无异常,腹部膨隆,不对称,右侧腹部膨隆明显,腹部柔软,无压痛、反跳痛,右上腹可触及一肿物,约10×8cm大小,质硬,边界尚清楚,活动差,无压痛。肝脾肋下未触及。
整理:崔楷悦,高菲 3D:周显军,朱呈瞻
辅助检查:
上腹部增强CT:上腹部CT动态增强扫描未见明显异常 。
下腹部CT动态增强扫描 肾母细胞瘤化疗后,右肾巨大占位,较前范围减小,请结合临床。
实验室检查:
血常规:WBC 4.36*10~9/L NEU 1.47*10~9/L RBC 3.81*10~12/L HGB 107g/L PLT 265*10~9/L
生化全套:ALT 40.00U/L AST 38.00U/L TP 57.46g/L ALB 40.22g/L GGT 11.00U/L BIL-T 5.73umol/L BIL-D 2.08umol/L BUN 3.64mmol/L CREA 4.00umol/L T-CHO 3.96mmol/L Trig 1.83mmol/L
肝炎全套:HAV-IgM 0.10 S/CO HBcIgM 0.04S/CO HCV-cAg 0.08 S/CO HEV-IgM 0.03 S/CO HBeAg 0.23S/CO Anti-HBe 1.86S/CO Anti-HBc 0.05S/CO
炎症反应标志物:CRP 2.17mg/l
诊疗过程:
CT结果输入海信CAS系统后行3D重建及手术规划后,于2017-08-17全麻下行“肾母细胞瘤根治性切除术”手术治疗:
术前三维重建及手术方案设计:
将0.625mm双源薄层CT资料的静脉期和动脉期Dicom格式文件导入海信CAS系统。
通过调节窗宽窗位调整CT序号,对肿瘤,肝实质,胆囊,下腔静脉,肿瘤,肝动脉、门静脉及肝静脉等进行三维重建;系统自动计算肿瘤体积和肝脏体积。
模拟手术操作,自动计算切除肿瘤体积。肝脏体积为271ml,通过术前模拟手术,精准判断手术可行性。
手术步骤:
麻醉成功后,患儿取平卧位,右腰下垫枕,2.5%碘伏消毒手术区皮肤,铺无菌巾单。取右上腹横纹切口长约10cm,切开皮肤、皮下组织、肌层和腹膜。沿降结肠外侧切开侧腹膜,切开肾周脂肪囊,显露整个肾脏,见肿瘤位于肾脏中下部,约8×7×7cm大小,质地硬肿瘤位于肾脏包膜内。现游离肾蒂,结扎缝扎肾脏血管,尽可能低位切断输尿管。进一步游离肾脏,此时瘤肾完整切除。探查肾门及主动脉旁未见有意义淋巴结。检查无活动性出血,清点纱布器械无误,依次缝合腹壁各层。手术顺利,麻醉满意,出血不多,未输血,术后病人先进入麻醉恢复室,苏醒后回病房。术后标本送术中冰冻病理检查,结果回示:((右侧)肾母细胞瘤。手术时手术者可开启Hisense CAS系统手势控制功能,对肿瘤的解剖结构进行实时、全方观察、评估,起到术中导航作用。
术后病理:
1、((右侧)肾母细胞瘤(大小9*8.5cm),以上皮成分为主,周边见胚芽及少量间叶成分,未见肿瘤性坏死,小灶间质纤维化及泡沫细胞聚集,未侵及肾被膜,未累及输尿管断端,神经侵犯(-),脉管癌栓(-)。
术后给予抗生素抗炎治疗,静脉高营养、全量补液及对症支持治疗,患儿恢复良好,伤口无渗血渗液,无红肿疼痛,于2016-12-12出院。
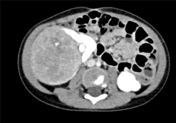
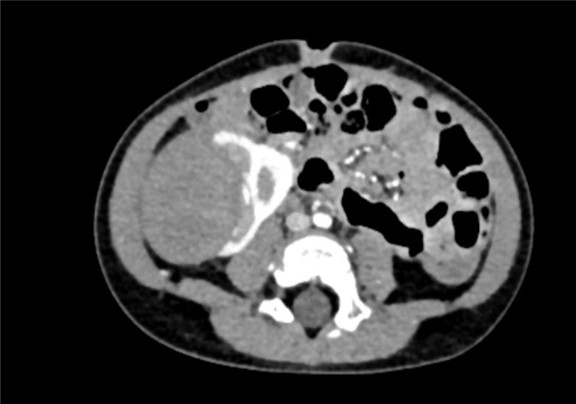
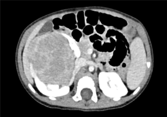
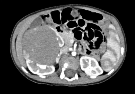
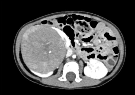
术前CT检查:
动脉期
静脉期
平衡期
术前三维重建:
重建图片
重建视频
您的浏览器不支持 video 标签。
您的浏览器不支持 video 标签。
您的浏览器不支持 video 标签。
您的浏览器不支持 video 标签。
more
merge