中文
|
English
首页
项目介绍
负责人介绍
学术委员会
Dong's肝脏分段体系
肝脏体积
成人肝脏体积
小儿肝脏体积
典型病例
正常肝脏数据库
成人正常肝脏
小儿正常肝脏
计算机辅助手术
肝脏肿瘤
成人肝脏肿瘤
小儿肝脏肿瘤
门脉高压症
脾脏疾病
先天性胆管扩张症
胰腺肿瘤
其他疾病
Couinaud 肝脏分段
数字医学概念
各数据库后台管理系统入口:
肝脏数据库
胆道数据库
胰腺数据库
Dong's肝脏分型数据库
肝脏体积数据库
肝脏门静脉数据库
肝静脉数据库
神经母细胞瘤-CH-001-N-000210
您的浏览器不支持 video 标签。
一般情况:CH-001-N-000210,3岁足月产男性患儿,身高96cm,体重14kg
主诉:主诉:查体发现左侧腹部肿物。
现病史:查体发现左侧腹部肿物,无疼痛,无发热、寒战,无尿频尿急、无尿失禁,无恶心呕吐,体重增加缓慢,大小便正常。
查体:精神可,全身无黄染,口唇、结膜苍白,腹部膨隆,未见胃肠型、蠕动波,腹肌软,无压痛无反跳痛,肝肋下3cm,无触痛,脾未及,肝肾区无叩痛,肠鸣音正常。
整理:崔楷悦,高菲 3D:周显军,朱呈瞻
辅助检查:
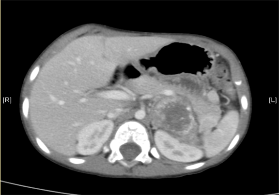
下腹部增强CT示:神经母细胞瘤。
实验室检查:
血常规:WBC 3.48*10~9/L NEU 1.76*10~9/L RBC 2.58*10~12/L HB 71g/L PLT 91*10~9/L
生化全套:ALT 11.00U/L AST 53.00U/L TP 66.34g/L ALB 39.04g/L GGT 3.00U/L BIL-T 9.58umol/L BIL-D 3.77umol/L BUN 3.37mmol/L CREA 42.00umol/L T-CHO 4.50mmol/L Trig 1.29mmol/L
肿瘤标志物:AFP3.22ng/mL
肝炎全套:HAV-IgM 0.10S/CO HBcIgM 0.070S/CO HCV-cAg 0.24S/CO HEV-IgM 0.03S/CO HBeAg 0.317S/CO Anti-HBe 2.220S/CO Anti-HBc 0.050S/CO
炎症反应标志物:CRP 4.74mg/l
诊疗过程:
CT结果输入海信CAS系统后行3D重建及手术规划后,于2016-5-24全麻下行“剖腹探查术+左肾肿物活检术”手术治疗:
术前三维重建及手术方案设计:
将0.625mm双源薄层CT资料的静脉期和动脉期Dicom格式文件导入海信CAS系统。
通过调节窗宽窗位调整CT序号,对肿瘤,肝实质,胆囊,下腔静脉,肿瘤,肝动脉、门静脉及肝静脉等进行三维重建;系统自动计算肿瘤体积和肝脏体积。
模拟手术操作,自动计算切除肿瘤体积。肝脏体积为573.4ml,肿瘤体积为375.6ml,肿瘤体积为肝脏体积的65.5%,通过比对3-4岁正常肝脏体积为522.63±121.24 ml,通过术前模拟手术,精准判断切除后剩余肝脏体积能耐受,避免肝衰竭发生。
手术步骤:
根据手术规划系统提供最优虚拟肝切除步骤解剖沿降结肠外侧切开侧腹膜,切开肾周脂肪囊,显露整个肾脏,见肿瘤位于整个肾脏,约20×15×10cm大小,质地硬,肿物下极包膜破裂并血肿形成。与胰腺、脾脏及降结肠粘连紧密,下极包绕肠系膜上动脉,无法分离并切除,遂决定仅行活检术。在肿物外侧电刀切取约1*1cm大小肿物,防止凝胶海绵1块1-0丝线缝合肿物。检查无活动性出血,清点纱布器械无误,依次缝合腹壁各层。手术顺利,麻醉满意,出血不多,未输血,术后病人先进入麻醉恢复室,苏醒后回病房。术后标本送术中冰冻病理检查,结果回示:小圆细胞恶性肿瘤。手术时手术者可开启Hisense CAS系统手势控制功能,对肿瘤的解剖结构进行实时、全方观察、评估,起到术中导航作用。
术后病理:
术后病理提示神经母细胞瘤(大小6*5cm),伴出血、坏死,侵及肾被膜并肾门处瘤结节形成,未累及送检输尿管。
术后给予抗炎、补液、止血等对症支持治疗,患儿恢复良好,伤口无渗血渗液,无红肿疼痛,于2016-5-30出院。
随访情况:
随访3月,肿瘤无复发,无转移,肿瘤标志物未升高。
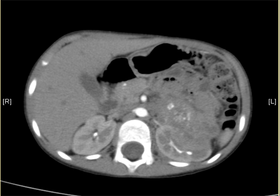
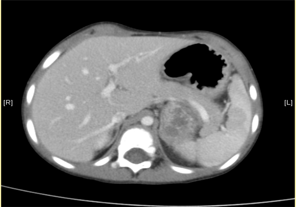
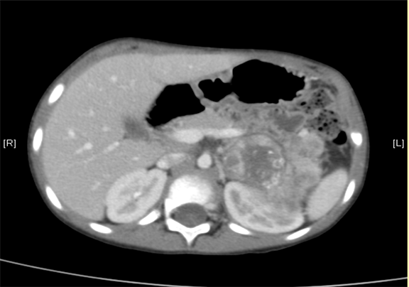
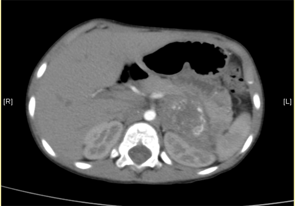
术前CT检查:
动脉期
静脉期
平衡期
术前三维重建:
重建图片
重建视频
您的浏览器不支持 video 标签。
您的浏览器不支持 video 标签。
您的浏览器不支持 video 标签。
您的浏览器不支持 video 标签。
more
merge