中文
|
English
首页
项目介绍
负责人介绍
学术委员会
Dong's肝脏分段体系
肝脏体积
成人肝脏体积
小儿肝脏体积
典型病例
正常肝脏数据库
成人正常肝脏
小儿正常肝脏
计算机辅助手术
肝脏肿瘤
成人肝脏肿瘤
小儿肝脏肿瘤
门脉高压症
脾脏疾病
先天性胆管扩张症
胰腺肿瘤
其他疾病
Couinaud 肝脏分段
数字医学概念
各数据库后台管理系统入口:
肝脏数据库
胆道数据库
胰腺数据库
Dong's肝脏分型数据库
肝脏体积数据库
肝脏门静脉数据库
肝静脉数据库
神经母细胞瘤-CH-001-LT-001194
您的浏览器不支持 video 标签。
一般情况:CH-001-LT-001194,1岁足月产男性患儿,体重10.5kg。
主诉:腹部膨隆1周余,体检发现肝内实性占位1天。
现病史:患儿1周前出现腹部膨隆,无皮肤黄染、头晕、发热、腹痛、腹胀、腹泻、呕吐等症状,未予特殊处理。后患儿偶尔出现烦躁,1天前去当地医院就诊,行腹部超声示肝内实性占位,考虑肝母细胞瘤可能,未予特殊处理,现为求进一步治疗,来我院就诊,门诊以“肝占位性病变”收入我科。
查体:上腹部膨隆,对称,无腹壁静脉曲张显露,无胃肠型和蠕动波,未见脐疝及腹股沟斜疝。腹部柔软,无压痛、反跳痛,剑突下可触及一包块,大小触及不清,固定,边界不清,不活动。肋下3cm可触及肝下缘,脾脏未触及。腹部叩诊呈鼓音,无移动性浊音。肠鸣音正常,4次/分。
整理:崔楷悦,高菲 3D:周显军,朱呈瞻
辅助检查:
下腹部增强CT示:右肾上腺区占位并周围侵犯,腹腔、腹膜后多发淋巴结肿大,考虑恶性肿瘤,神经母细胞瘤?胆囊炎可能性大。
实验室检查:
血常规: WBC 6.54*10~9/L NEU 1.93*10~9/L RBC 4.26*10~12/L HB 98g/L PL363*10~9/L
生化全套:ALT 56.00U/L AST 220.00U/L TP 59.2g/L ALB 39.18g/L GGT 112.00U/L BIL-T 10.86umol/L BIL-D 2.79umol/L BUN 2.51mmol/L CREA 24.00umol/L T-CHO 4.47mmol/L Trig 1.26mmol/L
肿瘤标志物:NSE >370.00ng/mL
肝炎全套:HAV-IgM 0.28S/CO HBcIgM 0.05S/CO HCV-cAg 0.36 S/CO HEV-IgM 0.09 S/CO HBeAg 0.233S/CO Anti-HBe 1.93S/CO Anti-HBc 0.05S/CO
炎症反应标志物:CRP 3.08mg/l
诊疗过程:
CT结果输入海信CAS系统后行3D重建及手术规划后,肿瘤位于右肾上腺区并周围淋巴结肿大,与血管关系紧密,建议化疗,静脉高营养、全量补液及对症支持治疗,患儿恢复良好,伤口无渗血渗液,无红肿疼痛,于2017-5-16出院。
随访情况:
随访5月,需继续化疗。
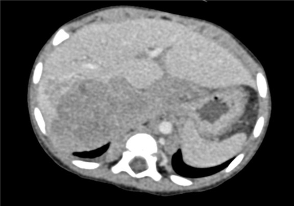
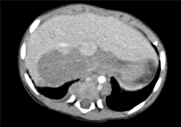
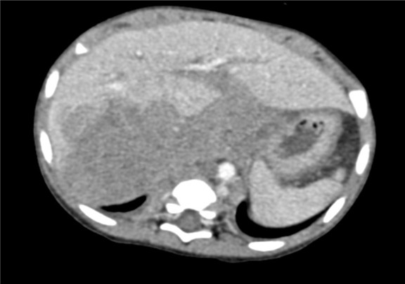
术前CT检查:
动脉期
静脉期
平衡期
术前三维重建:
重建图片
重建视频
您的浏览器不支持 video 标签。
您的浏览器不支持 video 标签。
您的浏览器不支持 video 标签。
您的浏览器不支持 video 标签。
more
merge