中文
|
English
首页
项目介绍
负责人介绍
学术委员会
Dong's肝脏分段体系
肝脏体积
成人肝脏体积
小儿肝脏体积
典型病例
正常肝脏数据库
成人正常肝脏
小儿正常肝脏
计算机辅助手术
肝脏肿瘤
成人肝脏肿瘤
小儿肝脏肿瘤
门脉高压症
脾脏疾病
先天性胆管扩张症
胰腺肿瘤
其他疾病
Couinaud 肝脏分段
数字医学概念
各数据库后台管理系统入口:
肝脏数据库
胆道数据库
胰腺数据库
Dong's肝脏分型数据库
肝脏体积数据库
肝脏门静脉数据库
肝静脉数据库
肾上腺皮质腺癌-CH-001-N-000436
您的浏览器不支持 video 标签。
一般情况:CH-001-N-000436,9月足月产男性患儿,体重8.0kg。
主诉:查体发现腹腔占位1天。
现病史:1天前,患儿于我院查体时发现腹腔占位,患儿家属为求进一步诊治,我科门诊以“腹腔占位,肾母细胞瘤?”收入院,患儿自发病以来,神志清,精神可,饮食睡眠好,大小便正常。
查体:腹软稍胀,全腹无压痛、反跳痛,左腹部可触及一大小约为10cm肿块,质韧。
整理:崔楷悦,高菲 3D:周显军,朱呈瞻
辅助检查:
2017-02-03 上腹部CT平扫:左肾区巨大占位,肾母细胞瘤?建议CT增强检查;右肾结石可能性大;腹腔积液。
实验室检查:
血常规:WBC 32.39*10~9/L NEU85*10~9/L RBC 3.87*10~12/L HB 84g/L PLT 541*10~9/L
生化全套:ALT 47.00U/L AST 47.00U/L TP 67.1g/L ALB 35.20g/L GGT 30.7.00U/L BIL-T 8.40umol/L BIL-D 3.3.00umol/L CREA 57.50umol/L
肿瘤标志物:AFP29.59 ng/mL CEA1.90ng/mL CA19-912.66U/ml
肝炎全套:HAV-IgM- HBcIgM 0.040S/CO HCV-cAg 0.28S/CO
炎症反应标志物:CRP <0.50mg/l
诊疗过程:
CT结果输入海信CAS系统后行3D重建及手术规划后,于2017-03-22全麻下行“肾上腺恶性肿瘤切除术”手术治疗:
术前三维重建及手术方案设计:
将0.625mm双源薄层CT资料的静脉期和动脉期Dicom格式文件导入海信CAS系统。
通过调节窗宽窗位调整CT序号,对肿瘤,肝实质,胆囊,下腔静脉,肿瘤,肝动脉、门静脉及肝静脉等进行三维重建;系统自动计算肿瘤体积和肝脏体积。
模拟手术操作,自动计算切除肿瘤体积。肝脏体积为496.9ml,肾上腺肿瘤体积363ml,术前规划手术方案,进行手术。
手术步骤:
麻醉成功后,置患儿平卧位,2.5%碘伏消毒手术区皮肤,铺无菌巾单。取左上腹横切口长约16cm,切开皮肤、皮下、肌层和腹膜。剪开后腹膜。探查见:左肾上腺区有一约16×10×10cm肿物,质地不均匀,边界清楚,包膜完整,与肾血管、下腔静脉、脾脏及左肾关系密切。从肿瘤外缘仔细分离肿瘤,分离出左肾动静脉以及下腔静脉,将肿瘤完整剥除。蒸馏水冲洗腹腔以及腹膜后。检查无活动性出血,清点纱布器械无误,放置腹膜后引流管一根,依次缝合腹壁各层。手术顺利,麻醉满意,出血10ml,输血0.5单位,术后病人安送麻醉恢复室,苏醒后回病房,术后标本送病理,结果回示:(左侧)肾上腺皮质源性肿瘤。手术时手术者可开启Hisense CAS系统手势控制功能,对肿瘤的解剖结构进行实时、全方观察、评估,起到术中导航作用。
术后病理:
(左侧)肾上腺皮质源性肿瘤,结合形态学及免疫组化结果,意见为肾上腺皮质腺癌(两处,大小分别为13*9*5.5cm,3.5*3.5cm)。
免疫组化结果:CKpan(-),Inhibinα(+),MelanA少部分(+),Syn(+),CgA(-),Ki-67(+)约15%,Pax-8(-),CD31示间质脉管未见确切癌栓,S100示神经侵犯(-)。
术后给予抗生素消炎治疗,静脉高营养、全量补液及对症支持治疗,患儿恢复良好,伤口无渗血渗液,无红肿疼痛,于2017-4-1出院。
随访情况:
随访半年,左肾上腺肿瘤切除术后所见,目前未见明显转移及复发征象。
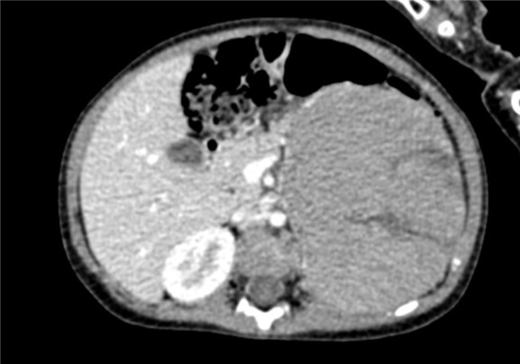
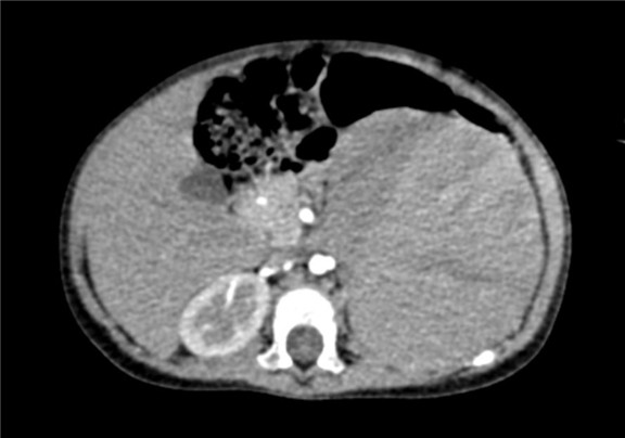
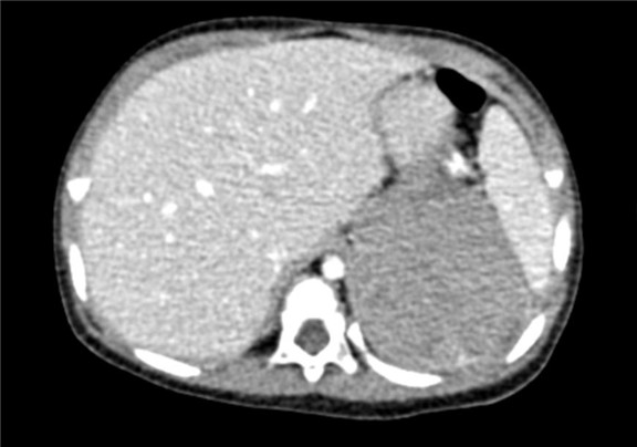
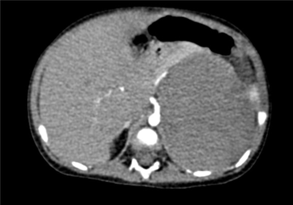
术前CT检查:
动脉期
静脉期
术前三维重建:
重建图片
重建视频
您的浏览器不支持 video 标签。
您的浏览器不支持 video 标签。
您的浏览器不支持 video 标签。
您的浏览器不支持 video 标签。
more
merge