中文
|
English
首页
项目介绍
负责人介绍
学术委员会
Dong's肝脏分段体系
肝脏体积
成人肝脏体积
小儿肝脏体积
典型病例
正常肝脏数据库
成人正常肝脏
小儿正常肝脏
计算机辅助手术
肝脏肿瘤
成人肝脏肿瘤
小儿肝脏肿瘤
门脉高压症
脾脏疾病
先天性胆管扩张症
胰腺肿瘤
其他疾病
Couinaud 肝脏分段
数字医学概念
各数据库后台管理系统入口:
肝脏数据库
胆道数据库
胰腺数据库
Dong's肝脏分型数据库
肝脏体积数据库
肝脏门静脉数据库
肝静脉数据库
肾上腺皮质腺癌-CH-001-N-000466
您的浏览器不支持 video 标签。
一般情况:CH-001-N-000466,7岁足月产女性患儿,身高133cm,体重33kg。
主诉:脸颊痤疮、声音低哑1.5月。
现病史:1.5月前,家长发现患儿双下肢多毛,脸颊痤疮,声音低哑男性化,阴蒂肥大、外阴色素沉着,阴毛生长浓密,无满月脸、水牛背,无肌肉萎缩、骨质疏松,无乳房发育及乳晕分泌过多,无四肢感觉异常,到妇女儿童医院就诊,给予氢化可的松、生长激素20天,未见明显好转,睾酮仍高11.01nmol/L。半月前,到妇女儿童医院行B超检查:考虑右侧肾上腺区占位性病变。
查体:腹部平坦,腹肌软,肝脾未及,未见胃肠型及蠕动波,腹壁静脉无迂曲扩张。腹部叩诊鼓音,全腹无压痛反跳痛,肠鸣音4次/分。
整理:崔楷悦,高菲 3D:周显军,朱呈瞻
辅助检查:
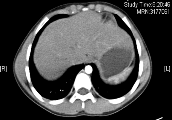
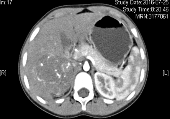
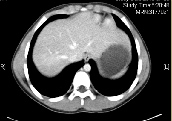
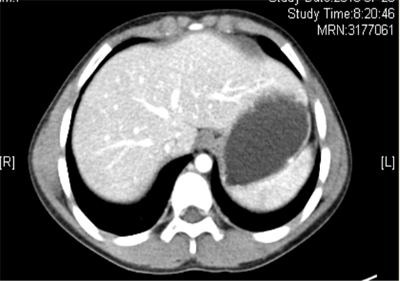
上腹部增强CT示:右侧肾上腺区占位性病变,考虑恶性肿瘤,右侧肾上腺神经母细胞瘤可能性大,请结合临床综合评价。
实验室检查:
血常规:WBC 9.67*10~9/L NEU 6.81*10~9/L RBC 5.64*10~12/L HB 158g/L PLT 254*10~9/L
生化全套:ALT 20.00U/L AST 24.00U/L TP 74.28g/L ALB 45.79g/L GGT 21.00U/L BIL-T 11.66umol/L BIL-D 3.99umol/L BUN 2.39mmol/L CREA 58.00umol/L T-CHO 5.44mmol/L Trig 0.69mmol/L
肿瘤标志物:AFP2.47ng/mL CEA1.32ng/mL
肝炎全套:HAV-IgM 0.10S/CO HBcIgM 0.090S/CO HCV-cAg 0.08S/CO HEV-IgM 0.03S/CO HBeAg 0.323S/CO Anti-HBe 1.84S/CO Anti-HBc0.08S/CO
诊疗过程:
CT结果输入海信CAS系统后行3D重建及手术规划后,于2016-7-27全麻下行“肾上腺肿物切除术”手术治疗:
术前三维重建及手术方案设计:
将0.625mm双源薄层CT资料的静脉期和动脉期Dicom格式文件导入海信CAS系统。
通过调节窗宽窗位调整CT序号,对肿瘤,肝实质,胆囊,下腔静脉,肿瘤,肝动脉、门静脉及肝静脉等进行三维重建;系统自动计算肿瘤体积和肝脏体积。
模拟手术操作,自动计算切除肿瘤体积。肝脏体积为906ml,肿瘤体积为178.7ml,肿瘤体积为肝脏体积的19.7%,通过比对6-9月正常肝脏体积为257.75±51.05ml,通过术前模拟手术,精准判断切除后剩余肝脏体积能耐受,避免肝衰竭发生。
手术步骤:
麻醉成功后,置患儿平卧位,2.5%碘伏消毒手术区皮肤,铺无菌巾单。取右上腹肝切口长约18cm,切开皮肤、皮下、肌层和腹膜。在十二指肠外侧剪开后腹膜。探查见:右肾上腺区有一约10×7×7cm肿物,质地硬,边界清,紧贴下腔静脉、肝脏。从肿瘤外缘仔细分离肿瘤,分离出下腔静脉,将肿瘤完整剥除。注射用水冲洗腹腔以及腹膜后。检查无活动性出血,清点纱布器械无误,放置腹膜后引流管一根,依次缝合腹壁各层。手术顺利,麻醉满意,出血不多,未输血,术后病人安送麻醉恢复室,苏醒后回病房。手术时手术者可开启Hisense CAS系统手势控制功能,对肿瘤的解剖结构进行实时、全方观察、评估,起到术中导航作用。
术后病理:
(右侧肾上腺)肾上腺皮质腺癌(大小7*4.5*4cm),肿瘤细胞异型明显,核分裂像多见,可见多灶状坏死,可见脉管侵犯;未累及送检肿瘤边缘组织。
术后给予抗炎、补液、止血等对症支持治疗,患儿恢复良好,伤口无渗血渗液,无红肿疼痛,于2016-8-4出院。
随访情况:
随访3月,行下腹部螺旋CT 平扫未见异常。
术前CT检查:
动脉期
静脉期
平衡期
术前三维重建:
重建图片
重建视频
您的浏览器不支持 video 标签。
您的浏览器不支持 video 标签。
您的浏览器不支持 video 标签。
您的浏览器不支持 video 标签。
more
merge