中文
|
English
首页
项目介绍
负责人介绍
学术委员会
Dong's肝脏分段体系
肝脏体积
成人肝脏体积
小儿肝脏体积
典型病例
正常肝脏数据库
成人正常肝脏
小儿正常肝脏
计算机辅助手术
肝脏肿瘤
成人肝脏肿瘤
小儿肝脏肿瘤
门脉高压症
脾脏疾病
先天性胆管扩张症
胰腺肿瘤
其他疾病
Couinaud 肝脏分段
数字医学概念
各数据库后台管理系统入口:
肝脏数据库
胆道数据库
胰腺数据库
Dong's肝脏分型数据库
肝脏体积数据库
肝脏门静脉数据库
肝静脉数据库
神经母细胞瘤-CH-001-N-001321
您的浏览器不支持 video 标签。
一般情况:CH-001-N-001321,2岁足月产女性患儿,体重13.5kg。
主诉:发现右下腹占位7天。
现病史:患儿7天前,无明显诱因出现腹泻症状,伴发热,无恶心、呕吐,无厌食、消瘦,无皮肤黄疸,无腹痛,无血便症状,于青岛市妇女儿童医院就诊,行抗炎、补液等对症支持治疗后,症状缓解,行腹部超声时发现右下腹低回声团,大小约5.4*4.2*4.5cm性质不明,进一步行腹部CT检查示下腹部占位,神经源性?为求治疗,遂来我院就诊,门诊以“腹腔占位,神经母细胞瘤?”收入我科。
查体:腹部平坦,未见胃肠型及蠕动波,腹壁静脉无迂曲扩张。无腹肌紧张,右腹部肋下似触及一肿物,约5×6×6cm,质硬,边界触不清,活动度差,无压痛、反跳痛,肝脾肋下未及。移动浊音(-)。听诊肠鸣音无亢进,无气过水声,5次/分。
整理:崔楷悦,高菲 3D:周显军,朱呈瞻
辅助检查:
上腹部增强CT:2017-7-3 13:34 腹部超声 腹腔内低回声团块,建议进一步检查
2017-7-4 腹部CT平扫 下腹部及盆腔占位性病变大小约5.4*4.2*4.5cm。
实验室检查:
血常规:WBC 9.39*10~9/L NEU3.92*10~9/L RBC 4.74*10~12/L HB 127g/L PLT 360*10~9/L
生化全套: ALT 19.00U/L AST 27.00U/L TP 64.32g/L ALB 38.39g/L GGT 6.00U/L BIL-T 4.27umol/L BIL-D 2.09umol/L CREA 11umol/L
肝炎全套:HAV-IgM 0.08S/CO HBcIgM 0.120S/CO HCV-cAg 0.08S/CO
炎症反应标志物:CRP 3.79mg/l
诊疗过程:
CT结果输入海信CAS系统后行3D重建及手术规划后,于2017-7-12全麻下行“腹膜后肿瘤切除术”手术治疗:
术前三维重建及手术方案设计:
将0.625mm双源薄层CT资料的静脉期和动脉期Dicom格式文件导入海信CAS系统。
通过调节窗宽窗位调整CT序号,对肿瘤,肝实质,胆囊,下腔静脉,肿瘤,肝动脉、门静脉及肝静脉等进行三维重建;系统自动计算肿瘤体积和肝脏体积。模拟手术操作,自动计算切除肿瘤体积。肝脏体积为436.6ml,肿瘤体积为60.41ml,与血管联系紧密,术前手术方案的规划。
手术步骤:
麻醉成功后,患儿取平卧位,腰下垫枕,2.5%碘伏消毒手术区皮肤,铺无菌巾单。取下腹横纹切口长约10cm,切开皮肤、皮下组织、肌层和腹膜。沿升结肠内侧切开后腹膜,暴露肿瘤,见肿瘤位于右肾以下近中线位置,约10×6×4cm大小,质地硬,右侧输尿管、下腔静脉,腹主动脉在肿瘤前紧贴肿瘤走行,右侧卵巢位于肿瘤的右下极,取肿瘤包膜、瘤周淋巴结送冰冻,现游离右侧输尿管,钝性分离右侧输尿管与肿瘤间隙,以8号红色尿管轻牵拉右侧输尿管给予保护,右侧卵巢与肿瘤钝性分离,同样方法分离保护,腹主动脉与下腔静脉,使肿瘤与右侧输尿管,右侧卵巢、腹主动脉、下腔静脉、完全分离,结扎缝扎肿瘤周围营养血管,使肿瘤与周围组织分离,此时肿瘤已完整切除。此时冰冻已回,术中冰冻切片示节细胞性神经母细胞瘤。腹膜后放置止血纱布一枚。检查无活动性出血,清点纱布器械无误,依次缝合腹壁各层。手术顺利,麻醉满意,出血不多,输血约0.2u,术后病人先进入麻醉恢复室,苏醒后回病房。术后标本送病理检查。
术后病理:
1、(腹膜后)结合大标本,符合节细胞神经母细胞瘤。送检(肿瘤旁淋巴结1)未见肿瘤转移(0/2),送检(肿瘤旁淋巴结2)为神经纤维瘤样成份。
2、免疫组化:S100(+),SOX10(+),Syn(+),CgA(+),CKpan(-),CD99(+/-),NSE(+),Ki-67:2%。
术后给予抗生素消炎治疗,静脉高营养、全量补液及对症支持治疗,患儿恢复良好,伤口无渗血渗液,无红肿疼痛,于2017-7-18出院。
随访情况:
3月。腹部术后复查所见,右下腹斑片影、右肾及输尿管上段轻度扩张,较前明显好转
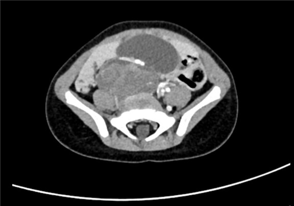
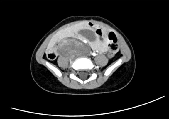
术前CT检查:
动脉期
静脉期
术前三维重建:
重建图片
重建视频
您的浏览器不支持 video 标签。
您的浏览器不支持 video 标签。
您的浏览器不支持 video 标签。
您的浏览器不支持 video 标签。
more
merge