中文
|
English
首页
项目介绍
负责人介绍
学术委员会
Dong's肝脏分段体系
肝脏体积
成人肝脏体积
小儿肝脏体积
典型病例
正常肝脏数据库
成人正常肝脏
小儿正常肝脏
计算机辅助手术
肝脏肿瘤
成人肝脏肿瘤
小儿肝脏肿瘤
门脉高压症
脾脏疾病
先天性胆管扩张症
胰腺肿瘤
其他疾病
Couinaud 肝脏分段
数字医学概念
各数据库后台管理系统入口:
肝脏数据库
胆道数据库
胰腺数据库
Dong's肝脏分型数据库
肝脏体积数据库
肝脏门静脉数据库
肝静脉数据库
畸胎瘤-CH-001-N-001498
您的浏览器不支持 video 标签。
一般情况:CH-001-N-001498,5月足月产男性患儿,体重8.1kg。
主诉:腹部肿物出生至今。
现病史:患儿于孕期26周体检时发现腹部囊实性肿块,大小约2.4*2.2cm,出生后密切关注患儿腹部情况,因腹部肿块逐渐增大于2017-08-10来我院门诊就诊,行腹部CT平扫检查发现胰腺下方见团块状低密度影,其内密度不均,可见脂肪密度影及钙质密度影,大小约8cm×5cm。出生后患儿无反酸、厌食、恶心、呕吐,无腹痛、腹泻、便秘等不适症状,今为行手术治疗来我院。
查体:腹部平坦,对称,无腹壁静脉曲张显露,无胃肠型和蠕动波,未见脐疝及腹股沟斜疝。左上腹、肋下可扪及一肿物,质韧,活动度差,无压痛,肝脾肋下未触及。腹部叩诊呈鼓音,无移动性浊音。肠鸣音正常,3次/分。
整理:崔楷悦,高菲 3D:周显军,朱呈瞻
辅助检查:
下腹部增强CT示:腹腔巨大占位,考虑畸胎瘤可能性大
实验室检查:
血常规:WBC 9.97*10~9/L NEU 4.53*10~9/L RBC 3.88*10~12/L HGB 113g/L PLT 371*10~9/L
生化全套: ALT 277.00U/L AST 186.00U/L TP 62.43g/L ALB 45.81g/L GGT 19.00U/L BIL-T 7.45umol/L BIL-D 2.8umol/L BUN 1.49mmol/L CREA 4.00umol/L T-CHO 4.82mmol/L Trig 1.04mmol/L
肿瘤标志物:AFP82.49ng/mL NSE31.58ng/ml
肝炎全套:HAV-IgM 0.1 S/CO HBcIgM 0.06S/CO HCV-cAg 0.08 S/CO HEV-IgM 0.03S/CO HBeAg 0.274S/CO Anti-HBe 1.9S/CO Anti-HBc 0.06S/CO
炎症反应标志物:CRP 1.65mg/l
诊疗过程:
CT结果输入海信CAS系统后行3D重建及手术规划后,于2017-8-29全麻下行“腹膜后畸胎瘤切除术+肠系膜上动脉吻合术”手术治疗:
术前三维重建及手术方案设计:
将0.625mm双源薄层CT资料的静脉期和动脉期Dicom格式文件导入海信CAS系统。
通过调节窗宽窗位调整CT序号,对肿瘤,肝实质,胆囊,下腔静脉,肿瘤,肝动脉、门静脉及肝静脉等进行三维重建;系统自动计算肿瘤体积和肝脏体积。
模拟手术操作,自动计算切除肿瘤体积。肝脏体积为453.7ml,通过比对2-3岁正常肝脏体积为475.97±99.7ml,通过术前模拟手术,精准判断切除后剩余肝脏体积能耐受,避免肝衰竭发生。
手术步骤:
麻醉成功后,患儿取平卧位,左腰下垫枕,2.5%碘伏消毒手术区皮肤,铺无菌巾单。取左上腹横纹切口长约10cm,切开皮肤、皮下组织、肌层和腹膜。沿降结肠外侧切开侧腹膜,见肿瘤位于腹膜后,约7×3×3cm大小,质地硬,囊实性,与周围组织粘连较重,钝性剥离肿瘤前壁,见肿瘤包绕肠系膜上动脉,仔细分离,因肿瘤与肠系膜上动脉粘连严重无法完整分离,给予血管夹夹闭动脉近端,行肿瘤联合累及血管切除及血管重建术。充分游离血管断端,使两端无张力下用8-0Prolene线间断全层吻合,松开血管夹未见明显搏动性渗血。无菌注射用水冲洗腹腔,检查无活动性出血,清点纱布器械无误,腹膜后放置引流管1根,依次缝合腹壁各层。手术顺利,麻醉满意,出血不多,输血RBC1U,术后病人先进入麻醉恢复室,苏醒后回病房。术后标本送病理检查,结果回示:(腹膜后肿物)成熟型畸胎瘤,内见较多成熟脑组织。。手术时手术者可开启Hisense CAS系统手势控制功能,对肿瘤的解剖结构进行实时、全方观察、评估,起到术中导航作用。
术后病理:
(腹膜后肿物)成熟型畸胎瘤,内见较多成熟脑组织。
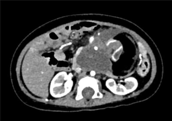
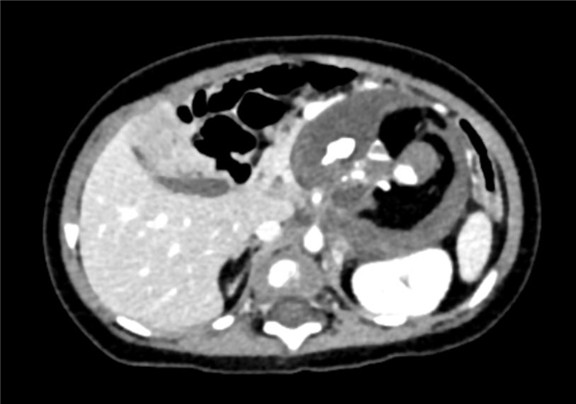
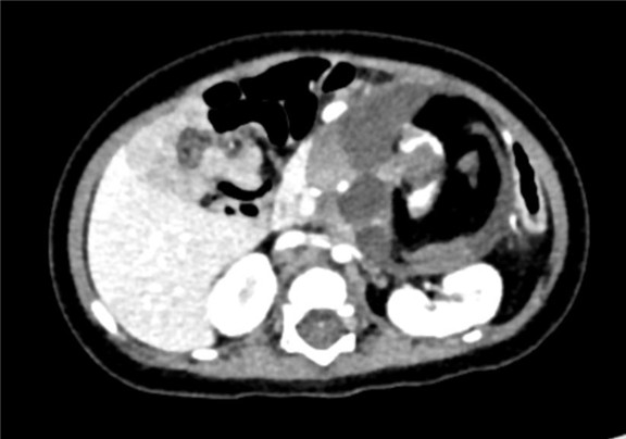
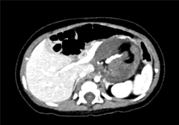
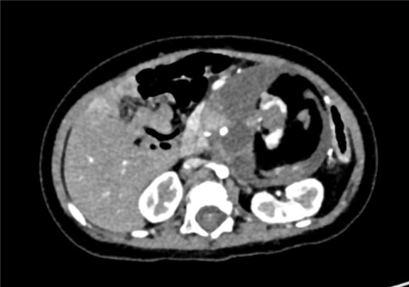
术前CT检查:
动脉期
静脉期
平衡期
术前三维重建:
重建图片
重建视频
您的浏览器不支持 video 标签。
您的浏览器不支持 video 标签。
您的浏览器不支持 video 标签。
您的浏览器不支持 video 标签。
more
merge