中文
|
English
首页
项目介绍
负责人介绍
学术委员会
Dong's肝脏分段体系
肝脏体积
成人肝脏体积
小儿肝脏体积
典型病例
正常肝脏数据库
成人正常肝脏
小儿正常肝脏
计算机辅助手术
肝脏肿瘤
成人肝脏肿瘤
小儿肝脏肿瘤
门脉高压症
脾脏疾病
先天性胆管扩张症
胰腺肿瘤
其他疾病
Couinaud 肝脏分段
数字医学概念
各数据库后台管理系统入口:
肝脏数据库
胆道数据库
胰腺数据库
Dong's肝脏分型数据库
肝脏体积数据库
肝脏门静脉数据库
肝静脉数据库
肝血管瘤-CH-001-LT-000029
您的浏览器不支持 video 标签。
一般情况:CH-001-LT-000029,女,7月,10.5kg.
主诉:查体发现肝肿瘤生后至今。
现病史:25天时无明显诱因反复发热,以“1.感染性休克,2.败血症”收入我院新生儿科,予以抗生素等对症治疗,B超示:右肝内肿块,考虑肝肿瘤可能大;上腹部增强CT示:肝脏右后叶血管源性肿瘤可能性大。甲胎蛋白 AFP >1210.00 ng/mL,为求进一步诊治于我科门诊就诊,门诊以"肝脏肿瘤"收入院。自发病来,患儿精神好,饮食睡眠可,大便无异常,体重无明显减轻。
查体:一般情况好,心肺听诊未见明显异常,腹部平坦,无肌紧张,无压痛、反跳痛,脾脏肋下未及,肝脏增大,质韧,肝脏下缘为于右锁骨中线肋下约2cm,肝区无叩痛,Murphy征阴性。
整理:崔楷悦,高菲 3D:周显军,朱呈瞻
辅助检查:
泌尿系彩色多普勒超声检查:右肝内肿块,考虑肝肿瘤可能性大。
上腹部增强CT:肝脏右后叶血管源性肿瘤可能性大。上腹部增强CT:肝脏右后叶血管瘤可能性大。
实验室检查:
血常规:WBC 6.00*10~9/LNEU1.21*10~9/LRBC4.27*10~12/LHB118g/LPLT260*10~9/L
生化全套:ALT21.00U/L AST26.00U/L TP52.63g/L ALB39.02g/LGGT7.00U/L BIL-T7.02umol/L BIL-D2.99umol/L BUN2.88mmol/L CREA37.00umol/L T-CHO2.84mmol/L Trig0.65mmol/L
肿瘤标志物:AFP25.52ng/mL
肝炎全套: HAV-IgM0.10S/CO HBcIgM0.070S/CO HCV-cAg0.08S/CO HEV-IgM0.03S/CO HBeAg0.365S/CO Anti-HBe1.830S/CO Anti-HBc 0.190S/CO
炎症反应标志物:CRP0.64mg/l
诊疗过程:
CT结果输入海信CAS系统后行3D重建:
术前三维重建及手术方案设计:
将0.625mm双源薄层CT资料的静脉期和动脉期Dicom格式文件导入海信CAS系统。
通过调节窗宽窗位调整CT序号,对肝实质,胆囊,下腔静脉,肿瘤,肝动脉、门静脉及肝静脉等进行三维重建;系统自动计算肿瘤体积和肝脏体积。模拟手术操作,自动计算切除肝体积、肿瘤体积、剩余功能性肝体积。肝脏体积为263ml,肿瘤体积为9.7ml,肿瘤体积为肝脏体积的3.9%,通过比对6-9月正常肝脏体积为257.75±51.05ml,通过术前模拟手术,精准判断切除后剩余肝脏体积能耐受,避免肝衰竭发生。
术前手术方案规划
因患儿住院期间上呼吸道感染,家属决定先行保守治疗.
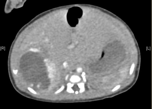
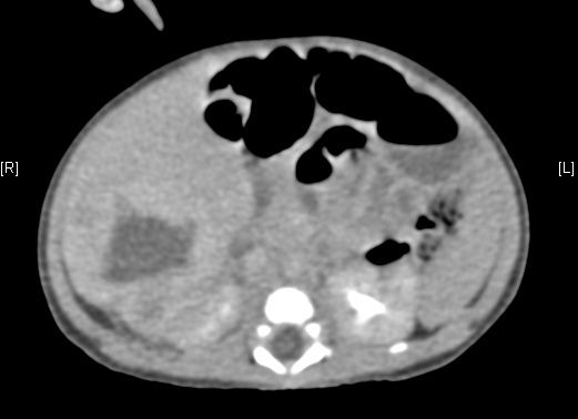
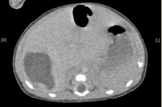
术前CT检查:
动脉期
静脉期
平衡期
术前三维重建:
重建图片
重建视频
您的浏览器不支持 video 标签。
您的浏览器不支持 video 标签。
您的浏览器不支持 video 标签。
您的浏览器不支持 video 标签。
more
merge