中文
|
English
首页
项目介绍
负责人介绍
学术委员会
Dong's肝脏分段体系
肝脏体积
成人肝脏体积
小儿肝脏体积
典型病例
正常肝脏数据库
成人正常肝脏
小儿正常肝脏
计算机辅助手术
肝脏肿瘤
成人肝脏肿瘤
小儿肝脏肿瘤
门脉高压症
脾脏疾病
先天性胆管扩张症
胰腺肿瘤
其他疾病
Couinaud 肝脏分段
数字医学概念
各数据库后台管理系统入口:
肝脏数据库
胆道数据库
胰腺数据库
Dong's肝脏分型数据库
肝脏体积数据库
肝脏门静脉数据库
肝静脉数据库
肝右叶肝母细胞瘤-CH-001-LT-000015
您的浏览器不支持 video 标签。
一般情况:CH-001-LT-000015,6月龄足月产男性患儿,身高65cm,体重8kg
主诉:查体发现肝占位半月余
现病史:因查体发现肝脏肿物,辗转多家医院后来诊。伴有胃纳差,无恶心呕吐,体重增加缓慢,大小便正常。
查体:精神可,全身无黄染,口唇、结膜苍白,腹部膨隆,未见胃肠型、蠕动波,腹肌软,无压痛无反跳痛,肝肋下3cm,无触痛,脾未及,肝肾区无叩痛,肠鸣音正常。
整理:崔楷悦,高菲 3D:周显军,朱呈瞻
辅助检查:
超声:肝右叶占位,恶性肿瘤可考虑。
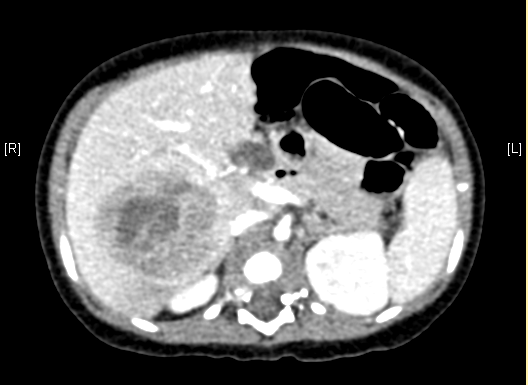
上腹部增强CT:肝右叶巨大占位,肝母细胞瘤可考虑。
实验室检查:
血常规:WBC 11.52*10~9/L NEU 4.22*10~9/L RBC 4.15*10~12/L HB 116g/L PLT 127*10~9/L
生化全套:ALT 47.00U/L AST 23.00U/L TP 50.67g/L ALB 38.74g/L GGT 81.00U/L BIL-T 11.86umol/L BIL-D 5.16umol/L BUN 0.98mmol/L CREA 26.00umol/L T-CHO 2.45mmol/L Trig 1.40mmol/L
炎症反应标志物:CRP 3.25mg/l
诊疗过程:
CT结果输入海信CAS系统后行3D重建及手术规划后,于2015-10-21全麻下行”右半肝切除术”手术治疗:
术前三维重建及手术方案设计:
将0.625mm双源薄层CT资料的静脉期和动脉期Dicom格式文件导入海信CAS系统。
通过调节窗宽窗位调整CT序号,对肝实质,胆囊,下腔静脉,肿瘤,肝动脉、门静脉及肝静脉等进行三维重建;系统自动计算肝脏体积。
模拟手术操作,自动计算切除肝体积、肿瘤体积、剩余功能性肝体积。肝脏体积为292.8ml,肿瘤体积为79.1ml,肿瘤体积为肝脏体积的27%,通过比对6-9月正常肝脏体积为257.75±51.05ml,通过术前模拟手术,精准判断切除后剩余肝脏体积能耐受,避免肝衰竭发生。
术前手术方案的规划:根据手术规划系统提供最优虚拟肝切除步骤解剖第一肝门、第二肝门及第三肝门,并结扎离断所需切除肝段的主要供应及回流管道结构。用缝线或电刀依据虚拟肝切除所确定切除方案在肝表面进行标记,运用CUSA系统对肝实质进行分离。当到达虚拟肝切除所评估需结扎的肝实质内管道结构时,根据管道的粗细选择离断方式:直径≤3mm的管道科用SLC装置直接离断,直径> 3mm可先用3-0或4-0丝线结扎后离断,少数粗大管道可考虑先缝扎后离断。根据术中情况选择是否阻断肝门,阻断时间一般≤20min。在肝实质解剖分离时,手术规划系统可引导手术者沿着既定的平面进行,避免盲目手术,有利于重要管道结构的暴露和手术过程的止血。手术时手术者可开启Hisense CAS系统手势控制功能,对肝脏的解剖结构进行实时、全方观察、评估,起到术中导航作用。
手术步骤:
麻醉成功后,病人平卧位,常规碘伏消毒手术区皮肤,铺无菌巾、单。取原肋缘下做人字形切口,分层入腹,纱布垫护皮。探查见:肝脏周围粘连紧密,肿瘤位于VII、VIII段。决定行右半肝部分切除术。分离肝周围粘连,分别显露第一、第二以及第三肝门,沿肝右侧缘分离直达肝后下腔静脉右侧缘,游离第三肝门,结扎部分肝短血管。分离第一肝门,置阻断带。自胆囊窝右侧缘至第二肝门作预定切线,阻断第一肝门,kusa切除右半肝,缝扎断面的动静脉及渗血处,填塞止血敷料。阻断第一肝门约10分钟。肝断面无渗漏。温蒸馏水1000ml冲洗腹腔,止血,于肝断面旁放置引流管1根于右侧腹穿孔引出。清点纱布器械无误,分层缝合腹壁切口。术中出血约 20ml,未输血。术后血压100/50mmHg。术后病人送ICU。手术顺利,麻醉满意,解剖标本,术后标本送病理。
术后病理:
术中冰冻及术后病理:(肝脏肿瘤)肝母细胞瘤(胚胎型)。
术后给予抗炎、保肝、止血、补液等对症支持治疗,恢复良好,伤口无红肿化脓,无渗血渗液,于2015-11-3出院。
随访情况:
随访3个月,肿瘤无复发,无转移,无明显不适症状。
1周:□ml 1月:□ml 3月:□ml 6月:□ml 1年:□ml
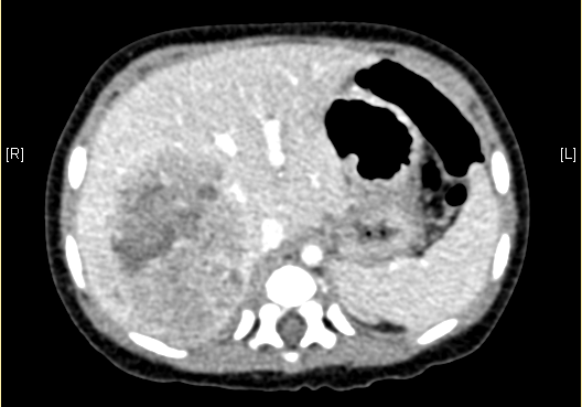
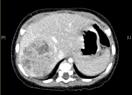
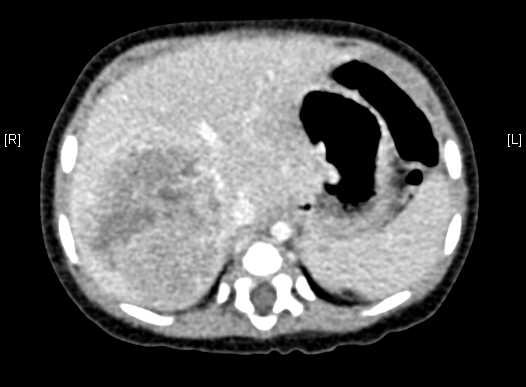
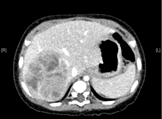
术前CT检查:
动脉期
静脉期
平衡期
术前三维重建:
重建图片
重建视频
您的浏览器不支持 video 标签。
您的浏览器不支持 video 标签。
您的浏览器不支持 video 标签。
您的浏览器不支持 video 标签。
more
merge