中文
|
English
首页
项目介绍
负责人介绍
学术委员会
Dong's肝脏分段体系
肝脏体积
成人肝脏体积
小儿肝脏体积
典型病例
正常肝脏数据库
成人正常肝脏
小儿正常肝脏
计算机辅助手术
肝脏肿瘤
成人肝脏肿瘤
小儿肝脏肿瘤
门脉高压症
脾脏疾病
先天性胆管扩张症
胰腺肿瘤
其他疾病
Couinaud 肝脏分段
数字医学概念
各数据库后台管理系统入口:
肝脏数据库
胆道数据库
胰腺数据库
Dong's肝脏分型数据库
肝脏体积数据库
肝脏门静脉数据库
肝静脉数据库
胚胎性肝未分化肉瘤-CH-001-LT-000009
您的浏览器不支持 video 标签。
一般情况:CH-001-LT-000009,男,7岁,身高128cm,体重24.5kg。
主诉:B超发现肝脏占位5天。
现病史:因感冒后出现上腹部不适,至当地医院就诊,查腹部超声示“肝脏占位”,遂至青岛妇女儿童医院就诊,查腹部CT示“肝脏占位”,未予特殊治疗,为求进一步诊治来我院就诊,门诊以"肝脏占位"收入院。
查体:腹部平坦,无肌紧张,无压痛、反跳痛,脾脏肋下未及,肝脏增大,质韧,肝脏下缘为于右锁骨中线肋下约3cm,肝区无叩痛,Murphy征阴性。
整理:崔楷悦,高菲 3D:周显军,朱呈瞻
辅助检查:
腹部超声示:肝内包块。腹部CT:肝脏占位,血管瘤?上腹部增强CT:肝左内叶-右前叶交界区、尾叶囊实性团块影,考虑肿瘤(胆管囊腺瘤?间叶性错构瘤?)
实验室检查:
血常规:WBC 14.66*10~9/LNEU11.66*10~9/LRBC4.32*10~12/LHB114g/LPLT198*10~9/L
生化全套:ALT17.00U/L AST68.00U/L TP64.20g/L ALB40.01g/L GGT87.00U/L BIL-T11.50umol/L BIL-D5.80umol/L BUN5.01mmol/L CREA64.00umol/L T-CHO5.06mmol/L Trig0.37mmol/L
肿瘤标志物:AFP0.67ng/mLCEA0.66ng/mLCA19-918.35U/mL
肝炎全套:HAV-IgM 0.10S/CO HCV-cAg0.08S/CO HEV-IgM0.03S/CO HBeAg0.566S/CO Anti-HBe1.920S/CO Anti-HBc 0.080S/CO
炎症反应标志物:CRP21.83mg/l
诊疗过程:
CT结果输入海信CAS系统后行3D重建及手术规划后,于2015-1-8全麻下行“肝脏肿瘤切除术”。
术前三维重建及手术方案设计:
将0.625mm双源薄层CT资料的静脉期和动脉期Dicom格式文件导入海信CAS系统。
通过调节窗宽窗位调整CT序号,对肝实质,胆囊,下腔静脉,肿瘤,肝动脉、门静脉及肝静脉等进行三维重建;系统自动计算肝脏体积。
手术步骤:
完善术前准备后,取肋缘下“人”字切口,分层入腹。结合海信CAS术前规划方案,探查肿瘤位置、大小、以及与周围脏器、血管的关系。麻醉成功后,病人平卧位,常规碘伏消毒手术区皮肤,铺无菌巾、单。探查见:肝脏质地及形态可,左/右肝(IV、V、Ⅷ段)交界处,可触及直径8cm实性肿块。断肝圆韧带,镰状韧带至第二肝门,断肝右三角韧带,冠状韧带,肝结肠韧带,游离右半肝,沿腔静脉右侧前后纵向切开深达1cm即见肿瘤,边界欠清楚,依次钳夹、切断、结扎肝断面各结构,切除肿瘤及部分肝组织。断面渗血处分别缝扎止血,填塞止血敷料后,将创面对拢缝合。术中肝左静脉有裂口予以缝合(7-0无损伤线)修复。温蒸馏水1000ml冲洗腹腔,止血,于肝断面内放置引流管1根于右侧腹壁穿孔引出。清点纱布器械无误,分层缝合腹壁切口。术中阻断阻断肝门2次,出血约400ml,未输血。术后血压90/60mmHg,术后病人入麻醉恢复室。手术顺利,麻醉满意,解剖标本,肿块直径约8cm,烂鱼肉样,家属过目后送病理检查。术中探查见:肝脏质地及形态可,左/右肝(IV、V、Ⅷ段)交界处,可触及直径8cm实性肿块,术中冰冻示恶性肉瘤。
术后病理:
术后病理提示高度恶性肿瘤,符合未分化肉瘤(胚胎性肉瘤)。
术后给予抗炎、补液、止血等对症支持治疗,患儿恢复良好,伤口无红肿疼痛,无渗血渗液,于2015-1-19出院。
随访情况:
随访3个月,肿瘤无复发,无转移,患儿无明显不适症状。
1周:□ml 1月:□ml 3月:□ml 6月:□ml 1年:□ml
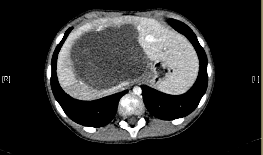
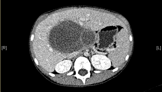
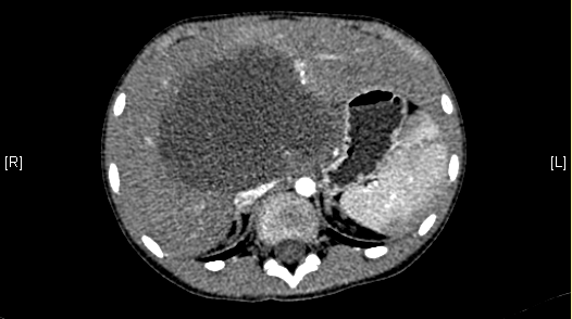
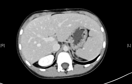
术前CT检查:
动脉期
静脉期
平衡期
术前三维重建:
重建图片
术前重建视频
您的浏览器不支持 video 标签。
您的浏览器不支持 video 标签。
您的浏览器不支持 video 标签。
您的浏览器不支持 video 标签。
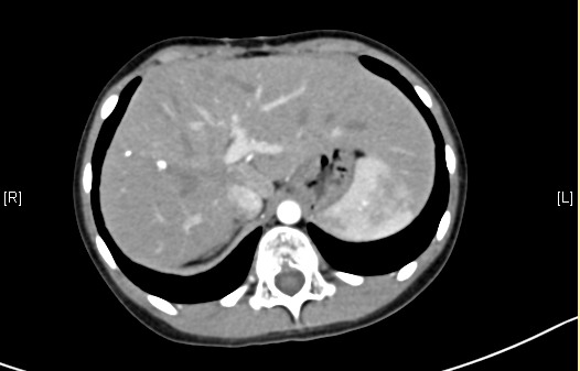
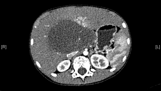
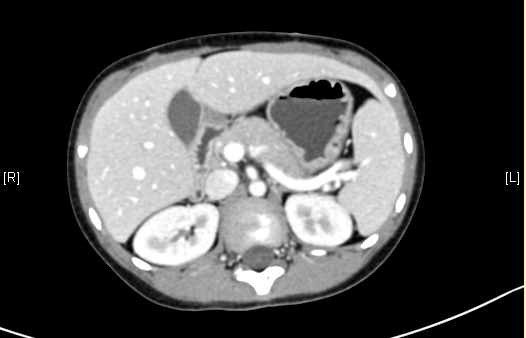
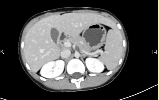
术后CT检查:
动脉期
静脉期
平衡期
术后三维重建:
重建图片
术后重建视频
您的浏览器不支持 video 标签。
您的浏览器不支持 video 标签。
您的浏览器不支持 video 标签。
您的浏览器不支持 video 标签。
more
merge