中文
|
English
首页
项目介绍
负责人介绍
学术委员会
Dong's肝脏分段体系
肝脏体积
成人肝脏体积
小儿肝脏体积
典型病例
正常肝脏数据库
成人正常肝脏
小儿正常肝脏
计算机辅助手术
肝脏肿瘤
成人肝脏肿瘤
小儿肝脏肿瘤
门脉高压症
脾脏疾病
先天性胆管扩张症
胰腺肿瘤
其他疾病
Couinaud 肝脏分段
数字医学概念
各数据库后台管理系统入口:
肝脏数据库
胆道数据库
胰腺数据库
Dong's肝脏分型数据库
肝脏体积数据库
肝脏门静脉数据库
肝静脉数据库
胰腺实性假乳头状瘤-CH-001-N-001499
您的浏览器不支持 video 标签。
一般情况:CH-001-N-001499,11岁足月产女性患儿,体重36kg。
主诉:腹部外伤6小时。
现病史:6小时前,患儿腹部不慎撞伤,遂感到腹痛,左腹部为著,无发热,伴有呕吐1次,为淡黄色液体,无腹胀,大便1次,成形软便,排便后腹痛略缓解后再次加重,就诊于日照人民医院,行CT检查考虑“胰腺尾部低密度包块”,遂转来我院急诊,为进一步诊治收入院。
查体:腹部平坦,未见腹壁静脉显露,腹肌软,全腹部明显压痛,反跳痛(±),左腹部为著。肝脾未触及大小。腹部叩呈鼓音。听诊肠鸣音正常。
整理:崔楷悦,高菲 3D:周显军,朱呈瞻
辅助检查:
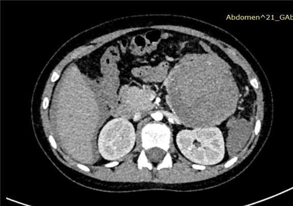
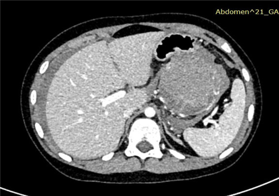
上腹部增强CT:胰尾部占位性病变,考虑胰腺尾部肿瘤并破裂出血,以胰母细胞瘤可能性大,不除外胰腺实性假乳头状瘤,肝周积液、积血,符合肿瘤破裂所致。
实验室检查:
血常规:WBC 7.76*10~9/L NEU 5.55*10~9/L RBC 3.05*10~12/L HB 85g/L PLT 241*10~9/L
生化全套:ALT 10.00U/L AST14.00U/L TP 57.52g/L ALB 39.74g/L GGT 11.00U/L BIL-T 7.06umol/L BIL-D 2.05umol/L CREA 26.00umol/L
肿瘤标志物:AFP2.21ng/mL CEA <0.20ng/mL NSE 21.50ng/mL
炎症反应标志物:CRP 7.37mg/l
诊疗过程:
CT结果输入海信CAS系统后行3D重建及手术规划后,于2017-10-19全麻下行“胰体尾肿物切除术+脾切除术+大网膜切除术”手术治疗:
术前三维重建及手术方案设计:
将0.625mm双源薄层CT资料的静脉期和动脉期Dicom格式文件导入海信CAS系统。
通过调节窗宽窗位调整CT序号,对肝实质,胆囊,下腔静脉,肿瘤,肝动脉、门静脉及肝静脉等进行三维重建;系统自动计算肝脏体积。
模拟手术操作,自动计算切除肿瘤体积。肝脏体积为453.7ml,通过比对2-3岁正常肝脏体积为475.97±99.7ml,通过术前模拟手术,精准判断切除后剩余肝脏体积能耐受,避免肝衰竭发生。
手术步骤:
麻醉成功后,病人平卧位,常规碘伏消毒手术区皮肤,铺无菌巾、单。取脐上左横切口,长约25cm,依次切开各层,常规入腹。术中探查:见腹腔盆腔大量积血,约500ml,肝脏颜色、质地可。胆囊(-)。切开胃结肠韧带,将胃向上牵引,进一步显露肿瘤及胰腺。见:肿瘤呈囊实性,球形,直径约13cm,边界清。位于脾门处,与胰腺尾部关系密切,并于胃后壁粘连严重。,肿瘤包膜多处破裂,见肿瘤内容物溢出胰腺其他部位未及异常,周围未触及肿大淋巴结。向家属介绍病情后,决定行部分胰体胰尾加脾切除术。分离胃后壁的粘连。沿肿瘤边缘剥离,分别缝扎脾动静脉,将胰尾部,脾脏及肿瘤一并切除。切除标本送冰冻检查,建议等常规病理。间断缝合胰尾断端及脾床创面,脾窝置引流管两条,自左侧腹引出、固定。清点器械、纱布无误后,逐层关腹。手术顺利,麻醉平稳。术后血压135/75mmHg,术后病人安返病房。切除标本送病理。术中冰冻结果回示:(胰腺肿瘤包膜破损处)镜下见较多呈片状或腺样排列的大小形态较一致的细胞伴出血,考虑为胰腺实性假乳头状肿瘤。建议肿物完整切除后除外胰腺神经内分泌肿瘤。手术时手术者可开启Hisense CAS系统手势控制功能,对肿瘤的解剖结构进行实时、全方观察、评估,起到术中导航作用。
术后病理:
1、(胰腺肿瘤包膜破损处)镜下见较多呈片状或腺样排列的大小形态较一致的细胞伴出血,考虑为胰腺实性假乳头状肿瘤。建议肿物完整切除后除外胰腺神经内分泌肿瘤。
术后给予抗生素消炎治疗,静脉高营养、全量补液及对症支持治疗,患儿恢复良好,伤口无渗血渗液,无红肿疼痛。
随访情况:
1周:□ml 1月:□ml 3月:□ml 6月:□ml 1年:□ml
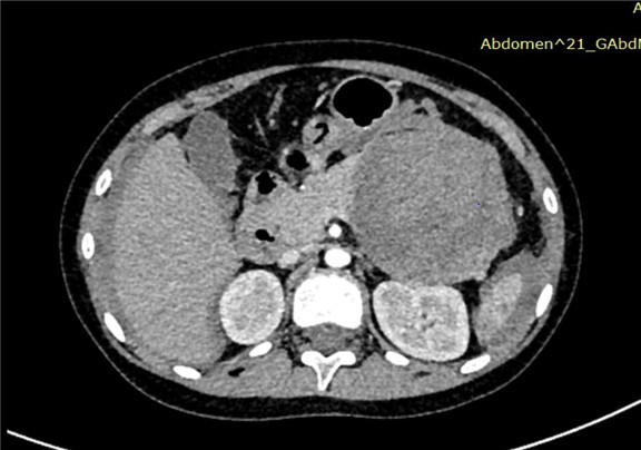
术前CT检查:
动脉期
静脉期
术前三维重建:
重建图片
重建视频
您的浏览器不支持 video 标签。
您的浏览器不支持 video 标签。
您的浏览器不支持 video 标签。
您的浏览器不支持 video 标签。
more
merge