中文
|
English
首页
项目介绍
负责人介绍
学术委员会
Dong's肝脏分段体系
肝脏体积
成人肝脏体积
小儿肝脏体积
典型病例
正常肝脏数据库
成人正常肝脏
小儿正常肝脏
计算机辅助手术
肝脏肿瘤
成人肝脏肿瘤
小儿肝脏肿瘤
门脉高压症
脾脏疾病
先天性胆管扩张症
胰腺肿瘤
其他疾病
Couinaud 肝脏分段
数字医学概念
各数据库后台管理系统入口:
肝脏数据库
胆道数据库
胰腺数据库
Dong's肝脏分型数据库
肝脏体积数据库
肝脏门静脉数据库
肝静脉数据库
胰腺实性假乳头状瘤-CH-001-N-000228
您的浏览器不支持 video 标签。
一般情况:CH-001-N-000228,14岁女性患儿,身高155cm,体重43kg。
主诉:腹痛5天。
现病史:患者5天前,患儿因腹痛在我院东区行B超检查示胰腺占位复查腹部CT示胰腺肿物,无发热,无恶心、呕吐,无呼吸困难,无腹痛、腹泻,无大便带血,今为进一步诊治门诊以"胰腺肿物"收入院。
查体:神志清,精神可,双肺呼吸音清,未闻及干湿性啰音。心音有力,律齐,各瓣膜听诊区未闻及病理性杂音。腹软,无压痛及反跳痛。双下肢无水肿。腹部平坦,对称,无腹壁静脉曲张,无胃肠型和蠕动波,腹部柔软,无压痛及反跳痛,未触及异常包块。肝、脾肋下未触及、质软、无压痛,Murphy氏征阴性。
整理:崔楷悦,高菲 3D:周显军,朱呈瞻
辅助检查:
腹部B超:脾脏与左肾之间低回声包块,来源于左侧肾上腺可能。
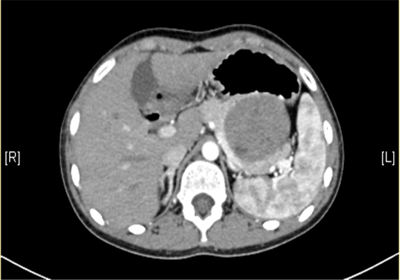
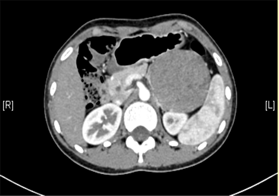
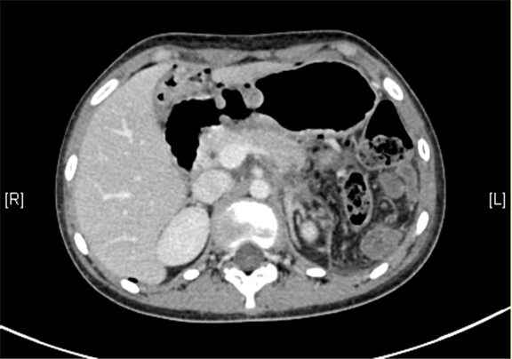
上腹部三维CT动态增强扫描: 胰腺体尾部类圆形软组织肿块,考虑实性假乳头状瘤可能性大。
实验室检查:
血常规:WBC 15.99*10~9/L NEU14.27*10~9/L RBC3.27*10~12/LHB106g/L PLT126*10~9/L
生化全套:ALT13.00U/L AST14.00U/L TP60.97g/L ALB40.88g/L GGT10.00U/L BIL-T11.24umol/L BIL-D4.47umol/L BUN3.38mmol/L CREA57.00umol/L T-CHO4.43mmol/L Trig0.72mmol/L
肝炎全套:HAV-IgM0.10S/CO HCV-cAg0.08S/CO HEV-IgM0.03S/CO HBeAg0.326S/CO Anti-HBe1.820S/CO Anti-HBc 0.060S/CO
炎症反应标志物:CRP 36.60mg/L
诊疗过程:
CT结果输入海信CAS系统后行3D重建及手术规划后,于2016-3-1全麻下行“胰腺肿物切除术”手术治疗:
术前三维重建及手术方案设计:
将0.625mm双源薄层CT资料的静脉期和动脉期Dicom格式文件导入海信CAS系统。
通过调节窗宽窗位调整CT序号,对肝实质,胆囊,下腔静脉,肿瘤,肝动脉、门静脉及肝静脉等进行三维重建;系统自动计算肝脏体积。
模拟手术操作,自动计算肿瘤体积。肝脏体积为1018ml,肿瘤体积为229.7ml,肿瘤体积为肝脏体积的22.56%,13-14岁正常肝脏体积为1177.98±175.04ml,肿瘤来源于胰腺, 与脾较近,通过术前模拟手术,精准判断切除范围。
手术步骤:
根据手术规划系统提供最优虚拟手术步骤,麻醉成功后,患儿取平卧位,2.5%碘伏消毒手术区皮肤,铺无菌巾单。取左上腹腹横纹切口长约10cm,切开皮肤、皮下、肌层,剪开腹膜。探查见:胰腺体尾部约15*10*10cm质韧肿物,包膜完整,与周围组织无粘连,决定行脾脏切除+胰腺肿物切除术。先离断并结扎脾胃韧带、脾结肠韧带及脾肾韧带,游离并缝扎脾动静脉后切除脾脏。取5块脾片再植于大网膜内。于胰腺肿物与正常胰腺交界处切除肿物,间断缝合胰体断端及脾床创面,脾窝置引流管1条,自左侧腹引出、固定。清点器械、纱布无误后,逐层关腹。检查无活动性出血,清点纱布器械无误,依次缝合腹壁各层。手术顺利,麻醉满意,出血不多,未输血,术后病人送回病房。术后标本家属过目,送检病理。手术时手术者可开启Hisense CAS系统手势控制功能,对肝脏的解剖结构进行实时、全方观察、评估,起到术中导航作用。
术后病理:
病理结果提示胰腺实性-假乳头状瘤(大小约9*7*5cm,低度恶性)
术后给予护肝、抗感染、营养支持、雾化等支持治疗。患者术后恢复可,伤口无红肿疼痛,无渗血渗液,准予2016-3-11出院。
随访情况:
随访3月,肿瘤无复发,无明显不适症状。
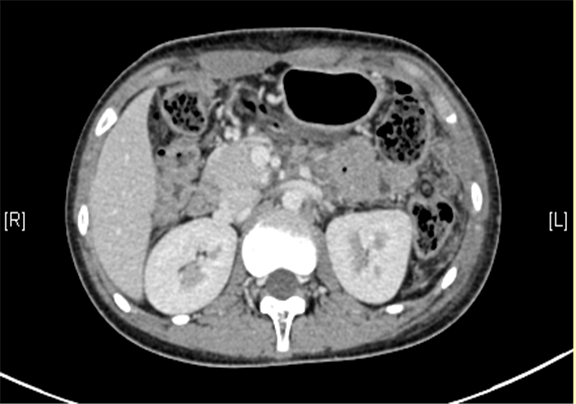
术前CT检查:
动脉期
静脉期
平衡期
术前三维重建:
重建图片
重建视频
您的浏览器不支持 video 标签。
您的浏览器不支持 video 标签。
您的浏览器不支持 video 标签。
您的浏览器不支持 video 标签。
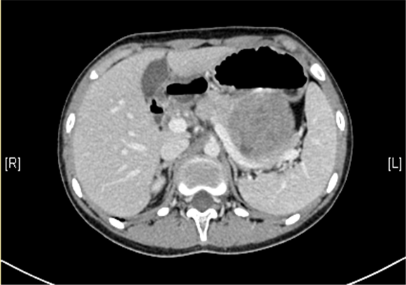
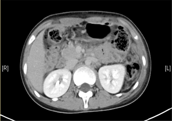
术后CT检查:
动脉期
静脉期
平衡期
more
merge