中文
|
English
首页
项目介绍
负责人介绍
学术委员会
Dong's肝脏分段体系
肝脏体积
成人肝脏体积
小儿肝脏体积
典型病例
正常肝脏数据库
成人正常肝脏
小儿正常肝脏
计算机辅助手术
肝脏肿瘤
成人肝脏肿瘤
小儿肝脏肿瘤
门脉高压症
脾脏疾病
先天性胆管扩张症
胰腺肿瘤
其他疾病
Couinaud 肝脏分段
数字医学概念
各数据库后台管理系统入口:
肝脏数据库
胆道数据库
胰腺数据库
Dong's肝脏分型数据库
肝脏体积数据库
肝脏门静脉数据库
肝静脉数据库
肝母细胞瘤-CH-001-LT-001442
您的浏览器不支持 video 标签。
一般情况:CH-001-LT-001442,2岁足月产女性患儿,体重10kg。
主诉:确诊“肝恶性肿瘤”3月,化疗4疗程后。
现病史:3月前患儿因“上腹部不适”入院检查诊断为“肝恶性肿瘤”,于小儿内科化疗4疗程后,病灶较前缩小,患儿现一般情况可,无发热、寒战,无恶心、呕吐,无腹痛、腹泻,无尿频、尿急、尿痛、血尿,无皮肤、黏膜黄染,头发较稀疏,现为行进一步手术治疗,就诊于我院,收入我科。
查体:腹部平坦,无肌紧张,无压痛、反跳痛,脾脏肋下未及,肝脏增大,质韧,肝脏下缘为于右锁骨中线肋下约7.5cm,肝区有叩痛,Murphy征阴性。
整理:崔楷悦,高菲 3D:周显军,朱呈瞻
辅助检查:
下腹部增强CT示:肝右叶较大肿块影,考虑恶性肿瘤(肝母细胞瘤)可能性大,较前减小
实验室检查:
血常规:WBC 3.58*10~9/L NEU 0.84*10~9/L RBC 2.49*10~12/L HGB 80g/L PLT 359*10~9/L
生化全套:ALT 12.00U/L AST 26.00U/L TP 65.34g/L ALB 41.49g/L GGT 26.00U/L BIL-T 6.54umol/L BIL-D 2.54umol/L BUN5.25mmol/L CREA 15.00umol/L T-CHO 4.31mmol/L Trig 1.15mmol/L
肝炎全套: HAV-IgM 0.10 S/CO HBcIgM 0.030S/CO HCV-cAg 0.08 S/CO HEV-IgM 0.03 S/CO HBeAg 0.224S/CO Anti-HBe 1.83S/CO Anti-HBc 0.07S/CO
肿瘤标志物:AFP58.96ng/mL
炎症反应标志物:CRP 19.48mg/l
诊疗过程:
CT结果输入海信CAS系统后行3D重建及手术规划后,于2017-9-5全麻下行“右半肝切除+淋巴结清扫术”手术治疗:
术前三维重建及手术方案设计:
将0.625mm双源薄层CT资料的静脉期和动脉期Dicom格式文件导入海信CAS系统。
通过调节窗宽窗位调整CT序号,对肝实质,胆囊,下腔静脉,肿瘤,肝动脉、门静脉及肝静脉等进行三维重建;系统自动计算肝脏体积。
模拟手术操作,自动计算切除肿瘤体积。肝脏体积为373.7ml,肿瘤体积是192.6ml,是肝脏体积的0.5倍,通过比对2-3岁正常肝脏体积为475.97±99.7ml,通过术前模拟手术,精准判断切除后剩余肝脏体积能耐受,避免肝衰竭发生。
手术步骤:
麻醉成功后,病人平卧位,常规碘伏消毒手术区皮肤,铺无菌巾、单。取右肋缘下切口,分层入腹,纱布垫护皮。探查见:肝脏质地及形态可,右肝前叶Ⅴ、Ⅵ段处,可触及直径8cm不规则肿块。断肝圆韧带,镰状韧带至第二肝门,断肝右三角韧带,冠状韧带,肝结肠韧带,游离右半肝,沿肿瘤边缘约1cm,依次钳夹、切断、结扎肝断面各结构,切除肿瘤及部分肝组织,保留胆囊,并固定于脏面。断面渗血处分别缝扎止血,填塞止血敷料后,将创面对拢缝合。温蒸馏水300ml冲洗腹腔,止血,于肝断面旁放置引流管1根于右侧腹壁穿孔引出。清点纱布器械无误,分层缝合腹壁切口。术中出血约50ml,输去白红细胞1单位。术后血压98/61mmHg,术后病人安返病房。手术顺利,麻醉满意,解剖标本,肿块直径约8cm,内含灰白色物质,家属过目后送病理检查,结果回示:囊实性畸胎瘤。手术时手术者可开启Hisense CAS系统手势控制功能,对肿瘤的解剖结构进行实时、全方观察、评估,起到术中导航作用。
术后病理:
1、(肝穿刺活检组织)肝母细胞瘤(胎儿型)。
随访情况:
1周:□ml 1月:□ml 3月:□ml 6月:□ml 1年:□ml
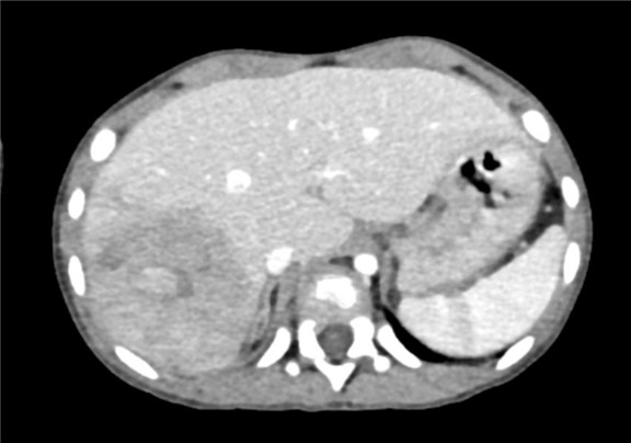
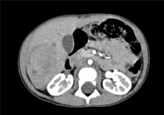
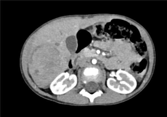
术前CT检查:
动脉期
静脉期
术前三维重建:
重建图片
重建视频
您的浏览器不支持 video 标签。
您的浏览器不支持 video 标签。
您的浏览器不支持 video 标签。
您的浏览器不支持 video 标签。
more
merge