中文
|
English
首页
项目介绍
负责人介绍
学术委员会
Dong's肝脏分段体系
肝脏体积
成人肝脏体积
小儿肝脏体积
典型病例
正常肝脏数据库
成人正常肝脏
小儿正常肝脏
计算机辅助手术
肝脏肿瘤
成人肝脏肿瘤
小儿肝脏肿瘤
门脉高压症
脾脏疾病
先天性胆管扩张症
胰腺肿瘤
其他疾病
Couinaud 肝脏分段
数字医学概念
各数据库后台管理系统入口:
肝脏数据库
胆道数据库
胰腺数据库
Dong's肝脏分型数据库
肝脏体积数据库
肝脏门静脉数据库
肝静脉数据库
肝母细胞瘤-CH-001-LT-001326
您的浏览器不支持 video 标签。
一般情况:CH-001-LT-001326,8月足月产男性患儿,体重8.5kg。
主诉:发现腹部肿物10天。
现病史:接触史。否认手术史、否认外伤史。无输血史。无过敏史。预防接种按计划进行。,患儿10天前,家属发现腹部肿大,无腹痛腹胀,无头痛、头晕,无腹泻,无皮肤黄染,CT示肝脏肿瘤,为求进一步诊治来我院就诊,门诊以"肝脏肿瘤"收入院。自发病来,患儿精神好,饮食睡眠可,大便无异常,体重无明显减轻。
查体:腹部膨隆,无腹壁静脉曲张,无肌紧张,无压痛、反跳痛,脾脏肋下未及,肝脏增大,质韧,肝脏下缘为于右锁骨中线肋下约5cm,肝区有叩痛,Murphy征阴性。
整理:崔楷悦,高菲 3D:周显军,朱呈瞻
辅助检查:
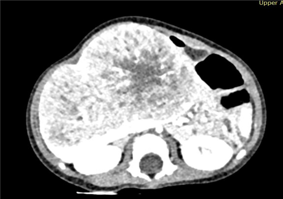
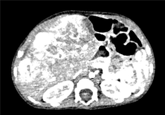
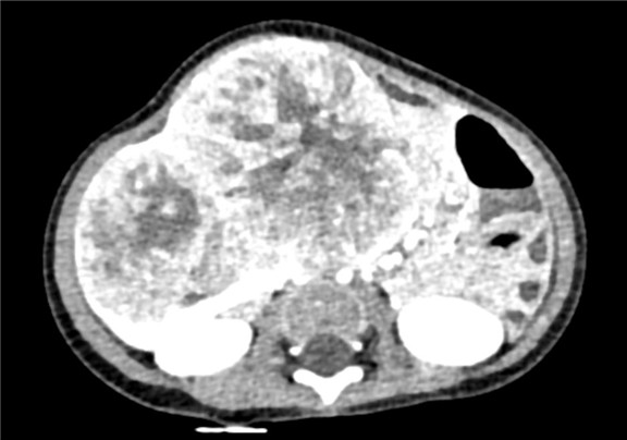
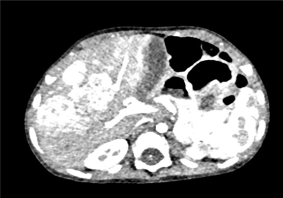
上腹部增强CT:肝脏占位性病变,疑似肝母细胞瘤,或血管母细胞瘤.
实验室检查:
血常规:WBC 27.61*10~9/L NEU19.57*10~9/L RBC 3.44*10~12/L HB 96g/L PLT 431*10~9/L
生化全套:ALT 27.00U/L AST 99.00U/L TP 68.00g/L ALB 42.77g/L GGT 112.00U/L BIL-T 10.11umol/L BIL-D 2.19umol/L CREA 12umol/L
肝炎全套: HAV-IgM 0.10S/CO HBcIgM 0.10S/CO HCV-cAg 0.08S/CO
炎症反应标志物:CRP 34.69mg/l
诊疗过程:
CT结果输入海信CAS系统后行3D重建及手术规划后,于2017-7-18全麻下行“右半肝切除术”手术治疗:
术前三维重建及手术方案设计:
将0.625mm双源薄层CT资料的静脉期和动脉期Dicom格式文件导入海信CAS系统。
通过调节窗宽窗位调整CT序号,对肝实质,胆囊,下腔静脉,肿瘤,肝动脉、门静脉及肝静脉等进行三维重建;系统自动计算肝脏体积。
模拟手术操作,自动计算切除肿瘤体积。肝脏体积为345.8ml,肿瘤体积383.5ml,是肝脏体积的1.1倍,通过比对6-9月岁正常肝脏体积为257.75±51.05ml,通过术前模拟手术,精准判断切除后剩余肝脏体积能耐受,避免肝衰竭发生。
手术步骤:
麻醉成功后,病人平卧位,常规碘伏消毒手术区皮肤,铺无菌巾、单。取右肋缘下切口,分层入腹,纱布垫护皮。 探查见:肝脏肿瘤巨大,于右肝Ⅳ、Ⅴ、Ⅵ、Ⅶ、Ⅷ交界处可触及直径12cm圆形肿块,质韧,未侵及肝被膜,决定行右半肝切除术。断肝右三角韧带,冠状韧带,肝结肠韧带,游离右半肝。沿肿瘤边缘约1cm,用CUSA进行干燥切除,依次钳夹、切断、结扎肝断面各结构,切除肿瘤及部分肝组织。断面渗血处分别缝扎止血,填塞止血敷料后,将创面对拢缝合。温蒸馏水1000ml冲洗腹腔,止血,于肝断面旁放置引流管1根于右侧腹穿孔引出。清点纱布器械无误,分层缝合腹壁切口。术中出血约20ml,术后血压稳定,术后病人安返病房。手术顺利,麻醉满意,解剖标本,见切除肝标本呈鱼肉样,断面有坏死,家属过目后送病理检查。病理示肝母细胞瘤。
术后病理:
1、(右半肝)肝母细胞瘤(胎儿型,大小11×9×7cm),侵达肝被膜,未累及肝断端,送检肝门旁淋巴结未见肿瘤转移(0/1)。
2、免疫组化:GPC3(+),AFP(+),Hepatocyte(+),β-Catenin(+),Vim(-),EMA(-),CK7(-),CK19局灶(+),CEA(-),Ki67阳性率30%。
随访情况:
随访3月,消化系统超声示肝母细胞瘤术后所见,未见其他异常。
1周:□ml 1月:□ml 3月:□ml 6月:□ml 1年:□ml
术前CT检查:
动脉期
静脉期
术前三维重建:
重建图片
重建视频
您的浏览器不支持 video 标签。
您的浏览器不支持 video 标签。
您的浏览器不支持 video 标签。
您的浏览器不支持 video 标签。
more
merge