中文
|
English
首页
项目介绍
负责人介绍
学术委员会
Dong's肝脏分段体系
肝脏体积
成人肝脏体积
小儿肝脏体积
典型病例
正常肝脏数据库
成人正常肝脏
小儿正常肝脏
计算机辅助手术
肝脏肿瘤
成人肝脏肿瘤
小儿肝脏肿瘤
门脉高压症
脾脏疾病
先天性胆管扩张症
胰腺肿瘤
其他疾病
Couinaud 肝脏分段
数字医学概念
各数据库后台管理系统入口:
肝脏数据库
胆道数据库
胰腺数据库
Dong's肝脏分型数据库
肝脏体积数据库
肝脏门静脉数据库
肝静脉数据库
肝间叶性错构瘤-CH-001-LT-001277
您的浏览器不支持 video 标签。
一般情况:CH-001-LT-001277,10月足月产男性患儿,体重9.50kg。
主诉:发现腹腔实性占位14天。
现病史:患儿14天前,家长发现其腹部膨隆,于青岛市妇女儿童医院超声检查示肝内实性占位,未予特殊处理,为治疗来我院就诊,行腹腔增强CT示肝脏实性占位,超声引导下病理穿刺结果示肝脏错构瘤可能,拟行手术治疗,因患儿上呼吸道感染,无法手术准予出院,现为行手术治疗门诊以"腹腔占位,腹腔良性"收入院。自发病来,患儿精神好,饮食睡眠可,大便无异常,体重无明显减轻。腹部膨隆,无肌紧张,无压痛、反跳痛,脾脏肋下未及,肝脏增大,质韧,肝脏下缘为于右锁骨中线肋下约7.5cm,肝区有叩痛,Murphy征阴性。2017-06-14 组织病理学检查与诊断:间叶性错构瘤可能性大。穿刺组织少,请结合临床及影像学。
查体:腹部膨隆,无肌紧张,无压痛、反跳痛,脾脏肋下未及,肝脏增大,质韧,肝脏下缘为于右锁骨中线肋下约7.5cm,肝区有叩痛,Murphy征阴性。
整理:崔楷悦,高菲 3D:周显军,朱呈瞻
辅助检查:
腹部超声: 肝内实性占位,性质待查
组织病理学检查与诊断:间叶性错构瘤可能性大。穿刺组织少,请结合临床及影像学。
实验室检查:
血常规: WBC 11.19*10~9/L NEU 3.18*10~9/L RBC 3.83*10~12/L HB 83g/L PLT 285*10~9/L
生化全套:ALT 24.00U/L AST52.00U/L TP 61.64g/L ALB 42.42g/L GGT 59.00U/L BIL-T 8.44umol/L BIL-D 5.41umol/L CREA 14.00umol/L
肝炎全套:HAV-IgM 0.10S/CO HBcIgM 0.090S/CO HCV-cAg 0.15S/CO HEV-IgM 0.03S/CO HBeAg 0.225S/CO Anti-HBe 1.770S/CO Anti-HBc 0.050S/CO
肿瘤标志物:AFP52.98ng/mL
炎症反应标志物:CRP 1.72mg/l
诊疗过程:
CT结果输入海信CAS系统后行3D重建及手术规划后,于2017-6-28全麻下行“腹腔肿瘤切除术”手术治疗:
术前三维重建及手术方案设计:
将0.625mm双源薄层CT资料的静脉期和动脉期Dicom格式文件导入海信CAS系统。
通过调节窗宽窗位调整CT序号,对肝实质,胆囊,下腔静脉,肿瘤,肝动脉、门静脉及肝静脉等进行三维重建;系统自动计算肝脏体积。
模拟手术操作,自动计算切除肿瘤体积。肝脏体积为310.9ml,肿瘤体积为437.7ml,肿瘤体积是肝体积的1.4倍,通过比对9-12月正常肝脏体积为321.13±118.91ml,通过术前模拟手术,精准判断切除后剩余肝脏体积能耐受,避免肝衰竭发生。
手术步骤:
麻醉成功后,患儿取平卧位,腰下垫枕,2.5%碘伏消毒手术区皮肤,铺无菌巾单。取上腹部人字形切口长约20cm,切开皮肤、皮下组织、肌层和腹膜。探查见肿瘤来源于肝中叶,约12×10×8cm大小,质地硬,肿瘤粘连压迫肝门部,与肝门静脉右支及左肝管粘连。逐渐分离切除肿瘤,肝门阻断后,完整切除肿瘤。仔细检查发现,肝门静脉右支有3处撕裂出血口,应用血管缝合线缝合修补。左肝管撕裂,应用可吸收线修补缝合。电刀肝创面止血后,肝针缝合压迫止血。放置腹腔引流管一根。检查无活动性出血,清点纱布器械无误,依次缝合腹壁各层。手术顺利,麻醉满意,出血不多,因术前贫血、血凝异常故术中输红细胞1U、冷沉淀80国际单位,术后病人先进入麻醉恢复室,苏醒后回病房。术后标本送病理检查。结果回示:肝中叶间叶性错构瘤。手术时手术者可开启Hisense CAS系统手势控制功能,对肿瘤的解剖结构进行实时、全方观察、评估,起到术中导航作用。
术后病理:
1、(肝肿瘤)肿瘤构成于疏松的粘液变间质和增生受压的小胆管,符合间叶性错构瘤(大小14*10*6),肝断端未见肿瘤累及。
术后给予抗生素消炎治疗,静脉高营养、全量补液及对症支持治疗,患儿恢复良好,伤口无渗血渗液,无红肿疼痛,于2017-7-13出院。
随访情况:
1周:□ml 1月:□ml 3月:□ml 6月:□ml 1年:□ml
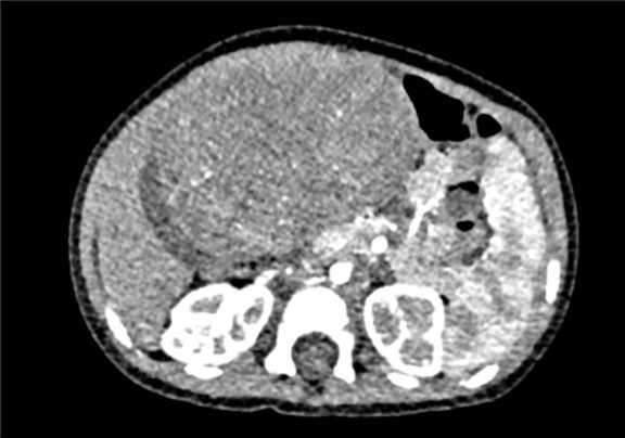
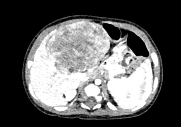
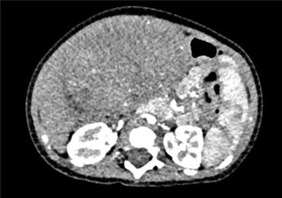
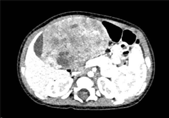
术前CT检查:
动脉期
静脉期
术前三维重建:
重建图片
重建视频
您的浏览器不支持 video 标签。
您的浏览器不支持 video 标签。
您的浏览器不支持 video 标签。
您的浏览器不支持 video 标签。
more
merge