中文
|
English
首页
项目介绍
负责人介绍
学术委员会
Dong's肝脏分段体系
肝脏体积
成人肝脏体积
小儿肝脏体积
典型病例
正常肝脏数据库
成人正常肝脏
小儿正常肝脏
计算机辅助手术
肝脏肿瘤
成人肝脏肿瘤
小儿肝脏肿瘤
门脉高压症
脾脏疾病
先天性胆管扩张症
胰腺肿瘤
其他疾病
Couinaud 肝脏分段
数字医学概念
各数据库后台管理系统入口:
肝脏数据库
胆道数据库
胰腺数据库
Dong's肝脏分型数据库
肝脏体积数据库
肝脏门静脉数据库
肝静脉数据库
右半肝间叶性错构瘤-CH-001-LT-000236
您的浏览器不支持 video 标签。
一般情况:CH-001-LT-000236,1岁足月产男性患儿,身高80cm,体重12.5kg
主诉:查体发现右侧腹部肿物1月。
现病史:因发现右侧腹部肿物1月入院,辗转多家医院后来诊,无发热,无头痛、头晕,无腹泻,无皮肤黄染、恶心呕吐,体重增加缓慢,大小便正常。
查体:心肺听诊未见明显异常,右侧腹部明显膨隆,上腹胀,腹肌软,无明显固定压痛、反跳痛;右侧腹部可扪及约15cm大小肿物,肿物边缘超越腹中线,质硬,边界尚清,与周围组织粘连,不活动,肝脾未触及,叩呈鼓音,移动性浊音(-),听诊无气过水声,肠鸣音5次/分。
整理:崔楷悦,高菲 3D:周显军,朱呈瞻
辅助检查:
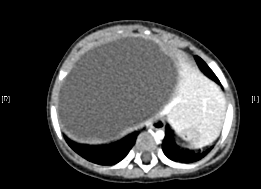
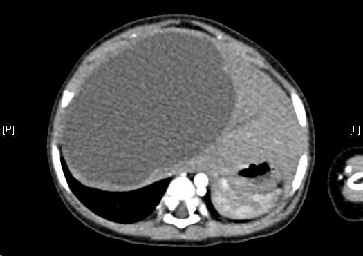
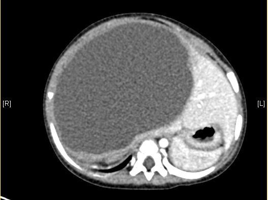
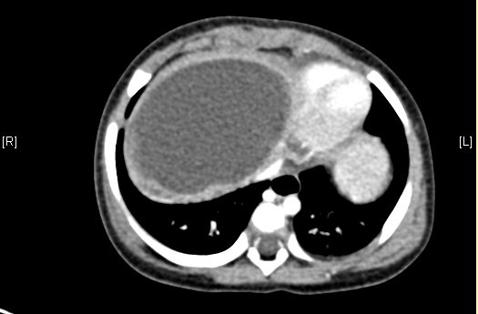
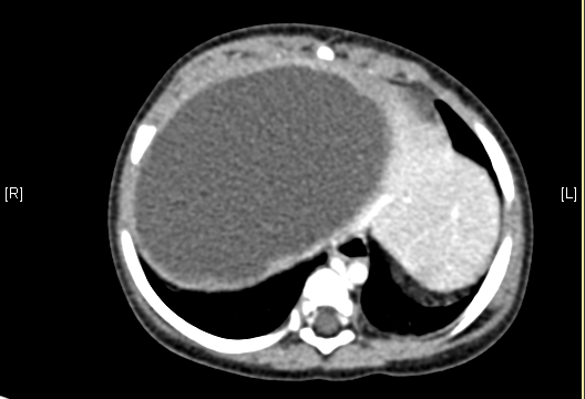
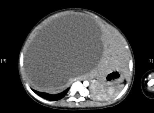
上腹部增强CT:肝右叶囊实性占位。上腹部增强CT示间叶性错构瘤。
实验室检查:
血常规:WBC 6.87*10~9/L NEU 2.14*10~9/L RBC 4.88*10~12/L HB126g/L PLT 342*10~9/L
生化全套:ALT 35.00U/L AST 35.00U/L TP 53.11g/L ALB36.81g/L GGT 14.00U/L BIL-T 5.94umol/L BIL-D 3.15umol/L BUN 1.16mmol/L CREA37.00umol/L T-CHO 2.23mmol/L Trig 1.15mmol/L
炎症反应标志物:CRP 2.05mg/l
诊疗过程:
CT结果输入海信CAS系统后行3D重建及手术规划后,于2016-1-5全麻下行“右半肝巨大肿物切除术”手术治疗:
术前三维重建及手术方案设计:
将0.625mm双源薄层CT资料的静脉期和动脉期Dicom格式文件导入海信CAS系统。
通过调节窗宽窗位调整CT序号,对肝实质,胆囊,下腔静脉,肿瘤,肝动脉、门静脉及肝静脉等进行三维重建;系统自动计算肝脏体积。
模拟手术操作,自动计算切除肝体积、肿瘤体积、剩余功能性肝体积。
肝脏体积为218.1ml,肿瘤体积为1570ml,肿瘤体积为肝脏体积的7.2倍,通过比对1-3月正常肝脏体积为174.85±58.11ml,通过术前模拟手术,精准判断切除后剩余肝脏体积能耐受,避免肝衰竭发生。
手术步骤:
根据手术规划系统提供最优虚拟肝切除步骤解剖,探查见:右肝巨大囊实性肿瘤,大小约15cm,内含黄色透亮液体,边界清。决定行右半肝部分切除术。分离肝周围粘连,分别显露第一、第二以及第三肝门,沿肝右侧缘分离直达肝后下腔静脉右侧缘,游离第三肝门,结扎部分肝短血管。分离第一肝门,置阻断带。自胆囊窝右侧缘至第二肝门作预定切线,阻断第一肝门,kusa切除右半肝,缝扎断面的动静脉及渗血处,填塞止血敷料。阻断第一肝门约10分钟。肝断面无渗漏。温蒸馏水1000ml冲洗腹腔,止血,于肝断面旁放置引流管1根于右侧腹穿孔引出。清点纱布器械无误,分层缝合腹壁切口。术中出血约 100ml,术中输血50mL。术后病人送ICU。术后肿瘤标本家属过目,送检病理。手术时手术者可开启Hisense CAS系统手势控制功能,对肝脏的解剖结构进行实时、全方观察、评估,起到术中导航作用。
术后病理:
术后病理:(右半肝)肿物呈囊实性,实性区构成于增生的纤维结缔组织及血管组织,其内见大量增生的小胆管成分;囊性区囊壁构成于疏松纤维结缔组织。符合肝脏间叶性错构瘤改变。
术后患儿去ICU观察,并输注红细胞0.5U。后患儿转至我科,给予禁饮食、补液、预防感染、保肝、输注红细胞、输注血浆、输注白蛋白、纠正水电解质紊乱、止咳化痰等对症治疗,患儿术后恢复较好,目前无明显不适,生化指标好,切口愈合好,已恢复普通饮食,于2016-1-14痊愈出院。
随访情况:
随访3个月,肿瘤无复发,无转移,无明显不适症状。
1周:□ml 1月:□ml 3月:□ml 6月:□ml 1年:□ml
术前CT检查:
动脉期
静脉期
平衡期
术前三维重建:
重建图片
重建视频
您的浏览器不支持 video 标签。
您的浏览器不支持 video 标签。
您的浏览器不支持 video 标签。
您的浏览器不支持 video 标签。
more
merge