中文
|
English
首页
项目介绍
负责人介绍
学术委员会
Dong's肝脏分段体系
肝脏体积
成人肝脏体积
小儿肝脏体积
典型病例
正常肝脏数据库
成人正常肝脏
小儿正常肝脏
计算机辅助手术
肝脏肿瘤
成人肝脏肿瘤
小儿肝脏肿瘤
门脉高压症
脾脏疾病
先天性胆管扩张症
胰腺肿瘤
其他疾病
Couinaud 肝脏分段
数字医学概念
各数据库后台管理系统入口:
肝脏数据库
胆道数据库
胰腺数据库
Dong's肝脏分型数据库
肝脏体积数据库
肝脏门静脉数据库
肝静脉数据库
先天性门脉高压
您的浏览器不支持 video 标签。
一般情况:CH-001-CTPV-000217,8岁足月产女性患儿,身高142cm,体重35kg
主诉:腹部CT发现门脉高压8月
现病史:因腹部CT发现门脉高压8月,辗转多家医院入我院。无腹痛、腹胀,无呕血、黑便,无发热,无黄疸,精神好,饮食佳,睡眠可,大小便无异常。
查体:皮肤、巩膜无黄染,无肝掌、蜘蛛痣;腹平坦,触软,脾脏肋下约2cm,肝脏未触及,全腹未触及明显包块,全腹无压痛及反跳痛,叩鼓,移动性浊音(-),肠鸣音3次/分。
整理:崔楷悦,高菲 3D:周显军,朱呈瞻
辅助检查:
腹部超声:慢性肝病;脾大;门静脉周围海绵样改变。
上腹部增强CT:门静脉主干走行迂曲、分支紊乱,考虑门静脉畸形可能性大,不除外门静脉海绵状变性。
实验室检查:
血常规: 3.27*10~9/L NEU 1.44*10~9/L RBC 4.70*10~12/L HB 131g/L PLT 72*10~9/L
生化全套:ALT 16.00U/L AST 21.00U/L TP 67.44g/L ALB 42.62g/L GGT 9.00U/L BIL-T 9.00umol/L BIL-D 4.00umol/L BUN 5.22mmol/L CREA 61.00umol/L T-CHO 4.49mmol/L Trig 0.92mmol/L
肝炎全套: HAV-IgM 0.04S/CO HCV-cAg 0.42S/CO HEV-IgM <0.01S/CO HBeAg 0.338S/CO Anti-HBe 1.710S/CO Anti-HBc 0.100S/CO
诊疗过程:
CT结果输入海信CAS系统后行3D重建及手术规划后,行手术治疗,术中证实为先天性门脉高压:
术前三维重建及手术方案设计:
将0.625mm双源薄层CT资料的静脉期和动脉期Dicom格式文件导入海信CAS系统。
通过调节窗宽窗位调整CT序号,对肝实质,胆囊,下腔静脉,肿瘤,肝动脉、门静脉及肝静脉等进行三维重建;系统自动计算肝脏体积。
手术步骤:
家属要求暂时保守治疗,手术暂停.
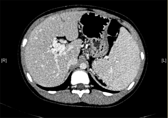
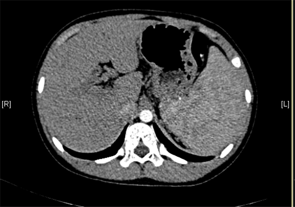
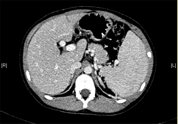
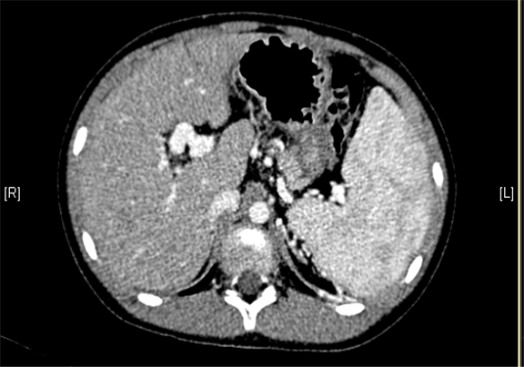
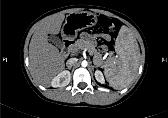
术前CT检查:
动脉期
静脉期
平衡期
术前三维重建:
重建图片
重建视频
您的浏览器不支持 video 标签。
您的浏览器不支持 video 标签。
您的浏览器不支持 video 标签。
您的浏览器不支持 video 标签。
more
merge