中文
|
English
首页
项目介绍
负责人介绍
学术委员会
Dong's肝脏分段体系
肝脏体积
成人肝脏体积
小儿肝脏体积
典型病例
正常肝脏数据库
成人正常肝脏
小儿正常肝脏
计算机辅助手术
肝脏肿瘤
成人肝脏肿瘤
小儿肝脏肿瘤
门脉高压症
脾脏疾病
先天性胆管扩张症
胰腺肿瘤
其他疾病
Couinaud 肝脏分段
数字医学概念
各数据库后台管理系统入口:
肝脏数据库
胆道数据库
胰腺数据库
Dong's肝脏分型数据库
肝脏体积数据库
肝脏门静脉数据库
肝静脉数据库
肝细胞性肝癌-CH-001-LT-000456
您的浏览器不支持 video 标签。
一般情况:CH-001-LT-000456, 63岁男性,身高170cm,体重77.00kg
主诉:查体发现肝占位性病变5月
现病史:患者5月前因“肝硬化”行上腹部CT发现肝占位性病变(未见报告),建议随访观察,患者无乏力、恶心、呕吐、腹胀、腹泻、血便、食欲减退,无寒战,无头痛头晕,无皮肤粘膜黄染,无尿频、尿急、尿痛、血尿。3天前再行上腹部增强CT检查示:肝左外叶占位,考虑恶性肿瘤伴门脉侵犯可能性大,建议MR平扫+强化符合肝硬化表现。双肾多发小囊肿可能性大
查体:腹部平坦。未见胃肠型及蠕动波。无腹壁静脉曲张。腹肌软,无压痛,无反跳痛。Murphy阴性。未触及肝、脾、肾及其他肿块。腹部叩诊呈鼓音,肝上界在右锁骨中线第五肋间。肝、肾区无叩痛,无移动性浊音。肠鸣音5次/分,未闻及血管杂音。
整理:崔楷悦,高菲 3D:周显军,朱呈瞻
辅助检查:
下腹部增强CT示:肝左外叶占位,考虑恶性肿瘤伴门脉侵犯可能性大,符合肝硬化表现。
实验室检查:
血常规:WBC 4.25*10~9/L NEU 2.39*10~9/L RBC 4.99*10~12/L HB 157.00g/L PLT 129.00*10~9/L
生化全套:ALT 28.1U/L AST 23.2U/L TP 71.6g/L ALB 46.1g/L GGT 33.3U/L BIL-T 12.3umol/L BIL-D 4.4umol/L BUN 11.71mmol/L CREA 89.2umol/L T-CHO 3.66mmol/L
肿瘤标志物:AFP3.67ng/mL CA19-95.84U/ml CA1255.59U/ml CEA1.42ng/ml CA508.04IU/ml
肝炎全套: HAV-IgM- HBcIgM 0.05S/CO HCV-cAg- HEV-IgM- HBeAg 0.00PEI U/ml Anti-HBe >1.88 Anti-HBc 4.22PEI U/ml
诊疗过程:
CT结果输入海信CAS系统后行3D重建及手术规划后,于2016-5-4全麻下行“腹腔镜下左半肝切除、肠粘连松解术”手术治疗:
术前三维重建及手术方案设计:
将0.625mm双源薄层CT资料的静脉期和动脉期Dicom格式文件导入海信CAS系统。
通过调节窗宽窗位调整CT序号,对肿瘤,肝实质,胆囊,下腔静脉,肿瘤,肝动脉、门静脉及肝静脉等进行三维重建;系统自动计算肿瘤体积和肝脏体积。(模拟手术操作,自动计算切除肿瘤体积。术前手术方案的规划。
手术步骤:
麻醉成功后,病人平卧位,常规碘伏消毒手术区皮肤,铺无菌巾、单。于脐上切口约1.2cm,进气腹针,建立CO2人工气腹,腹内压11-13mmHg,置入11mm Trocar,放入腹腔镜冷光源。探查:肝脏呈小结节样硬化,肝左外叶灰白色肿瘤,侵及肝被膜。胃肠(-),腹水(-),于剑下2cm,右上腹、右腹、左上腹分别穿孔置入10mm、5mm、10mmTrocar。诊断考虑为原发性肝癌。分离粘连,断肝圆韧带,镰状韧带至第二肝门,断肝左三角韧带,游离左半肝。游离第二肝门,分离肝左静脉,4号线缝扎。分离第一肝门,断扎肝左动脉,门静脉左支,左肝管。自第二肝门左侧至胆囊床左侧做预定切线断肝,距离肿瘤1cm,依次钳夹、切断、结扎肝内胆管,血管。切除左半肝。肝断面填塞止血敷料。生理盐水冲洗腹腔。肝断面置血浆管1根,自右侧腹部引出。分别固定。查无活动性出血,清点器械、纱布无误。取出标本,拔出套管,放出CO2,关闭切口。手术顺利,麻醉满意,术中出血约100ml。术后血压120/65mmHg,术后病人安返PACU。解剖标本见:肿瘤质硬,直径约3.5cm,切面灰白。标本家属过目后送病理检查。病理检查结果:肝细胞性肝癌伴坏死(III级,范围4*4cm)。手术时手术者可开启Hisense CAS系统手势控制功能,对肿瘤的解剖结构进行实时、全方观察、评估,起到术中导航作用。
术后病理:
(左半肝)肝细胞性肝癌伴坏死(III级,范围4*4cm),呈巢团样浸润性生长,侵及局部肝被膜,未累及肝断端。脉管癌栓(+,M2),肿物周围见卫星结节。未见确切胆管壁侵犯及小胆管癌栓。小结节性肝硬化。慢性肝炎(G1S4)。给予术后护理常规、吸氧、化痰、雾化、保心、保肝、抑酸、化痰、肠外营养等对症支持治疗,定期复查肝功、血常规、血凝常规等,密切监测腹腔引流管引流情况。患者术后恢复可,流质饮食无不适,于2016-5-13出院。
随访情况:
术后4月随访行CT检查:肝术后所见,肝右叶多发类圆形低密度灶及肝-胃间隙结节影。
1周:□ml 1月:□ml 3月:□ml 6月:□ml 1年:□ml
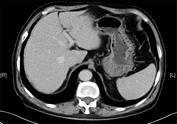
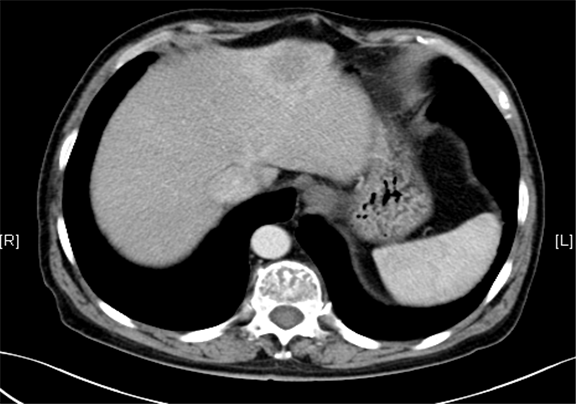
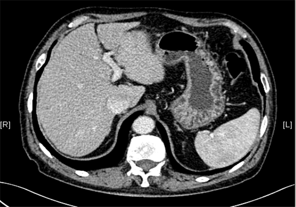
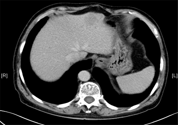
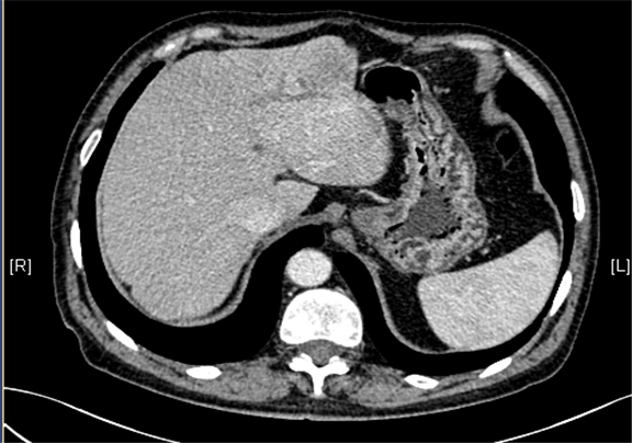
术前CT检查:
动脉期
静脉期
平衡期
术前三维重建:
重建图片
重建视频
您的浏览器不支持 video 标签。
您的浏览器不支持 video 标签。
您的浏览器不支持 video 标签。
您的浏览器不支持 video 标签。
more
merge