中文
|
English
首页
项目介绍
负责人介绍
学术委员会
Dong's肝脏分段体系
肝脏体积
成人肝脏体积
小儿肝脏体积
典型病例
正常肝脏数据库
成人正常肝脏
小儿正常肝脏
计算机辅助手术
肝脏肿瘤
成人肝脏肿瘤
小儿肝脏肿瘤
门脉高压症
脾脏疾病
先天性胆管扩张症
胰腺肿瘤
其他疾病
Couinaud 肝脏分段
数字医学概念
各数据库后台管理系统入口:
肝脏数据库
胆道数据库
胰腺数据库
Dong's肝脏分型数据库
肝脏体积数据库
肝脏门静脉数据库
肝静脉数据库
畸胎瘤-CH-001-N-001051
您的浏览器不支持 video 标签。
一般情况:CH-001-N-001051,7月足月产女性患儿,体重8.0kg。
主诉:发现腹部膨隆2月。
现病史:2月前,患儿家长发现你其腹部膨隆,腹部较正常同龄儿大,无腹痛腹泻,无恶心呕吐,无发热、咳嗽咳痰等不适。于我院行腹部超声检查示腹腔内囊性包块,约17.6*11.2*10.0cm,考虑腹腔囊性占位,期间未治疗,为求进一步诊治来我院,门诊以"腹腔囊肿"收入我科。患儿自发病以来,神智清,精神差,未进饮食,大小便无异常。
查体:腹膨隆,未见胃肠型及蠕动波。腹肌紧张,右上腹偏韧,压痛,无反跳痛,肝脾肋下未触及,腹腔内未触及明显肿物,移动性浊音阴性,肠鸣音3-4次/分。
整理:崔楷悦,高菲 3D:周显军,朱呈瞻
辅助检查:
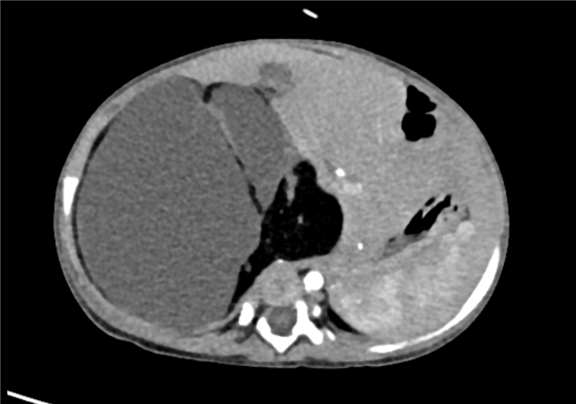
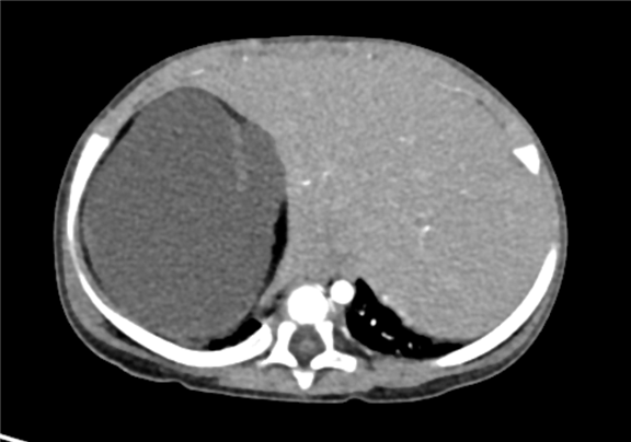
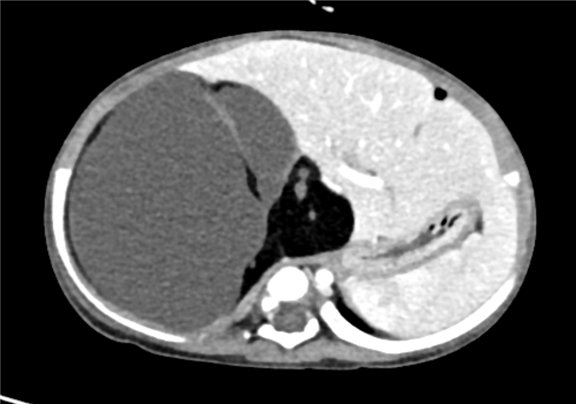
上腹部增强CT:腹膜后巨大混杂密度肿块影,考虑畸胎瘤可能性较大
实验室检查:
血常规:WBC 3.46*10~9/L NEU 2.11*10~9/L RBC 3.69*10~12/L HB 82g/L PLT 354*10~9/L
生化全套:ALT 8.00U/L AST36.00U/L TP 53.45g/L ALB 37.09g/L GGT 6.00U/L BIL-T 11.26umol/L BIL-D 5.17umol/L CREA 16.00umol/L
肿瘤标志物:AFP19.95ng/mL
肝炎全套: HAV-IgM 0.10S/CO HBcIgM 0.070S/CO HCV-cAg 0.08S/CO HEV-IgM 0.03S/CO HBeAg 0.361S/CO Anti-HBe 1.83S/CO Anti-HBc 0.03S/CO
诊疗过程:
CT结果输入海信CAS系统后行3D重建及手术规划后,于2016-10-13全麻下行“剖腹探查术”手术治疗:
术前三维重建及手术方案设计:
将0.625mm双源薄层CT资料的静脉期和动脉期Dicom格式文件导入海信CAS系统。
通过调节窗宽窗位调整CT序号,对肿瘤,肝实质,胆囊,下腔静脉,肿瘤,肝动脉、门静脉及肝静脉等进行三维重建;系统自动计算肿瘤体积和肝脏体积。(模拟手术操作,自动计算切除肿瘤体积。
手术步骤:
麻醉成功后,患儿取平卧位,右腰下垫枕,2.5%碘伏消毒手术区皮肤,铺无菌巾单。取右上中腹纵切口长约10cm,切开皮肤、皮下组织、肌层和腹膜。探查见肿瘤呈囊实性,约1/3为脂肪成分,整个肿瘤大小约20*18*10cm,充满整个腹腔,包膜完整,与周围组织分界清楚,用吸引器抽吸囊内液体减压,见囊内液体清亮,见肿瘤与下腔静脉,右肾静脉,右肾动脉联系紧密,现游离下腔静脉,右肾动脉,右肾动脉,结扎肿瘤营养血管后,将肿瘤完成切除。腹膜后放置引流管一根。检查无活动性出血,清点纱布器械无误,依次缝合腹壁各层。手术顺利,麻醉满意,出血不多,未输血,术后病人先进入麻醉恢复室,苏醒后回病房。术后标本送病理检查。手术时手术者可开启Hisense CAS系统手势控制功能,对肿瘤的解剖结构进行实时、全方观察、评估,起到术中导航作用。
术后病理:
1.(腹膜后肿瘤)意见为囊性成熟型畸胎瘤,内见神经胶质成分。
术后给予抗生素消炎治疗,静脉高营养、全量补液及对症支持治疗,患儿恢复良好,伤口无渗血渗液,无红肿疼痛,于2016-10-21出院。
术前CT检查:
动脉期
静脉期
术前三维重建:
重建图片
重建视频
您的浏览器不支持 video 标签。
您的浏览器不支持 video 标签。
您的浏览器不支持 video 标签。
您的浏览器不支持 video 标签。
more
merge