中文
|
English
首页
项目介绍
负责人介绍
学术委员会
Dong's肝脏分段体系
肝脏体积
成人肝脏体积
小儿肝脏体积
典型病例
正常肝脏数据库
成人正常肝脏
小儿正常肝脏
计算机辅助手术
肝脏肿瘤
成人肝脏肿瘤
小儿肝脏肿瘤
门脉高压症
脾脏疾病
先天性胆管扩张症
胰腺肿瘤
其他疾病
Couinaud 肝脏分段
数字医学概念
各数据库后台管理系统入口:
肝脏数据库
胆道数据库
胰腺数据库
Dong's肝脏分型数据库
肝脏体积数据库
肝脏门静脉数据库
肝静脉数据库
肾母细胞瘤-CH-001-LT-000233
您的浏览器不支持 video 标签。
一般情况:CH-001-LT-000233,3岁龄足月产女性患儿,身高80cm,体重11kg
主诉:查体发现腹部肿物1月
现病史:因查体发现发现腹部肿物1月,辗转多家医院后来诊。发热,无恶心、呕吐,无呼吸困难,无腹痛、腹泻,无大便带血。
查体:腹部稍膨隆,腹壁静脉未见迂曲扩张,未见胃肠型及蠕动波。腹软,右侧腹部触及一巨大肿物,约9×7cm,质韧,边界不清,活动度差,无压痛、反跳痛,肝脾肋下未及。移动浊音(-)。听诊肠鸣音无亢进,无气过水声,5次/分。
整理:崔楷悦,高菲 3D:周显军,朱呈瞻
辅助检查:
上腹部增强CT提示肝门处占位性病变,考虑腹膜后肿瘤可能性大,畸胎瘤? AFP 11.38ng/ml
实验室检查:
血常规: WBC 5.52*10~9/L NEU 1.96*10~9/L RBC 4.01*10~12/L HB 109g/L PLT308*10~9/L
生化全套: ALT 14.00U/L AST 19.00U/L TP 64.35g/L ALB 41.70g/L GGT 15.00U/L BIL-T 10.32umol/L BIL-D 3.98umol/L BUN 6.35mmol/L CREA 53.00umol/L T-CHO 3.80mmol/L Trig 2.09mmol/L
肿瘤标志物:AFP10.99ng/mL
肝炎全套:HAV-IgM 0.04S/CO HBcIgM 0.100S/CO HCV-cAg 0.03/CO HEV-IgM 0.05S/CO HBeAg 0.282S/CO Anti-HBe 1.650S/CO Anti-HBc 0.060S/CO
炎症反应标志物:CRP 1.84mg/l
诊疗过程:
CT结果输入海信CAS系统后行3D重建及手术规划后,于2016-2-16全麻下行“腹膜后肿瘤切除术”治疗。
术前三维重建及手术方案设计:
将0.625mm双源薄层CT资料的静脉期和动脉期Dicom格式文件导入海信CAS系统。
通过调节窗宽窗位调整CT序号,对肿瘤、肝实质,胆囊,下腔静脉,肿瘤,肝动脉、门静脉及肝静脉等进行三维重建;系统自动计算肿瘤体积和肝脏体积。
模拟手术操作,自动计算切除肿瘤体积。肝脏体积为459.7ml,肿瘤体积为363.7ml,肿瘤体积为肝脏体积的79.12%,通过比对3-岁正常肝脏体积为248.41±85.99ml,通过术前模拟手术,精准判断切除后剩余肝脏体积能耐受,避免肝衰竭发生。
手术步骤:
根据手术规划系统提供最优虚拟肝切除步骤解剖,探查见肿物位于肝门部,约10×8×6cm大小,实性,质韧,周围与胆总管、门静脉、下腔静脉紧密粘连,仔细分离肿物,保护周围重要脏器、血管等,将肿物完整切除。腹膜后放置止血纱布一枚。检查无活动性出血,清点纱布器械无误,依次缝合腹壁各层,另戳口置腹腔引流管一根。手术顺利,麻醉满意,术中输血60ml,术后病人先进入麻醉恢复室,苏醒后回病房。术后标本家属过目,送病理。手术时手术者可开启Hisense CAS系统手势控制功能,对肝脏的解剖结构进行实时、全方观察、评估,起到术中导航作用。
术后病理:
术后病理提示肾母细胞瘤(上皮型)
术后给予抗炎、补液、止血等对症支持治疗。患儿恢复良好,无腹痛,伤口愈合好,无渗血渗液,于2016-2-14出院。
随访情况:
随访3月,肿瘤无复发,无明显不适症状。
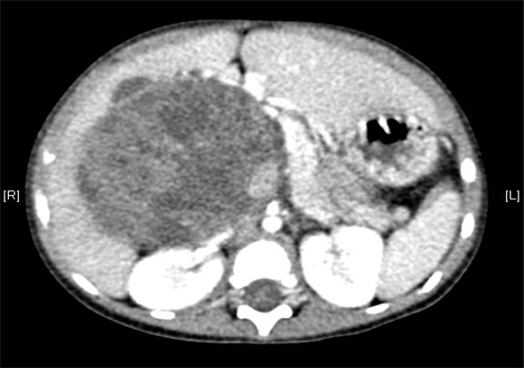
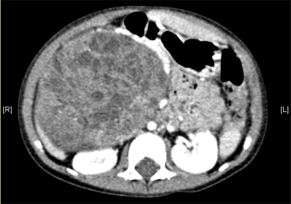
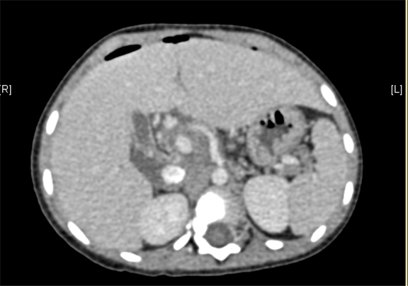
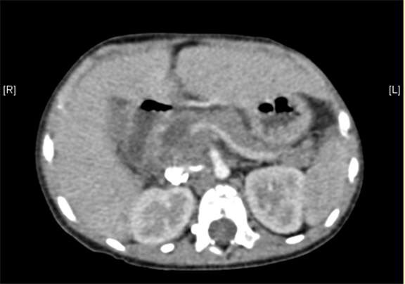
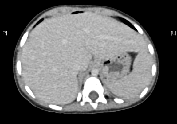
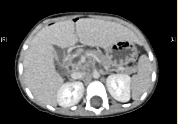
术前CT检查:
动脉期
静脉期
平衡期
术前三维重建:
重建图片
重建视频
您的浏览器不支持 video 标签。
您的浏览器不支持 video 标签。
您的浏览器不支持 video 标签。
您的浏览器不支持 video 标签。
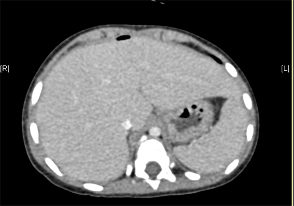
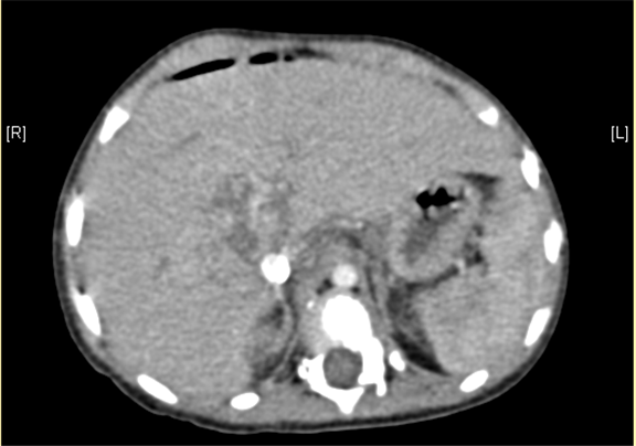
术后CT检查:
动脉期
静脉期
平衡期
more
merge