中文
|
English
首页
项目介绍
负责人介绍
学术委员会
Dong's肝脏分段体系
肝脏体积
成人肝脏体积
小儿肝脏体积
典型病例
正常肝脏数据库
成人正常肝脏
小儿正常肝脏
计算机辅助手术
肝脏肿瘤
成人肝脏肿瘤
小儿肝脏肿瘤
门脉高压症
脾脏疾病
先天性胆管扩张症
胰腺肿瘤
其他疾病
Couinaud 肝脏分段
数字医学概念
各数据库后台管理系统入口:
肝脏数据库
胆道数据库
胰腺数据库
Dong's肝脏分型数据库
肝脏体积数据库
肝脏门静脉数据库
肝静脉数据库
肝脏肿瘤-CH-001-LT-001821
您的浏览器不支持 video 标签。
一般情况:CH-001-LT-001821 男73岁 160cm 65kg。
主诉:查体发现肝占位一周。
现病史:患者1周前于平度市人民医院健康查体行消化系统超声示肝占位,进一步检查甲胎蛋白670ng/ml,上腹部增强CT示肝右前叶V段占位,考虑恶性肿瘤。患者自发病以来无腹痛腹泻、无恶心呕吐、无消化不良、无腹胀。患者为求进一步治疗,就诊于我院,门诊以“肝恶性肿瘤”收入我科,患者睡眠可、饮食可、精神可、大小便正常、体重无明显变化。
查体:腹部平坦,对称,无腹壁静脉曲张,无胃肠型和蠕动波,腹部柔软,无压痛及反跳痛,未触及异常包块。肝、脾肋下未触及、质软、无压痛,Murphy氏征阴性。腹部叩诊:肝上界在右锁骨中线第五肋间,肝、肾区无叩击痛,无移动性浊音。肠鸣音正常,4次/分。未听到血管杂音。
整理:王凤娇,禚孝颖,王菲菲 3D:周显军,朱呈瞻
辅助检查:
上腹部动态CT扫描示肝左内叶占位,考虑肝Ca可能性大,请结合临床肝多发小囊肿。
实验室检查:
血常规:WBC 4.60*109/L ,NEU 3.18*109/L , RBC4.06*1012/L, HB 130.00g/L
生化全套:ALT 4.00U/L AST20.00U/L LDH157.00 U/L TP 66.89g/L ALB 41.42g/L GGT 20.00U/L BIL-T26.12umol/L BIT-D 7.70 umol/L A/G 1.63 ADA 16.00U/L BUN 3.35mmol/L CREA 58.00umol/L URIC 237.00umol/L C1q 132 mg/L
肿瘤标志物:AFP768.80ng/mL CEA 1.93ng/mL CA19-9 35.81U/ml
肝炎全套: HAV-IgM 0.01S/CO HBcIgM 0.060S/CO HCV-cAg 0.08S/CO HEV-IgM 0.05S/CO HBeAg 0.303S/CO Anti-HBe1.550S/CO Anti-HBc8.550S/CO
诊疗过程:
CT结果输入海信CAS系统后行3D重建及手术规划后,于2018-5-8全麻下行“肝IV、V段部分切除术+胆囊切除术”手术治疗
术前三维重建及手术方案设计:
将0.625mm双源薄层CT资料的静脉期和动脉期Dicom格式文件导入海信CAS系统。
通过调节窗宽窗位调整CT序号,对肿瘤,肝实质,胆囊,下腔静脉,肿瘤,肝动脉、门静脉及肝静脉等进行三维重建;系统自动计算肿瘤体积和肝脏体积。模拟手术操作,自动计算切除肿瘤体积。肝脏体积为1320ml,肿瘤体积为37.88ml,通过比对70-80岁正常肝脏体积为1263.13±170.25 ml,通过术前模拟手术,精准判断切除后剩余肝脏体积能耐受,避免肝衰竭发生。
手术步骤:
麻醉成功后,病人平卧位,常规碘伏消毒手术区皮肤,铺无菌巾、单。取右上腹部肋缘下切口,长约25cm,分层入腹,纱布垫护皮,上框架拉钩。探查见:肝脏质地及形态可,肝IV段前下部可触及直径3.5cm类圆形肿块,突出于肝脏表面,质硬,考虑原发性肝癌可能性大,肿瘤靠近胆囊,遂决定肝IV、V段部分切除术+胆囊切除术。断肝圆韧带,镰状韧带至第二肝门,断冠状韧带,肝结肠韧带,游离右半肝。游离第一肝门,向上分离肝门板。解剖胆囊三角,游离并断扎胆囊动脉,游离并缝扎胆囊管。沿胆囊切迹、门静脉右支上方,镰状韧带的边缘做预定切线,准备切除IV段、V段部分肝组织。阻断第一肝门,钳夹、切断、结扎肝断面各结构,断扎肝中静脉的远侧端。切除肿瘤及部分肝组织。断面渗血处分别缝扎止血,填塞止血敷料后,对拢缝合肝脏断面。温蒸馏水1000ml冲洗腹腔,止血,于小网膜孔放置引流管1根于右侧腹穿孔引出。清点纱布器械无误,分层缝合腹壁切口。术后病人安返PACU。手术顺利,麻醉满意,解剖标本,部分肝呈纤维化,内有一个灰白色质韧肿块,直径约3.5*3.5cm。家属过目后送病理检查。手术时手术者可开启Hisense CAS系统手势控制功能,对肿瘤的解剖结构进行实时、全方观察、评估,起到术中导航作用。
术后病理:
1.(肝肿块)肝细胞肝癌,II级,呈粗梁型、细梁型及假腺样生长,大小4*4*3.5cm,未侵及局部肝被膜,未累及肝断端,未见胆管壁侵犯及小胆管癌栓;脉管癌栓(+,M1),神经侵犯(-);肿物周围可见多灶卫星结节。2.结节性肝硬化(G2S4)。3.胆囊组织慢性炎,未见癌累及。免疫组化:Hepatocyte(+),GPC3(+),Arginase-1(+),GS(+),HSP70(+),CD10灶(+),CD34示肿瘤内毛细血管(+),VEGF(-),CK19灶(+),Ki-67阳性率约30%。特殊染色:网状纤维染色示肿瘤内网状纤维支架结构消失;Masson染色示肝组织内胶原纤维间隔形成。
随访情况:
患者术后一般情况良好,术后2周未见明显异常
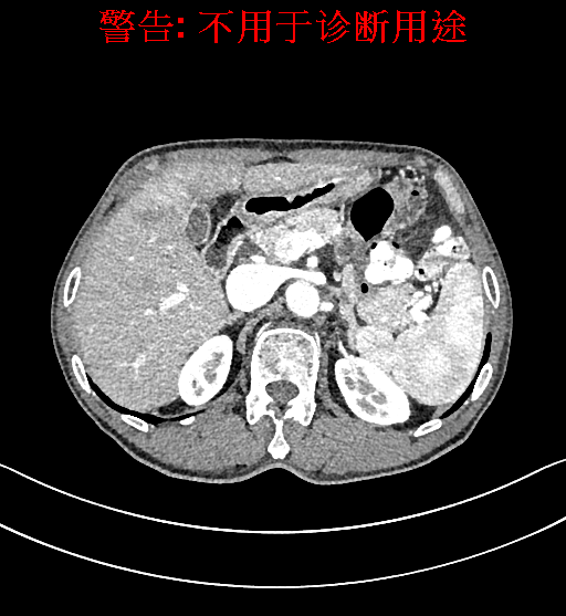
术前CT检查:
动脉期
静脉期
平衡期
术前三维重建:
重建图片
重建视频
您的浏览器不支持 video 标签。
您的浏览器不支持 video 标签。
您的浏览器不支持 video 标签。
您的浏览器不支持 video 标签。
more
merge