中文
|
English
首页
项目介绍
负责人介绍
学术委员会
Dong's肝脏分段体系
肝脏体积
成人肝脏体积
小儿肝脏体积
典型病例
正常肝脏数据库
成人正常肝脏
小儿正常肝脏
计算机辅助手术
肝脏肿瘤
成人肝脏肿瘤
小儿肝脏肿瘤
门脉高压症
脾脏疾病
先天性胆管扩张症
胰腺肿瘤
其他疾病
Couinaud 肝脏分段
数字医学概念
各数据库后台管理系统入口:
肝脏数据库
胆道数据库
胰腺数据库
Dong's肝脏分型数据库
肝脏体积数据库
肝脏门静脉数据库
肝静脉数据库
肝脏肿瘤-CH-001-LT-001803
您的浏览器不支持 video 标签。
一般情况:CH-001-LT-001803,男 58岁, 168cm ,65kg。
主诉:查体发现肝内肿瘤2天。
现病史:患者2天余前行增强CT考虑肝恶性肿瘤,无伴发热、畏寒,无恶心、呕吐,无腹痛、腹胀、腹泻,为求进一步诊治,遂于我院门诊就诊,门诊以“肝恶性肿瘤”收入我科。患者自起病以来,精神可,睡眠可,饮食可,大小便正常,体重近期未见明显变化。
查体:腹部平坦,对称,无腹壁静脉曲张,无胃肠型和蠕动波,腹部柔软,无压痛及反跳痛,未触及异常包块。肝、脾肋下未触及、质软、无压痛,Murphy氏征阴性。腹部叩诊:肝上界在右锁骨中线第五肋间,肝、肾区无叩击痛,无移动性浊音。肠鸣音正常,4次/分。未听到血管杂音。
整理:王凤娇,禚孝颖,王菲菲 3D:周显军,朱呈瞻
辅助检查:
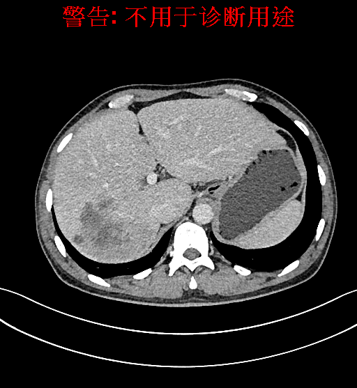
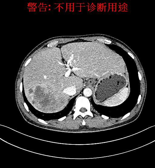
上腹部增强CT示肝右叶多发低密度结节、片团影伴肝门区、肝胃间隙多发肿大淋巴结,原发性肝Ca可能性大,请结合临床肝硬化肝脏小囊肿。
实验室检查:
血常规:WBC 6.78*109/L ,NEU 4.57*109/L ,EO%0.30% ,RBC 4.53*1012/L, HB 145.00g/L, PLT 135.00*109/L
生化全套:ALT 63.00U/L AST 61.00U/L ALT/AST 1.03 TP 80.37g/L ALB 43.08g/L GGT 117.00U/L A/G 1.16 ADA 22.00U/L CHE 5506.00U/L BUN 6.83mmol/L CREA 56.00umol/L
肿瘤标志物:AFP2.98ng/mL CEA2.41ng/mL CA19-9 183.40U/ml
肝炎全套: HAV-IgM 0.14S/CO HBcIgM 0.080S/CO HCV-cAg 0.08S/CO HEV-IgM 0.03S/CO HBeAg 0.237S/CO Anti-HBe 1.520S/CO Anti-HBc0.140S/CO
诊疗过程:
CT结果输入海信CAS系统后行3D重建及手术规划后,于2018-4-18全麻下行“胆囊切除+胆总管囊肿切除+肝总管空肠吻合术”手术治疗:
术前三维重建及手术方案设计:
将0.625mm双源薄层CT资料的静脉期和动脉期Dicom格式文件导入海信CAS系统。
通过调节窗宽窗位调整CT序号,对肝实质,胆囊,下腔静脉,肿瘤,肝动脉、门静脉及肝静脉等进行三维重建;系统自动计算肝脏体积,模拟手术操作,自动计算切除肿瘤体积。肝脏体积为2064ml,肿瘤体积为309.2ml,肿瘤体积为肝脏体积的14.98%,通过比对50-60岁正常肝脏体积为1343.28±246.69 ml,通过术前模拟手术,精准判断切除后剩余肝脏体积能耐受,避免肝衰竭发生。
手术步骤:
麻醉成功后,病人平卧位,常规碘伏消毒手术区皮肤,铺无菌巾、单。取右肋缘下切口,分层入腹,纱布垫护皮,上框架拉钩。 探查见:肝脏轻度硬化改变,质地及形态可,肝右后叶Ⅵ、Ⅶ段可见多个肿瘤,灰白色,质硬,大者直径约7cm,肿瘤紧靠Ⅴ、Ⅷ段。探查腹腔内未见明显转移,考虑患者丙肝肝硬化,行右半肝切除则剩余肝脏体积小,肝脏衰竭可能性大,决定行扩大肝右后叶切除术。断肝圆韧带,镰状韧带至第二肝门,断肝右三角韧带,冠状韧带,肝结肠韧带,游离右半肝。分离第一肝门,解剖肝固有动脉右支及门静脉右支,套入橡皮条,切肝过程中间断阻断以减少出血,沿肿瘤边缘约1cm,依次钳夹、切断、结扎肝断面各结构,双重结扎门静脉右后叶支及肝右静脉,切除肿瘤及部分肝组织(肝Ⅵ、Ⅶ段切除+部分Ⅴ、Ⅷ段切除)。断面渗血处分别缝扎止血,温蒸馏水3000ml冲洗腹腔,止血,于肝断面旁放置引流管1根于右侧腹壁穿孔引出。清点纱布器械无误,分层缝合腹壁切口。术中出血约800ml,输红细胞2U。术后血压115/70mmHg,术后病人安返病房。手术顺利,麻醉满意,解剖标本,肝右后叶多发肿块,大者直径约7cm,切面灰白色,质硬,家属过目后送病理检查。手术时手术者可开启Hisense CAS系统手势控制功能,对肿瘤的解剖结构进行实时、全方观察、评估,起到术中导航作用。
术后病理:
(右半肝)中分化胆管细胞癌(大小9*7*6cm),侵及肝被膜,未累及肝断端;送检胆囊旁淋巴结内未见癌转移(0/5)。免疫组化:CK7(+),CK20(-),CK19(+),CDX-2(-),Villin(+),Hepatocyte(-),S100示神经侵犯(-),SATB2(-),经CD31染色间质脉管内未见癌栓形成,Ki-67(+)约20%。
随访情况:
术后2周随访恢复可
术前CT检查:
动脉期
静脉期
平衡期
术前三维重建:
重建图片
重建视频
您的浏览器不支持 video 标签。
您的浏览器不支持 video 标签。
您的浏览器不支持 video 标签。
您的浏览器不支持 video 标签。
more
merge