肝母细胞瘤-CH-001-LT-000235


      一般情况:CH-001-LT-000235,6月足月产女性患儿,体重7.5kg,
     主诉:发现腹部肿物1周。
      现病史:1周前,患儿因“上呼吸道感染”到当地医院就诊,行B超检查偶然发现腹部肿物,无发热,无恶心、呕吐,无呼吸困难,无腹痛、腹泻,无大便带血,提示“肝占位”。
     查体:腹部膨隆,腹壁静脉未见迂曲扩张,未见胃肠型及蠕动波。腹软,腹部触及一巨大肿物,至右髂窝,约20×15cm大小,质硬,边界不清,活动度差,无压痛、反跳痛,肝脾肋下未及。移动浊音(-),肠鸣音4次/分。

整理:崔楷悦,吴萤      3D:周显军,朱呈瞻
辅助检查: 下腹部增强CT示:考虑肝母细胞瘤可能性大。

实验室检查:
血常规:WBC 12.67*10~9/L NEU 3.90*10~9/L RBC 3.77*10~12/L HB 86g/L PLT905*10~9/L
生化全套:ALT 34.00U/L AST 87.00U/L TP 63.71g/L ALB 41.40g/L GGT 496.00U/L BIL-T 20.10umol/L BIL-D 6.47umol/L BUN 1.63mmol/L CREA 33.00umol/L T-CHO 7.88mmol/L Trig 1.87mmol/L
肿瘤标志物:AFP>1210.00ng/mL CEA1.85ng/mL CA19-922.47U/ml
肝炎全套: HAV-IgM 0.10S/CO HBcIgM 0.030S/CO HCV-cAg 0.08S/CO HEV-IgM 0.03S/CO HBeAg 0.285S/CO Anti-HBe 1.900S/CO Anti-HBc 0.040S/CO
炎症反应标志物:CRP 11.94mg/l

诊疗过程:
CT结果输入海信CAS系统后行3D重建及手术规划后,于2016-2-26全麻下行“右半肝切除术”手术治疗:

术前三维重建及手术方案设计:
将0.625mm双源薄层CT资料的静脉期和动脉期Dicom格式文件导入海信CAS系统。
通过调节窗宽窗位调整CT序号,对肿瘤,肝实质,胆囊,下腔静脉,肿瘤,肝动脉、门静脉及肝静脉等进行三维重建;系统自动计算肿瘤体积和肝脏体积。
模拟手术操作,自动计算切除肿瘤体积。肝脏体积为257.1ml,肿瘤体积为542.8ml,肿瘤体积为肝脏体积的2.11倍,通过比对6-9月正常肝脏体积为257.75±51.05 ml,通过术前模拟手术,精准判断切除后剩余肝脏体积能耐受,避免肝衰竭发生。

术前手术方案的规划。

手术步骤:
麻醉成功后,病人平卧位,常规碘伏消毒手术区皮肤,铺无菌巾、单。取右肋缘下切口,分层入腹。探查见:右半肝脏肿瘤病变,表面呈结节样,直径15cm圆形肿块,质韧,未侵及肝被膜,决定行右半肝部分切除术。断肝右三角韧带,冠状韧带,肝结肠韧带,游离右半肝。结扎肝脏血管后,隆美尔阻断肝门。沿肿瘤边缘约1cm,库萨切除肿瘤,依次钳夹、切断肝脏血管及肝内胆管,切除肿瘤及部分肝组织。断面渗血处分别电凝止血,填塞止血敷料后,将创面对拢缝合。温盐水冲洗腹腔,于肝断面旁放置引流管1根于右侧腹穿孔引出。清点纱布器械无误,分层缝合腹壁切口。术后病人安返PACU。手术顺利,麻醉满意,解剖标本,家属过目后送病理检查,结果回示:(右半肝)肝母细胞瘤(大小11*9*8cm,混合性上皮和间叶型)。手术时手术者可开启Hisense CAS系统手势控制功能,对肿瘤的解剖结构进行实时、全方观察、评估,起到术中导航作用。

术后病理:
(右半肝)肝母细胞瘤(大小11*9*8cm,混合性上皮和间叶型),未累及肝断端。肿瘤构成于上皮及间叶性成分,上皮成分为胎儿及胚胎型混合型,间叶成分见纤维组织及骨样组织。肿瘤内见小灶状髓外造血。术后给予禁饮食、抗生素预防感染、静脉营养及对症支持治疗,患儿恢复良好,伤口无渗血渗液,无红肿疼痛,于2016-3-09出院。

随访情况:
随访3天,肝脏术后所见,双侧胸腔积液。
肝切除术后肝脏体积1周:1周:□ml 1月:□ml 3月:□ml 6月:□ml 1年:□ml

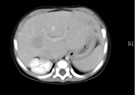
术前CT检查:动脉期

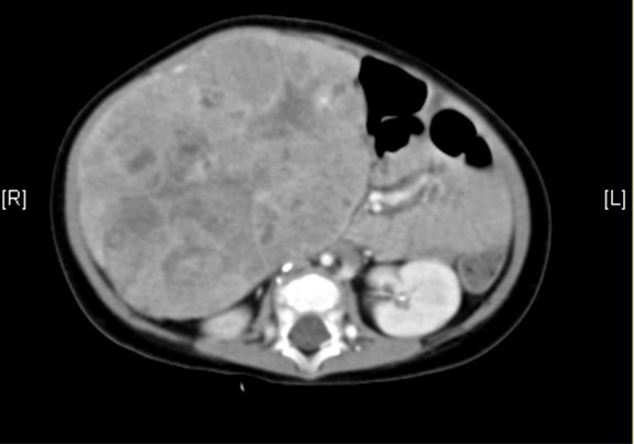
静脉期

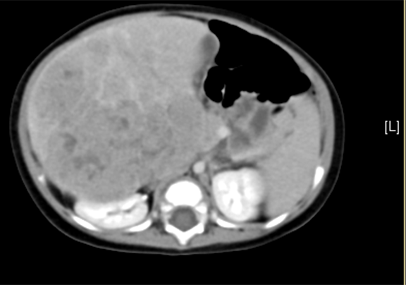
平衡期

术前三维重建:重建图片


重建视频
more