中文
|
English
首页
项目介绍
负责人介绍
学术委员会
Dong's肝脏分段体系
肝脏体积
成人肝脏体积
小儿肝脏体积
典型病例
正常肝脏数据库
成人正常肝脏
小儿正常肝脏
计算机辅助手术
肝脏肿瘤
成人肝脏肿瘤
小儿肝脏肿瘤
门脉高压症
脾脏疾病
先天性胆管扩张症
胰腺肿瘤
其他疾病
Couinaud 肝脏分段
数字医学概念
各数据库后台管理系统入口:
肝脏数据库
胆道数据库
胰腺数据库
Dong's肝脏分型数据库
肝脏体积数据库
肝脏门静脉数据库
肝静脉数据库
肝硬化
您的浏览器不支持 video 标签。
一般情况:CH-001-N-000294,11岁男性患儿,身高146cm,体重28kg,
主诉:纳差、呕吐、腹泻4年半,活动后胸闷、憋气1年半。
现病史:患者4年半前无明显诱因出现纳差、腹泻、呕吐,就诊于首都儿科研究所附属儿童医院,行腹部CT示:肝门区见增多迂曲血管,脾脏体积明显增大,脾门旁及胃底见明显迂曲增多的血管,肠系膜上动脉于腹主动脉夹角约20度,深静脉通过夹角处前后径约1.6mm,左肾静脉最宽处8.7mm,诊断为门静脉高压,脾功能亢进,食管静脉曲张,门脉海绵样变性。给予对症治疗,患者症状好转,予以出院。2014-11-9出现活动后胸闷、憋气,伴口唇紫绀,就诊于首都儿科研究所附属儿童医院,行腹腔探查+门静脉造影+脾动脉结扎+胃底周围血管结扎术。术中取肝脏组织一块,病理示:门脉高压可能性大。术后病情无明显缓解,活动后胸闷、憋气及口唇紫绀症状逐渐加重。2015-1-5就诊于解放军302医院,病理科会诊意见:肝组织内中央静脉周围纤维组织增生,区域性肝细胞水样变性,汇管区内胆管结构尚可辨,炎症病变不明显。病理诊断:肝静脉阻塞症,建议行同种异体肝移植术。
查体:腹部平坦,未见胃肠型及蠕动波。无腹壁静脉曲张。腹肌软,无压痛,无反跳痛。Murphy征阳/阴性。脾脏肿大,未触及肝、肾及其他肿块。腹部叩诊呈鼓音,肝上界在右锁骨中线第五肋间。肝、肾区无叩痛,无移动性浊音。肠鸣音4-5次/分,未闻及血管杂音。
整理:崔楷悦,吴萤 3D:周显军,朱呈瞻
辅助检查:
下腹部增强CT示:考虑肝硬化、脾大、门脉高压、侧枝循环形成、腹水可能性大。
实验室检查:
血常规:WBC 2.19*10~9/L NEU 1.86*10~9/L RBC 3.08*10~12/L HB 99g/L PLT 39*10~9/L
生化全套:ALT 141.00U/L AST 214.00U/L TP 55.65g/L ALB 39.07g/L GGT 26.00U/L BIL-T 53.64umol/L BIL-D 27.39umol/L BUN 3.30mmol/L CREA 41.00umol/L T-CHO 1.44mmol/L Trig 0.75mmol/L
肝炎全套: HAV-IgM 0.10S/CO HBcIgM 0.21S/CO HCV-cAg 0.08S/CO HEV-IgM 0.03S/CO HBeAg 0.357S/CO Anti-HBe 1.85S/CO Anti-HBc 0.09S/CO
诊疗过程:
CT结果输入海信CAS系统后行3D重建及手术规划后,于2016-6-28全麻下行“劈离式肝移植(左半肝,背驮式)”手术治疗。
术前三维重建及手术方案设计:
将0.625mm双源薄层CT资料的静脉期和动脉期Dicom格式文件导入海信CAS系统。
通过调节窗宽窗位调整CT序号,对肝实质,胆囊,下腔静脉,肝动脉、门静脉及肝静脉等进行三维重建,明确血管走行;系统自动计算肝脏体积。
模拟手术操作,肝脏体积为1052ml,通过比对11-12岁正常肝脏体积为1116.86±158.78ml,建议进行肝移植手术。
术前手术方案的规划。
手术步骤:
麻醉满意后,患者取平卧位,腰部垫高,常规消毒手术区皮肤,铺无菌巾,手术取上腹部 "人"字切口,切口长约20cm。逐步切开皮肤、皮下组织、肌肉各层及腹膜进入腹腔,探查见肝脏暗红色,质韧,结节状肝硬化,腹水(-),腹腔无粘连。决定行劈裂式肝移植(左半肝,背驮式)。电刀松解离断镰状韧带和左侧冠状韧带,左侧三角韧带离断后缝扎。自小网膜孔起向肝上下腔静脉方向分次结扎离断肝胃韧带;继续轻柔操作分离解剖第一肝门,靠近肝脏游离出肝动脉直径约0.4cm,向上游离肝右动脉/肝左动脉、肝右前/右后动脉,肝门处游离门静脉主干及分叉,胆囊管以上平面游离出胆道直径约0.6cm。解剖第二肝门,游离出肝右、肝左及肝中静脉共干。游离肝脏右叶,钝锐性结合离断右三角韧带、右肝肾韧带至下腔静脉右侧缘侧,结扎右肾上腺静脉,分离下腔静脉右侧缘。分离第三肝门,细小肝短静脉一一结扎或缝扎。将整个肝脏与下腔静脉完全游离。台下修整供肝,供肝肝静脉为肝左静脉,肝动脉为肝左动脉,供肝质量好,644g。向肝内挖出肝静脉、门静脉、胆道及肝动脉。将受体肝中肝左静脉横行剪开与肝右静脉修剪成型,以4-0Prolene线将供肝肝左静脉与受体以背驮式植入,门静脉主干与供体门静脉左支以(5-0 Prolene线)行端端吻合,门脉吻合完毕后开放血流,门静脉开放前放血约50ml。血流开放后,供肝色泽正常,质地柔软。依次检查各吻合口无渗血,将患者侧肝右前/右后动脉分叉修整成袢,以8-0 Prolene线将供肝肝固有动脉和受体端端缝合,动脉开放后血流好,修剪受体胆总管(直径0.6cm),探查胆管下端通畅,以6-0可吸收PDS线与供体胆道(胆道左支)作对端缝合,放置8号T管。确切止血,检查腹腔内无出血后,于肝断面及左肝下放置乳胶管2根及T管自腹壁引出固定。清点纱布及器械无误,逐层缝合腹壁各层。台下解剖病肝,发现肝脏硬化严重,向家属展示病肝、介绍手术经过后送病理学检查。病理结果显示:肝组织呈慢性炎,(供肝)送检极少许肝组织伴出血及急慢性炎细胞浸润,局灶伴退变坏死。手术时手术者可开启Hisense CAS系统手势控制功能,对肿瘤的解剖结构进行实时、全方观察、评估,起到术中导航作用。
术后病理:
术后病理送检肝组织呈慢性炎,部分区域伴脂肪变性,肝小叶结构紊乱,小叶间纤维组织及小胆管增生,小叶内见多发血管扩张,部分区域间质血管增生扩张伴慢性炎细胞浸润。肝断端处小叶结构紊乱伴出血及片状退变坏死,局灶血管壁坏死伴腔内中性粒细胞浸润。(供肝)送检极少许肝组织伴出血及急慢性炎细胞浸润,局灶伴退变坏死。术后给予他克莫司、激素免疫抑制方案,常规保肝、利胆、营养支持、改善氧合、高压氧等支持治疗,术后恢复可,于2016-8-8出院。
随访情况:
随访1月余复查CT,腹盆腔少量积液。
肝切除术后肝脏体积1周:1周:□ml 1月:□ml 3月:□ml 6月:□ml 1年:□ml
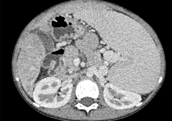
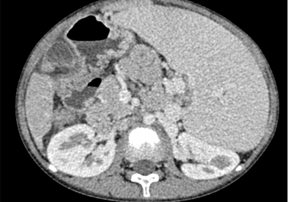
术前CT检查:
动脉期
静脉期
术前三维重建:
重建图片
重建视频
您的浏览器不支持 video 标签。
您的浏览器不支持 video 标签。
您的浏览器不支持 video 标签。
您的浏览器不支持 video 标签。
more
merge