中文
|
English
首页
项目介绍
负责人介绍
学术委员会
Dong's肝脏分段体系
肝脏体积
成人肝脏体积
小儿肝脏体积
典型病例
正常肝脏数据库
成人正常肝脏
小儿正常肝脏
计算机辅助手术
肝脏肿瘤
成人肝脏肿瘤
小儿肝脏肿瘤
门脉高压症
脾脏疾病
先天性胆管扩张症
胰腺肿瘤
其他疾病
Couinaud 肝脏分段
数字医学概念
各数据库后台管理系统入口:
肝脏数据库
胆道数据库
胰腺数据库
Dong's肝脏分型数据库
肝脏体积数据库
肝脏门静脉数据库
肝静脉数据库
肝细胞性肝癌-CH-001-LT-000367
您的浏览器不支持 video 标签。
一般情况:CH-001-LT-000367,71岁男性患者,身高180cm,体重85.00kg,
主诉:体检发现肝占位性病变20天。
现病史:患者20天前于社区医院体检发现肝占位性病变,未诉不适,未予相关处理,6天前就诊于诸城中医医院,行上腹部增强CT:肝右叶后段肿块,考虑肝脏恶性肿瘤,仍未特殊处理,行消化系统超声示:慢性肝病,右肝结节,考虑肝Ca可能。
查体:腹部平坦,对称,无胃肠型及蠕动波,无腹壁静脉曲张。腹肌软,无压痛、反跳痛,Murphy征阴性。未触及肝、脾、肾及其他肿块。腹部叩诊呈鼓音,肝上界在右锁骨中线第五肋间。肝、肾区无叩痛,无移动性浊音。肠鸣音4-5次/分,未闻及血管杂音。
整理:崔楷悦,吴萤 3D:周显军,朱呈瞻
辅助检查:
下腹部增强CT示:肝右叶血管瘤可能性大 ,双肺慢性炎症,双肾囊肿。
实验室检查:
血常规:WBC 6.92*10~9/L NEU 3.81*10~9/L RBC 4.75*10~12/L HB 158.00g/L PLT159.00*10~9/L
生化全套:ALT 21.00U/L AST 16.00U/L TP 60.15g/L ALB 39.33g/L GGT 24.00U/L BIL-T 26.90umol/L BIL-D 10.30umol/L BUN 6.22mmol/L CREA 78.00umol/L T-CHO 3.23mmol/L
肿瘤标志物:AFP3.34ng/mL CEA1.55ng/mL CA19-915.10U/ml CA12510.56U/ml CA24-22.97IU/mL CA5016.26IU/mL
肝炎全套: HAV-IgM 0.10S/CO HBcIgM 0.020S/CO HCV-cAg 0.08S/CO HEV-IgM 0.03S/CO HBeAg 0.336S/CO Anti-HBe 1.140S/CO Anti-HBc8.630S/CO
诊疗过程:
CT结果输入海信CAS系统后行3D重建及手术规划后,于2016-4-29全麻下行“肝癌肝部分切除术”手术治疗:
术前三维重建及手术方案设计:
将0.625mm双源薄层CT资料的静脉期和动脉期Dicom格式文件导入海信CAS系统。
通过调节窗宽窗位调整CT序号,对肿瘤,肝实质,胆囊,下腔静脉,肿瘤,肝动脉、门静脉及肝静脉等进行三维重建;系统自动计算肿瘤体积和肝脏体积。
模拟手术操作,自动计算切除肿瘤体积。肝脏体积为1143ml,肿瘤体积为37.02ml,肿瘤体积为肝脏体积的3.2%,通过比对70-80岁正常肝脏体积为1118.08±190.14 ml,通过术前模拟手术,精准判断切除后剩余肝脏体积能耐受,避免肝衰竭发生。
术前手术方案的规划。
手术步骤:
麻醉成功后,病人平卧位,常规碘伏消毒手术区皮肤,铺无菌巾、单。取右肋缘下切口,分层入腹,纱布垫护皮,上框架拉钩。探查见:肝脏质地及形态可,右肝后叶Ⅶ段,可触及直径4cm不规则肿块。断肝圆韧带,镰状韧带至第二肝门,断肝右三角韧带,冠状韧带,肝结肠韧带,游离右半肝,沿肿瘤边缘约1cm,依次钳夹、切断、结扎肝断面各结构,切除肿瘤及部分肝组织。断面渗血处分别缝扎止血,填塞止血敷料后,将创面对拢缝合。温蒸馏水3000ml冲洗腹腔,止血,于肝断面旁放置引流管1根于右侧腹壁穿孔引出。清点纱布器械无误,分层缝合腹壁切口。术中出血约 ml,未输血。术后血压135/75mmHg,术后病人安返病房。手术顺利,麻醉满意,解剖标本,肿块直径约4cm,灰白色,家属过目后送病理检查。结果回示:(肝肿瘤)较高分化肝细胞性肝癌。手术时手术者可开启Hisense CAS系统手势控制功能,对肿瘤的解剖结构进行实时、全方观察、评估,起到术中导航作用。
术后病理:
1、(肝VII段)肝细胞肝癌,II级,大小3.5*2.5cm,以实片状及假腺型生长方式,侵达局部肝被膜,未累及肝断端;脉管癌栓(-,M0),神经侵犯(-),未见确切小胆管内癌栓及胆管壁侵犯;肿物周围未见卫星结节;2、慢性肝炎,G2S2。术后给予保肝、抑酸、化痰、静脉营养支持等治疗,恢复尚可。于2016-5-09出院。
随访情况:
随访8天,复查CT肝部分切除术后所见,肝右后叶斑片状低密度影。
肝切除术后肝脏体积1周:1周:□ml 1月:□ml 3月:□ml 6月:□ml 1年:□ml
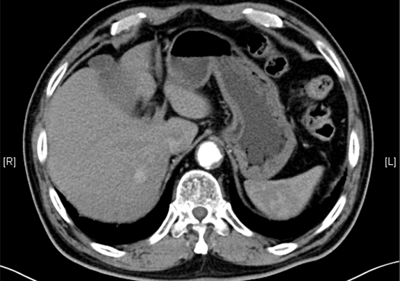
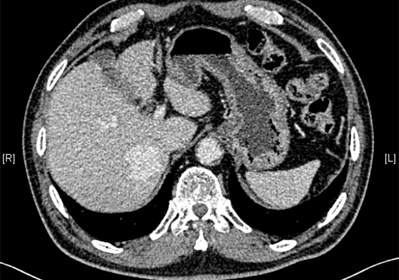
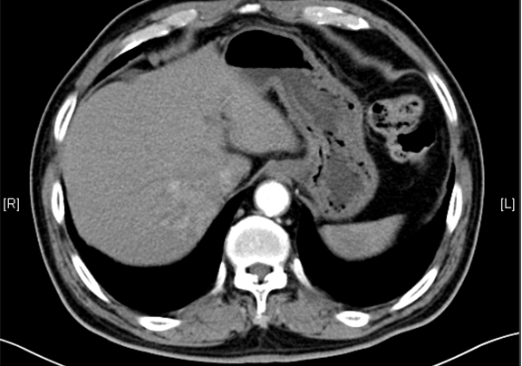
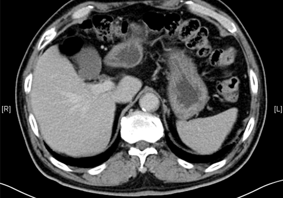
术前CT检查:
动脉期
静脉期
平衡期
术前三维重建:
重建图片
重建视频
您的浏览器不支持 video 标签。
您的浏览器不支持 video 标签。
您的浏览器不支持 video 标签。
您的浏览器不支持 video 标签。
more
merge