肝组织化脓性炎症-CH-001-LT-000368


      一般情况:CH-001-CT-000368,70岁男性,身高158cm,体重70kg,
      主诉:查体发现肝占位9天。
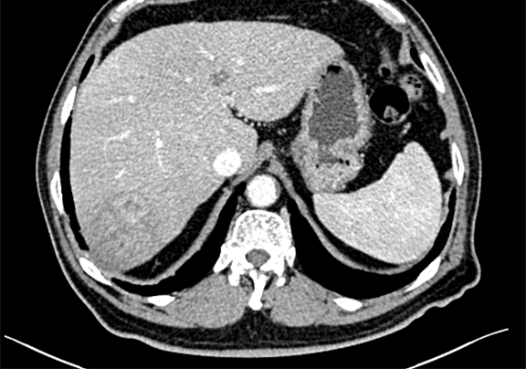
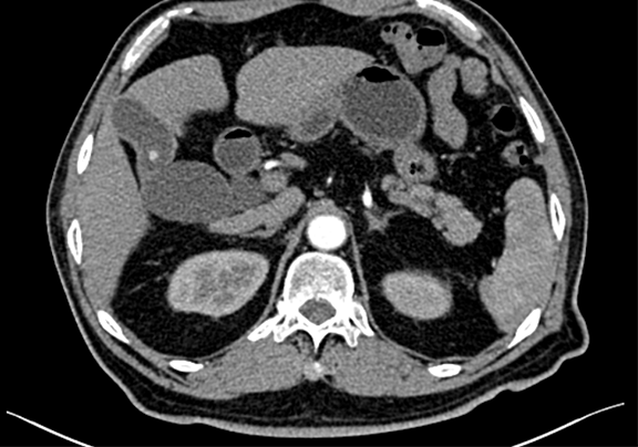
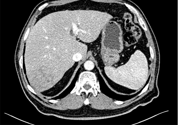
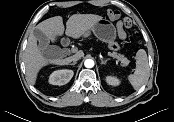
      现病史:患者9天前无明显诱因查体发现肝内占位性病变,右侧肋缘下轻度触痛,无区域放射,尚可耐受,与体位、活动无关,偶发间断性头晕、头痛,自诉50余年胆囊结石病史,无予以特殊治疗及药物服用,无恶心、呕吐,无腹痛、腹胀,无右侧肩部放射痛,无胸闷、胸痛,无咳嗽、咳痰,无睡眠障碍,小便轻度尿刺痛感,饮食正常,2016-05-23于我院行健康查体显示:肝脏体积正常,肝内呈细密点状回声,欠均匀,探及一枚等低回声结节,大小约6.0cm ×5.0cm 呈椭圆形,内部回声较均匀,胆囊大小形态正常,毛糙,内见一乳头样高回声,大小约0.7cm ×0.6cm 不随体位移动,后方无声影,囊腔内可见强回声,呈泥沙样及胆泥样,范围约4.2cm× 1.9cm 后伴声影,随体位改变移动。脂肪肝(轻度)肝内结节 考虑血管瘤,建议CT随访,胆囊息肉,胆囊炎并胆囊结石,患者自发病以来未予以特殊治疗及用药。
     查体:腹部平坦,对称,无腹壁静脉曲张,无胃肠型和蠕动波,腹部柔软,右侧肋缘下轻度压痛,无反跳痛,未触及异常包块。肝、脾肋下未触及、质软、无压痛,Murphy氏征阴性。腹部叩诊:肝上界在右锁骨中线第五肋间,肝、肾区无叩击痛,无移动性浊音。肠鸣音正常,4次/分。未听到血管杂音。

整理:崔楷悦,吴萤      3D:周显军,朱呈瞻
辅助检查: 肝右叶肿块,肝Ca?

实验室检查:
血常规:WBC 4.50*10~9/L NEU 2.17*10~9/L RBC 4.28*10~12/L HB 126g/L PLT 358*10~9/L
生化全套:ALT 49.00U/L AST 38.00U/L TP 72.48g/L ALB33.14g/L GGT 146.00U/L BIL-T 8.42umol/L BIL-D 4.28umol/L BUN 5.00mmol/L CREA 85.00umol/L T-CHO 4.90mmol/L Trig 0.98mmol/L
肿瘤标志物:AFP3.73ng/mL CEA2.58ng/mL CA19-99.37ng/mL CA125 25.89ng/mL
肝炎全套: HAV-IgM 0.10S/CO HBcIgM 0.020S/CO HCV-cAg 0.08S/CO HEV-IgM 0.03S/CO HBeAg 0.43S/CO Anti-HBe 1.94S/CO Anti-HBc 0.100S/CO

诊疗过程:
CT结果输入海信CAS系统后行3D重建及手术规划后,于2016-6-8全麻下行“腹腔镜下肝部分切除术”手术治疗:

术前三维重建及手术方案设计:
将0.625mm双源薄层CT资料的静脉期和动脉期Dicom格式文件导入海信CAS系统。
通过调节窗宽窗位调整CT序号,对肿瘤,肝实质,胆囊,下腔静脉,肿瘤,肝动脉、门静脉及肝静脉等进行三维重建;系统自动计算肿瘤体积和肝脏体积。
模拟手术操作,自动计算切除肿瘤体积。肝脏体积为1399ml,肿瘤体积为75.3ml,肿瘤体积为肝脏体积的5.4%,通过比对70-80岁正常肝脏体积为1118.08±190.14 ml,通过术前模拟手术,精准判断切除后剩余肝脏体积能耐受,避免肝衰竭发生。

术前手术方案的规划。

手术步骤:
麻醉成功后,病人平卧位,常规碘伏消毒手术区皮肤,铺无菌巾、单。于右下腹脐旁切口约2cm,建立CO2人工气腹,置入10mm Trocar,腹内压11-13mmHg,放入腹腔镜冷光源。 探查:肝脏色暗红,肝Ⅶ段可见一结节,大小约2*3cm,边界清,突出于肝表面。胆囊(-),胃肠(-),腹水(-),决定行“腹腔镜下肝脏部分切除术”。于上腹部、左上腹、左上腹、右上腹、右上腹分别穿孔置入12mm、5mm、5mm、10mm、5mmTrocar。使用超声刀断肝圆韧带,镰状韧带至第二肝门,断肝右三角韧带,冠状韧带,肝结肠韧带,游离右半肝,阻断第一肝门,沿肿瘤边缘约2cm用超声刀依次钳夹、切断肝断面各结构,完整切除肿瘤及邻近部分肝组织。断面渗血处应用电凝钩电凝止血,肝断面填塞止血敷料一块,于肝断面下放置24号引流管一根自右上腹部孔穿出,取出切除之肝肿瘤及邻近部分肝组织,送冰冻病理检查示:“(肝组织)肝组织呈慢性化脓性炎伴坏死及较多纤维组织及组织细胞增生”,检查无活动性出血,清点器械、纱布无误。拔出套管,放出CO2,关闭切口。手术顺利,麻醉满意,术后血压135/75mmHg,术后病人安全返回病房。标本家属过目后送病理。病理检查结果:(肝组织)肝组织呈慢性化脓性炎伴坏死及较多纤维组织及组织细胞增生。手术时手术者可开启Hisense CAS系统手势控制功能,对肿瘤的解剖结构进行实时、全方观察、评估,起到术中导航作用。

术后病理:
术后病理提示肝组织内呈多灶性化脓性炎伴坏死,可见多量纤维组织及吞噬细胞增生并大量小胆管增生。术后给予抗炎、补液、止血等对症支持治疗,患者恢复良好,伤口无渗血渗液,无红肿疼痛,于2016-6-19出院。

随访情况:
随访1月复查CT,肝术后所见,肝右后叶改变,较前减少,建议临床进一步检查;胆总管末端结石并肝内外胆管略扩张,请结合临床进一步检查。
肝切除术后肝脏体积1周:1周:□ml 1月:□ml 3月:□ml 6月:□ml 1年:□ml

术前CT检查:动脉期

静脉期

术前三维重建:重建图片


重建视频

more