中文
|
English
首页
项目介绍
负责人介绍
学术委员会
Dong's肝脏分段体系
肝脏体积
成人肝脏体积
小儿肝脏体积
典型病例
正常肝脏数据库
成人正常肝脏
小儿正常肝脏
计算机辅助手术
肝脏肿瘤
成人肝脏肿瘤
小儿肝脏肿瘤
门脉高压症
脾脏疾病
先天性胆管扩张症
胰腺肿瘤
其他疾病
Couinaud 肝脏分段
数字医学概念
各数据库后台管理系统入口:
肝脏数据库
胆道数据库
胰腺数据库
Dong's肝脏分型数据库
肝脏体积数据库
肝脏门静脉数据库
肝静脉数据库
肝细胞肝癌伴坏死-CH-001-LT-000344
您的浏览器不支持 video 标签。
一般情况:CH-001-CT-000344,60岁男性,身高152cm,体重52kg,
主诉:查体发现肝血管瘤1天。
现病史:患者于1天前于当地医院查体发现肝血管瘤,无腰背部放射痛、皮肤巩膜黄染、恶心、呕吐、寒战、高热、腹泻、血便、咳嗽、咳痰、胸闷、气短、尿频、尿急、尿痛、血尿。患者自发病以来,精神状况良好,食欲可,睡眠良好,大便正常,小便正常,体重无明显变化。
查体:腹部平坦,对称,无腹壁静脉曲张,无胃肠型和蠕动波,腹部柔软,无压痛及反跳痛,未触及异常包块。肝、脾肋下未触及,Murphy氏征阴性。腹部叩诊:肝上界在右锁骨中线第五肋间,肝、肾区无叩击痛,无移动性浊音。肠鸣音正常,4次/分。未听到血管杂音。
整理:崔楷悦,吴萤 3D:周显军,朱呈瞻
辅助检查:
下腹部增强CT示:肝左外叶肝癌可能性大; 肝左内叶及右后叶海绵状血管瘤可能性大。
实验室检查:
血常规:WBC 7.94*10~9/L NEU 5.47*10~9/L RBC 4.80*10~12/L HB 140g/L PLT 174*10~9/L
生化全套:ALT 50.00U/L AST 40.00U/L TP 67.11g/L ALB 39.65g/L GGT 99.00U/L BIL-T 19.97umol/L BIL-D 6.76umol/L BUN 5.88mmol/L CREA 75.00umol/L T-CHO 4.55mmol/L Trig 0.61mmol/L
肿瘤标志物:AFP>1210.00ng/mL CEA2.39ng/mL CA19-98.58ng/mL CA12526.31ng/mL CA506.94ng/mL
肝炎全套: HAV-IgM 0.10S/CO HBcIgM 0.100S/CO HCV-cAg 0.24S/CO HEV-IgM 0.03S/CO HBeAg 0.302S/CO Anti-HBe 0.010S/CO Anti-HBc 10.910S/CO
诊疗过程:
CT结果输入海信CAS系统后行3D重建及手术规划后,于2016-7-15全麻下行“腹腔镜下肝左外叶切除术”手术治疗:
术前三维重建及手术方案设计:
将0.625mm双源薄层CT资料的静脉期和动脉期Dicom格式文件导入海信CAS系统。
通过调节窗宽窗位调整CT序号,对肿瘤,肝实质,胆囊,下腔静脉,肿瘤,肝动脉、门静脉及肝静脉等进行三维重建;系统自动计算肿瘤体积和肝脏体积。
模拟手术操作,自动计算切除肿瘤体积。肝脏体积为970.6ml,肿瘤体积为277.2ml,肿瘤体积为肝脏体积的28.6%,通过比对60-70岁正常肝脏体积为1262.7±284.31 ml,通过术前模拟手术,精准判断切除后剩余肝脏体积能耐受,避免肝衰竭发生。
术前手术方案的规划。
手术步骤:
麻醉成功后,病人平卧位,常规碘伏消毒手术区皮肤,铺无菌巾、单。于脐上切口约2cm,进气腹针,建立CO2人工气腹,腹内压11-13mmHg,置入11mm Trocar,放入腹腔镜冷光源。探查:肝脏轻度硬化,肿瘤位于肝左外叶,靠近镰状韧带,遂决定行肝左外叶切除术。胆囊(-),胃肠(-),腹水(-),于左上腹、右上腹分别穿孔置入10mm、5mm,10mm、5mmTrocar。电凝钩切断镰状韧带及肝圆韧带,抓钳辅助提起固定肝圆韧带,沿镰状韧带左侧边缘约1cm用超声刀依次分离肝组织,endo-GIA断门静脉左外叶支及肝左静脉支,完整切除肿瘤及邻近部分肝组织。断面渗血处应用电凝钩电凝止血,查无活动性出血,肝断面填塞止血敷料一块,取出标本。清点器械、纱布无误。拔出套管,放出CO2,关闭切口。术后血压115/75mmHg,术后病人安返PACU。手术时手术者可开启Hisense CAS系统手势控制功能,对肿瘤的解剖结构进行实时、全方观察、评估,起到术中导航作用。
术后病理:
术后病理提示1、(左外叶)肝细胞肝癌伴坏死,II-III级,范围9.5*5.5cm,以粗梁型及实片型生长方式,侵及局部肝被膜,未累及肝断端;脉管癌栓(+,M1),神经侵犯(-),未见确切小胆管内癌栓及胆管壁侵犯,肿物周围未见卫星结节。2、慢性肝炎,G2S3。手术顺利,术后给予抑酸、补液、抗感染及对症支持等治疗,现患者术后恢复可,于2016-7-26出院。
随访情况:
随访5月复查CT,肝左外叶术后改变;肝左内叶及右后叶斑片状稍低密度影,较前未见明显变化。
肝切除术后肝脏体积1周:1周:□ml 1月:□ml 3月:□ml 6月:□ml 1年:□ml
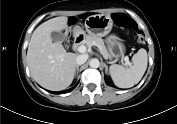
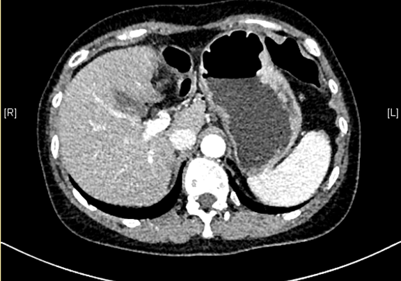
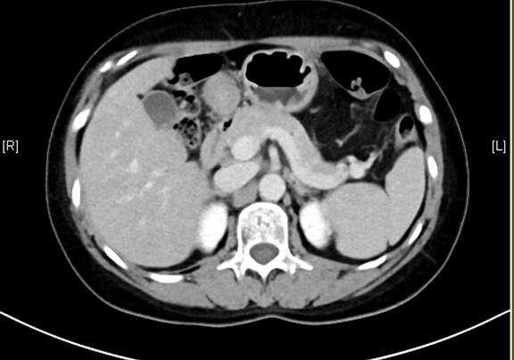
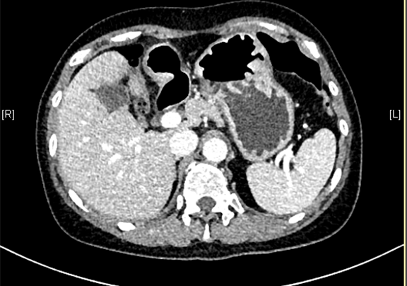
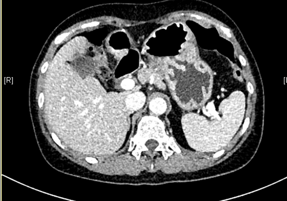
术前CT检查:
动脉期
静脉期
平衡期
术前三维重建:
重建图片
重建视频
您的浏览器不支持 video 标签。
您的浏览器不支持 video 标签。
您的浏览器不支持 video 标签。
您的浏览器不支持 video 标签。
more
merge