中文
|
English
首页
项目介绍
负责人介绍
学术委员会
Dong's肝脏分段体系
肝脏体积
成人肝脏体积
小儿肝脏体积
典型病例
正常肝脏数据库
成人正常肝脏
小儿正常肝脏
计算机辅助手术
肝脏肿瘤
成人肝脏肿瘤
小儿肝脏肿瘤
门脉高压症
脾脏疾病
先天性胆管扩张症
胰腺肿瘤
其他疾病
Couinaud 肝脏分段
数字医学概念
各数据库后台管理系统入口:
肝脏数据库
胆道数据库
胰腺数据库
Dong's肝脏分型数据库
肝脏体积数据库
肝脏门静脉数据库
肝静脉数据库
肝细胞肝癌--CH-001-LT-000369
您的浏览器不支持 video 标签。
一般情况:CH-001-LT-000369,46岁女性患者,身高170cm,体重65.00kg,
主诉:查体发现肝占位性病变20余天。
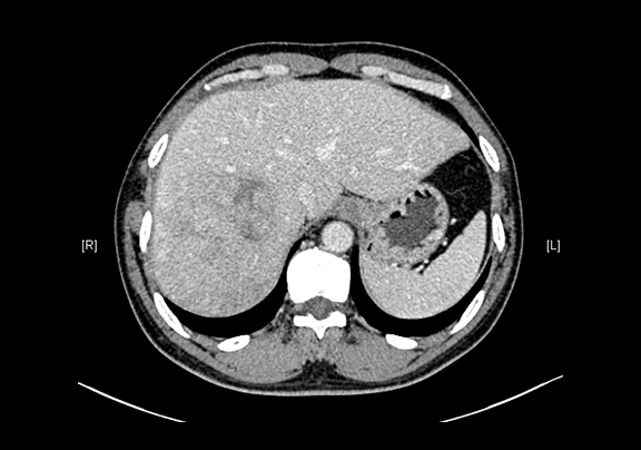
现病史:患者20余天前查体,行腹部超声检查时发现:肝右叶低回声结节,大小约5.8*4.7cm,无腹痛、腹胀,无腰背部放散痛、皮肤巩膜无黄染,无寒战、高热,无咳嗽、咳痰、胸闷、气短,无恶心、呕吐,无腹泻、血便,无尿频、尿急、尿痛、血尿。上腹部动态三维成像(增强)CT检查示,肝右后叶上段占位性病变,肿瘤性病变。
查体:腹部平坦,对称,无腹壁静脉曲张,无胃肠型和蠕动波,腹部柔软,无压痛及反跳痛,未触及异常包块。肝、脾肋下未触及,Murphy氏征阴性。腹部叩诊:肝上界在右锁骨中线第五肋间,肝、肾区无叩击痛,无移动性浊音。肠鸣音正常,4次/分。未听到血管杂音。
整理:崔楷悦,吴萤 3D:周显军,朱呈瞻
辅助检查:
下腹部增强CT示:肝右后叶上段占位性病变,肿瘤性病变,考虑肝癌合并出血可能性大,肝多发小囊肿
实验室检查:
血常规:WBC 5.65*10~9/L NEU 4.13*10~9/L RBC 4.34*10~12/L HB 129.00g/L PLT192.00*10~9/L
生化全套:ALT 14.00U/L AST 23.00U/L TP 69.82g/L ALB 41.16g/L GGT 13.00U/L BIL-T 18.60umol/L BIL-D 6.75umol/L BUN 3.38mmol/L CREA 70.00umol/L T-CHO 3.90mmol/L
肿瘤标志物:AFP81.25ng/mL CEA1.54ng/mL CA19-923.87U/ml CA12512.74U/ml CA24-25.27IU/mL CA5023.65IU/mL
肝炎全套: HAV-IgM 0.10S/CO HBcIgM 0.060S/CO HCV-cAg 0.08S/CO HEV-IgM 0.03S/CO HBeAg 19.071S/CO Anti-HBe 2.210S/CO Anti-HBc10.650S/CO
炎症反应标志物:CRP 3.16mg/l
诊疗过程:
CT结果输入海信CAS系统后行3D重建及手术规划后,于2016-5-14全麻下行“肝VII+VIII段切除术”手术治疗:
术前三维重建及手术方案设计:
将0.625mm双源薄层CT资料的静脉期和动脉期Dicom格式文件导入海信CAS系统。
通过调节窗宽窗位调整CT序号,对肿瘤,肝实质,胆囊,下腔静脉,肿瘤,肝动脉、门静脉及肝静脉等进行三维重建;系统自动计算肿瘤体积和肝脏体积。
模拟手术操作,自动计算切除肿瘤体积。肝脏体积为1308ml,肿瘤体积为106.1ml,肿瘤体积为肝脏体积的8.1%,通过比对40-50岁正常肝脏体积为1368.38±279.24 ml,通过术前模拟手术,精准判断切除后剩余肝脏体积能耐受,避免肝衰竭发生。
模拟手术操作,自动计算切除肿瘤体积。肝脏体积为2179ml,肿瘤体积为1000ml,肿瘤体积为肝脏体积的45.9%,通过比对40-50岁正常肝脏体积为1368.38±279.24 ml,通过术前模拟手术,精准判断切除后剩余肝脏体积能耐受,避免肝衰竭发生。
术前手术方案的规划。
手术步骤:
麻醉成功后,病人平卧位,常规碘伏消毒手术区皮肤,铺无菌巾、单。取上腹“人”字切口,分层入腹,纱布垫护皮。探查见:肝脏质地尚可,未见明显肝硬化,轻度脂肪肝。肝周围少量腹水。右肝VII、Ⅷ段交界处,可触及直径5cm质软不规则肿块,表面轻度破溃、呈灰白色。断肝圆韧带,镰状韧带至第二肝门,断肝右三角韧带,冠状韧带,肝结肠韧带。游离右半肝过程中,肿瘤组织经表面破溃口溢出,吸引器洗净肿瘤组织,蒸馏水冲洗腹腔,可见肿瘤破溃口出血,遂决定行肝VII、Ⅷ段切除术。沿肿瘤边缘约1cm,依次钳夹、切断、结扎肝断面各结构,切除肿瘤及部分肝组织。断面渗血处分别缝扎止血。为明确肝断面有无胆漏、行胆囊切除术。暴露胆囊三角,仔细分离胆囊三角,贴胆囊分离出胆囊管、胆囊动脉分别夹闭,切断。沿胆囊床剥离切除胆囊,取出胆囊。经胆囊管置入细硅胶管,经硅胶管打入生理盐水,可见肝断面胆漏,4-0 prolene缝合胆漏处胆管。温蒸馏水1000ml冲洗腹腔,查肝断面无活动性出血后填塞止血敷料。于肝断面旁放置引流管1根于右侧腹穿孔引出。清点纱布器械无误,分层缝合腹壁切口。术后血压120/68mmHg,术中出血约1000ml,输RBC 4u ,术后返PACU。手术顺利,麻醉满意,解剖标本,肿瘤破溃,其余部分切缘>1cm,内有灰白色质韧结节,送病理检查。结果回示:(肝VII、VIII段)肝细胞肝癌。手术时手术者可开启Hisense CAS系统手势控制功能,对肿瘤的解剖结构进行实时、全方观察、评估,起到术中导航作用。
术后病理:
1、(肝VII、VIII段)肝细胞肝癌,II级,范围5.3*5cm,以实片型及粗梁型生长方式为主,侵达局部肝被膜,未累及肝断端;脉管癌栓(+,M1),神经侵犯(-),未见确切小胆管癌栓及胆管壁侵犯;肿物周围未见卫星结节;
2、慢性肝炎,G2S2;
3、胆囊组织呈慢性炎,未见癌累及。
术后给予凯韦可抗感染,给予补液、保肝、抑酸、补充电解质等对症支持治疗,患者术后恢复好,于2016-5-23出院。
3、慢性胆囊炎,未见癌累及。
术后给予雾化、雾化、平喘、肠外营养等对症支持治疗,患者恢复良好,于2016-8-01出院。
随访情况:
随访7月,符合肝右后叶术改变,较前低密度影减小,肝多发小囊肿可能性大。
肝切除术后肝脏体积1周:1周:□ml 1月:□ml 3月:□ml 6月:□ml 1年:□ml
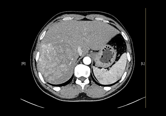
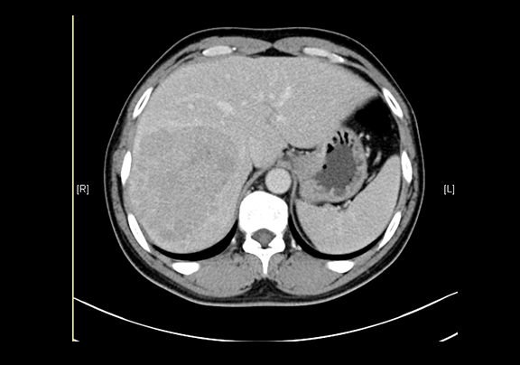
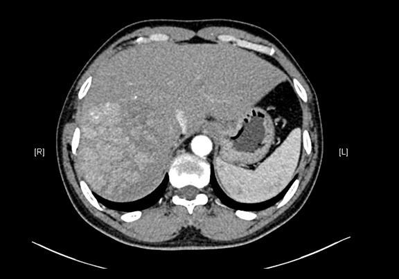
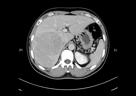
术前CT检查:
动脉期
静脉期
平衡期
术前三维重建:
重建图片
重建视频
您的浏览器不支持 video 标签。
您的浏览器不支持 video 标签。
您的浏览器不支持 video 标签。
您的浏览器不支持 video 标签。
more
merge