中文
|
English
首页
项目介绍
负责人介绍
学术委员会
Dong's肝脏分段体系
肝脏体积
成人肝脏体积
小儿肝脏体积
典型病例
正常肝脏数据库
成人正常肝脏
小儿正常肝脏
计算机辅助手术
肝脏肿瘤
成人肝脏肿瘤
小儿肝脏肿瘤
门脉高压症
脾脏疾病
先天性胆管扩张症
胰腺肿瘤
其他疾病
Couinaud 肝脏分段
数字医学概念
各数据库后台管理系统入口:
肝脏数据库
胆道数据库
胰腺数据库
Dong's肝脏分型数据库
肝脏体积数据库
肝脏门静脉数据库
肝静脉数据库
神经母细胞瘤-CH-001-LT-001088
您的浏览器不支持 video 标签。
一般情况:CH-001-LT-001088,3岁足月产男性患儿,身高100cm,体重17kg,
主诉:腹部膨隆1周。
现病史:1周前患儿家属发现患儿右侧腹部较对侧膨隆,进食前后无明显变化,无腹痛、腹胀,无恶心、呕吐,无发热、寒战,无低热、法力,无咳嗽、流涕,无呕吐、腹泻,于当地医院就诊,行B超检查,提示腹腔内占位,遂就诊于我科黄岛院区门诊,行CT检查提示“肝右叶占位”。
查体:右上腹部膨隆,无腹壁静脉曲张显露,无胃肠型和蠕动波,未见脐疝及腹股沟斜疝。右上腹部可触及大小约6*5cm质硬肿物,上缘不清,下缘位于右侧肋缘下3横指,肝脾肋下未触及。腹部叩诊呈鼓音,无移动性浊音。肠鸣音正常,3次/分。
整理:崔楷悦,吴萤 3D:周显军,朱呈瞻
辅助检查:
上腹部增强CT示:肝右后叶-右肾上腺区-右肾上极区域占位,考虑恶性肿瘤,肝母细胞瘤?并腹膜后转移。
实验室检查:
血常规:WBC 7.34*10~9/L NEU 4.15*10~9/L RBC 3.50*10~12/L HB 86g/L PLT483*10~9/L
生化全套:ALT 11.00U/L AST 27.00U/L TP 69.14g/L ALB 36.35g/L GGT 27.00U/L BIL-T 10.60umol/L BIL-D 3.70umol/L BUN 3.48mmol/L CREA 46.00umol/L T-CHO 4.42mmol/L Trig 1.45mmol/L
肿瘤标志物:AFP2.01ng/mL
肝炎全套: HAV-IgM 0.10S/CO HBcIgM 0.12S/CO HCV-cAg 0.08S/CO HEV-IgM 0.03S/CO HBeAg 0.348S/CO Anti-HBe 1.700S/CO Anti-HBc 0.150S/CO
炎症反应标志物:CRP 13.55mg/l
诊疗过程:
CT结果输入海信CAS系统后行3D重建及手术规划后,不建议给予手术治疗。
术前三维重建及手术方案设计:
将0.625mm双源薄层CT资料的静脉期和动脉期Dicom格式文件导入海信CAS系统。
通过调节窗宽窗位调整CT序号,对肿瘤,肝实质,胆囊,下腔静脉,肿瘤,肝动脉、门静脉及肝静脉等进行三维重建;系统自动计算肿瘤体积和肝脏体积。
模拟手术操作,自动计算切除肿瘤体积。肝脏体积为660.9ml,肿瘤体积为812.3ml,肿瘤体积为肝脏体积的122.9%,通过比对3-4岁正常肝脏体积为522.63±121.24 ml,肿瘤所占比例较大,且包裹右侧肾脏、及腹腔大血管,手术无法完整切除肿物,不建议给予手术治疗。
骨髓穿刺:
骨髓穿刺检查提示:M骨髓增生活跃,粒:红为1.12:1,片中未见特殊细胞。因肿瘤巨大,且包裹右侧肾脏、及腹腔大血管,手术无法完整切除肿物,拟行CT或B超引导下行穿刺活检,明确病理后制定下一步治疗计划,将明确病情及处理措施向患儿家属讲明,其表示知情理解,经家属商议后决定出院,于上级医院就诊。
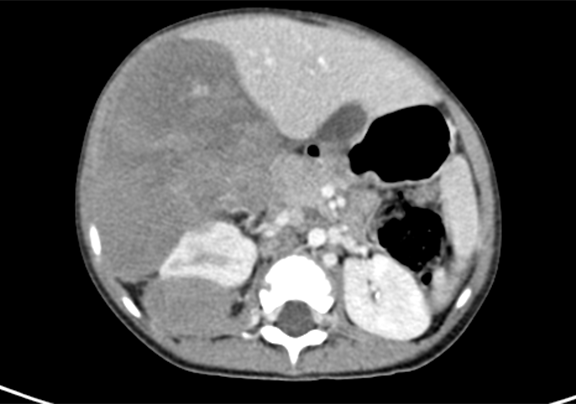
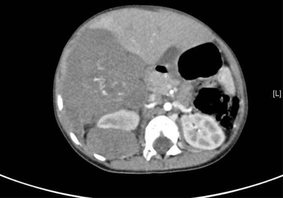
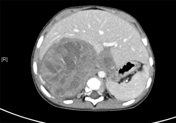
术前CT检查:
重建视频
您的浏览器不支持 video 标签。
您的浏览器不支持 video 标签。
您的浏览器不支持 video 标签。
您的浏览器不支持 video 标签。
动脉期
静脉期
平衡期
more
merge