中文
|
English
首页
项目介绍
负责人介绍
学术委员会
Dong's肝脏分段体系
肝脏体积
成人肝脏体积
小儿肝脏体积
典型病例
正常肝脏数据库
成人正常肝脏
小儿正常肝脏
计算机辅助手术
肝脏肿瘤
成人肝脏肿瘤
小儿肝脏肿瘤
门脉高压症
脾脏疾病
先天性胆管扩张症
胰腺肿瘤
其他疾病
Couinaud 肝脏分段
数字医学概念
各数据库后台管理系统入口:
肝脏数据库
胆道数据库
胰腺数据库
Dong's肝脏分型数据库
肝脏体积数据库
肝脏门静脉数据库
肝静脉数据库
胰腺肿瘤- CH-001-N-000003
您的浏览器不支持 video 标签。
一般情况:CH-001-N-000003,12岁足月产男性患儿,身高163cm,体重42kg,
主诉:腹痛半天。
现病史:半天前患儿无明显诱因出现腹痛,以左上腹为著,呈持续性,阵发性加重,伴有呕吐,为胃内容物,于当地医院就诊,行B超检查示:胰尾部占位,于我院黄岛分院就诊,行CT检查,示:腹腔内占位,现为进一步治疗收入我科。患儿自发病来,精神、饮食差,睡眠可,大小便无异常。
查体:腹平,未见胃肠型及蠕动波,肝脾未及,无包块,无腹肌紧张,左上腹部有压痛,无反跳痛,叩鼓,移动性浊音(-),肠鸣音4次/分。
整理:崔楷悦,吴萤 3D:周显军,朱呈瞻
辅助检查:
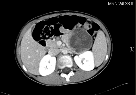
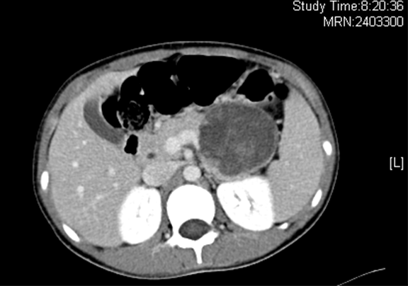
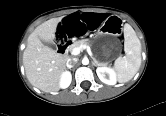
上腹部增强CT+三维:胰腺体尾部囊实性占位病变,考虑偏良性肿瘤可能性大,建议MR 进一步检查
实验室检查:
血常规:WBC 15.14*10~9/L NEU 13.46*10~9/L RBC 4.56*10~12/L HB 138g/L PLT256*10~9/L
生化全套:ALT 11.00U/L AST 19.00U/L TP 65.68g/L ALB 39.49g/L GGT 10.00U/L BIL-T 18.1umol/L BIL-D 6.6umol/L BUN 3.56mmol/L CREA 59.00umol/L T-CHO 3.77mmol/L Trig 0.23mmol/L
炎症反应标志物:CRP 0.34mg/l
诊疗过程:
CT结果输入海信CAS系统后行3D重建及手术规划后,于2014-3-25全麻下行“胰腺肿瘤及脾切除术”手术治疗:
术前三维重建及手术方案设计:
将0.625mm双源薄层CT资料的静脉期和动脉期Dicom格式文件导入海信CAS系统。
通过调节窗宽窗位调整CT序号,对肿瘤,肝实质,胆囊,下腔静脉,肿瘤,肝动脉、门静脉及肝静脉等进行三维重建;系统自动计算肿瘤体积和肝脏体积。
模拟手术操作,自动计算切除肿瘤体积。肝脏体积为1096ml,胰腺肿瘤体积为115.5ml,通过比对12-13岁正常肝脏体积为1116.86±158.78 ml,通过术前模拟手术,精准判断切除后肝脏体积无明显变化,避免肝衰竭发生。
术前手术方案的规划。
手术步骤:
根据手术规划系统提供最优虚拟肝切除步骤解剖(1)麻醉成功后,患儿取平卧位,2.5%碘伏消毒手术区皮肤,铺无菌巾单。(2) 取上腹肋缘下口长约15m,切开皮肤、皮下织组,腹直肌前鞘、腹直肌,后鞘和腹膜。(3) 分离大网膜,探查见:胰腺肿瘤位于胰体尾部,约8x6cm大小,质韧,包绕脾血管,无法分离,逐步游离胰腺肿瘤及脾脏,结扎胃短动脉,逐步暴露出胰腺肿瘤,于胰体处逐步切断胰腺,结扎脾血管,将肿瘤及脾脏完整切除,快速冰冻结果示恶性肿瘤,遂决定不行脾片种植。胰腺断端缝扎止血、包埋。(4) 缝合修补脾床及系膜裂孔,脾窝放置橡胶引流管一根。温盐水冲洗腹腔。(7)检查无活动性出血,清点纱布器械无误,依次缝合腹壁各层。手术顺利,麻醉满意,出血不多,未输血,术后病人先进入麻醉恢复室,苏醒后回病房。术后标本送术中冰冻病理检查,结果回示:小圆细胞恶性肿瘤。手术时手术者可开启Hisense CAS系统手势控制功能,对肿瘤的解剖结构进行实时、全方观察、评估,起到术中导航作用。
术后病理:
胰腺(体尾部)实性假乳头状瘤(7*6cm)伴片状坏死,未累及胰腺切缘,胰腺周围淋巴结呈反应性增生。(脾)慢性脾淤血。免疫组化:AACT(+),VIM(+),SYN(+),CD56(+),CEA(-),CK(-),EMA(-),Calretinin(-),Ki-67阳性率5%术后给予抗炎、补液、止血,保肝等对症支持治疗,患儿恢复良好,伤口无渗血渗液,无红肿疼痛,于2014-4-9出院。
随访情况:
随访3年,肿瘤无复发,无转移,肿瘤标志物未升高。
肝切除术后肝脏体积1周:1周:□ml 1月:□ml 3月:□ml 6月:□ml 1年:□ml
术前CT检查:
动脉期
静脉期
平衡期
术前三维重建:
重建图片
术后三维图片:
术前视频
您的浏览器不支持 video 标签。
您的浏览器不支持 video 标签。
您的浏览器不支持 video 标签。
您的浏览器不支持 video 标签。
术后视频
您的浏览器不支持 video 标签。
您的浏览器不支持 video 标签。
您的浏览器不支持 video 标签。
您的浏览器不支持 video 标签。
more
merge