中文
|
English
首页
项目介绍
负责人介绍
学术委员会
Dong's肝脏分段体系
肝脏体积
成人肝脏体积
小儿肝脏体积
典型病例
正常肝脏数据库
成人正常肝脏
小儿正常肝脏
计算机辅助手术
肝脏肿瘤
成人肝脏肿瘤
小儿肝脏肿瘤
门脉高压症
脾脏疾病
先天性胆管扩张症
胰腺肿瘤
其他疾病
Couinaud 肝脏分段
数字医学概念
各数据库后台管理系统入口:
肝脏数据库
胆道数据库
胰腺数据库
Dong's肝脏分型数据库
肝脏体积数据库
肝脏门静脉数据库
肝静脉数据库
肝低分化癌伴大片坏死-CH-001-LT-000347
您的浏览器不支持 video 标签。
一般情况:CH-001-LT-000347,63岁男性,身高174cm,体重85kg,
主诉:发现肝占位性病变4天。
现病史:患者4天前于青岛市传染病医院行消化系统超声示:肝硬化,右肝低回声结节,右肝前强回声结节,建议超声造影检查,后行超声造影检查考虑肝Ca,行AFP示74.5ng/ml,无发热、畏寒、寒战,无恶心、呕吐,无反酸、嗳气,无腹胀、腹痛、腹泻,无全身乏力,无食欲不振,无呕血、黑便,考虑为“肝占位性病变”,未予特殊处理。
查体:腹部平坦,无胃肠型及蠕动波。无腹壁静脉曲张。腹肌无压痛,无反跳痛。Murphy征阴性。未触及肝、脾、肾及其他肿块。腹部叩诊呈鼓音,肝上界在右锁骨中线第五肋间。肝、肾区无叩痛,无移动性浊音。肠鸣音4次/分,未闻及血管杂音。异常。
整理:崔楷悦,吴萤 3D:周显军,朱呈瞻
辅助检查:
下腹部增强CT示:肝右叶恶性肿瘤可能性大;肝内多发小囊肿;肝硬化,食管胃底静脉曲张可能性大;脾脏囊肿可能性大。
实验室检查:
血常规:WBC 4.93*10~9/L NEU 2.89*10~9/L RBC 4.33*10~12/L HB 128g/L PLT 91*10~9/L
生化全套:ALT 13.00U/L AST 14.00U/L TP 62.08g/L ALB39.57g/L GGT 20.00U/L BIL-T 11.60umol/L BIL-D 5.30umol/L BUN 7.42mmol/L CREA 83.00umol/L T-CHO 4.18mmol/L Trig 0.74mmol/L
肿瘤标志物:AFP69.10ng/mL CEA2.59ng/mL CA19-916.74ng/mL
肝炎全套: HAV-IgM 0.10S/CO HBcIgM 0.020S/CO HCV-cAg 0.08S/CO HEV-IgM 0.03S/CO HBeAg 0.329S/CO Anti-HBe 0.01S/CO Anti-HBc 9.54S/CO
C反应蛋白 :CRP 0.98mg/l
诊疗过程:
CT结果输入海信CAS系统后行3D重建及手术规划后,于2016-7-1全麻下行“肝癌肝部分切除术+肝中静脉修补术”手术治疗:
术前三维重建及手术方案设计:
将0.625mm双源薄层CT资料的静脉期和动脉期Dicom格式文件导入海信CAS系统。
通过调节窗宽窗位调整CT序号,对肿瘤,肝实质,胆囊,下腔静脉,肿瘤,肝动脉、门静脉及肝静脉等进行三维重建;系统自动计算肿瘤体积和肝脏体积。
模拟手术操作,自动计算切除肿瘤体积。肝脏体积为1536ml,肿瘤体积为41.77ml,肿瘤体积为肝脏体积2.7%,通过比60-70岁正常肝脏体积为1262.7±284.31ml,通过术前模拟手术,精准判断切除后剩余肝脏体积能耐受,避免肝衰竭发生。
术前手术方案的规划。
手术步骤:
麻醉成功后,病人平卧位,常规碘伏消毒手术区皮肤,铺无菌巾、单。取右肋缘下切口,分层入腹,纱布垫护皮。
探查见:肝脏呈小结节性肝硬化,肝脏体积缩小,肝左外叶较小。肝周围少量腹水。右肝前叶Ⅷ段交界处,可触及直径5cm不规则肿块,侵及肝被膜,呈灰白色。考虑肝脏较小,硬化明显,决定行肝部分切除术。断肝圆韧带,镰状韧带至第二肝门,断肝右三角韧带,冠状韧带,肝结肠韧带,游离右半肝。沿肿瘤边缘约1cm,依次钳夹、切断、结扎肝断面各结构,切除肿瘤及部分肝组织。肿瘤侵犯肝中静脉,切除后肝中静脉5-0prolene线仔细缝合。肝断面渗血处分别缝扎止血,填塞止血敷料后,将创面对拢缝合。温蒸馏水1000ml冲洗腹腔,止血,于肝断面旁放置引流管1根于右侧腹穿孔引出。清点纱布器械无误,分层缝合腹壁切口。术后血压120/68mmHg,术中出血约300ml,输RBC3u ,输血浆400ml。术后返PACU。
手术顺利,麻醉满意,解剖标本,部分肝呈纤维化,内有灰白色质韧结节,送病理检查。病理检查结果:肝(VIII段)低分化癌伴大片坏死。手术时手术者可开启Hisense CAS系统手势控制功能,对肿瘤的解剖结构进行实时、全方观察、评估,起到术中导航作用。
术后病理:
术后病理提示1、肝(VIII段)低分化癌伴大片坏死,结合镜下形态及免疫组化结果,考虑为低分化肝内胆管细胞癌(范围4*4*3cm),侵达局部肝被膜,未累及肝断端;未见确切间质脉管内癌栓及神经侵犯;2、慢性肝炎,G2S4;3、结节性肝硬化(小结节型)。术后给予抗炎、补液、止血等对症支持治疗,患者恢复良好,伤口无渗血渗液,无红肿疼痛,于2016-7-12出院。
随访情况:
随访2月复查CT,肝术后所见,请结合临床; 肝硬化,脾大,门静脉高压(食管胃底静脉曲张、侧枝循环开放);右侧肾上腺结节,转移瘤?请结合临床。
肝切除术后肝脏体积1周:1周:□ml 1月:□ml 3月:□ml 6月:□ml 1年:□ml
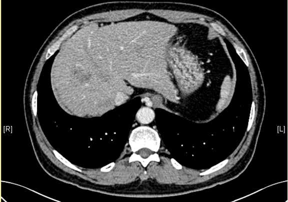
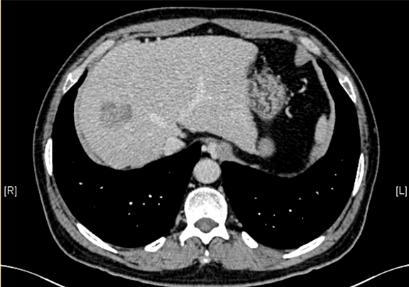
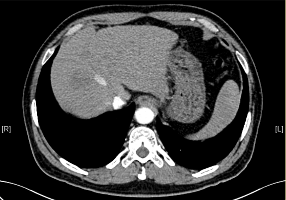
术前CT检查:
动脉期
静脉期
平衡期
术前三维重建:
重建图片
重建视频
您的浏览器不支持 video 标签。
您的浏览器不支持 video 标签。
您的浏览器不支持 video 标签。
您的浏览器不支持 video 标签。
more
merge