中文
|
English
首页
项目介绍
负责人介绍
学术委员会
Dong's肝脏分段体系
肝脏体积
成人肝脏体积
小儿肝脏体积
典型病例
正常肝脏数据库
成人正常肝脏
小儿正常肝脏
计算机辅助手术
肝脏肿瘤
成人肝脏肿瘤
小儿肝脏肿瘤
门脉高压症
脾脏疾病
先天性胆管扩张症
胰腺肿瘤
其他疾病
Couinaud 肝脏分段
数字医学概念
各数据库后台管理系统入口:
肝脏数据库
胆道数据库
胰腺数据库
Dong's肝脏分型数据库
肝脏体积数据库
肝脏门静脉数据库
肝静脉数据库
肝细胞癌-CH-001-LT-000348
您的浏览器不支持 video 标签。
一般情况:CH-001-LT-000348,37岁男性患者,身高168cm,体重63.00kg。
主诉:右上腹疼痛6天。
现病史:患者于6天前无明显诱因出现右上腹疼痛,呈持续性,伴乏力,食欲减退,腹胀,无恶心、呕吐、腹泻、血便、无寒战,无头痛头晕,无皮肤粘膜黄染,无尿频、尿急、尿痛、血尿。曾于莱西人民医院就诊,行消化系B超示:右叶后外段见一稍高回声结节,大小约6.7*6.7cm,行上腹增强CT示:肝内占位,肝Ca可能性大。大便次数减少,体重减轻3斤。
查体:腹部平坦,对称,无腹壁静脉曲张,无胃肠型和蠕动波,腹部柔软,无压痛及反跳痛,未触及异常包块。肝、脾肋下未触及,Murphy氏征阴性。腹部叩诊:肝上界在右锁骨中线第五肋间,肝、肾区无叩击痛,无移动性浊音。肠鸣音正常,4次/分。未听到血管杂音。
整理:崔楷悦,吴萤 3D:周显军,朱呈瞻
辅助检查:
下腹部增强CT示:肝右后叶占位性病变,考虑肝癌可能性大。
实验室检查:
血常规:WBC 6.27*10~9/L NEU 4.10*10~9/L RBC 5.60*10~12/L HB 176.00g/L PLT290.00*10~9/L
生化全套:ALT 27.00/L AST 41.00U/L TP 80.01g/L ALB 45.94g/L GGT 34.00U/L BIL-T 18.40umol/L BIL-D 5.50umol/L BUN 5.42mmol/L CREA 83.00umol/L T-CHO 6.28mmol/L
肿瘤标志物:AFP>1210.00ng/mL CEA5.08ng/mL CA19-947.66U/ml CA5041.67IU/mL
肝炎全套: HAV-IgM 0.10S/CO HBcIgM 0.060S/CO HCV-cAg 0.08S/CO HEV-IgM 0.03S/CO HBeAg 2.669S/CO Anti-HBe 1.310S/CO Anti-HBc10.490S/CO
炎症反应标志物:CRP <3.16mg/l
诊疗过程:
CT结果输入海信CAS系统后行3D重建及手术规划后,于2016-7-01全麻下行“肝右后叶切除术”手术治疗:
术前三维重建及手术方案设计:
将0.625mm双源薄层CT资料的静脉期和动脉期Dicom格式文件导入海信CAS系统。
通过调节窗宽窗位调整CT序号,对肿瘤,肝实质,胆囊,下腔静脉,肿瘤,肝动脉、门静脉及肝静脉等进行三维重建;系统自动计算肿瘤体积和肝脏体积。
模拟手术操作,自动计算切除肿瘤体积。肝脏体积为1197ml,肿瘤体积为262.5ml,肿瘤体积为肝脏体积的21.9%,通过比对30-40岁正常肝脏体积为1323.35±298.47ml,通过术前模拟手术,精准判断切除后剩余肝脏体积能耐受,避免肝衰竭发生。
术前手术方案的规划。
手术步骤:
麻醉成功后,病人平卧位,常规碘伏消毒手术区皮肤,铺无菌巾、单。取右肋缘下切口,分层入腹,纱布垫护皮,上框架拉钩。探查见:肝脏质地及形态可,右肝后叶可触及直径6cm肿块,突出肝脏表面,包膜完整,胃肠(-),决定行“肝右后叶切除术”。断肝圆韧带,镰状韧带至第二肝门,断肝右三角韧带,冠状韧带,肝结肠韧带,游离右半肝,沿肿瘤边缘约1cm,依次钳夹、切断、结扎肝断面各结构,切除肿瘤及部分肝组织。温蒸馏水3000ml冲洗腹腔,断面渗血处分别缝扎止血,填塞止血敷料后,于肝断面旁放置引流管1根于右侧腹壁穿孔引出。清点纱布器械无误,分层缝合腹壁切口。手术顺利,麻醉平稳,术后血压135/75mmHg,术后病人安全安返回病房。标本:肝右肝后叶肿物,直径6cm,质软,突出肝脏表面,包膜完整,标本家属过目后送病理。结果回示:(肝右后叶)肝细胞肝癌伴坏死。手术时手术者可开启Hisense CAS系统手势控制功能,对肿瘤的解剖结构进行实时、全方观察、评估,起到术中导航作用。
术后病理:
1、(肝右后叶)肝细胞肝癌伴坏死,III级,呈粗梁型及实性型方式生长,侵达局部肝被膜,未累及肝断端;脉管内癌栓(+,M2),神经侵犯(-),未见确切小胆管内癌栓及胆管侵犯,肿物周围未见卫星结节。
2、慢性肝炎,G2S3。术后安返病房,给予抑酸、补液、抗感染及对症支持等治疗,现患者术后恢复可,于2016-7-07出院。
随访情况:
随访5月,肝脏切除术后所见,残肝内多发异常强化结节,肝癌可能性大。
肝切除术后肝脏体积1周:1周:□ml 1月:□ml 3月:□ml 6月:□ml 1年:□ml
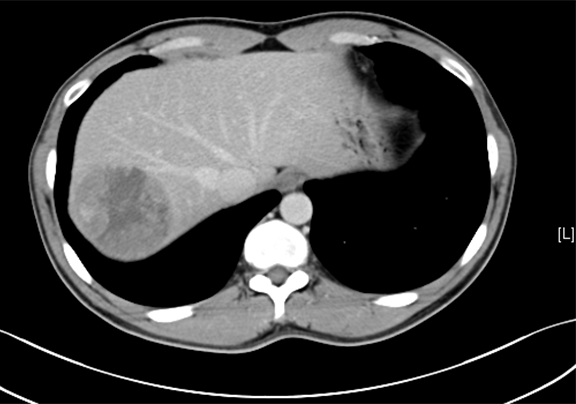
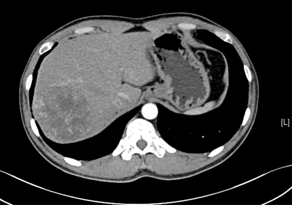
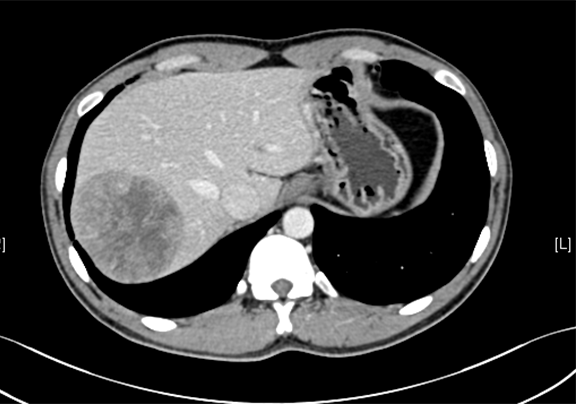
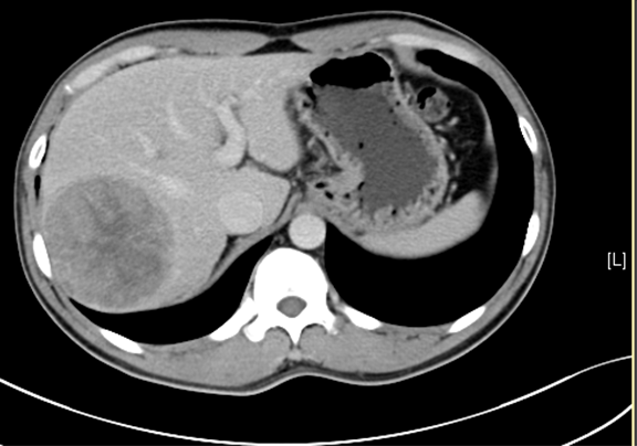
术前CT检查:
动脉期
静脉期
平衡期
术前三维重建:
重建图片
重建视频
您的浏览器不支持 video 标签。
您的浏览器不支持 video 标签。
您的浏览器不支持 video 标签。
您的浏览器不支持 video 标签。
more
merge