中文
|
English
首页
项目介绍
负责人介绍
学术委员会
Dong's肝脏分段体系
肝脏体积
成人肝脏体积
小儿肝脏体积
典型病例
正常肝脏数据库
成人正常肝脏
小儿正常肝脏
计算机辅助手术
肝脏肿瘤
成人肝脏肿瘤
小儿肝脏肿瘤
门脉高压症
脾脏疾病
先天性胆管扩张症
胰腺肿瘤
其他疾病
Couinaud 肝脏分段
数字医学概念
各数据库后台管理系统入口:
肝脏数据库
胆道数据库
胰腺数据库
Dong's肝脏分型数据库
肝脏体积数据库
肝脏门静脉数据库
肝静脉数据库
肝细胞肝癌-CH-001-CT-000342
您的浏览器不支持 video 标签。
一般情况:CH-001-LT-000342,76岁男性患者,身高168cm,体重80.00kg,
主诉:查体发现肝占位20天。
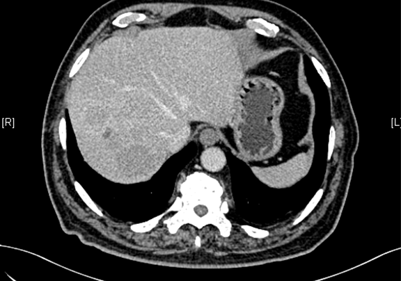
现病史:患者于20天前行超声查体时发现肝占位,位于肝内近膈顶偏后,大小约7.2*5.5cm,无右上腹不适、右上腹痛、上腹部不适、低热伴全身乏力、寒颤高热、全身皮肤黏膜黄染、小便发黄、大便变白、意识障碍、腰背部疼痛不适、消瘦、食欲下降。于2016年6月27日就诊于青岛市第三人民医院,行超声检查示:右肝后叶上段不均质占位,考虑胆管细胞癌可能性大,行上腹部MR示:肝右后叶团块影,右肾囊肿可能性大,初步诊为肝肿瘤。体力一般,体重无明显变化。
查体:腹部平坦。未见胃肠型及蠕动波。无腹壁静脉曲张。腹肌软,无压痛,无反跳痛。Murphy征阴性。未触及肝、脾、肾及其他肿块。腹部叩诊呈鼓音,肝上界在右锁骨中线第五肋间。肝、肾区无叩痛,无移动性浊音。肠鸣音4-5次/分,未闻及血管杂音。
整理:崔楷悦,吴萤 3D:周显军,朱呈瞻
辅助检查:
下腹部增强CT示:肝右后叶上段占位,肝癌可能性大;右侧肾上腺占位,不除外转移瘤。
实验室检查:
血常规:WBC 7.05*10~9/L NEU 4.29*10~9/L RBC 4.96*10~12/L HB 152.00g/L PLT224.00*10~9/L
生化全套:ALT 29.00U/L AST 21.00U/L TP 69.26g/L ALB 42.07g/L GGT 17.00U/L BIL-T 25.70umol/L BIL-D 8.50umol/L BUN 9.07mmol/L CREA 83.00umol/L T-CHO 4.14mmol/L
肿瘤标志物:AFP3.64ng/mL CEA2.27ng/mL CA19-911.78U/ml CA1255.48U/ml CA24-21.71IU/mL CA5013.62IU/mL
肝炎全套: HAV-IgM 0.10S/CO HBcIgM 0.040S/CO HCV-cAg 0.21S/CO HEV-IgM 0.03S/CO HBeAg 0.374S/CO Anti-HBe 0.280S/CO Anti-HBc10.510S/CO
炎症反应标志物:CRP 1.35mg/l
诊疗过程:
CT结果输入海信CAS系统后行3D重建及手术规划后,于2016-7-15全麻下行“腹腔镜胆囊切除+肝V、VII、VIII段切除+开腹右肾上腺切除术”手术治疗:
术前三维重建及手术方案设计:
将0.625mm双源薄层CT资料的静脉期和动脉期Dicom格式文件导入海信CAS系统。
通过调节窗宽窗位调整CT序号,对肿瘤,肝实质,胆囊,下腔静脉,肿瘤,肝动脉、门静脉及肝静脉等进行三维重建;系统自动计算肿瘤体积和肝脏体积。
模拟手术操作,自动计算切除肿瘤体积。肝脏体积为1603ml,肿瘤体积为241.9ml,肿瘤体积为肝脏体积的15.1%,通过比对70-80岁正常肝脏体积为1118.08±190.14ml,通过术前模拟手术,精准判断切除后剩余肝脏体积能耐受,避免肝衰竭发生。
术前手术方案的规划。
手术步骤:
麻醉成功后,病人平卧位,常规碘伏消毒手术区皮肤,铺无菌巾、单。于脐上切口约2cm,进气腹针,建立CO2人工气腹,腹内压11-13mmHg,置入11mm Trocar,放入腹腔镜镜头。探查:肝脏色暗红,轻度纤维化,超声探查示肝Ⅶ、Ⅷ段肿块,大小约5*6cm,边界清,突出于肝表面,与膈肌部分粘连。胆囊(-),胃肠(-),腹水(-),于剑下2cm、左上腹、右上腹分别穿孔置入10mm、5mmTrocar各两枚。断肝圆韧带、镰状韧带,切除胆囊,分离断扎肝V、VIII段的动脉及门脉支,见相应肝段颜色变暗。沿肝V、VII、VIII段边界标记预切除线,沿左右半肝交界分离肝组织,断扎肝静脉分支。阻断第一肝门,沿VI段边界分离肝组织,断扎门静脉、及肝静脉分支,将待切除肝段大部分游离。共阻断两次,时间35min、47min,间隔开放10min。见肿瘤与膈肌粘连紧密腔镜下分离困难,沿右肋缘下左长约10cm切口进腹腔,分离切除肿瘤及3个肝段。蒸馏水冲洗,创面止血,肝VI段血供及流出道完好。暴露右侧肾上腺,超声刀分离周围组织,将其完整切除。肝断面覆盖止血敷料,于肝断面下放置26号引流管一根自右上腹Trocar孔穿出。查无活动性出血,清点器械、纱布无误。 手术顺利,麻醉满意。术后血压125/75mmHg,术后病人安返病房/综合ICU/PACU。手术切除标本家属过目后,送病理检查。结果回示:(部分肝)肝细胞肝癌。手术时手术者可开启Hisense CAS系统手势控制功能,对肿瘤的解剖结构进行实时、全方观察、评估,起到术中导航作用。
术后病理:
1、(部分肝)肝细胞肝癌,II级,范围6*4cm,以粗梁型生长方式为主,局灶可见假腺型生长,侵及局部肝被膜,紧邻肝断端;脉管癌栓(+,M1),神经侵犯(-),未见确切的小胆管癌栓及胆管壁侵犯,肿物周围未见卫星结节。2、慢性肝炎,G2S2。3、慢性胆囊炎,未见癌累及。4、(肾上腺)组织内见癌累及(范围3.5*2cm)。术后入ICU给予重症监护、静脉营养、抑酸、补液及对症支持等治疗,后转入我科继续治疗,现患者恢复可,于2016-8-01出院。
随访情况:
随访5月,符合肝术后改变,较前好转,前腹壁局限性增厚。
肝切除术后肝脏体积1周:1周:□ml 1月:□ml 3月:□ml 6月:□ml 1年:□ml
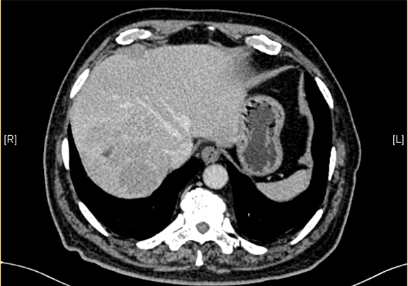
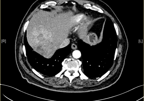
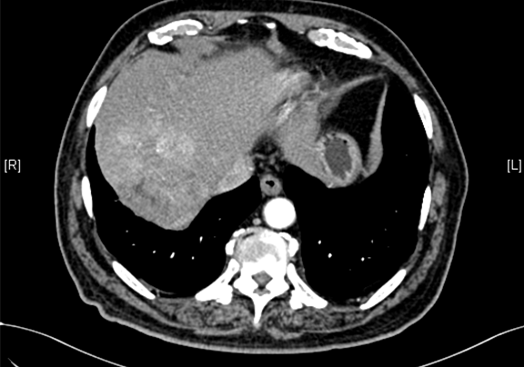
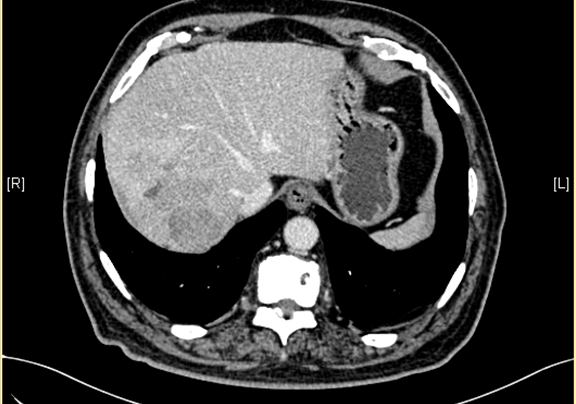
术前CT检查:
动脉期
静脉期
平衡期
术前三维重建:
重建图片
重建视频
您的浏览器不支持 video 标签。
您的浏览器不支持 video 标签。
您的浏览器不支持 video 标签。
您的浏览器不支持 video 标签。
more
merge