中文
|
English
首页
项目介绍
负责人介绍
学术委员会
Dong's肝脏分段体系
肝脏体积
成人肝脏体积
小儿肝脏体积
典型病例
正常肝脏数据库
成人正常肝脏
小儿正常肝脏
计算机辅助手术
肝脏肿瘤
成人肝脏肿瘤
小儿肝脏肿瘤
门脉高压症
脾脏疾病
先天性胆管扩张症
胰腺肿瘤
其他疾病
Couinaud 肝脏分段
数字医学概念
各数据库后台管理系统入口:
肝脏数据库
胆道数据库
胰腺数据库
Dong's肝脏分型数据库
肝脏体积数据库
肝脏门静脉数据库
肝静脉数据库
肝细胞肝癌-CH-001-LT-000341
您的浏览器不支持 video 标签。
一般情况:CH-001-LT-000341,67岁男性,身高160cm,体重57kg,
主诉:查体发现肝占位性病变5天。
现病史:患者5天前于外院查体行上腹部动态增强MRI示:肝右后叶占位性病变,考虑肝癌可能性大,脾大。自诉无明显症状,无头痛、头晕,无心慌、胸闷、胸痛,无咳嗽、咳痰、咯血,无腹痛、腹泻、腹胀,无呕血、黑便,不厌油腻,给予保肝药物治疗(具体药物不详),疗效尚可。
查体:腹部平坦,对称,无腹壁静脉曲张,无胃肠型和蠕动波,腹部柔软,无压痛及反跳痛,未触及异常包块。肝、脾肋下未触及,Murphy氏征阴性。腹部叩诊:肝上界在右锁骨中线第五肋间,肝、肾区无叩击痛,无移动性浊音。肠鸣音正常,4-5次/分。未听到血管杂音。
整理:崔楷悦,吴萤 3D:周显军,朱呈瞻
辅助检查:
下腹部增强CT示:考虑肝右后叶肝Ca可能性大。肝顶异常强化灶,不除外不典型增生结节(DN)并癌变。肝硬化、脾大。
实验室检查:
血常规:WBC 4.23*10~9/L NEU 2.37*10~9/L RBC 4.34*10~12/L HB 143g/L PLT 69*10~9/L
生化全套:ALT 40.00U/L AST 42.00U/L TP 69.22g/L ALB 38.81g/L GGT 54.00U/L BIL-T 29.90umol/L BIL-D 10.60umol/L BUN 6.64mmol/L CREA 90.00umol/L T-CHO 4.47mmol/L Trig 0.60mmol/L
肿瘤标志物:AFP145.50ng/mL CEA2.83ng/mL CA19-918.52ng/mL CA5016.19ng/mL CA2425.08ng/mL
肝炎全套:肝炎全套: HAV-IgM 0.10S/CO HBcIgM 0.05S/CO HCV-cAg 0.22S/CO HEV-IgM 0.03S/CO HBeAg 0.33S/CO Anti-HBe 0.35S/CO Anti-HBc 9.98S/CO
诊疗过程:
CT结果输入海信CAS系统后行3D重建及手术规划后,于2016-7-22全麻下行“肝癌肝部分切除术”手术治疗:
术前三维重建及手术方案设计:
将0.625mm双源薄层CT资料的静脉期和动脉期Dicom格式文件导入海信CAS系统。
通过调节窗宽窗位调整CT序号,对肿瘤,肝实质,胆囊,下腔静脉,肿瘤,肝动脉、门静脉及肝静脉等进行三维重建;系统自动计算肿瘤体积和肝脏体积。
模拟手术操作,自动计算切除肿瘤体积。肝脏体积为928.9ml,肿瘤体积为56.34ml,肿瘤体积为肝脏体积的6%,通过比对60-70岁正常肝脏体积为1262.7±284.31 ml,通过术前模拟手术,精准判断切除后剩余肝脏体积能耐受,避免肝衰竭发生。
术前手术方案的规划。
手术步骤:
麻醉成功后,病人平卧位,常规碘伏消毒手术区皮肤,铺无菌巾、单。取右肋缘下切口,分层入腹,纱布垫护皮,上框架拉钩。
探查见:肝脏质地及形态可,右肝Ⅵ、Ⅶ段交界处,可触及直径5cm不规则肿块。断肝圆韧带,镰状韧带至第二肝门,断肝右三角韧带,冠状韧带,肝结肠韧带,游离右半肝,沿肿瘤边缘约1cm,依次钳夹、切断、结扎肝断面各结构,切除肿瘤及部分肝组织。断面渗血处分别缝扎止血,填塞止血敷料后,将创面对拢缝合。温蒸馏水3000ml冲洗腹腔,止血,于肝断面旁放置引流管1根于右侧腹壁穿孔引出。清点纱布器械无误,分层缝合腹壁切口。术中出血约200ml,未输血。术后血压135/75mmHg,术后病人安返病房。
手术顺利,麻醉满意,解剖标本,肿块直径约5cm,灰白色,家属过目后送病理检查。病理检查结果:(右叶)肝细胞肝癌,II-III级。手术时手术者可开启Hisense CAS系统手势控制功能,对肿瘤的解剖结构进行实时、全方观察、评估,起到术中导航作用。
术后病理:
术后病理提示1.(右叶)肝细胞肝癌,II-III级,呈实片型及粗梁型方式生长,范围5*3cm,侵达局部肝被膜,未累及肝断端。脉管癌栓(+,M1),神经侵犯(-);未见确切小胆管内癌栓及胆管壁侵犯,肿物周围未见卫星结节。2.慢性肝炎,G2S2;3.结节性肝硬化(小结节型)。手术顺利,术后给予化痰、平喘、雾化、保肝、抑酸、静脉营养等对症支持治疗。术后甲胎蛋白测定AFP5.08ng/mL。癌胚抗原CEA1.28ng/mL。术后恢复良好,目前活动可,流质饮食可,于2016-8-4出院。
随访情况:
随访2月复查CT,符合肝术后改变,肝内低密度影较前减小,腹腔积液较前减少;肝硬化、脾大;右侧胸腔积液,较前减少;左肺下叶小结节,建议随访观察。
肝切除术后肝脏体积1周:□ml 1月:□ml 3月:□ml 6月:□ml 1年:□ml
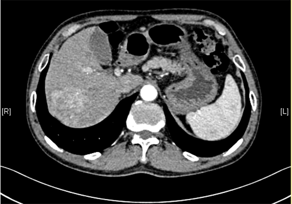
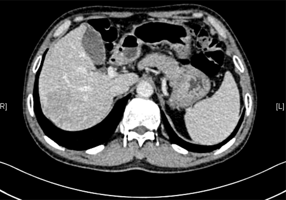
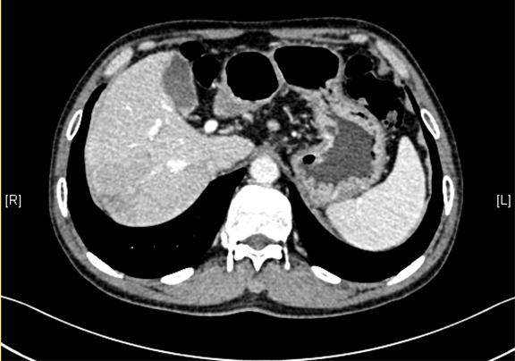
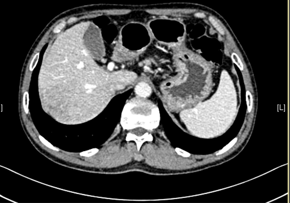
术前CT检查:
动脉期
静脉期
平衡期
术前三维重建:
重建图片
重建视频
您的浏览器不支持 video 标签。
您的浏览器不支持 video 标签。
您的浏览器不支持 video 标签。
您的浏览器不支持 video 标签。
more
merge