中文
|
English
首页
项目介绍
负责人介绍
学术委员会
Dong's肝脏分段体系
肝脏体积
成人肝脏体积
小儿肝脏体积
典型病例
正常肝脏数据库
成人正常肝脏
小儿正常肝脏
计算机辅助手术
肝脏肿瘤
成人肝脏肿瘤
小儿肝脏肿瘤
门脉高压症
脾脏疾病
先天性胆管扩张症
胰腺肿瘤
其他疾病
Couinaud 肝脏分段
数字医学概念
各数据库后台管理系统入口:
肝脏数据库
胆道数据库
胰腺数据库
Dong's肝脏分型数据库
肝脏体积数据库
肝脏门静脉数据库
肝静脉数据库
肝细胞肝癌-CH-001-LT-000211
您的浏览器不支持 video 标签。
一般情况:CH-001-LT-000211,67岁男性,身高160cm,体重57kg,
主诉:查体发现肝占位5天。
现病史:患者5天前于高密市人民医院查体,行上腹部增强CT检查示:肝右前叶占位,考虑肝细胞肝癌可能性大,无上腹部胀痛不适,无乏力、恶心、呕吐、腹胀、腹泻、血便、食欲减退,无寒战,无头痛头晕,无皮肤粘膜黄染,无尿频、尿急、尿痛、血尿,未予特殊治疗。
查体:腹部平坦,对称,无腹壁静脉曲张,无胃肠型和蠕动波,腹部正中可见成片状牛皮癣红斑,腹部柔软,无压痛及反跳痛,未触及异常包块。肝、脾肋下未触及、质软、无压痛,Murphy氏征阴性。腹部叩诊:肝上界在右锁骨中线第五肋间,肝、肾区无叩击痛,无移动性浊音。肠鸣音正常,4次/分。未听到血管杂音。
整理:崔楷悦,吴萤 3D:周显军,朱呈瞻
辅助检查:
下腹部增强CT示:肝右叶恶性肿瘤可能性大;肝内多发小囊肿;肝硬化,食管胃底静脉曲张可能性大;脾脏囊肿可能性大。
实验室检查:
血常规:WBC 4.13*10~9/L NEU 2.63*10~9/L RBC 3.78*10~12/L HB 133g/L PLT 137*10~9/L
生化全套:ALT 52.00U/L AST 30.00U/L TP 71.89g/L ALB39.28g/L GGT 248.00U/L BIL-T 23.91umol/L BIL-D 8.18umol/L BUN 4.53mmol/L CREA 72.00umol/L T-CHO 4.36mmol/L Trig 1.27mmol/L
肿瘤标志物:AFP13.57ng/mL CEA3.09ng/mL CA19-9151.30ng/mL
肝炎全套: HAV-IgM 0.10S/CO HBcIgM 0.03S/CO HCV-cAg 0.08S/CO HEV-IgM 0.03S/CO HBeAg 0.262S/CO Anti-HBe 1.79S/CO Anti-HBc 0.86S/CO
诊疗过程:
CT结果输入海信CAS系统后行3D重建及手术规划后,于2016-5-12全麻下行“肝肿瘤肝部分切除、胆囊切除、肝转移瘤剜除术”手术治疗:
术前三维重建及手术方案设计:
将0.625mm双源薄层CT资料的静脉期和动脉期Dicom格式文件导入海信CAS系统。
通过调节窗宽窗位调整CT序号,对肿瘤,肝实质,胆囊,下腔静脉,肿瘤,肝动脉、门静脉及肝静脉等进行三维重建;系统自动计算肿瘤体积和肝脏体积。
模拟手术操作,自动计算切除肿瘤体积。肝脏体积为1701ml,肿瘤体积为194.1ml,肿瘤体积为肝脏体积的11.4%,通过比对60-70岁正常肝脏体积为1262.7±284.31 ml,通过术前模拟手术,精准判断切除后剩余肝脏体积能耐受,避免肝衰竭发生。
术前手术方案的规划。
手术步骤:
麻醉成功后,病人平卧位,常规碘伏消毒手术区皮肤,铺无菌巾、单。取右肋缘下切口,分层入腹,纱布垫护皮。
探查见:脂肪肝,肝纤维化明显,表面散布小结节,少许腹水。触诊肿瘤位于Ⅵ段,质硬,直径约7cm圆形肿块,质韧,未侵及肝被膜,腹腔无转移结节,肝左叶可触及三枚细小结节,大者直径约5mm,切除冰冻。病理汇报提示高分化肝细胞癌。与家属沟通后,决定行肝Ⅵ段切除术。解剖胆囊三角,断扎胆囊管、胆囊动脉,断肝右三角韧带,冠状韧带,肝结肠韧带,游离右半肝。沿肿瘤边缘约1cm,依次钳夹、切断、结扎肝断面各结构,切除肿瘤及部分肝组织。断面渗血处分别缝扎止血。温蒸馏水1000ml冲洗腹腔,止血,于肝断面旁放置引流管1根于右侧腹穿孔引出。清点纱布器械无误,分层缝合腹壁切口。术中出血约100ml,未输血。术后血压134/64mmHg,术后病人安返病房。
手术顺利,麻醉满意,解剖标本,见切除肝标本内有直径约7cm病变,家属过目后送病理检查。病理检查结果:(病肝)肝细胞肝癌,II级。手术时手术者可开启Hisense CAS系统手势控制功能,对肿瘤的解剖结构进行实时、全方观察、评估,起到术中导航作用。
术后病理:
术后病理提示1、(病肝)肝细胞肝癌,II级,呈假腺型生长方式,大小8*6.5cm,未侵达局部肝被膜,未累及肝断端;脉管癌栓(+,M1),神经侵犯(-),未见确切小胆管内癌栓及胆管壁侵犯;肿物周围见多处卫星结节(大者直径约1.5cm)。2、(肝VI段结节)肝细胞肝癌,II级。3、慢性肝炎,G3S4;4、结节性肝硬化(小结节型);5、慢性胆囊炎,未见癌累及。术后患者安全返回病房,给予患者静脉营养、抑酸、化痰、抗炎、保肝等对症支持治疗,现患者恢复可,于2016-5-24出院。
随访情况:
随访1周复查CT,腹水。
肝切除术后肝脏体积1周:□ml 1月:□ml 3月:□ml 6月:□ml 1年:□ml
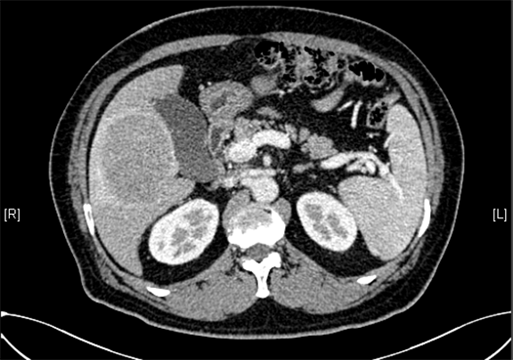
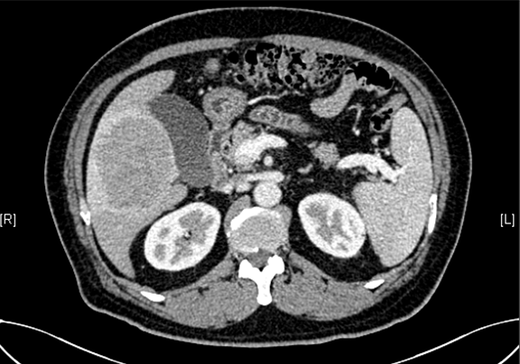
术前CT检查:
动脉期
静脉期
平衡期
术前三维重建:
重建图片
重建视频
您的浏览器不支持 video 标签。
您的浏览器不支持 video 标签。
您的浏览器不支持 video 标签。
您的浏览器不支持 video 标签。
more
merge