中文
|
English
首页
项目介绍
负责人介绍
学术委员会
Dong's肝脏分段体系
肝脏体积
成人肝脏体积
小儿肝脏体积
典型病例
正常肝脏数据库
成人正常肝脏
小儿正常肝脏
计算机辅助手术
肝脏肿瘤
成人肝脏肿瘤
小儿肝脏肿瘤
门脉高压症
脾脏疾病
先天性胆管扩张症
胰腺肿瘤
其他疾病
Couinaud 肝脏分段
数字医学概念
各数据库后台管理系统入口:
肝脏数据库
胆道数据库
胰腺数据库
Dong's肝脏分型数据库
肝脏体积数据库
肝脏门静脉数据库
肝静脉数据库
肝细胞肝癌-CH-001-LT-000375
您的浏览器不支持 video 标签。
一般情况:CH-001-LT-000375,48岁男性,身高176cm,体重70kg,
主诉:右背部不适6月余。
现病史:患者6月余前无明显诱因出现阵发性右背部发麻,劳累后自觉酸胀,伴隐痛,持续时间短暂,与进食无关,无放射痛,不伴出汗,无恶心、呕吐,无腹痛、腹泻,无咳嗽、咳痰、无寒战、高热,无心前区疼痛及放射痛,排便次数正常,无性状改变,尿量正常,尿色略深,未予处理。10日前患者于“即墨市人民医院”行健康查体,行腹部B超检查示“肝占位性病变”,未予治疗;1周前就诊于“青岛第六人民医院”,行上腹增强CT示“肝占位性病变,肝癌可能”,未予治疗。
查体:腹部平坦,对称,无腹壁静脉曲张,无胃肠型和蠕动波,腹部柔软,无压痛及反跳痛,未触及异常包块。肝、脾肋下未触及、质软、无压痛,Murphy氏征阴性。腹部叩诊:肝上界在右锁骨中线第五肋间,肝、肾区无叩击痛,无移动性浊音。肠鸣音正常,4次/分。未听到血管杂音。
整理:崔楷悦,吴萤 3D:周显军,朱呈瞻
辅助检查:
下腹部增强CT示:符合肝脏术后改变,请结合临床;肝右叶占位性病变,考虑肝Ca 可能性大。
实验室检查:
血常规:WBC 5.81*10~9/L NEU 2.56*10~9/L RBC 4.35*10~12/L HB 139g/L PLT176*10~9/L
生化全套:ALT 35.00U/L AST 25.00U/L TP 67.06g/L ALB42.89g/L GGT 31.00U/L BIL-T 10.30umol/L BIL-D 4.80umol/L BUN 6.10mmol/L CREA 91.00umol/L T-CHO 4.35mmol/L Trig 1.08mmol/L
肿瘤标志物:AFP24.23ng/mL CEA3.61ng/mL CA19-920.63ng/mL CA1254.39ng/mL CA5020.72ng/mL
肝炎全套: HAV-IgM 0.20S/CO HBcIgM 0.010S/CO HCV-cAg 0.08S/CO HEV-IgM 0.03S/CO HBeAg 1.578S/CO Anti-HBe 0.390S/CO Anti-HBc 11.360S/CO
C反应蛋白 :CRP<3.44mg/l
诊疗过程:
CT结果输入海信CAS系统后行3D重建及手术规划后,于2016-7-28全麻下行“肝Ⅵ段切除+肝门淋巴结清扫术”手术治疗:
术前三维重建及手术方案设计:
将0.625mm双源薄层CT资料的静脉期和动脉期Dicom格式文件导入海信CAS系统。
通过调节窗宽窗位调整CT序号,对肿瘤,肝实质,胆囊,下腔静脉,肿瘤,肝动脉、门静脉及肝静脉等进行三维重建;系统自动计算肿瘤体积和肝脏体积。
模拟手术操作,自动计算切除肿瘤体积。肝脏体积为1427ml,肿瘤体积为65.97ml,肿瘤体积为肝脏体积的4.6%,通过比对40-50岁正常肝脏体积为1368.38±279.24ml,通过术前模拟手术,精准判断切除后剩余肝脏体积能耐受,避免肝衰竭发生。
术前手术方案的规划。
手术步骤:
麻醉成功后,病人平卧位,常规碘伏消毒手术区皮肤,铺无菌巾、单。取右肋缘下切口,分层入腹,上框架拉钩。
探查见:无腹水,肝脏小结节硬化,质韧,肝Ⅵ段可触及直径5.5cm类圆形肿块,侵及肝被膜,腹腔无转移结节。决定行肝Ⅵ段切除术。断肝右三角韧带,冠状韧带,肝结肠韧带,游离右半肝。沿肝Ⅵ段边界标记预切除线,阻断第一肝门,依次钳夹、切断、结扎肝断面各结构,切除肿瘤及部分肝组织。断面渗血处分别缝合止血。松开阻断,时间36cm。于肝断面旁放置引流管1根于右侧腹穿孔引出。清点纱布器械无误,分层缝合腹壁切口。术中出血约200ml,未输血。术后血压135/75mmHg,手术顺利,麻醉满意,术后病人安返病房/综合ICU/PACU。 标本:肝Ⅵ段最大径5.5cm肿块,切缘1cm,包膜完整,无卫星灶。送病理。病理检查结果:(肝V段)肝细胞肝癌。手术时手术者可开启Hisense CAS系统手势控制功能,对肿瘤的解剖结构进行实时、全方观察、评估,起到术中导航作用。
先用超声刀清理腹膜后脂肪组织,充分暴露后腹腔结构。切开肾周筋膜、肾周脂肪,显露左侧肾脏。探查左肾上部背侧一肿物突出于肾脏表面,大小约 3cm×3cm。充分分离显露左肾动脉,用哈巴狗钳阻断肾动脉,切除肿瘤及部分肾组织,用2-0可吸收线连续缝合创面,倒刺线缝合创口,Hem-O-Lock间断钳夹固定。检查创面无活动性出血,术区留置引流管1根。清点纱布器械无误,退出腹腔镜器械及trocar,逐层缝合各穿刺点切口。
手术顺利,出血量20ml,未予输血,麻醉满意。患者送麻醉恢复室。切除标本予家属过目后送病理检查。病理显示:(左肾)嗜酸细胞瘤。手术时手术者可开启Hisense CAS系统手势控制功能,对肿瘤的解剖结构进行实时、全方观察、评估,起到术中导航作用。
术后病理:
术后病理提示1.(肝V段)肝细胞肝癌,II级,以细梁型及假腺型生长方式为主,大小5.5*5cm,侵及局部肝被膜,未累及肝断端;脉管癌栓(+,M1),神经侵犯(-),未见确切小胆管内癌栓及胆管壁侵犯,远端肝组织(距肿物>1cm肝组织)内见少许肝细胞肝癌成分。送检(8组+12a组)淋巴结内未见癌转移(0/2)。2.(血管瘤)海绵状血管瘤;3.慢性肝炎:G2S4。4.结节性肝硬化(小结节型)。术后给予抑酸、化痰、保肝、静脉高营养治疗。患者术后恢复顺利,于2016-8-6出院。
随访情况:
随访5月复查CT,肝术后所见,请结合临床。
肝切除术后肝脏体积1周:□ml 1月:□ml 3月:□ml 6月:□ml 1年:□ml
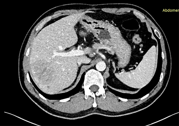
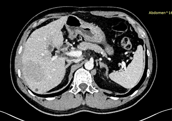
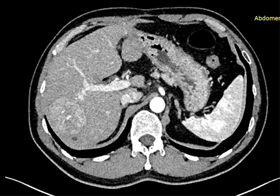
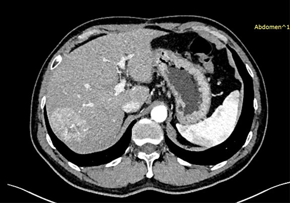
术前CT检查:
动脉期
静脉期
术前三维重建:
重建图片
重建视频
您的浏览器不支持 video 标签。
您的浏览器不支持 video 标签。
您的浏览器不支持 video 标签。
您的浏览器不支持 video 标签。
more
merge