中文
|
English
首页
项目介绍
负责人介绍
学术委员会
Dong's肝脏分段体系
肝脏体积
成人肝脏体积
小儿肝脏体积
典型病例
正常肝脏数据库
成人正常肝脏
小儿正常肝脏
计算机辅助手术
肝脏肿瘤
成人肝脏肿瘤
小儿肝脏肿瘤
门脉高压症
脾脏疾病
先天性胆管扩张症
胰腺肿瘤
其他疾病
Couinaud 肝脏分段
数字医学概念
各数据库后台管理系统入口:
肝脏数据库
胆道数据库
胰腺数据库
Dong's肝脏分型数据库
肝脏体积数据库
肝脏门静脉数据库
肝静脉数据库
肾嗜酸细胞瘤
您的浏览器不支持 video 标签。
一般情况:CH-001-N-000954, 45岁女性患者,身高153cm,体重57kg,
主诉:查体发现左肾占位6月。
现病史:患者6月前乳腺癌复查时行PET-CT发现左肾占位性病变,平素无部位腰酸、腰痛,无低热、盗汗,无排尿费力及肉眼血尿,无恶心、呕吐,无头晕、晕厥,无尿频、尿急、尿痛。未予特殊处理。为行进一步诊疗来我院就诊,门诊行上腹部三维成像(增强)CT示:左肾上极肿瘤可能性大,请结合临床。
查体:双肾区无膨隆,双侧肋脊点、肋腰点无压痛,双肾区无叩击痛,双侧输尿管行经区无压痛,耻骨上膀胱区无膨隆,无压痛。
整理:崔楷悦,吴萤 3D:周显军,朱呈瞻
辅助检查:2015-12-07
上腹部增强CT示:肝右叶海绵状血管瘤可能性大;肝囊肿;左肾上极肿瘤可能性大;双肾多发囊肿。
实验室检查:
血常规:WBC 4.98*10~9/L NEU 3.20*10~9/L RBC 4.22*10~12/L HB 125g/L PLT 200*10~9/L
生化全套:ALT 18.00U/L AST 19.00U/L TP 72.90g/L ALB 45.20g/L GGT 21.00U/L BIL-T 14.28umol/L BIL-D 3.18umol/L BUN 4.65mmol/L CREA 84.00umol/L T-CHO 4.76mmol/L
肝炎全套: HAV-IgM - HBcIgM 0.84PEI U/L HCV-cAg - HEV-IgM - HBeAg 0.066PEI U/mL Anti-HBe 0.141PEI U/mL Anti-HBc 2.415PEI U/mL
炎症反应标志物:CRP 5.51mg/l
诊疗过程:
CT结果输入海信CAS系统后行3D重建及手术规划后,于2016-8-11全麻下行“腹腔镜下肾部分切除术(左)”手术治疗:
术前三维重建及手术方案设计:
将0.625mm双源薄层CT资料的静脉期和动脉期Dicom格式文件导入海信CAS系统。
通过调节窗宽窗位调整CT序号,对肿瘤,肝实质,胆囊,下腔静脉,肿瘤,肝动脉、门静脉及肝静脉等进行三维重建;系统自动计算肿瘤体积和肝脏体积。
模拟手术操作,自动计算切除肿瘤体积。肝脏体积为1201ml,肿瘤体积为7.786ml,肿瘤体积为肝脏体积的0.6%,通过比对40-50岁正常肝脏体积为1368.38±279.24 ml,肝脏可先进行保守治疗,肾脏进行部分切除术。
术前手术方案的规划。
手术步骤:
麻醉生效后取右侧卧位,抬高腰桥,充分暴露腰部间隙。常规消毒铺无菌巾。
十二肋尖处切开约1.5cm(A点),血管分离钳钝性分开背部肌肉,分开腰背筋膜,手指确认已到后腹腔间隙,放入腹膜后扩张器,注气扩张后腹膜腔。5分钟后取出气囊。髂棘上约2cm与腋中线交叉点为第二穿刺点(B点),肋缘下2cm与腋前线交叉点为第三穿刺点(C点)。各穿刺点置入trocar,充气建立人工气腹。
先用超声刀清理腹膜后脂肪组织,充分暴露后腹腔结构。切开肾周筋膜、肾周脂肪,显露左侧肾脏。探查左肾上部背侧一肿物突出于肾脏表面,大小约 3cm×3cm。充分分离显露左肾动脉,用哈巴狗钳阻断肾动脉,切除肿瘤及部分肾组织,用2-0可吸收线连续缝合创面,倒刺线缝合创口,Hem-O-Lock间断钳夹固定。检查创面无活动性出血,术区留置引流管1根。清点纱布器械无误,退出腹腔镜器械及trocar,逐层缝合各穿刺点切口。
手术顺利,出血量20ml,未予输血,麻醉满意。患者送麻醉恢复室。切除标本予家属过目后送病理检查。病理显示:(左肾)嗜酸细胞瘤。手术时手术者可开启Hisense CAS系统手势控制功能,对肿瘤的解剖结构进行实时、全方观察、评估,起到术中导航作用。
术后病理:
(左肾)嗜酸细胞瘤(大小2*2*1cm)。术后患者安返病房,给予抗感染、补液等对症处理,对症支持治疗,于2016-8-17出院。
随访情况:
随访3月,下腹部CT平扫示左肾术后:左肾上极部分缺如,可见吻合线影,邻近脂肪间隙内见索条影。右肾大小、形态可,其内未见明显异常密度影。双侧肾上腺未见明显异常。下腹部腹腔及腹膜后未见明显肿大的淋巴结。
肝切除术后肝脏体积1周:1周:□ml 1月:□ml 3月:□ml 6月:□ml 1年:□ml
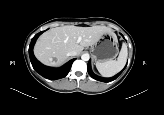
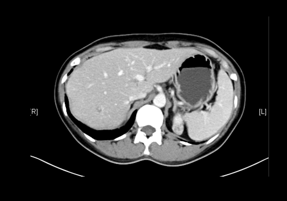
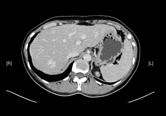
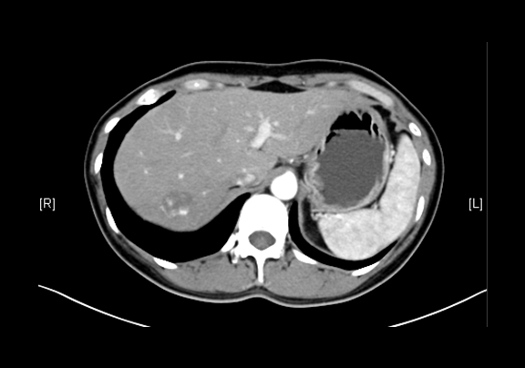
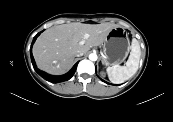
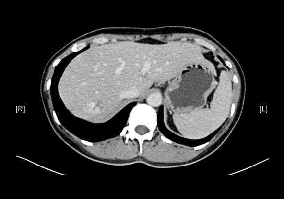
术前CT检查:
动脉期
静脉期
平衡期
术前三维重建:
重建图片
重建视频
您的浏览器不支持 video 标签。
您的浏览器不支持 video 标签。
您的浏览器不支持 video 标签。
您的浏览器不支持 video 标签。
more
merge